Introducción
Las fracturas de los metatarsianos comprenden 60% de las fracturas de pie en niños y adolescentes.1 Las lesiones osteocondrales a este nivel son poco frecuentes y, por lo general, están asociadas a fracturas de metatarsianos adyacentes, rara vez se presentan de forma aislada.1,2,3 Debido a la baja incidencia de estas fracturas y la escasez de publicaciones, la forma de tratar esta patología es controversial.4,5 Por lo general, estas fracturas se presentan principalmente en deportistas y en pacientes que practican algún tipo de baile en el cual se exige estrés repetitivo en la cabeza de los metatarsianos.6,7 A continuación, se reportan dos casos clínicos de pacientes adolescentes con fracturas epifisarias de la cabeza del segundo metatarsiano.
Presentación de los casos
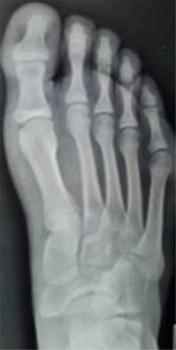
Caso clínico 1. Femenino de 12 años de edad, la cual sufre contusión directa en antepié izquierdo y dorsiflexión forzada del segundo dedo al realizar ballet. Después inicia con dolor súbito y limitación de la marcha a expensas del dolor. Inicialmente fue tratada con analgésicos sin mejoría, motivo por el que acudió a valoración ortopédica. A la exploración física presentó aumento de volumen y dolor localizado en dorso del pie en articulación metatarsofalángica del segundo dedo, siendo exacerbado a la movilización pasiva; llama la atención la incapacidad para realizar apoyo en dicho pie.
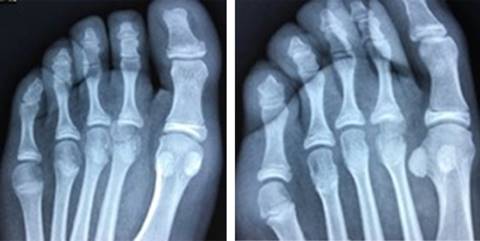
Se realizan radiografías anteroposterior (AP) y oblicua del pie (Figura 1). Se encuentra fractura epifisiaria desplazada de la cabeza del segundo metatarsiano.

Figura 1: Radiografías anteroposterior y oblicua del pie derecho, en la cual se encuentra fractura desplazada de la epífisis del segundo metatarsiano.
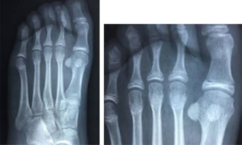
Con previo consentimiento de los padres y la paciente, bajo anestesia local con lidocaína al 2% (3 cm3), se realiza reducción cerrada de la fractura epifisaria mediante tracción del segundo dedo y digitopresión en dirección plantar de la cabeza del metatarsiano. Se toman radiografías de control posterior al procedimiento; se encuentra reducción anatómica de la fractura (Figura 2). Se colocó zapato postquirúrgico por cuatro semanas y se reincorporó a actividades de la vida diaria dos meses posteriores a la fractura. Se realizó seguimiento clínico y radiológico de forma esporádica sin complicaciones en su evolución, se anexa radiografía a 36 meses de evolución (Figura 3).

Figura 2: Radiografías anteroposterior y oblicua del pie derecho, posterior a reducción cerrada. Se muestra adecuada reducción de fractura epifisiaria del segundo metatarsiano.

Figura 3: Radiografía anteroposterior de pie a 36 meses de la fractura. Se observa adecuada reducción y sin complicaciones a largo plazo.
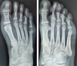
Caso clínico 2. Masculino de 15 años, sufre contusión directa en dorso del pie derecho al jugar fútbol, posteriormente inicia con dolor y marcha antiálgica, motivo por el cual acude a valoración. A la exploración física llama la atención el acortamiento del segundo dedo, con aumento de volumen y edema en dorso de articulación metatarsofalángica del segundo dedo. Se toman radiografías AP y oblicua de pie (Figura 4); evidencian fractura epifisiaria desplazada de la cabeza del segundo metatarsiano.

Figura 4: Radiografías anteroposterior y oblicua del pie de masculino de 15 años. Muestra fractura desplazada de la epífisis del segundo metatarsiano.
Con previo consentimiento de los padres y el paciente, se realiza reducción cerrada bajo anestesia local, se comprueba adecuada reducción con control radiológico (Figura 5). Se coloca zapato postquirúrgico y se inicia marcha a tolerancia. En seguimiento a corto, mediano y largo plazo sin evidencia de complicaciones; se anexan radiografías (Figura 6) a 30 meses de evolución.

Figura 5: Radiografías anteroposterior y oblicua del pie posteriores a reducción cerrada de la fractura. Se observa restitución de la anatomía y longitud.
Discusión
Las fracturas epifisarias aisladas de los metatarsianos son extremadamente raras y pueden pasar desapercibidas con facilidad, si no se sospecha de las mismas.2,3
Es de suma importancia entender la fisiopatología de estas lesiones. Tomando en cuenta que en la etapa de despegue durante la marcha las cabezas de los metatarsos sufren carga axial, mientras que la base de las falanges proximales se encuentra plantígradas, provocando así un punto de estrés en esta articulación, principalmente en la placa subcondral del metatarsiano.8,9 Dicho mecanismo se encuentra comúnmente en bailarines, los cuales realizan cargas axiales sobre los metatarsianos de forma repetitiva, siendo el segundo metatarsiano un sitio de concentración de estrés.3,7
Clínicamente, los pacientes se presentan con dolor, aumento de volumen y limitación a la deambulación y, en caso de acompañarse de luxación, se puede encontrar deformidad o acortamiento del dedo.2 De forma complementaria se deben realizar radiografías AP, lateral y oblicua del pie para confirmar o descartar algún tipo de fractura.
Como diagnósticos diferenciales debemos de incluir la enfermedad de Freiberg (necrosis avascular de la cabeza del segundo metatarso), la cual se debe a microtraumatismos o estrés repetitivo. También el arresto fisario y lesiones osteocondrales deben de ser tomadas en cuenta.7 Es importante saber que alrededor de 10% de la población tiene una configuración plana bilateral de la cabeza del segundo metatarsiano, que es considerada como una variante anatómica normal.6 La resonancia magnética puede ser de utilidad para descartar lesiones osteocondrales.10
En cuestiones terapéuticas, como cualquier fractura intraarticular, se debe de realizar una reducción anatómica.11 En la literatura hay casos aislados reportados para lesiones osteocondrales del metatarso, habiendo controversia de cómo ser abordadas. Se han descrito técnicas de reducción cerrada y abierta con osteosíntesis, ya sea con clavillos de Kirschner o tornillos.5,7,12 Sin embargo, para nuestro conocimiento no hay casos reportados para fracturas epifisiarias de metatarso que hayan sido tratadas con reducción cerrada sin necesidad de osteosíntesis. En el seguimiento a largo plazo, ambos pacientes presentaron una evolución satisfactoria.
Conclusión
Las fracturas de la cabeza metatarsiana en pacientes con inmadurez esquelética son raras debido a su baja incidencia y escasez de documentación; al respecto, hay que ser minuciosos para su diagnóstico. Para nuestro conocimiento no existen casos publicados de fracturas epifisiarias de metatarso que hayan sido tratadas con reducción cerrada.















