Introducción
El liposarcoma es un tumor maligno mesenquimal del tejido adiposo, de localización frecuente en retroperitoneo y extremidades. El liposarcoma paratesticular representa el 7 % de los tumores escrotales, y se compone de células adiposas, fibroblastos y células mixomatosas, su origen tiene puede tener lugar en cordón espermático, epidídimo y túnica vaginalis, siendo el cordón espermático el más frecuentemente involucrado en un 76 % de las ocasiones (Chowdhry et al., 2021).1 La edad de presentación habitual es entre la quinta y sexta década de la vida, con un rango de edad desde los 16 a los 87 años.2 Como diagnósticos diferenciales encontramos entidades patológicas como hernia inguinal, hidrocele, tumor testicular, lipoma escrotal y epididimitis.3
De acuerdo la Organización Mundial de la Salud (2020), los liposarcomas se clasifican en cinco categorías: liposarcoma bien diferenciado, liposarcoma desdiferenciado, liposarcoma mixoide, liposarcoma pleomórfico y liposarcoma pleomórfico mixoide.3,4 El liposarcoma de estirpe mixoide representa el 3.3 % de los tumores en escroto (Ayari et al., 2018).5 Se presenta habitualmente como una masa inguinal o escrotal palpable, no dolorosa en la mayoría de las ocasiones y de consistencia variable a la palpación.
El ultrasonido es el método de estudio solicitado de manera inicial para detectar y evaluar cualquier tumor en la región escrotal, incluyendo al tumor paratesticular. Este método revela lesiones sólidas, hiperecogénicas y heterogéneas, así como su localización, demostrando si existe o no compromiso testicular. La tomografía computarizada muestra una lesión con atenuación grasa, alternando con septos no lipomatosos o nódulos de tejidos blandos, además de su utilidad para evaluar datos de actividad ganglionar o metastásica (Tan, Dasari, Smyth, & Brown, 2012).6 Como estudio de extensión y con el fin de ayudar a delimitar el margen quirúrgico se puede solicitar una resonancia magnética.
La modalidad de tratamiento primario para sarcomas paratesticulares se compone de resección quirúrgica en bloque del tumor, con utilización de quimioterapia y radioterapia para disminuir el porcentaje de recurrencia local y a distancia (Gimeno, Escribano, Hernández, & Alvarez, 2020).7 Con la excepción del liposarcoma bien diferenciado, cualquier otro sarcoma escrotal tiene un alto riesgo de recurrencia local y a distancia.
Presentación de caso
Se trata de un paciente masculino de 39 años, con obesidad grado I, sin antecedentes crónico-degenerativos, con único antecedente quirúrgico de hemitiroidectomía derecha secundaria a nódulo tiroideo, con reporte histopatológico benigno. Acudió por medio de urgencias al presentar hemiparesia derecha de una semana de evolución, quien, durante el protocolo de estudio, es encontrado a la exploración física con aumento de volumen dependiente de tumoración intraescrotal derecha, la cual refiere tener desde hace más de dos años, con aumento progresivo en su tamaño y sin ocasionar dolor. A la exploración física se palpa una tumoración ocupante de hemiescroto derecho, de aproximadamente 10 cm de diámetro, de consistencia indurada, e indolora, sin palparse involucro aparente de cordón espermático. Se solicitan estudios de laboratorio y marcadores tumorales: alfa-fetoproteína (AFP): 2.03 ng/ml, fracción beta-gonadotropina coriónica humana (β-hCG): <1.2 mU/ml, deshidrogenasa láctica en parámetros normales.
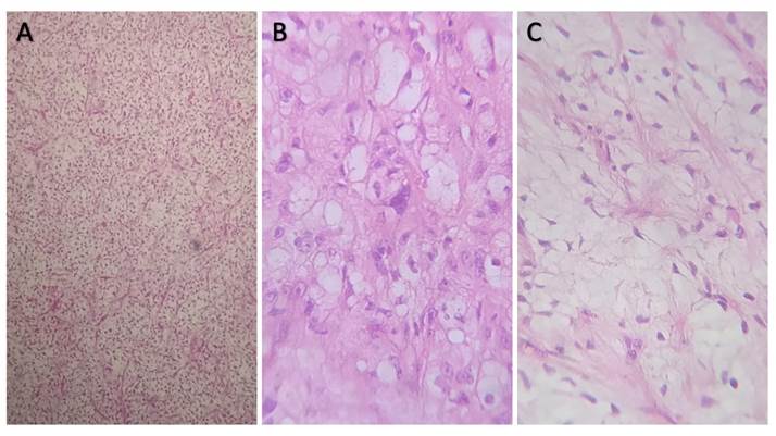
Es sometido a una orquiectomía radical, encontrando como hallazgo un tumor paratesticular de 9x8x5 cm, de superficie externa multinodular, lisa, opaca, café claro con sitios de necrosis, trama vascular visible y consistencia firme. Al corte de la pieza: de aspecto heterogéneo, multinodular, café claro alternando con áreas amarillas de aspecto adiposo y con sitios de aspecto hemorrágico. Reporte anatomopatológico de tumor paratesticular derecho: liposarcoma mixoide (9 cm) grado histológico II de la FNCLCC (French Fédération Nationale des Centres de Lutte Contre le Cancer), completamente resecado (Imagen 1), contando además con reporte de testículo derecho sin invasión, epidídimo y cordón espermático sin alteraciones. (Figura 1)

A: Vista panorámica. Células fusiformes, estroma mixoide, vascularizado (4x); B, C: Núcleos hipercromáticos, vesiculosos, con citoplasma vacuolado, estroma mixoide (40x)
Figura 1 Liposarcoma mixoide
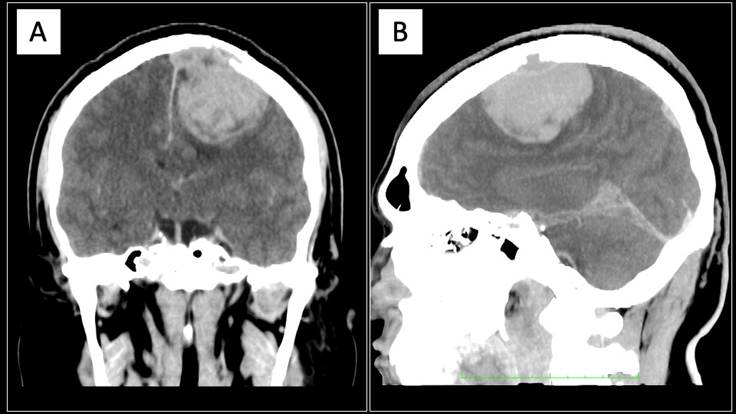
Se completa protocolo diagnóstico por el servicio de neurocirugía con tomografía de cráneo, evidenciando una imagen heterogénea de predominio hiperdenso, con halo hipodenso, con dimensiones máximas de 60x48x40 mm en sus ejes, con un volumen calculado de 60.1 cm3 en región parasagital frontal izquierda, la cual refuerza a la administración de contraste, Estructuras de la línea media con desplazamiento de izquierda a derecha de 6.9 mm secundario a efecto volumétrico de la lesión ya descrita, además de lesiones líticas en hueso frontal izquierdo y parietal ipsilateral (Figura 2).

A. Corte coronal; B. Corte sagital.
Figura 2 Metástasis a cerebro de liposarcoma mixoide (tomografía de cráneo)
Es realizado abordaje quirúrgico por neurocirugía mediante resección por craneotomía de lesión parasagital izquierda, encontrando un tumor encapsulado sólido, de consistencia blanda, color rosa pálido con áreas de aspecto mucoso y hemorrágico, con reporte histopatológico positivo para metástasis de liposarcoma mixoide.
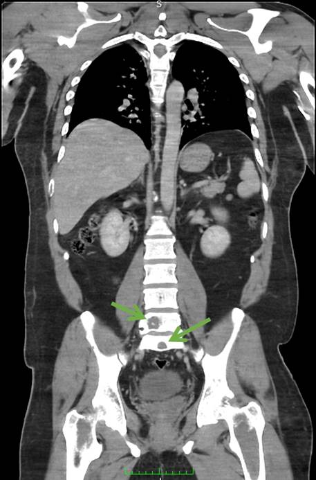
Durante el seguimiento presenta deterioro del estado funcional progresivo, recibiendo manejo por medicina paliativa y oncología médica. A los dos meses con síndrome medular incompleto, caracterizado por disminución de la fuerza en extremidades inferiores con imposibilidad para la deambulación y dolor. Se evidencian sitios de metástasis a columna toracolumbar mediante estudio tomográfico de control (Figura 3), continuando manejo a base de esteroides y opiáceos. El paciente falleció al tercer mes de diagnóstico, sin llegar a recibir manejo con radioterapia ni quimioterapia.
Discusión
Acorde a la literatura médica publicada de esta entidad patológica, es reportada una sobrevida libre de recurrencia cercana al 80 % y una capacidad metastásica de apenas 11 %,8,9 siendo descritos casos aislados de pacientes supervivientes por enfermedad localizada.
En el caso presentado mostramos una entidad inusual de metástasis a cerebro, secundario a la larga evolución y falta de manejo de un padecimiento que generalmente presenta un lento desarrollo. No se encuentran casos reportados en la literatura acerca de extensión metastásica de tumores paratesticulares a cerebro, ya que, por las características patológicas de esta entidad, no es habitual su diseminación a sistema nervioso central, siendo la recurrencia local y metástasis extrapulmonar (tejidos blandos y esqueleto) los sitios más frecuentemente involucrados, en contraste con otros subtipos de liposarcomas que metastatizan con mayor frecuencia hacia pulmón (Muhsen, Ghzawe, Al-Hussaini, & Salah, 2021).10
Los factores de riesgo para recurrencia descritos incluyen grado patológico del tumor, tamaño, grado de invasión y principalmente, márgenes quirúrgicos.11,12 En cuanto al manejo quirúrgico ha sido demostrada una diferencia de enfermedad libre de recurrencia a tres años superior en los pacientes sometidos a orquiectomía radical, comparados con pacientes sometidos a tumorectomía (79.8 % vs 54.1 %), teniendo como ventaja una mayor tasa de márgenes quirúrgicos libres, con una sobrevida libre de recurrencia a tres años para pacientes con márgenes positivos del 54.2 % y un 88.6 % para el grupo de pacientes con bordes negativos (Kamitani, Matsumoto, Takeda, Mizuno, & Oya, 2020).8 Dentro de las opciones terapéuticas tenemos el uso de radioterapia, con impacto en recurrencia local, pero sin cambios en sobrevida global ni en sobrevida libre de enfermedad.
Además, hay estudios retrospectivos de pacientes con liposarcomas manejados con antraciclinas, que muestran tasas de respuesta objetiva del 12 %, sin cambios en índices de sobrevida (Italiano et al., 2012).13 El papel de la linfadenectomía retroperitoneal es ampliamente discutido en la literatura disponible, considerando que la extensión ganglionar es rara en este tipo de sarcomas; sin embargo, es posible considerarla en el paciente con involucro linfático retroperitoneal o que tenga un alto riesgo de involucro ganglionar.1
Conclusiones
El liposarcoma mixoide paratesticular es un tumor con una presentación de apenas el 3.3 % de liposarcomas en la región escrotal. Al ser una enfermedad indolente y de lento crecimiento, existe la oportunidad de llevar a cabo un diagnóstico y manejo precoz mediante la orquiectomía radical con una resección amplia que garantice márgenes libres, disminuyendo la posibilidad de recidiva local o extensión metastásica. valorando el uso de radioterapia y/o quimioterapia como manejo adyuvante.
De acuerdo con las características del paciente deberá realizarse un abordaje diagnóstico completo, siendo realizados los estudios de extensión necesarios para llevar a cabo una adecuada estadificación del paciente y dar un manejo óptimo para su enfermedad, además de ayudarnos a identificar fases avanzadas de la enfermedad, la cual requerirá de un manejo multidisciplinario.
A pesar de no encontrarse descrito ampliamente en la literatura, y no haber casos descritos de esta entidad, consideramos importante incluir una evaluación neurológica completa, considerando también el sistema nervioso central como un sitio de metástasis probable de esta entidad patológica; proponiendo también un abordaje multidisciplinario para el manejo integral de estos pacientes, en búsqueda de resultados favorables.
















