Introducción
Se estima que los materiales quirúrgicos retenidos ocurren en 1:5,500 cirugías.1
Estos eventos han dado lugar a un daño que implica una reoperación, readmisión hospitalaria, infección, fístulas, obstrucciones, perforación visceral y la muerte.2
Las gasas representan el 48-69% de los artículos quirúrgicos retenidos y dan lugar a una reacción tisular más grave que los fragmentos metálicos.1
En un estudio, las gasas se retuvieron con mayor frecuencia en el abdomen (50%). Los eventos ocurrieron en el quirófano (64%), en trabajo de parto (33%) y otras áreas de procedimientos (3%). Se realizó un recuento de gasas en el 77%.3
Se identificó el 16% en la sala de operaciones. El 34% durante la hospitalización posterior al procedimiento quirúrgico y el 50% después de que el paciente fuera dado de alta.3
Presentación del caso
Se trata de paciente femenino de 44 años de edad con antecedente de dos cesáreas, la última hace ocho años, inicia sintomatología un mes previo a su ingreso posterior a consulta ginecológica de control, por ultrasonido pélvico se identifica tumoración dependiente de Anexo derecho de forma incidental, por lo que se canaliza a esta unidad. Refiere un aumento de volumen abdominal de forma lenta y progresiva acompañado de saciedad temprana.
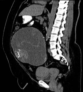
A la exploración física muestra aumento de volumen generalizado en abdomen, indurado, no doloroso a la palpación, peristalsis normoactiva. Estudios de laboratorio dentro de parámetros normales. Rastreo abdominal ecográfico a nivel de hipogastrio con imagen mal definida heterogénea con ecogenicidad de tejidos blandos y áreas lineales hiperecogénicas que proyectan sombra acústica. Tomografía abdominal reporta una imagen ovalada, heterogénea, con pared que realza con el contraste y dos áreas con densidad metal, la cual ejerce efecto de masa sobre estructuras pélvicas (Figura 1). Se realiza laparotomía exploradora identificando masa pseudoquística de 24 × 20 cm y líquido libre escaso, se realiza resección del mismo (Figura 2).
El informe histopatológico reporta la presencia de compresa adherida y contenido purulento dentro de pieza quirúrgica (Figura 3).
Discusión
El conteo de gasas quirúrgicas es fundamental en cualquier procedimiento quirúrgico, puede evitar la retención de materiales y minimizar el daño al paciente.
Se deben tomar en cuenta otras variables que elevan el riesgo como son la pérdida de sangre intraoperatoria > 500 mL, duración de la operación, > 1 equipo quirúrgico y un recuento quirúrgico incorrecto.3,4
La prevención de esta condición se puede lograr siguiendo protocolos preventivos como el recuento meticuloso y el uso rutinario de material quirúrgico impregnado con un marcador radiopaco.5
En 2007, la Organización Mundial de la Salud (OMS) lanzó una lista de verificación de seguridad quirúrgica: antes de la inducción anestésica, antes de la incisión de la piel y antes de que el paciente salga del quirófano, se debe asegurar que el recuento de gasas e instrumentos sean correctos.5,6
Conclusiones
Aunque los casos de material quirúrgico retenido son relativamente comunes, la literatura médica sobre este tema es escasa debido a las implicaciones médico-legales que pueden surgir. Es importante reconocer la importancia de informar y documentar estos casos para mejorar la calidad del cuidado médico y reducir el riesgo de errores en futuras cirugías.
El uso de rayos X intraoperatorios es una herramienta útil para detectar la presencia de materiales quirúrgicos retenidos. Es importante que los médicos estén conscientes de las limitaciones de este método.
Si desea consultar los datos complementarios de este artículo, favor de dirigirse a editorial.actamedica@saludangeles.mx


















