Introducción
El carcinoma hepatocelular fibrolamelar (CHF) es una forma rara de hepatocarcinoma (entre 1-9% de todos los casos),1 que afecta a pacientes jóvenes. En etapas tempranas, es curable, pero en fases avanzadas, no hay un tratamiento estándar efectivo.
Aquí presentamos el caso de un CHF no resecable tratado con terapia combinada de quimioembolización transarterial (TACE) y la combinación de atezolizumab más bevacizumab.
Presentación del caso
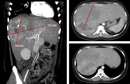
Se trata de paciente femenino de 20 años que acudió a urgencias con dolor abdominal difuso, náuseas y vómitos. La tomografía computarizada reveló una lesión heterogénea de 181 × 131 × 161 mm con múltiples lesiones satélites que abarcaban los segmentos V, VI, VII y VIII, así como nódulos pulmonares (Figura 1). La biopsia hepática central de la lesión reveló células neoplásicas con abundante citoplasma estromal granular y grandes áreas de fibrosis, CK7+, Hepar1+, compatibles con hepatocarcinoma fibrolamelar bien diferenciado. Fue considerado irresecable, por lo que se estableció un régimen paliativo consistente en tres sesiones de TACE con doxorrubicina cada 21 días a partir del 15 de junio de 2020, además de la participación en un protocolo con el uso de atezolizumab más bevacizumab iniciado en julio de 2020 y cumpliendo un total de 22 ciclos. Se logró controlar la enfermedad al mostrar una reducción del tamaño de la lesión del 26.7% (Tabla 1), la cual se mantuvo durante 18.13 meses. Tras la progresión, se valoró una segunda línea de tratamiento con regorafenib; sin embargo, ésta no logró concretarse, por lo que se iniciaron cuidados paliativos hasta el lamentable deceso de la paciente, alcanzando una supervivencia global de 22.23 meses.

Figura 1: Tomografía computarizada multifásica de estadificación de la paciente, realizada el 23 de mayo del 2020.
Tabla 1: Seguimiento de las lesiones medibles por criterios RECIST 1.1 de la paciente.
| Estudio (fecha) | Lesión hepática principal (mm) | Nódulo pulmonar (mm) | Ligamento gastrohepático (mm) | Total (mm) | % de cambio de la línea basal | RECIST 1.1 |
|---|---|---|---|---|---|---|
| TAC de estadificación (23/05/2020) | 181 × 131 × 161 | 10 × 9 | NA | 191 | NA | NA |
| Primera TAC (22/08/2020) | 130 × 110 | 10 × 9 | NA | 140 | −26.70 | EE |
| Segunda TAC (06/12/2020)a | 153 × 111 × 114 | 17 | NA | 170 | −10.99 | EE |
| Tercera TAC (24/04/2021) | 130 × 110 × 112 | 17 | NA | 143 | −25.13 | EE |
| Cuarta TAC (12/11/2021) | 165 × 116 × 140 | 31 | 53 × 43 | 249 | 30.37 | PD |
EE = enfermedad estable. NA = no aplica. PD = progresión de la enfermedad. TAC = tomografía axial computarizada.
Discusión
El CHF es una entidad distinta al carcinoma hepatocelular convencional tanto a nivel clínico como histológico y genético. Está caracterizado por presentar síntomas inespecíficos,2 además de un patrón peculiar de células grandes rodeadas de densas bandas de fibrosis organizadas en trabéculas conocido como fibrosis lamelar.3 La fusión de DNAJB1-PRKACA ha sido recientemente vinculada al CHF como un productor de neoantígenos que podrían ser blancos del sistema inmunológico y nuevas terapias celulares,4 aunque en esta paciente no pudo determinarse por la falta de laboratorios especializados en este estudio en la región.
La aproximación terapéutica empleada en este caso es de gran interés, pues no ha sido reportada previamente en el escenario del CHF. Al ser un tumor altamente vascularizado, reportes previos han mostrado beneficios del uso de TACE en pacientes en etapas avanzadas.5 Tanto la inflamación y necrosis inducidas por la embolización, como la respuesta inmunogénica inducida por la quimioterapia son efectos potenciadores para el uso de inmunoterapia en estos tumores.
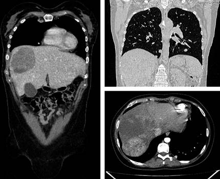
En este caso, se apreció un beneficio de esta terapia al haber una disminución significativa de la enfermedad (Figura 2), alcanzando una supervivencia libre de progresión de 18.13 meses y una supervivencia global de 22.23 meses.
Conclusión
La terapia multimodal de TACE con inmunoterapia y agentes antiangiogénicos benefició clínicamente a nuestra paciente. Esta combinación tiene un fundamento prometedor para el tratamiento del CHF no resecable. Más estudios prospectivos en nuestro país y a nivel global se requieren para evaluar y desarrollar nuevas y mejores opciones terapéuticas para esta condición rara y desafiante.
Si desea consultar los datos complementarios de este artículo, favor de dirigirse a editorial.actamedica@saludangeles.mx
















