Introducción
En los años 60, la radiología convencional era la principal herramienta de diagnóstico por imágenes, aunque presentaba numerosas limitaciones. No se podía representar en una película de dos dimensiones toda la información contenida. Tampoco discriminaba entre tejidos, excepto aquellos con densidades muy diferentes, como el aire, el agua, el hueso y la grasa, y mucho menos era capaz de separar, en forma cuantitativa, las distintas densidades de las estructuras exploradas por el haz de rayos X. La radiografía sólo es capaz de registrar la absorción media de los tejidos atravesados.1
Sin embargo, la tomografía computarizada (TC) introdujo un cambio fundamental, ya que permite medir la atenuación o absorción del haz de rayos al pasar a través de secciones del cuerpo, desde cientos de ángulos distintos. Con estas mediciones, los computadores pueden reconstruir imágenes internas del cuerpo humano. El paradigma consistía en comprender que, al escanear un objeto desde múltiples ángulos, era posible extraer toda la información contenida en él.2
Este concepto ya había sido publicado por Allan Cormack, físico sudafricano, en 1963 y 1964, pero sus estudios no tuvieron un resultado práctico, probablemente debido a las dificultades de los computadores de su época para realizar todos los cálculos necesarios en un tiempo razonable. No obstante, Sir Godfrey Hounsfield fue la Figura central en el desarrollo del tomógrafo. A diferencia de Cormack, desarrolló un prototipo y construyó el primer equipo de TC para uso clínico, que permitía examinar el cráneo y su contenido.2 Hounsfield obtuvo el premio Nobel en 1979, compartiéndolo con Allan Cormack.3
Es así que la TC se ha convertido en una de las técnicas de diagnóstico más utilizadas. Desde su introducción en 1971, ha experimentado sucesivos avances que han hecho posible la aparición de nuevas indicaciones en diferentes campos de la medicina.4
Unidades Hounsfield
En la TC, la matriz de reconstrucción de los coeficientes de atenuación lineal (µmat) se transforma en una matriz de números de TC medidos en unidades Hounsfield del material o tejido correspondiente (UHmat). La atenuación de los materiales o tejidos en la escala Hounsfield se expresa en relación con el coeficiente de atenuación lineal del agua a temperatura ambiente (magua):
UHmat = μmat-µagua × 1,000
μagua
El aire presenta por definición un valor teórico de -1,000 UH (μmat = 0) y el agua tiene, también por definición, 0 UH (μmat = μagua), y cada incremento de una UH se asocia con un incremento del 0.1% del coeficiente de atenuación lineal relativo al del agua.
El tejido adiposo presenta valores ligeramente inferiores a cero (-100 a -80 UH); el pulmón tiene valores en el rango de -950 a -600 UH; la mayoría de tejidos blandos están representados por valores en el rango de 20 a 70 UH y el número de TC de un hueso compacto puede ser superior a 1,000 UH.4
En la visualización de las imágenes de la TC es muy importante definir los valores de gris que corresponden a un determinado tejido, lo que se consigue de modo óptimo ajustando adecuadamente los valores del nivel (WL) y del ancho de la ventana (WW).5
Tomografía computarizada en hernia abdominal
Existen cada vez más posibilidades terapéuticas en la patología de la pared abdominal; la TC se ha convertido en la técnica más utilizada debido a la extensa información que proporciona de la cavidad abdominopélvica, así como por su rapidez de adquisición.6
La TC ayuda a establecer un diagnóstico eficaz de las hernias de pared abdominal y región inguinal, diferenciándolas de otras situaciones que simulan hernias. Además, es útil para determinar con exactitud el tamaño y la morfología del orificio herniario gracias a las reconstrucciones multiplanares, lo que permite realizar la clasificación de la patología herniaria de acuerdo a los criterios de la European Hernia Society.6
Por otra parte, la TC permite una valoración completa de la musculatura de la pared abdominal, identificando zonas de atrofia, rotura, desinserción muscular u otras complicaciones. También puede demostrar falsas eventraciones que no requieran de intervención quirúrgica, como diástasis de los rectos en línea media o debilidades de la pared.6
El diagnóstico de eventraciones y hernias de la pared abdominal es, en la mayoría de los casos, clínico. En casos dudosos o de difícil valoración, como en pacientes obesos, multioperados o con hernias de localización atípica, las técnicas de imagen pueden confirmar, sin duda, dicho diagnóstico; aunque la indicación más habitual de pruebas de imagen en la patología herniaria se ha ceñido a la sospecha de complicaciones, incluyendo incarceración, obstrucción o perforación intestinal.
Clasificación y medición de los orificios herniarios
Las hernias de la pared abdominal se clasifican en primarias e incisionales. Aunque existen numerosas clasificaciones, la reciente clasificación de la European Hernia Society establece una denominación práctica y fácil, basada en su localización anatómica y tamaño de los orificios herniarios.7
Las hernias de localización inguinal, tanto directas como indirectas y femorales, pueden diagnosticarse y clasificarse adecuadamente con las técnicas de imagen: además de la TC, otras técnicas como la ecografía (solo que ésta es operador dependiente) o la resonancia magnética, que también ha demostrado una elevada eficacia diagnóstica en la región inguinal, sin embargo, por costos es la menos solicitada.7
Hernias inguinales
La hernia inguinal, sea directa o indirecta, es la más común de la pared abdominal.
El canal inguinal es un conducto diagonal bordeado por las aponeurosis de los tres músculos de la pared abdominal. La pared anterior está conformada por la aponeurosis de los músculos oblicuo interno y externo, la posterior por la fascia transversalis y el tendón conjunto, la superior por las aponeurosis de los músculos transversos y el oblicuo interno y la inferior por el ligamento inguinal de Poupart.
Hernia inguinal indirecta
Atraviesa el anillo inguinal interno, recorre el conducto y emerge a través del anillo externo, sobresaliendo superior y externamente a los vasos epigástricos inferiores. Puede extenderse por el conducto espermático o el ligamento redondo hacia el escroto o los labios mayores, respectivamente. Es posible ver el cuello del saco herniario en el anillo inguinal profundo. Un hallazgo es el signo del Gancho, debe su nombre a la forma cóncava que adopta la arteria epigástrica inferior en el plano axial en su curso proximal, al ser comprimida por una hernia indirecta.8
Hernia inguinal directa
Ésta se ubica por encima del ligamento inguinal y medial a los vasos epigástricos inferiores, y en general es adquirida. Su incidencia se incrementa con la edad por el debilitamiento de la fascia transversal en el triángulo de Hesselbach. Es la más frecuente en hombres.8
Hernia inguinal y obesidad
En Guayaquil, 2018, se realizó un estudio en pacientes con recidiva de hernia inguinal, evaluados por clínica en consultorio y derivados a urgencias, los factores de riesgo fueron: sexo masculino, obesidad, grupo etario 49-64 años, e intervención previa de la hernia primaria con técnicas de tensión. Encontrando una relación significativa con la obesidad.9
La obesidad mórbida es uno de los factores de riesgo más comunes para el desarrollo de hernias de la pared abdominal; esto puede explicarse por la presión intraabdominal elevada y la disminución de la distensibilidad de la pared abdominal.10
Material y métodos
Se llevó a cabo un análisis retrospectivo de todas las TC abdominales con y sin medio de contraste realizadas entre marzo de 2023 y junio de 2024, utilizando el archivo digital del Hospital Angeles Mocel.
Como criterio se estableció pacientes mayores de 18 años, IMC > 25 kg/m2, solicitud de TC abdominal por cualquier etiología. Se eliminaron los datos ilegibles en el expediente, antecedente de plastia inguinal, IMC < 25 y estudio incompleto.
El equipo utilizado para la adquisición de las imágenes fue un tomógrafo de 64 cortes marca Siemens Somatom go.All multicorte.11
No se requiere consentimiento informado para estudios retrospectivos11 El estudio fue autorizado por el Comité de Ética del Hospital Angeles Mocel, con número de Registro 209/09-24.
El cálculo de muestra se realizó utilizando la herramienta G* power, versión libre. El tamaño de la muestra para una proporción o estudio descriptivo se estimó utilizando la siguiente fórmula: n = [EDFF*Np(1-p)]/ [(d2/Z2 1-α/2 *(N-1) + p*(1-p)]; el resultado fue un total de 196 pacientes, pero se incrementó en 20% para equilibrar los datos perdidos para un total de 236 en total.
Resultados
Se ingresaron un total de 292 pacientes, de los cuales, la mediana de edad fue 48.7 años (rango 36-60), del sexo masculino fueron 127 (43.5%) y del femenino 165 (56.5%). La media de IMC fue 29.6 ± 2.4. De acuerdo con la clasificación de IMC, los pacientes con sobrepeso fueron 166 (56.8%), con obesidad grado I, 93 (31.8%); obesidad grado II, 24 (8.2%) y obesidad grado III, 9 (3.1%). Confirmados de hernia inguinal (Figura 1) fueron un total de 117 (40.1%), de los cuales hernia inguinal indirecta (Figura 2) fueron 105 (36%) y directa fueron 12 (4.1%). La localización más frecuente fue izquierda 43 (14.7%), derecha 34 (11.6%), bilateral 40 (13.7%). El diagnóstico presuntivo habitualmente referido por lo cual se solicitó el estudio fue el dolor abdominal siendo 113 pacientes (38.7%) (Tabla 1).

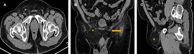
Figura 1: Hernia inguinal bilateral. Tomografía computarizada en fase simple con reconstrucción multiplanar de la región pélvica en planos A) axial, B) coronal y C) sagital. En la que se muestra un anillo herniario inguinal con saco herniario de contenido graso epiploico de lado derecho(*). De la misma forma, se observa pequeño anillo herniario inguinal de contenido graso de lado izquierdo (←).

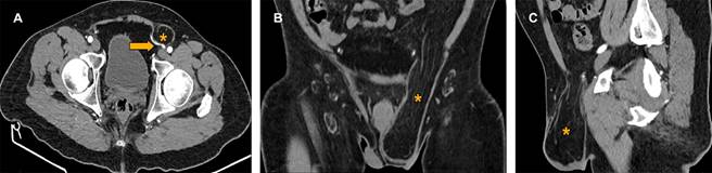
Figura 2: Hernia inguinoescrotal indirecta. Tomografía computarizada con contraste intravenoso, con reconstrucciones en planos sagital y coronal de la región pélvica. A) Plano axial, se observa una hernia inguinal indirecta izquierda (*) al mostrarse los vasos epigástricos (→) mediales al saco herniario, que adopta una forma convexa que forma el “signo del gancho”. B) Plano coronal que muestra extensión del saco herniario hacia la región escrotal de lado izquierdo de contenido graso epiploico. C) Plano sagital.
Tabla 1: Características generales de la población (N = 292).
| Variables | n (%) | Variables | n (%) |
|---|---|---|---|
| Edad (años), mediana [RIC] | 48.7 [36-60] | Dolor en fosa iliaca | 1 (0.3) |
| Sexo | Dolor hipogástrico | 1 (0.3) | |
| Masculino | 127 (43.5) | Dolor inguinal | 1 (0.3) |
| Femenino | 165 (56.5) | Dolor lumbar | 1 (0.3) |
| IMC (kg/m2), media ± DE | 29.6 ± 2.4 | Dolor testicular | 1 (0.3) |
| Sobrepeso [25-29.9] | 166 (56.8) | Enfermedad ácido-péptica | 1 (0.3) |
| Obesidad | Enfermedad prorreflujo gastroesofágico | 2 (0.7) | |
| Grado I [30-34.9] | 93 (31.8) | Esofagitis | 1 (0.3) |
| Grado II [35-39.9] | 24 (8.2) | Fiebre en estudio | 1 (0.3) |
| Grado III [> 40] | 9 (3.1) | Fístula postquirúrgica | 1 (0.3) |
| Confirmados con hernia inguinal | 117 (40.1) | Fractura de cadera | 1 (0.3) |
| Directa | 12 (4.1) | Gastroenteritis | 5 (1.7) |
| Indirecta | 105 (36.0) | Gastritis | 1 (0.3) |
| Tipo de hernia | 117 (40.0) | Hematemesis | 1 (0.3) |
| Lado de la hernia | 77 (26.3) | Hematuria | 4 (1.2) |
| Derecha | 34 (11.6) | Hernia inguinal | 1 (0.3) |
| Izquierda | 43 (14.7) | Hernia postincisional | 1 (0.3) |
| Bilateral | 40 (13.7) | Hernia umbilical | 2 (0.7) |
| Diagnóstico de ingreso | Probable tromboembolia pulmonar | 1 (0.3) | |
| Abdomen agudo | 3 (1.0) | Ictericia | 1 (0.3) |
| Absceso anorrectal | 1 (0.3) | Íleo vs oclusión | 1 (0.3) |
| Absceso glúteo | 1 (0.3) | IVU | 6 (2.1) |
| Absceso inguinal | 1 (0.3) | LRA | 1 (0.3) |
| Adenitis mesentérica | 1 (0.3) | Litiasis renal | 6 (2.1) |
| Adenocarcinoma | 1 (0.3) | Melena | 1 (0.3) |
| Adenoma suprarren | 1 (0.3) | Neoplasia renal | 1 (0.3) |
| Ampuloma | 1 (0.3) | No referido | 9 (3.1) |
| Anemia en estudio | 1 (0.3) | Obstrucción intestinal | 6 (2.1) |
| Apendicitis | 1 (0.3) | Orquiepididimitis | 1 (0.3) |
| Ascitis maligna | 1 (0.3) | Probable hernia de pared | 1 (0.3) |
| Cáncer de colon | 1 (0.3) | Pielonefritis | 6 (2.1) |
| Cefalea en estudio | 1 (0.3) | Probable apendicitis | 4 (1.4) |
| Choque séptico | 1 (0.3) | Probable IVU | 1 (0.3) |
| Colecistitis aguda | 2 (0.7) | Probable litiasis | 1 (0.3) |
| Cólico renal | 11 (3.7) | Síndrome diarreico | 2 (0.6) |
| Dehiscencia de herida abdominal | 1 (0.3) | Síndrome doloroso | 1 (0.3) |
| Deterioro neurológico | 1 (0.3) | Síndrome febril | 1 (0.3) |
| Disfagia | 1 (0.3) | STD | 3 (1.2) |
| Disfunción de catéter | 1 (0.3) | STDB | 9 (3.1) |
| Disminución de peso | 1 (0.3) | STV | 1 (0.3) |
| Diverticulitis | 5 (1.7) | TEP | 1 (0.3) |
| Dolor abdominal | 113 (38.7) | Traumatismo abdominal | 1 (0.3) |
| Dolor en fosa izquierda | 1 (0.3) | Valoración catéter | 1 (0.3) |
| Dolor en fosa renal | 1 (0.3) | Vómito | 2 (0.7) |
| Dolor en fosa derecha | 1 (0.3) | ||
| Epigastralgia | 1 (0.3) |
DE = desviación estándar. IMC = índice de masa corporal. IVU = infección de vías urinarias. LRA = lesión renal aguda. RIC = rango intercuartil. STDB = sangrado de tubo digestivo bajo. STD = sangrado de tubo digestivo. STV = sangrado transvaginal. TEP = tromboembolia pulmonar.
Posteriormente, se realizó un análisis bivariado del IMC de acuerdo a su clasificación con las demás variables, los pacientes con diagnóstico confirmado por hernia fueron 117 (40.1%), de los cuales los hombres fueron en mayor número 43 (36.7%) en sobrepeso, en obesidad grado I, 26 (22.2%), obesidad grado II, 14 (11.9%), y 3 (2.5%) en obesidad grado III, p = 0.011.
El tipo de hernia más frecuente fue indirecta en sobrepeso 54 (46.1%), seguida de obesidad grado I con indirecta 33 (28.2%), p = 0.019; el lado más frecuente fue el izquierdo en sobrepeso, 23 pacientes (39.6%), seguido del lado derecho con 18 pacientes (15.3%) y bilateral en 17 pacientes (14.5%), con una p = 0.036; alcanzando significancia estadística, la única variable que no alcanzó significancia fue la edad (Tabla 2).
Tabla 2: Análisis bivariado del índice de masa corporal de pacientes confirmados con hernia con otras características.
| Sobrepeso (N = 58, 49.6%) n (%) |
Obesidad | p | |||
|---|---|---|---|---|---|
| Grado I (N = 40, 34.2%) n (%) |
Grado II (N = 16, 13.7%) n (%) |
Grado III (N = 3, 2.6%) n (%) |
|||
| Sexo | 0.011 | ||||
| Masculino | 43 (36.7) | 26 (22.2) | 14 (11.9) | 3 (2.5) | |
| Femenino | 15 (12.8) | 14 (11.9) | 2 (1.7) | 0 (0.0) | |
| Edad, mediana [RIC] | 32 [20-40] | 44 [50-61] | 41 [33-50] | 55 [40-68] | 0.275 |
| Tipo de hernia | 0.019 | ||||
| Directa | 4 (3.4) | 7 (5.9) | 0 (0.0) | 1 (0.85) | |
| Indirecta | 54 (46.1) | 33 (28.2) | 16 (13.6) | 2 (1.7) | |
| Lado de la hernia | 0.036 | ||||
| Izquierdo | 23 (19.6) | 16 (13.6) | 3 (2.56) | 1 (0.85) | |
| Derecho | 18 (15.3) | 8 (6.83) | 7 (5.9) | 1 (0.85) | |
| Bilateral | 17 (14.5) | 16 (13.6) | 6 (5.12) | 1 (0.85) | |
RIC = rango intercuartil.
Discusión
Las hernias inguinales son relativamente comunes. Se estima que alrededor del 27% de los hombres y el 3% de las mujeres desarrollarán una hernia inguinal en algún momento de su vida. Coincidiendo con la revisión de Berndsen y colegas,12 en la que describen por sexo y edad que la hernia inguinal es la hernia más frecuentemente diagnosticada en hombres, y la distribución por edad es bimodal con la incidencia más alta en la infancia y después de los 50 años. Esto concuerda con nuestra investigación, en donde la prevalencia de diagnóstico por sexo fue en hombres con sobrepeso (74.1%), sin embargo, a diferencia de la edad, no encontramos significancia.
En la revisión sistemática de Piga y colaboradores,13 en la cual incluyeron 27 estudios, compararon tres modalidades de diagnóstico: TC, RM (resonancia magnética) y US (ultrasonido). La RM tuvo resultados aceptables, pero pocos pacientes. Tanto la TC como el US demostraron que son funcionales, per se, la TC alcanzó una sensibilidad del 80-100% y especificidad de 83 a 100%. El US alcanzó una sensibilidad del 57 a 90% y especificidad de 43 a 86%. En nuestro estudio se encontraron 40% de hernias inguinales por TC de abdomen en pacientes sin diagnóstico de hernia inguinal.
En el estudio de Miyaki y su equipo,14 en el que incluyeron 79 pacientes operados en búsqueda de hernias inguinales por TC, en posición prono, para detectar y clasificar hernias ocultas, se observan diferencias respecto a nuestro estudio, donde también se diagnosticaron hernias inguinales, aunque las imágenes fueron tomadas en posición supina, debido a que fue un estudio retrospectivo. Esto contrasta con el estudio mencionado, el cual se realizó en tiempo real. Lo anterior resalta que la TC sigue siendo una herramienta eficiente para el diagnóstico de hernia inguinal, tanto en posición supina como en prono.
Conclusión
La TC es una herramienta eficaz para el diagnóstico adecuado de hernias inguinales, siendo no operador dependiente. Por lo tanto, deberíamos, de manera intencionada, indagar en el desarrollo de este defecto herniario, en cualquier tomografía de abdomen, en pacientes con IMC > 25 kg/m2, debido a que en este estudio alcanzamos una prevalencia del 40.1% de este padecimiento.















