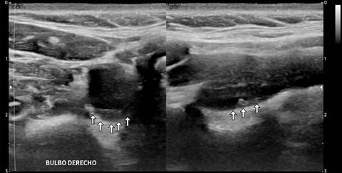
Femenino de 40 años con ataque isquémico transitorio (AIT), en la que se efectuó ultrasonido y angiotomografía que mostraron banda carotídea ipsilateral. La displasia fibromuscular atípica del bulbo o banda carotídea es una patología no ateromatosa implicada en la aparición de infartos cerebrales. La banda carotídea se define como un defecto de llenado lineal en forma de estante en la cara posterior del bulbo de la arteria carótida interna mediante angiotomografía (Figura 1) y/o ultrasonido (Figuras 2 y 3), se reconoce cada vez más como una causa de accidente cerebrovascular criptogénico y/o AIT recurrente, pero la evidencia sigue siendo escasa. Se observa en ambos géneros, con distribución 2:1 a favor del femenino y mayor incidencia en personas de color; cuando son bilaterales (60%) presenta mayor longitud en el lado ipsilateral sintomático que en el contralateral (3-4.5 mm vs 1.85-2.9 mm), observando trombos superpuestos hasta en 30% de los casos con banda carotídea sintomática. A pesar de la recurrencia y gravedad de los accidentes cerebrovasculares originados por embolización asociada con banda carotídea, no existen recomendaciones sobre la mejor estrategia para su manejo; el tratamiento con agentes antiplaquetarios previene la aparición de accidentes cerebrovasculares, pero el tratamiento radical sigue siendo quirúrgico y/o endovascular.

Figura 1: Imagen por tomografía computarizada 3D y fase arterial que revelaron un defecto de llenado focal, lobulado, intimal, en la pared posterior del bulbo carotídeo.

Figura 2: A) Imagen Doppler color y espectro que demostraron cambios en la dirección del flujo vascular adyacente a la protrusión intimal y de flujo turbulento en ambas direcciones. B) Imagen por ultrasonido 2D longitudinal que demostró en la pared posterior del bulbo carotídeo derecho una banda isoecogénica intimal que protruye hacia el lumen arterial.
















