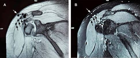
Los artefactos de susceptibilidad magnética se consideran un tipo de artefacto de desplazamiento químico, en el que la deformidad local del campo magnético origina un registro espacial incorrecto de la señal. Estos artefactos se observan en interfaces entre sustancias con diferentes valores de susceptibilidad, causando distorsión de la imagen, pérdida de señal, áreas focales brillantes y falla en la supresión de grasa. En pacientes con cirugía de hombro o artroscopia previa, las partículas ferromagnéticas finas que se dispersan en el tejido debido a microesquirlas de una broca o de una fresa pueden confundirse con cuerpos sueltos o formación de hueso, así como simular edema o celulitis subcutánea (Figura 1). El artefacto aparece como una señal hiperintensa o alta en algunas secuencias con supresión grasa que dependen del campo principal, es decir, STIR o SPAIR (espectral atenuada con inversión de recuperación). Por lo que es recomendable el uso de secuencias que no dependan de la homogeneidad del campo magnético principal. Pudiendo obtenerse una mejor imagen usando secuencias STIR en lugar de técnicas de saturación de grasa que pueden tener una mayor sensibilidad a la falta de homogeneidad.

Figura 1: A) Imagen de resonancia magnética de hombro en secuencia gradiente de eco en corte coronal (efecto blooming) mostrando varias señales hipointensas (flechas negras) en borde de músculo deltoides y una en tejido graso (flecha blanca). B) Imagen en secuencia por densidad protónica con supresión grasa, mostrando los mismos elementos, pero con señal hiperintensa (flechas negras y blanca), en paciente postartroscopia de un año de evolución, correspondiendo a artefactos de susceptibilidad magnética.















