Introducción
La endocarditis infecciosa mural (EIM) es una infección endovascular poco frecuente que afecta al endocardio no valvular.1Pseudomonas aeruginosa es una causa poco común de endocarditis infecciosa (EI) de cavidades derechas, pero su prevalencia ha aumentado en los últimos años.2 Los pacientes sometidos a hemodiálisis tienen más probabilidades de desarrollar EI, y su prevalencia debería aumentar a medida que crece la población de personas con enfermedad renal terminal.3
Con respecto a EIM, no se han reportado en la literatura casos asociados a Pseudomonas aeruginosa. Describimos el caso de una paciente en hemodiálisis con EIM aislada de la aurícula derecha causado por Pseudomonas aeruginosa.
Descripción del caso
Paciente femenino de 54 años con enfermedad renal terminal que ingresó al servicio de nefrología tras presentar fiebre persistente de una semana de evolución, que empeoró durante la sesión de hemodiálisis.
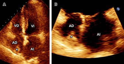
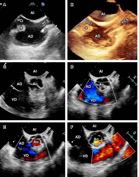
A la exploración física, ruidos cardiacos y respiratorios se auscultaron sin alteraciones. Laboratorios solo reportaron anemia (hemoglobina 8.7 g/dL). Ante sospecha de EI se tomaron hemocultivos y se inició tratamiento con vancomicina más ceftazidima. El ecocardiograma transtorácico (ECOTT) con mala ventana acústica mostró catéter de hemodiálisis engrosado con vegetación en la aurícula derecha (Figura 1), y se realizó ecocardiograma transesofágico (ECOTE), observándose vegetación en el catéter de hemodiálisis así como en aurícula derecha y sin compromiso valvular (Figura 2).

Figura 1: Ecocardiograma transtorácico: vista apical cuatro cámaras (A) con acercamiento a aurículas (B) que muestra catéter de hemodiálisis engrosado con vegetación (*) en aurícula derecha.

Figura 2: Ecocardiograma transesofágico: vista bicaval a 90° (A-B) con catéter de hemodiálisis en vena cava superior con vegetación filiforme 36 × 5 mm (*) y vegetación en aurícula derecha a nivel de desembocadura de vena cava inferior (*) de 26 × 14 mm. Vista eje corto a 45°, (C-F) sin vegetaciones ni afección valvular.
Los hemocultivos fueron positivos para Pseudomonas aeruginosa y se ajustó manejo a piperacilina/tazobactam. Además de retirar el catéter de hemodiálisis, se cambió la terapia de reemplazo renal a diálisis peritoneal. Tras completar el esquema de antibiótico, la paciente fue dada de alta en condición estable y asintomática. En el seguimiento a seis meses, la paciente se mantenía asintomática, afebril y el ECOTT de control no mostró vegetaciones ni compromiso valvular.
Discusión
La EIM representa de 0.7 a 5.6% de los casos de EI.1,4 Los microorganismos implicados con mayor frecuencia son los estafilococos.1 La localización más frecuente es el ventrículo izquierdo (30.8%), seguido de la aurícula derecha (25.6%) (Tabla 1).1,4 La fiebre es el síntoma más común (86%), acompañada de escalofríos.5 Las vegetaciones murales producen menos compromiso hemodinámico en comparación a la EI valvular.4
Tabla 1: Localización de vegetaciones en endocarditis mural.
| Cavidades | n (%) |
|---|---|
| Ventrículo | |
| Derecho | 18 (23.1) |
| Izquierdo | 24 (30.8) |
| Aurícula | |
| Derecha | 20 (25.6) |
| Izquierda | 10 (12.8) |
| Otros – Septum – Vena cava superior – Vena cava inferior – Más de dos cavidades |
6 (7.7) 1 3 1 1 |
Adaptado de: Gutiérrez-Villanueva A et al.1 y Rajesh GN et al.4
El mecanismo de EIM en cavidades derechas no está claro; las posibles razones incluyen un gradiente de baja presión en cavidades derechas, niveles bajos de oxígeno en la sangre venosa, una menor prevalencia de malformaciones congénitas de cavidades derechas y diferencias en la vascularización del endotelio.2,5 Es causada comúnmente por el uso de catéteres en pacientes inmunocomprometidos; el trasplante subyacente, la neoplasia y la hemodiálisis son prevalentes en EIM.1
Las herramientas de diagnóstico más eficaces son ECOTT y los hemocultivos;5 sin embargo, estos pacientes requerirán un ECOTE para evaluación de la extensión de la infección.4 Los desenlaces clínicos de EI de cavidades derechas, incluida la EIM, generalmente son mejores en comparación con la EI de cavidades izquierdas; hay menor embolismo sistémico y formación de abscesos. Responde al tratamiento antibiótico sin complicaciones por extensión extravalvular y la tasa de mortalidad es de < 5 a 10%.2














