Introducción
Durante muchos años, los pacientes con encefalomielitis diseminada aguda (EMDA), mielitis transversa (MT) y síndrome desmielinizante adquirido (SDA) fueron tratados como variantes de esclerosis múltiple (EM). Posteriormente, se introdujo neuromielitis óptica (NMO) por el descubrimiento de IgG contra la acuaporina-4 (AQP-4 IgG); sin embargo, de 10-25% de estos pacientes presentaban AQP-4 negativos; en ellos se identificaron anticuerpos anti-MOG.1
Estos anticuerpos se detectaron en 2007 en pacientes con EM, después, el desarrollo de ensayo basado en células (EBC) demostró que no estaban asociados a EM y se logró identificar a pacientes positivos para anti-MOG. Las pruebas estuvieron disponibles hasta la década siguiente, por lo que los datos epidemiológicos para MOGAD son limitados.2 En Europa la incidencia es de 1.6 a 3.4 por 1’000,000 personas-año (no hay estimaciones en México), con prevalencia en niños y adultos jóvenes sin diferencia de sexo.1
Dentro del diagnóstico, el papel de la resonancia magnética (RM) es crucial demostrando la neuritis óptica, las lesiones en sustancia blanca cerebral y medular asociadas a fenotipo EMDA, así como su papel en seguimiento, vigilancia y prueba de eficacia de medicamentos.
Presentación del caso
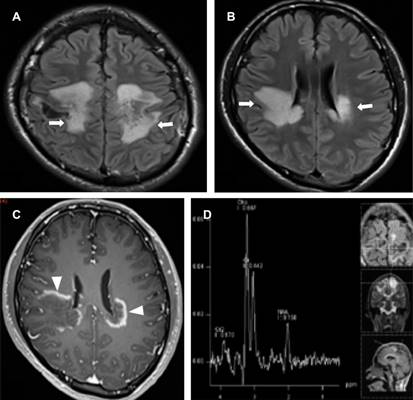
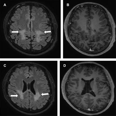
Masculino de 17 años con dos semanas de febrícula, cefalea, ataxia, disminución de agudeza visual de predominio derecho, temblor, fuerza disminuida en extremidades. Laboratoriales: leucocitos 10,100/mm3 con 75%N, proteína C reactiva (PCR) 41.2 mg/L, ELISA VIH negativo, tóxicos en orina negativos. Punción lumbar: leucocitos 70/μL (92% mononucleares), glucosa 68 mg/dL, sugerentes de EMDA, se realizó resonancia de ingreso (Figura 1); se descartó EM por negatividad de bandas oligoclonales IgG específicas, con positividad para anticuerpos anti-MOG mediante EBC. El tratamiento agudo se realizó con metilprednisolona intravenosa a dosis altas con discreta mejoría, en resonancia control presentó compromiso de médula espinal, así como de nervios ópticos (Figura 2); se adicionaron inmunoglobulinas, ocho meses después presentó mejoría sintomática. En resonancia de seguimiento para valoración de tratamiento con disminución de lesiones sin realce de las mismas (Figura 3).

Figura 1: Resonancia magnética cerebral. A y B) Axial FLAIR. Hiperintensidades en la sustancia blanca en centros semiovales, frontoparietales y periventriculares (flechas). C) T1 con gadolinio con reforzamiento periférico de las lesiones (cabezas de flechas). D) Espectroscopia: picos de colina con notable disminución del valor del N-acetilaspartato, lípidos y lactato sugerentes de proceso inflamatorio.

Figura 2: A) Resonancia magnética cervical T2 sagital y B) T2 axial con incremento de la intensidad de señal en la médula espinal (flechas gruesas) y adquisición axial a la altura de disco intervertebral D5-D6 con hiperintensidad que involucra la sustancia blanca evidenciando el signo de la “H axial” (cabeza de flecha). C) Resonancia magnética cerebral coronal FLAIR y D) T1 con gadolinio que muestra la afectación de nervio óptico derecho engrosado, hiperintenso y con realce con medio de contraste (flechas delgadas).
Discusión
La investigación de MOGAD ha avanzado rápidamente en los últimos años, aunado a la mejoría del conocimiento fisiopatológico y radiológico de la enfermedad por compromiso frecuente de neuritis óptica dada por el aumento de intensidad y realce en secuencias contrastadas, con predilección por la vía óptica anterior.2 En aquellas con fenotipo EMDA revelan múltiples lesiones hiperintensas en T2 de gran tamaño y mal delimitadas en la sustancia blanca, la sustancia gris profunda, el tronco encefálico o los pedúnculos cerebelosos medios. Así como en la MT, la resonancia típicamente muestra lesiones hiperintensas en T2 longitudinalmente extensas en las imágenes sagitales que se ubican en centro de imágenes axiales, a veces restringidas a la sustancia blanca o una mezcla de las manifestaciones anteriores mencionadas, convirtiendo a la resonancia en la imagen de elección para tal fin en el diagnóstico, vigilancia y control de la enfermedad.1















