Introducción
Un diente impactado se define como aquel que no ha entrado en erupción en su posición funcional y su saco folicular no mantiene una conexión con la cavidad bucal dentro de su periodo normal de crecimiento1,2. Los caninos maxilares ocupan el segundo lugar en impactación, luego de los terceros molares1. De acuerdo con Grisar et al. el 42.5% de los casos presentan una impactación vestibular2. Su etiología es multifactorial e incluye discrepancia dental, posición ectópica del germen dentario, ausencia de espacio y orientación, presencia de patologías de tejidos duros o blandos y factores genéticos2,3. Además, el 90% de los casos de dientes impactados están cubiertos únicamente por tejido blando3.
Las impactaciones vestibulares suelen ser difíciles de manejar sin ocasionar complicaciones periodontales. Se estima que la técnica quirúrgica empleada para exponer el canino es crítica en el resultado final periodontal porque puede afectar la cantidad de encía adherida sobre la corona del diente una vez que ha llegado a su posición funcional3. La modificación del análisis de Ericson y Kurol propuesto por Lindauer et al. en 1992, permite determinar la posición de los caninos impactados en el maxilar, tomando como referencia al incisivo lateral4. El sector I se ubica distal a la tangente que cruza la superficie distal del incisivo lateral, el sector II incluye el área desde la tangente en la superficie distal hasta la bisectriz de la línea media del incisivo lateral, el sector III se extiende desde la bisectriz de la línea media hasta la tangente que cruza la superficie mesial del incisivo lateral y el sector IV comprende todas las áreas mesiales al sector III4.
Previo a la liberación quirúrgica se deben valorar los parámetros periodontales clínicos como: índice de placa (IP) e índice gingival (IG), profundidad de bolsa (PB), ancho de tejido queratinizado (TQ), puntuación estética de Cairo (PEC), así como parámetros tomográficos tales como altura ósea (AO), soporte óseo (SO) y grosor óseo (GO) para determinar la técnica quirúrgica con la que se tratarán los dientes impactados o incluidos, ya que implica el uso de técnicas de cirugía plástica periodontal como gingivectomía, colgajo de reposición vestibular, colgajo de reposición apical y colgajo de reposición lateral1. Los propósitos del tratamiento quirúrgico son obtener un acceso directo a la corona clínica y suficiente liberación ósea y mucogingival para la colocación del botón ortodóncico3,5,6.
El tratamiento ortodóncico de los caninos maxilares impactados resulta por lo general un reto porque se deben tomar en cuenta varios factores como: selección adecuada de la técnica quirúrgica en donde se considera la posición labio-palatina, posición vertical del diente con respecto a línea mucogingival, posición mesio-distal de la corona del canino y cantidad de tejido queratinizado; la modalidad de tracción ortodóncica para lograr resultados estéticos satisfactorios y de salud periodontal; suficiente espacio en el arco dental para permitir la alineación adecuada del canino, preparación de anclaje precisa, planificación biomecánica cuidadosa y una magnitud de fuerza utilizada dentro de un rango fisiológico (que no debe exceder los 0.6 N)7.
El objetivo de estos dos casos clínicos fue evaluar el seguimiento posquirúrgico a los dos años, analizando los parámetros periodontales clínicos y tomográficos de caninos maxilares impactados sometidos a tracción ortodóncica después de ser expuestos utilizando colgajos de reposición apical y lateral a partir de tejido queratinizado existente.
Presentación de los casos clínicos
Caso 1
Paciente femenina de 13 años de edad, acudió a la clínica de Periodoncia e Implantología de la División de Estudios de Posgrado e Investigación de la Universidad Nacional Autónoma de México (DEPeI-UNAM), referida del departamento de Ortodoncia con diagnóstico de canino maxilar impactado, diente 13, sector III4 para exposición quirúrgica.
Periodontalmente, se diagnosticó gingivitis inducida por biopelícula dental, leve, generalizada; después de realizar la fase I periodontal el tejido se encontraba en salud gingival. Se realizó cirugía de colgajo de reposición apical porque dentro de los parámetros periodontales clínicos se registró en el diente 13 un ancho de tejido queratinizado de 3mm. En la tomografía se observó al diente 13 impactado, con ausencia de cortical en la región vestibular y al nivel de la unión cemento esmalte del diente 11. Estos hallazgos nos permitieron determinar la posición del diente 13 en el sector III de acuerdo al diagnóstico de Lindauer4 y nos ayudan en la selección de la técnica quirúrgica.
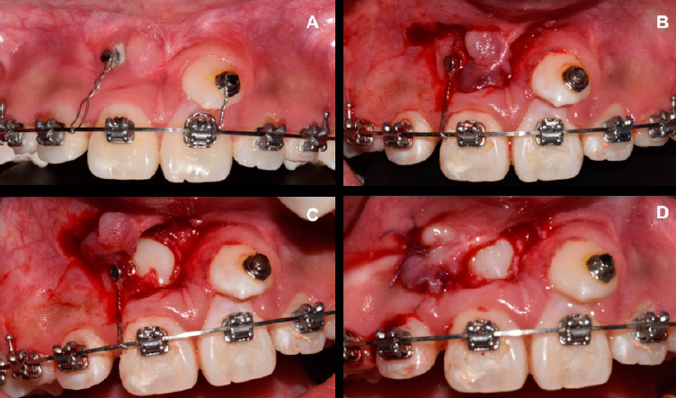
Se optó por realizar un colgajo de reposición apical para preservar la mayor cantidad de tejido queratinizado posible8 y por la posición apical del canino con respecto a la línea mucogingival. En el procedimiento quirúrgico se diseñó un colgajo de espesor parcial, se expusieron dos tercios coronales de la corona y se adhirió el botón de ortodoncia (Borgatta®) lo más cerca al borde incisal mediante sistema adhesivo 3M®. Después se reposicionó el colgajo apicalmente y se suturó al periostio con puntos simples y sutura de ácido poliglicólico 6-0, de manera que cubriera de 2 a 3 mm de la corona (Figura 1. A-D).

Figura 1 Técnica de cirugía plástica periodontal para la exposición del diente 13. Caso1. A. Diseño de un colgajo espesor parcial que se reposicionará apicalmente. B. Exposición del diente 13. C. Colocación del botón de ortodoncia. D. Reposición apical del colgajo a partir de puntos simples y sutura de ácido poliglicólico 6-0.
La tracción del diente 13 se activó en el momento de la colocación del botón ortodóncico con una cadena elástica de segunda generación cerrada Ormco®, en dirección al diente 14, para guiar la erupción (Figura 1. C-D). La tracción se llevó a cabo de manera intermitente desde la exposición del diente hasta el noveno mes de seguimiento ortodóncico donde se logró posicionar al diente con fuerzas ligeras y continuas al año posquirúrgico.
Caso 2
Paciente femenina de 13 años de edad, acudió a la clínica de Periodoncia e Implantología de la DEPeI UNAM, referida del departamento de Ortodoncia con diagnóstico de caninos maxilares impactados dientes 13 y 23, sector IV4, para la exposición quirúrgica mediante colgajo de reposición apical para ambos dientes y una segunda cirugía de colgajo con reposición lateral para el diente 13; además de futuras extracciones de dientes 11 y 21 por extrema rizólisis.
Periodontalmente, se diagnosticó gingivitis inducida por biopelícula dental, leve, generalizada. Después de realizar la fase I periodontal el tejido se encontraba en salud gingival. En el momento de la cirugía el ancho de tejido queratinizado en los dientes 13 y 23 era de 3mm. La tomografía nos permitió determinar la posición de los dientes 13 y 23 en el sector IV de acuerdo con el diagnóstico de Lindauer4 y se observó que el diente 13 se encontraba en una posición apical al diente 23 y cubierto por cortical ósea vestibular. Estos hallazgos nos permitieron determinar la técnica quirúrgica y se optó por realizar un colgajo de reposición apical en ambos caninos para preservar la mayor cantidad de tejido queratinizado posible8 y por la posición apical de los caninos con respecto a la línea mucogingival.
El procedimiento quirúrgico se realizó mediante la técnica de colgajo de reposición apical previamente descrita en el caso 1, tanto para el diente 13 como para el diente 23; con la única diferencia de que en el diente 13 se eliminó una cortical ósea previo al retiro del folículo de tejido conectivo (Figura 2. A-B). La tracción del diente 23 se activó a las dos semanas posquirúrgicas a partir de una ligadura metálica cerrada TD fijada desde el botón ortodóncico (Borgatta®), adherido por sistema adhesivo 3M®, en dirección al diente 21 para guiar la erupción; la tracción se llevó a cabo de manera intermitente durante seis meses.

Figura 2 Técnicas de cirugía plástica periodontal para la exposición de los dientes 13 y 23. Caso 2. A. Diseño de un colgajo de espesor parcial que se reposicionará apicalmente sobre ambos dientes. B. Colocación de botones de ortodoncia y reposición apical de los colgajos a partir de puntos simples y sutura de ácido poliglicólico 6-0.
Seis meses posteriores a la cirugía, se observó que el tejido queratinizado adyacente al botón ortodóncico del diente 13 estaba cubriéndolo y no facilitaría la colocación del bracket para la futura tracción dentaria, por lo que se decidió realizar una segunda cirugía con colgajo de reposición lateral, luego de retirar el botón de ortodoncia (Figura 3. A-D).

Figura 3 Técnica de cirugía plástica periodontal para exposición de diente 13, 6 meses posteriores a la cirugía. Caso 2. A. Presencia de tejido queratinizado lateral al diente 13. B. Diseño de un colgajo de espesor parcial que se reposicionará lateralmente. C. Exposición del diente 13 y colocación del botón de ortodoncia. D. Reposición lateral del colgajo a partir de puntos simples y sutura de ácido poliglicólico 6-0.
Siete meses posteriores a la segunda cirugía los caninos llegaron a oclusión y alcanzaron la zona alveolar correspondiente de los dientes 11 y 21, los cuales se extrajeron por tener un pronóstico sin esperanza por la rizólisis completa y marcada movilidad.
A los dos años posquirúrgicos, una vez que los dientes llegaron a oclusión y alcanzaron su posición en la zona alveolar correspondiente, se valoraron los parámetros clínicos en orden secuencial: IP, IG, PB, TQ, PEC y en el mismo orden en los parámetros tomográficos: AO, SO y GO (Figura 4. A-B).

Figura 4 Análisis tomográfico. Esquema para calcular la altura ósea (AO) y el soporte óseo (SO) vestibular y palatino de los caninos expuestos a los dos años posquirúrgicos. Las líneas verdes identifican la distancia unión cemento esmalte-cresta alveolar (UCE-CA) tanto en la región vestibular como palatina, la línea rosa identifica la distancia ápice-unión cemento esmalte (A-UCE), la línea azul marca la distancia ápice-cresta alveolar vestibular (A-CAV) y la línea blanca entrecortada identifica la distancia ápice-cresta alveolar palatina (A-CAP). El porcentaje óseo fue calculado dividiendo la distancia ápice-cresta alveolar para la distancia ápice-unión cemento esmalte. Esquema para calcular el grosor óseo (GO) vestibular y palatino de los caninos expuestos a los dos años posquirúrgicos. Tomando como referencia la distancia entre la superficie de la raíz y la cortical, perpendicular al eje longitudinal del diente, a 3 mm (S1), 6 mm (S2) y 9 mm (S3) (líneas azules, verdes y moradas respectivamente) de la unión cemento esmalte.
Seguimiento
Caso 1
Diente 13: En los parámetros clínicos el IP=0, presentó ausencia de placa en el área gingival; IG=0, mostró encía con ausencia de inflamación, de hemorragia y alteración del cambio de color, la PB<4mm, con ausencia de bolsas periodontales (Tabla 1), TQ de 5mm (Figura 5. A-C).
Tabla 1 Parámetros periodontales clínicos y tomográficos obtenidos a los dos años posquirúrgicos tanto para el caso 1 como para el caso 2. El porcentaje de soporte óseo se obtuvo dividiendo la distancia ápice-cresta alveolar para la distancia ápice-unión cemento esmalte.
| Caso 1 | Caso 2 | |||
|---|---|---|---|---|
| Variables | Región | Diente 13 | Diente 13 | Diente 23 |
| Índice de placa | 0 | 0 | 0 | |
| Índice gingival | 0 | 0 | 0 | |
| Profundidad de bolsa | Mesio-bucal | 3 | 2 | 2 |
| Medio-bucal | 1 | 1 | 1 | |
| Disto-bucal | 3 | 3 | 3 | |
| Mesio-lingual | 3 | 2 | 2 | |
| Medio-lingual | 3 | 2 | 3 | |
| Disto-lingual | 3 | 2 | 3 | |
| Ancho tejido queratinizado | Medio-bucal | 5 mm | 5 mm | 3 mm |
| Altura ósea (UCE- cresta alveolar) | Vestibular | 3.96 mm | 4.80 mm | 2.26 mm |
| Palatino | 1.42 mm | 1.33 mm | 1.31 mm | |
| Ápice-cresta alveolar | Vestibular | 9.86 mm | 5.01 mm | 3.77 mm |
| Palatino | 12.28 mm | 8.89 mm | 4.84 mm | |
| Ápice-unión cemento esmalte | 13.87 mm | 10.16 mm | 6.16 mm | |
| Soporte óseo | Vestibular | 71% | 49% | 61% |
| Palatino | 88% | 87% | 78% | |
| Grosor óseo vestibular | S1 | 0.53 mm | 0.48 mm | 0.42 mm |
| S2 | 0.49 mm | 0.74 mm | 0.60 mm | |
| S3 | 0.58 mm | 0.71 mm | - | |
| Grosor óseo palatino | S1 | 0.83 mm | 2.49 mm | 1.70 mm |
| S2 | 1.87 mm | 4.00 mm | 3.93 mm | |
| S3 | 2.49 mm | 2.67 mm | - | |

Figura 5 Valoración de tejido queratinizado obtenido alrededor del diente 13, posterior a la cirugía. El tejido siguió al diente durante sus movimientos y es comparable con el de los dientes adyacentes. A. 6 meses posquirúrgicos. B. Al año posquirúrgico. C. A los dos años posquirúrgicos.
En la Tabla 2 se expone la PEC, en donde la puntuación del nivel del margen gingival fue de 6, es decir, ausencia de recesión gingival. En cuanto al contorno del tejido marginal, el resultado fue de 1, evidenciando un contorno marginal festoneado. La variable de textura con puntuación de 0, mostró la presencia de una cicatriz. Para el color, la puntuación fue de 1, mostrando una adecuada integración con los tejidos blandos adyacentes. Por su parte, la LMG se mostró alineada con los dientes adyacentes, obteniendo una puntuación de 1. En total se obtuvo una puntuación de 9.
Tabla 2 Puntajes estéticos de Cairo obtenidos a los dos años posquirúrgicos tanto para el caso 1 como para el caso 2.
| Caso 1 | Caso 2 | ||
|---|---|---|---|
| Variables | Diente 13 | Diente 13 | Diente 23 |
| Nivel del margen gingival | 6 | 6 | 6 |
| Contorno del tejido marginal | 1 | 1 | 1 |
| Textura | 0 | 0 | 0 |
| Color | 1 | 0 | 1 |
| Alineación de la LMG | 1 | 1 | 1 |
| TOTAL | 9 | 8 | 9 |
Pie de tabla: Nivel del margen gingival. 0=presencia de recesión gingival, 6=ausencia de recesión gingival. Contorno del tejido marginal. 0=margen gingival irregular (no sigue la UCE), 1=contorno marginal adecuado/margen gingival festoneado. Textura. 0=formación de cicatriz y/o apariencia queloide; 1=ausencia de cicatriz o formación queloide. Color. 0=el color del tejido varía del color gingival de los dientes adyacentes; 1=color normal e integración con los tejidos blandos adyacentes. Alineación de la LMG. 0=LMG desalineada con la LMG de los dientes adyacentes; 1= LMG alineada con la LMG de los dientes adyacentes.
En los parámetros tomográficos la AO en la región vestibular fue mayor (3.96 mm) en relación a la AO en la región palatina (1.42 mm); el porcentaje de SO vestibular fue menor (71%) en relación al porcentaje de SO palatino (88%) (Tabla 1) (Figura 6. A). El GO fue menor en los tres puntos de la cortical vestibular (S1=0.53 mm) (S2=0.49 mm) (S3=0.58 mm) en relación con el GO en los tres puntos de la cortical palatina (S1=0.83 mm) (S2=1.87 mm) (S3=2.49 mm) (Tabla 1) (Figura 7. A).

Figura 6 Imagen tomográfica donde se muestran las mediciones de la altura ósea (AO) y soporte óseo (SO) vestibular y palatino de los caninos expuestos a los dos años posquirúrgicos. A. Diente 13, caso 1. B. Diente 13, caso 2. C. Diente 23, caso 2.
Caso 2
Dientes 13 y 23. En los parámetros clínicos el IP=0, presentó ausencia de placa en el área gingival, IG=0, mostró encía con ausencia de inflamación, de hemorragia y de cambio de color, PB<4mm, con ausencia de bolsas periodontales (Tabla 1), TQ de 5mm y 3mm para los dientes 13 y 23 respectivamente (Figura 8. A-C). La PEC mostró una puntuación de 6 para el nivel del margen gingival en los dos caninos, es decir, ausencia de recesión gingival; en cuanto al contorno del tejido marginal, el resultado fue de 1 para ambos dientes, evidenciando un contorno marginal festoneado; la variable de textura con puntuación de 0, mostró la presencia de una cicatriz alrededor de los dos caninos; para el color, la puntuación fue de 0 para el diente 13, mostrando una variación del color en relación a los dientes adyacentes y, de 1 para el diente 23, evidenciando una adecuada integración con los tejidos blandos adyacentes; por su parte, la LMG se mostró alineada con los dientes adyacentes, obteniendo una puntuación de 1 en los dos dientes. En total se obtuvo puntuación de 8 para el diente 13, y de 9 para el diente 23 (Tabla 2).

Figura 8 Valoración de tejido queratinizado obtenido alrededor de los dientes 13 y 23, posteriores de la cirugía. El tejido siguió al diente durante sus movimientos y es comparable al de los dientes adyacentes. A. 6 meses posquirúrgicos. B. Al año posquirúrgico. C. A los dos años posquirúrgicos.
En los parámetros tomográficos para el diente 13, AO en la región vestibular fue mayor (4.80 mm) en relación con la AO palatina (1.33 mm); el porcentaje de SO vestibular fue menor (49%) en relación con el porcentaje de SO palatino (87%). Para el diente 23, AO en la región vestibular fue mayor (2.26 mm) en relación con la AO palatina (1.31mm); el porcentaje de SO vestibular fue menor (61%) en relación con el porcentaje de SO palatino (78%) (Tabla 1) (Figura 6. B-C).
Se observó que el GO para la cortical vestibular del diente 13 fue menor en los tres puntos (S1=0.48 mm) (S2=0.74 mm) (S3=0.71 mm) en relación con el GO en los tres puntos de la cortical palatina (S1=2.49 mm) (S2=4.00 mm) (S3=2.67 mm). Para el diente 23 el GO de la cortical vestibular fue menor en los dos puntos (S1=0.42 mm) (S2=0.60 mm) en relación con el GO en los dos puntos de la cortical palatina (S1=1.70 mm) (S2=3.93 mm). El tercer punto (S3) no pudo ser evaluado debido a la disminuida altura de las corticales vestibular y palatina (Tabla 1) (Figura 7. B-C).
Discusión
Este reporte de casos coincide con el estudio de Cercadillo-Ibarguren et al.9 en el que se observó que el IG, el sangrado al sondaje (SS) y PB no presentaron diferencias significativas en dientes expuestos quirúrgicamente y sometidos a tracción ortodóncica. A partir de estos resultados, se pudo concluir que la técnica del colgajo reposicionado apicalmente resultó ser un procedimiento predecible que permite mantener la salud periodontal a largo plazo. Los resultados de este reporte de casos mostraron que el promedio del TQ obtenido alrededor de los dientes expuestos fue de 4.3 mm, similar al de los dientes adyacentes. Estos resultados son similares con los reportados por Lee et al.10 en donde el grupo de dientes expuestos por colgajos reposicionados apicalmente evidenciaron valores de profundidad de bolsa y ancho de tejido queratinizado comparables a los dientes adyacentes.
Este reporte de casos clínicos incluyó la PEC11 que, a pesar de estar orientada a evaluar resultados estéticos posteriores a técnicas quirúrgicas de cobertura radicular, resulta muy práctica para la valoración del estado de los tejidos blandos a los seis meses posquirúrgicos. En el caso de la textura, los caninos expuestos obtuvieron un valor de 0 ya que evidenciaron la formación de una cicatriz; esta misma situación la reportó el estudio de Cercadillo-Ibarguren et al.9 en donde el 86.7% de los dientes expuestos por un colgajo de reposición apical presentaron signo de cicatrización y el 46.7% evidenció la presencia de una cicatriz bilateral en los tejidos blandos de los dientes intervenidos. En la variable del color, el diente 13 expuesto en el caso 2, obtuvo un puntaje de 0 ya que un color rojizo incompatible con gingivitis variaba en relación al de los tejidos adyacentes. El estudio de Cercadillo-Ibarguren et al.9 reportó la misma situación y lo atribuyó al hecho de que la mucosa alveolar se acumula desde una posición apical junto con el colgajo suturado en su posición final.
En cuanto a la valoración ósea posquirúrgica, los resultados evidenciaron que el grupo de dientes expuestos quirúrgicamente presentaron una mayor AO en la región vestibular en relación con la región palatina donde la distancia UCE-CA fue menor. Guo et al.12 en su revisión sistemática y metaanálisis sugieren que, durante los movimientos ortodóncicos la remodelación ósea implica principalmente la reabsorción ósea en la región palatina y una limitada aposición ósea en la región vestibular. Castro et al.13 informaron que los caninos maxilares reportaron un alto riesgo de pérdida ósea alveolar vertical durante movimientos de ortodoncia. Una mayor distancia UCE-CA se reportó en la región vestibular del diente 13 expuesto en el caso 2 en relación al caso 1. Kohavi et al.14 recomiendan el empleo de fuerzas ligeras durante los movimientos de inclinación y extrusión para evitar menor pérdida ósea durante la tracción de dientes impactados. El GO de los caninos expuestos, valorado a 3 mm, 6 mm y 9 mm de la UCE fue menor en la cortical vestibular en relación con la cortical palatina en los mismos puntos. La revisión sistemática de Mandelaris et al.15 reporta una mayor incidencia de dehiscencia ósea en dientes sometidos a fuerzas ortodóncicas destinadas a mover la dentición fuera del alveolo.
La literatura reporta otras posibilidades en cuanto a técnicas para exposición de caninos, como un abordaje quirúrgico cerrado. Sin embargo, esta técnica presenta desventajas como anquilosis, ausencia de un control directo del movimiento y necesidad de un procedimiento quirúrgico adicional si se produce la decementación del botón ortodóncico; además, pueden crearse problemas mucogingivales por una mecánica de ortodoncia inadecuada haciendo que el diente erupcione a través de la mucosa8.
Conclusiones
Tanto el colgajo de reposición apical utilizado en los dientes 13 del caso uno y 13 y 23 del caso dos, así como el colgajo de reposición lateral utilizado en el diente 13 del caso dos, han demostrado ser técnicas de cirugía plástica periodontal efectivas para mantener un adecuado ancho de tejido queratinizado alrededor de dientes naturales. Estas técnicas contribuyen de manera importante a la preservación de la salud periodontal y al éxito en los tratamientos interdisciplinarios.
Es importante destacar que en la literatura existen limitados reportes que evalúen de manera conjunta parámetros periodontales clínicos y tomográficos. Es por esto que se deben seguir realizando reportes de casos clínicos, con el objetivo de desarrollar en un futuro, un protocolo de evaluación previo a la cirugía de exposición de caninos. Esto permitirá establecer criterios con mayor evidencia clínica para la planificación de estos procedimientos quirúrgicos.














