Introducción
La biprotrusión dentoalveolar es una maloclusión cuya característica principal es la protrusión y proclinación de los dientes anteriores en el maxilar y la mandíbula1. Como consecuencia de esto, los labios se encuentran protrusivos y el perfil facial es convexo. Las manifestaciones extraorales pueden presentarse en mayor o menor grado dependiendo de la severidad de la biprotrusión y de las características de tejidos blandos del paciente2,3. Algunos casos presentan Clase I molar y Clase I canina con una buena función oral, haciendo que la estética sea el motivo principal por el cual los pacientes buscan tratamiento de ortodoncia2. El objetivo principal de tratamiento de esta maloclusión es reducir la proclinación y protrusión de los incisivos, consecuentemente, la mejora en la protrusión labial4.
Una de las alternativas de tratamiento para corregir este tipo de maloclusión incluye la extracción de los primeros premolares superiores e inferiores con retracción de los segmentos anteriores5. Otra alternativa de tratamiento es la distalización total de los órganos dentarios de la arcada maxilar y mandibular con anclaje en mini-implantes colocados en la cresta infracigomática y/o la repisa mandibular, la cual ha demostrado ser favorable para cambios estéticos en los tejidos blandos, así como en la posición dental y esqueletal6,7. Por lo tanto, el objetivo de este artículo es mostrar el manejo, tratamiento y resultados de un paciente con biprotrusión dentoalveolar moderada mediante distalización de la arcada superior e inferior con mini-implantes, en cuyo proceso se observaron intrusión posterior y retroclinación de incisivos como resultado de la biomecánica de retracción empleada.
Presentación del caso clínico
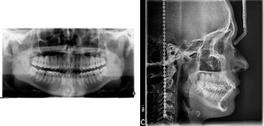
Paciente masculino de 21 años se presentó a la clínica de la Especialidad de Ortodoncia de la Escuela Nacional de Estudios Superiores Unidad León, UNAM. El motivo de consulta fue que sus dientes superiores se encontraban "muy inclinados hacia enfrente". Al analizar la historia clínica y toma de registros fotográficos (Figura 1), imagenológicos (Figura 2) y de modelos de estudio (Figura 3), se diagnosticó lo siguiente: Clase I esquelética, mesofacial, con crecimiento neutro, presencia de todos los dientes erupcionados, clase I molar bilateral, clase II canina derecha y clase I canina izquierda, con apiñamiento leve superior e inferior, protrusión y proclinación de incisivos superiores e inferiores, múltiples giroversiones; con perfil facial recto con proquelia inferior y escalón labial ligeramente negativo. Sin alteraciones ni patologías en la función del aparato estomatognático. El objetivo del tratamiento fue aliviar apiñamiento superior e inferior; corregir la proinclinación y la protrusión de los incisivos superiores e inferiores; distalizar arcada superior e inferior con intrusión del segmento posterior y retroclinación del segmento anterior; conservar la clase I molar, lograr clase I canina bilateral, y retruir el labio inferior.
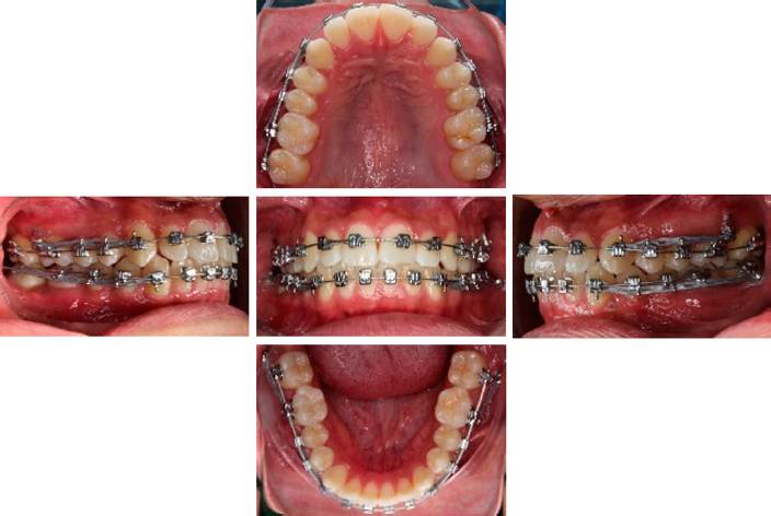
Se cementaron brackets de autoligado pasivo ranura 0.022" (Easy-K) y tubos de cementado directo en primeros y segundos molares superiores e inferiores. Bajo anestesia local se colocaron mini-implantes en cresta infracigomática y repisa mandibular de ambos lados y se realizó carga inmediata de los implantes con cadena elástica corta que iba desde el bracket del canino de cada cuadrante a su implante correspondiente con una fuerza de 50 gramos. Una vez instalada la aparatología, se remitió al paciente a extracción de los dientes 18, 28, 38 y 48.
La biomecánica consistió en distalizar la arcada superior e inferior con los dispositivos de anclaje temporal desde la fase inicial del tratamiento con cadenas elásticas medianas que se colocaron desde el implante al bracket de los caninos de cada uno de los cuadrantes (Figura 4). Se empleó una fuerza de 150-200 gramos. La cadena elástica se cambió cada dos semanas a lo largo de todo el tratamiento. Se observaron espacios entre caninos y laterales superiores de cada lado. En la fase de trabajo se colocaron ganchos crimpables en un arco de acero inoxidable 0.019" x 0.025" entre canino y lateral de cada lado y se colocó cadena elástica que iba desde el mini-implante al gancho crimpable correspondiente a cada lado, tanto en arcada superior como inferior. Para lograr mayor cierre de estos espacios, se colocó cadena elástica desde el mini-implante al bracket del canino, pasándola por la parte incisal del bracket de los cuatro incisivos superiores y volviéndola a colocar al canino contralateral y posteriormente al implante contra-lateral. En la fase de finalización, se retiraron los mini implantes, se colocó arco multitrenzado de acero 0.019" x 0.025" en inferior y arco de acero inoxidable 0.019" x 0.025" en superior.
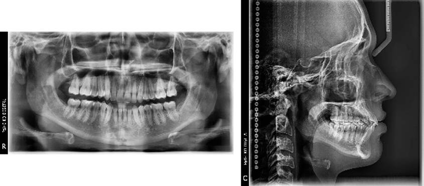
Se utilizó la siguiente secuencia de arcos durante el tratamiento: fase inicial arcos NiTi 0.014", NiTi 0.018", Thermal NiTi 0.016" x 0.022", Thermal NiTi 0.017" x 0.025"; fase de trabajo Thermal NiTi 0.019" x 0.025", acero Inoxidable 0.019" x 0.025"; finalización multitrenzado inferior 0.019" x 0.025" acero Inoxidable superior 0.019" x 0.025" y elásticos de asentamiento "N" invertida 3/16" 2 Oz. de canino inferior a canino superior, primer premolar inferior y primer premolar superior de ambos lados, elástico en "M" V/ 2 Oz de segundo premolar inferior a segundo premolar superior, primer molar inferior, primer molar superior, segundo molar inferior de ambos lados. Se retiró la aparatología fija con pinzas quita Brackets y se eliminó el exceso de resina con pinzas con punta de titanio y posteriormente con fresa multi-hoja de alta velocidad con irrigación y pulido con discos soflex. Se colocó retenedor removible circunferencial superior y retenedor fijo inferior de 3 a 3 elaborado con alambre respond 0.017". Por último, se realizó toma de ortopantomografía y lateral de cráneo (Figura 5) y sobreimposición cefalométrica (Figura 6).
Al finalizar el tratamiento de ortodoncia se observaron cambios favorables que concuerdan con los objetivos planteados al inicio del tratamiento. Clínicamente se observó retroclinación de los incisivos superiores, aumento de la sobremordida vertical, se conservó la clase I molar bilateral y se logró clase I canina bilateral. Hubo corrección del apiñamiento leve y corrección de rotaciones; los cambios de tejido blando que se observaron fueron retrusión de labio superior e inferior, y se observó escalón labial recto (Figura 7). Esqueléticamente hubo disminución de 1° del ángulo SNA, mientras que el ángulo SNB se mantuvo sin cambios. El ángulo interincisal aumentó, lo cual indica que hubo una retroclinación considerable. El ángulo del incisivo superior respecto al plano palatino disminuyó, indicándonos una retroclinación del mismo. De igual manera, el ángulo del incisivo inferior respecto al plano mandibular también mostró retroclinación al final del tratamiento (Tabla 1).
Discusión
De acuerdo con Lew9, Tan10 y Kurz11, el tratamiento para disminuir la convexidad facial en protrusiones dentoalveolares consiste en realizar extracciones de primeros premolares superiores e inferiores con retracción de los segmentos anteriores y con ello disminuir la biprotrusión labial. Sin embargo, en la actualidad se ha disminuido la tendencia de realizar este tipo de procedimientos debido a nuevas alternativas para solucionar las distintas maloclusiones. Un ejemplo de ello ha sido la introducción de mini-implantes y la simplificación de las mecánicas que requieren anclaje máximo y deslizamiento.
En 2003, Lin y Liou14 realizaron un trabajo sobre la colocación de mini-implantes en zonas extra-alveolares, como la cresta infracigomática, para lograr una mecánica de distalización de la totalidad de la arcada superior en pacientes CII dental. A partir de entonces, se ha empleado el mismo concepto de colocación de mini-implantes extra-alveolares para mecánicas de distalización en la arcada inferior para pacientes CIII dental, siendo la repisa mandibular el sitio de inserción de éstos.
En este caso, al paciente se le presentaron dos alternativas de tratamiento: Una consistía en realizar extracciones de primeros premolares superiores e inferiores para tratar la biprotrusión dentoalveolar; la alternativa fue realizar distalización de la arcada dental con mini-implantes sin la necesidad de extracciones de premolares y en su lugar, realizar extracción de los cuatro terceros molares. El paciente aceptó el segundo plan de tratamiento.
Dependiendo del vector de fuerza formado con la cabeza del mini-implante al punto anterior de retracción y la relación que tiene con el centro de resistencia, la distalización puede realizar un movimiento simultáneo de distalización e intrusión posterior6,16. Se decidió realizar distalización con un vector de fuerza que pasara por debajo del centro de rotación de la zona posterior del maxilar y de la mandíbula. Con ello se lograría una distalización con intrusión de los dientes posteriores, extrusión y palatinización de los dientes anteriores. De esta forma, pudimos alcanzar los objetivos planteados al inicio, que era distalizar la arcada superior y lograr una retroclinación de los incisivos superiores e inferiores.
Conclusión
La distalización con mini-implantes en cresta infracigomática y repisa mandibular para el tratamiento de biprotrusión dentoalveolar es una alternativa adecuada y más conservadora para la retrusión y retroclinación dentoalveolar sin la necesidad de extracción de premolares, obteniendo resultados favorables, funcionales y estéticos.





















