INTRODUCCIÓN
La erosión dental ha sido estudiada y descrita como una lesión dental no cariosa multifactorial, que causa la pérdida irreversible de las estructuras dentales, esmalte o dentina, debido a un proceso químico y sin la participación de bacterias. Los ácidos pueden provenir de fuentes extrínsecas, como alimentos y bebidas, la dieta juega un papel importante, la frecuencia de consumo, el tiempo de contacto con el ácido y los patrones inusuales de consumo también son factores relevantes que influyen en el efecto erosivo. La fuente intrínseca es la presencia de ácido gástrico (ácido clorhídrico) en la cavidad oral por problemas de reflujo gastroesofágico o desórdenes alimenticios.1
Los signos característicos de la erosión dental incluyen: facetas planas y suaves en las superficies palatinas y vestibulares, así como concavidades superficiales localizadas en las caras oclusales. Dependiendo del origen del problema (extrínseco o intrínseco) podemos encontrar tres signos clínicos del reflujo gastroesofágico en la boca, que son las cúspides redondeadas, restauraciones que se elevan por encima del nivel de las superficies dentales adyacentes y la morfología de la pérdida del esmalte.1,2 Cuando la erosión es el factor dominante, las superficies bucales y palatinas de los incisivos superiores aparecen lisas y brillantes, con una pérdida generalizada de la anatomía y la dentina expuesta es lisa, además muchas veces presenta un halo de esmalte alrededor de la lesión, normalmente en la zona del margen gingival.3 En pacientes con dientes erosionados y desgastados por el bruxismo, se debe determinar la causa principal de la pérdida de estructura dental, para eliminar los factores etiológicos antes de realizar la rehabilitación. Por lo tanto, independientemente de la etiología, el desgaste dental se considera patológico.4
Los procedimientos adhesivos preservan más estructura dental, al evitar los procedimientos endodónticos, y los dientes rehabilitados con restauraciones adhesivas son más estéticos que los rehabilitados con restauraciones cementadas.5 Algunos autores han propuesto distintas técnicas para el tratamiento de pacientes con erosión dental, con el fin de lograr una máxima preservación de la estructura dental, así como un resultado estético más predecible y funcional. Por ello se ha desarrollado un innovador concepto: «La técnica de tres pasos».6
Este manuscrito tuvo como objetivo realizar el reporte de caso de un paciente con erosión dental, donde se realizaron los estudios necesarios para confirmar el diagnóstico presuntivo de reflujo gastroesofágico, para su posterior planeación y rehabilitación bucal con incremento de la dimensión vertical de oclusión (DVO), utilizando para la finalización del caso restauraciones cerámicas y de resina compuesta.
PRESENTACIÓN DEL CASO
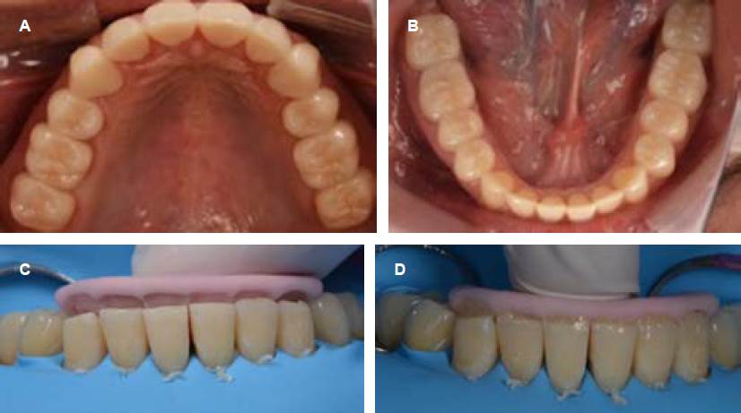
Paciente masculino de 32 años de edad, quien se dedica a la atención de un restaurante. Acudió a la clínica odontológica del postgrado de la Universidad Autónoma de Guadalajara y comentó que el motivo principal de la consulta fue que tenía los dientes muy desgastados y presentaba sensibilidad en algunos de ellos (Figura 1A-B). El paciente afirmó ser obsesivo compulsivo y padecer el síndrome de Tourette, el cual es un trastorno neuropsiquiátrico de desarrollo en el inicio de la infancia, que se caracteriza por movimientos y vocalizaciones breves, estereotipadas, pero no rítmicas, semejantes a «sacudidas» que son llamadas «tics». En el momento de la consulta, refirió que no tomaba medicamentos para su padecimiento porque los dejó de consumir desde hacía cinco años. La salud del paciente fue considerada como buena y no presentaba ningún tipo de alergia.

Figura 1 Fotografías iniciales. A) Oclusal superior. B) Oclusal inferior. C) Encerado de diagnóstico. D)Prueba de mock-up.
Durante la exploración extraoral, se observó un biotipo dolicofacial con la musculatura hipertrófica a nivel de maseteros y tejidos cutáneos aparentemente sanos; en la exploración intraoral, se observaron erosiones generalizadas en varios órganos dentales, causadas posiblemente por periodos de reflujo gastrointestinal y atrición. Se encontró un fenotipo periodontal grueso y aparente salud periodontal. En la exploración radiográfica, se observó un adecuado nivel óseo, no se encontraron caries ni patologías aparentes, únicamente el tratamiento de conductos del órgano dentario 36, con una base aparente de ionómero de vidrio. Se le indicó al paciente un estudio de pHmetría para identificar periodos de reflujo y cambios en el pH. Los resultados arrojados por el estudio fueron que la cantidad de episodios de reflujo gastroesofágico, en este caso 43, se consideró capaz de ocasionar un daño en el tejido dental, teniendo en cuenta también el tiempo de evolución que el paciente llevaba con este problema sin saberlo, aunque el pH de 4 que presentaba el paciente fuera considerado fisiológico. Gracias a estos resultados pudimos confirmar el diagnóstico como erosión dental. El plan de tratamiento se llevó a cabo en dos partes, la parte protésica y la parte médica.
Se ejecutó la rehabilitación completa por segmentos de acuerdo a la técnica de tres pasos de Francesca Vailati, Urs Cristoph Belser. En esta técnica se alternan tres pasos de laboratorio con tres pasos clínicos para lograr un resultado más predecible. En el primer paso, se realizó la evaluación estética al establecer la posición del plano oclusal.Enelsegundopaso, se restauró el sector posterior con una dimensión vertical oclusal incrementada. Por último, el tercer paso fue reestablecer la guía anterior.5,6 Se hizo un montaje de los modelos de estudio tomando arco facial, con la ayuda de un registro interoclusal en relación céntrica (Figura 2C). Después se efectuó el encerado de diagnóstico estableciendo una DVO con el espacio disponible. Se confeccionó un mock-up realizado con una llave de polivinylsiloxano tomado del encerado de diagnóstico y con material de resina bis acrílica, para evaluar el plano oclusal, el plano incisal, la estética y la fonética (Figura 1D).

Figura 2 Fotografías de seguimiento, restauraciones finales cementadas. A) Oclusal superior. B) Oclusal inferior. C) Restauración con técnica de resina en el sector anteroinferior con ayuda de la matriz de silicón tomada del encerado de diagnóstico. D) Aplicación de la resina con técnica de estratificación.
Una vez que el paciente aceptó que se llevará a cabo el tratamiento, después de analizar el mock-up, se efectuó el tallado de los órganos dentales para recibir las futuras restauraciones. Se decidió entonces realizar coronas completas en los órganos dentales anterosuperiores elaboradas de disilicato de litio. No se realizó tallado por la cara palatina, ya que sólo se restableció con cerámica la estructura perdida, por la cara vestibular y en el borde incisal se realizaron desgastes de 0.8 mm, 0.5 mm en el tercio medio y 0.3 mm en el tercio incisal. Dichos desgastes se realizaron sobre un mock-up previamente asentado sobre los dientes intactos para evaluar el volumen final de la restauración y calibrar la reducción dental mínima. En la zona de los premolares y molares de la arcada superior se realizaron preparaciones para restauraciones tipo Vonlay. Estas preparaciones fueron diseñadas para cubrir la superficie bucal y oclusal manteniendo el punto de contacto interproximal intacto. Dado que la DVO fue incrementada 3 mm en la zona anterior y 1.4 mm en posterior, la remoción de estructura dental en oclusal fue limitada a 0.1 mm en el segundo molar. En la zona de los premolares no hubo la necesidad de conformar una preparación. En general, en el maxilar superior se realizaron preparaciones conservadoras para hacer restauraciones de cobertura completa, esto debido a la cantidad de espacio y la longitud corta de los dientes.
En los dientes anteriores superiores fue posible preservar la mayor cantidad de esmalte remanente. La línea de terminación se posicionó a nivel gingival, para optimizar resultados estéticos, y donde no era requerida la línea de terminación fue posicionada a nivel supragingival. Se elaboraron bordes incisales con resina en los incisivos mandibulares con la ayuda de una matriz de silicón, de acuerdo a la DVO establecida en el encerado. Para las preparaciones tipo Vonlay se realizó un desgaste oclusal de 2 mm con una inclinación de las cúspides de 45o y una preparación de carilla por vestibular, al extenderse de la línea del ángulo mesiovestibular a la línea del ángulo disto vestibular. Los provisionales fueron fabricados con la DVO establecida con la técnica indirecta modificada para posteriormente realizar un rebase directo en la boca y cementarlo con cemento temporal. Se evaluó la comodidad del paciente, la fonética, la estética dental, además de la apariencia física. Después de un mes se tomó la impresión final, para ésta se colocó técnica de doble hilo retractor en el surco, se tomó con silicona de adición, (Imprint light ESPE 3M) usando una cucharilla individual de láminas de resina de metil metacrilato de fotocurado y adhesivo para cucharilla. Antes de realizar la impresión se limpiaron las superficies dentales con tierra pómez y una copa de silicón para retirar cualquier residuo de cemento provisional o de placa bacteriana. Posterior a eso, se tomó la impresión con la técnica de doble mezcla a un solo paso, utilizando un material de consistencia pesada (3M Imprint II) y de consistencia ligera (3M Imprint II).
Luego se tomó un registro interoclusal con un material de resina acrílica de autocurado (Pattern Resin LS, GC) en relación céntrica y en la DVO establecida, al copiar de manera fiel las superficies dentales para un reposicionamiento adecuado. Para los modelos de trabajo se utilizó yeso tipo IV y se usó el modelo alveolar para la fabricación de las restauraciones en el laboratorio, con el fin de permitir un mejor registro de los tejidos blandos y así evitar sobrecontornear las restauraciones al realizar un adecuado perfil de emergencia. Las restauraciones se hicieron de disilicato de litio por las propiedades estéticas y físicas óptimas que presenta este material, realizadas con la técnica de encerado y prensado con pastillas IPS e.max MT. Se realizaron coronas monolíticas con técnica de maquillaje. Una vez realizadas las restauraciones superiores se continuó con la cementación adhesiva de éstas con la técnica de Pascal Magne. Antes de cementar las piezas cerámicas deben ser probadas meticulosamente en la boca. Después de retirar el provisional, se limpian las superficies dentales con una copa de silicón y una pasta ligeramente abrasiva utilizando dique de hule para aislar.
Para el acondicionamiento de las restauraciones se colocó en su parte interna ácido fluorhídrico al 5% por 20 segundos, se lavaron y se colocaron las restauraciones en agua destilada en ultrasonido por cinco minutos y se aplicó silano. Se empleó una capa de resina adhesiva seguida por un suave y tenue flujo de aire, y se procedió a colocar lentamente siguiendo el eje de inserción del diente con presión digital, se eliminaron excedentes con un pincel y se polimerizó por 60 segundos. Se utilizó un gel de glicerina y se fotocuró nuevamente. Se revisó la oclusión y se continuó con la toma de impresión de la zona posterior con la misma técnica de impresión y con los mismos materiales. Las restauraciones se elaboraron de la misma forma y se adhirieron con el mismo protocolo (Figura 2A-B). Para la zona anteroinferior se colocaron bordes incisales con resina compuesta, elaborados con aislamiento absoluto y una llave de silicón basada en el encerado, de esta forma se preservó al máximo la estructura dentaria (Figura 2C-D). Mediante desgastes mínimamente invasivos y sólo dando espacio necesario para el material restaurador, se obtuvieron grandes resultados estéticos y funcionales que preservaron el tejido dental sin aumentar demasiado la DVO del paciente (Figura 3A-B).
DISCUSIÓN
La erosión dental es una afección oral común y se está volviendo cada vez más presente en las últimas décadas. La enfermedad por reflujo gastroesofágico (ERGE) es una afección en la que hay un paso involuntario de contenido gástrico hacia el esófago que conduce a síntomas como acidez estomacal, dolor en el pecho, pirosis, ronquera, asma, dolor de garganta y erosión dental.7 Se recomienda la detección temprana ylaintervención paraprevenir daños extensos a la dentición. Los informes sugieren que la alta incidencia de ERGE en hombres de mediana edad se atribuye al estrés laboral y personal, los hábitos alimenticios y los antecedentes familiares. El dentista puede ser el primer profesional en sospechar de ERGE debido a la erosión dental.8
La erosión extrínseca se observa de manera rutinaria en las superficies vestibulares de los dientes anteriores superiores, mientras que las lesiones de erosión intrínseca a menudo se presentan en la superficie palatina de los dientes anteriores.8 En superficies lisas, las lesiones erosivas ocurren de forma coronal en la unión de cemento y esmalte, lo que a menudo deja un borde cervical intacto. Las lesiones son poco profundas y pueden afectar toda la superficie del diente.9 Se debe hacer un examen completo de los dientes. El diagnóstico a menudo se realiza mediante inspección visual y observaciones para cualquier superficie de diente opaca, estructuras aplanadas de esmalte, desarrollo de defectos distintos, cúspides ahuecadas, aplanamiento de la morfología dental, lo que hace que las restauraciones sean más prominentes, pérdida de contactos oclusales y disminución de la altura de la corona.9 La evaluación del desgaste dental es subjetiva, este caso en particular se basó en el índice de Smith y Knight, donde se pudo evaluar un desgaste severo con una pérdida de estructura dental de aproximadamente 2 mm; tomando en cuenta la edad del paciente y sus necesidades se realizó un tratamiento restaurativo conservador y aditivo en el que procuramos dejar la mayor cantidad de tejido sano intacto.10 Smith y Knight desarrollaron un índice de desgaste dental, un sistema por el cual las cuatro superficies (vestibular, cervical, lingual y oclusal-incisal) de todos los dientes presentes son puntuados por desgaste, independientemente de cómo ocurrió, en caso de duda, se otorga la puntuación más baja. Este índice fue el primero diseñado para medir y monitorear el desgaste dental multifactorial.11
La pérdida de la cubierta protectora del esmalte de los dientes puede conducir a hipersensibilidad, deterioro funcional, caries, así como fractura de dientes, particularmente si hay bruxismo asociado.12 Tradicionalmente, una rehabilitación debocacompletahasido el tratamiento recomendado para pacientes afectados por erosión dental severa generalizada. Sin embargo, un concepto restaurador que comprende una cobertura completa de la corona de casi todos los dientes y un tratamiento extenso del conducto radicular puede ser demasiado agresivo para esta población de pacientes generalmente jóvenes. Con las técnicas adhesivas mejoradas y actuales, las indicaciones para coronas han disminuido y un enfoque más conservador puede proponerse para preservar la estructura dental y posponer tratamientos más invasivos hasta que el paciente sea mayor.13 Utilizando la técnica de tres pasos descrita anteriormente, el clínico puede transformar una rehabilitación oral completa en una rehabilitación por cuadrantes individuales para así tener un resultado más predecible y con una mejor función.6
CONCLUSIÓN
La terapia restauradora de la erosión dental debe basarse en un método mínimamente invasivo. La técnica de tres pasos es un enfoque estructurado para lograr una rehabilitación adhesiva y completa de la boca, con un resultado más predecible, una cantidad mínima de preparación dental y el más alto nivel de aceptación del paciente.
La ERGE se ha asociado con problemas dentales como erosión dental, halitosis, patología de la mucosa y bruxismo. Por lo general, los pacientes con ERGE refieren manifestaciones orales de la enfermedad, lo que revela la importancia del tratamiento multidisciplinario y el seguimiento de estos pacientes.















