INTRODUCCIÓN
El queratoquiste odontogénico (QQO) es un quiste de origen odontogénico caracterizado por una delga da capa de epitelio escamoso paraqueratinizado.1 El término «queratoquiste odontogénico» fue utilizado por primera vez por Philppson (1956) y posterior a esto, sus características clínicas e histológicas fueron confirmadas por Brownie (1970-1971). En ese tiempo se creía que era un quiste benigno, pero potencial mente agresivo y recurrente.2
En el año 2005 la Organización Mundial de la Salud (OMS) renombró a esta lesión como «tumor odontogé nico queratoquístico», debido a que se creía que por su comportamiento clínico era más parecido al de una neoplasia, con alta recurrencia posterior a su enuclea ción simple, sus características histológicas y, más re cientemente, a los marcadores presentes en el quiste, los cuales consisten específicamente en el antígeno de proliferación celular nuclear (PCNA), Ki67, la secuencia BCE 2 de la enzima dihidropropil acetiltransferasa, metaloproteinasas de la matriz (MMP) 2 y 9, y p53.3
Después, en el año 2017, la OMS reclasificó al que ratoquiste dentro del apartado de quistes de origen odontogénico, ya que no había suficiente evidencia para clasificarlo como una neoplasia como tal. Mientras existe un mar de cambios de la patogénesis molecular de esta entidad, la mayoría de las definiciones de neo plasia incluyen un concepto de autonomía, la cual, aun que se remueva el agente causante, ésta puede seguir creciendo. Las neoplasias no pueden remitir espontá neamente, en cambio, se ha descrito de manera amplia que los queratoquistes pueden ceder después de su descompresión e imprevistamente, el revestimiento de muchos de los quistes descomprimidos aparentan ser similares histológicamente al de la mucosa bucal.4
Elobjetivodeesteartículo es realizar una revisión de los tratamientos disponibles para esta entidad, los beneficios de utilizar un tratamiento conservador con una terapia adyuvante con 5-fluorouracilo y presentar un caso clínico en el cual se utilizó de manera tópica el 5-fluorouracilo para el tratamiento de los QQO.
PRESENTACIÓN DEL CASO CLÍNICO
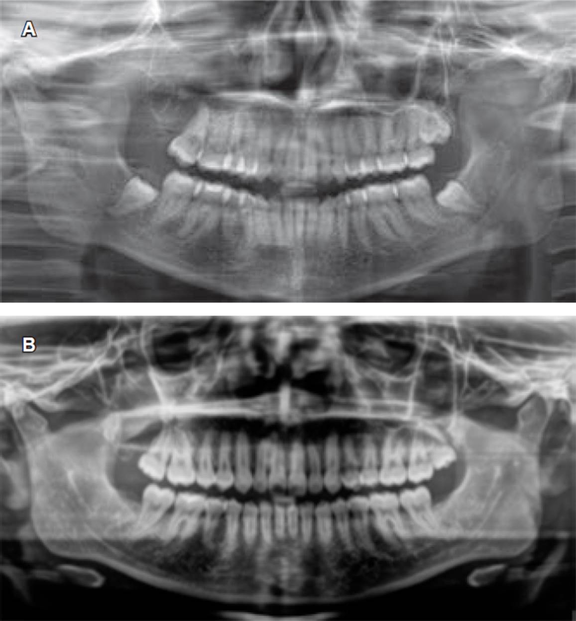
Se presentó paciente femenino de 19 años de edad a la Clínica de Cirugía Oral y Maxilofacial, de la División de Estudios de Postgrado e Investigación (DEPeI) de la UNAM, para la extracción de sus terceros molares; sin antecedentes de importancia para su tratamiento. En la ortopantomografía se observa el tercer molar superior derecho (OD 18) desplazado hasta piso de órbita ipsilateral, con una zona radiolúcida asociada a la corona del mismo, la cual ocupa todo el seno maxilar y se ex tiende hasta la tuberosidad del mismo lado, midiendo aproximadamente 3.3 x 5 cm, mientras que en la tomografía (cone beam) se observó la estrecha relación en tre el ápice del tercer molar con el piso de órbita (Figura 1). Se inició con una punción exploratoria y se observa contenido amarillento compatible con queratina. Luego, se realizó biopsia incisional de la lesión y se extrajo el tercer molar en relación para estudio histopatológico. Se colocó drenaje utilizando una sonda Foley No. 18 y se indicó higiene estricta del mismo (Figura 2).

Figura 1 A) Ortopantomografía inicial en la cual se puede observar lesión asociada a OD 18. B) Corte axial de tomografía cone beam. C) Reconstrucción sagital de tomografía cone beam en la cual se observa relación de OD 18 con piso de órbita y lesión hipodensa asociada a corona dental del mismo.

Figura 2 A) Punción exploratoria en la cual se obtuvo líquido amarillento compatible con queratina. B) Toma de biopsia incisional de la lesión. C) Drenaje colocado en cavidad quística.
Se envió la muestra al Departamento de Patología de la DEPeI y se emitió el diagnóstico de queratoquiste odontogénico. Se decidió continuar con la descom presión de la cavidad quística hasta alcanzar un tama ño óptimo para la enucleación y la extracción de ésta. Se dio cita de control mensual y seguimiento radio gráfico de la lesión cada cuatro meses. Ocho meses posteriores a la colocación del drenaje quístico, se ob servó en la ortopantomografía un cambio de densidad alrededor de la lesión, así como una mayor delimitación de la misma, por lo que se realizó la enucleación y la colocación de 5-fluorouracilo para su tratamiento (Figura 3A). Se comenzó con un abordaje a través de la pared anterior del seno maxilar, se procedió a la enucleación y curetaje del epitelio quístico, una vez retirado el tejido en su totalidad, se colocó una gasa embebida de 5-fluorouracilo (Efudix®) al 5% utilizando aproximadamente 1 g y se citó a la paciente para re tiro de la gasa a las 24 horas (Figura 4). Concluidas las 24 horas se retiró el material colocado en el sitio de la enucleación y se realizó el cierre hermético de la mucosa bucal. Se envió la muestra completa para estudio histopatológico de la lesión y se corroboró el diagnóstico de queratoquiste odontogénico.

Figura 3 Ortopantomografía. A) Ocho meses posteriores a la descompresión quística, se observa la ausencia de OD 18 y cavidad quística delimitada con bordes definidos. B) Control a treinta meses posteriores a enucleación y aplicación de 5-fluorouracilo.

Figura 4 A) Toma de biopsia escisional de la lesión. B) Colocación de gasa embebida con 5-fluorouracilo (Efudix®).
En la actualidad, la paciente sigue en control radio gráfico y no se ha reportado ningún indicio de recidiva posterior a tres años, se observa el sitio de la lesión con adecuada evolución y formación de hueso en la cavi dad quística (Figura 3B). Se requiere un seguimiento a largo plazo para confirmar el éxito del tratamiento, por lo cual se indicaron citas de control por al menos cinco años y control radiográfico cada tres a cuatro meses.
DISCUSIÓN
El QQO representa de 10 a 20% de todos los quis tes odontogénicos, siendo éste el tercer quiste más común.1 Radiográficamente se observa una imagen radiolúcida con bordes corticales bien definidos, pue de ser unilocular o multilocular, y presentar también expansión de corticales y un poco de inflamación.2,3 Alrededor de 59% de los queratoquistes en la man díbula se presentan en la región posterior, 41% se puede encontrar adyacente a los dientes, a diferencia del hueso maxilar, en los cuales 75.5% va a estar lo calizado en el área de los dientes y 24.5% va a estar localizado en la porción posterior maxilar. Histológi camente se observa un epitelio paraqueratinizado de 5-8 capas de células, sin crestas interpapilares, con una superficie corrugada, células basales dispuestas en empalizada, con núcleos hipercromáticos y pola rización inversa.4,5 La presencia de paraqueratina es única entre las demás lesiones, por lo que hace su diagnóstico más certero.6 Algunas de las alteraciones genéticas que presentan estas lesiones son princi palmente en genes supresores de tumores como lo son p16, p53, PTCH, MCC, TSLC1, LTAS2 y FHIT; sin embargo, la alteración genética reportada más importante en el queratoquiste es el gen Drosophila Patched (PTCH1), el cual codifica un receptor trans membrana para Sonic Hedgehog y otras proteínas Hedgehog.7
La enucleación, curetaje, resecciones amplias y terapias adyuvantes como la crioterapia, solución de Carnoy, solución de Carnoy modificada y, más recien temente, el uso tópico del 5-fluorouracilo son algunos de los tratamientos que podemos utilizar para el tra tamiento de este quiste. La enucleación y el cureta je son los métodos tradicionales para el manejo de quistes odontogénicos y algunos tumores de la región maxilar.8 La enucleación tiene una recidiva de aproxi madamente 25 a 60%, cuando se trata la lesión con resección y márgenes de seguridad de un centímetro, ésta puede llegar a ser de 0%, siendo inversamen te proporcional al aumento excesivo de la morbilidad del paciente.3,9 Otra opción es la marsupialización del quiste, la cual consiste en suturar el epitelio quístico a la mucosa oral con el fin de lograr un recambio del epitelio y un engrosamiento de éste para facilitar su remoción o, mediante una incisión más pequeña, co locar un tubo de descompresión, con los mismos fines de la marsupialización, logrando de igual manera un recambio de epitelio y reduciendo el tamaño de la le sión. Si se realiza la descompresión como cura puede haber recidiva de 10%.3,9 En un estudio realizado por Da Silva y colaboradores comparaban la enucleación simple y la marsupialización combinada con una enu cleación posterior a la descompresión de la lesión sin terapia adyuvante y disminuía la recurrencia en 52% comparada con la enucleación simple, por lo que se recomienda realizar una enucleación «retardada» pre via al tratamiento definitivo.3,9 Diniz y su equipo describieronque enlaslesiones tratadas con marsupia lización existe una alteración de la mutación del gen PITCH1 y en la vía de señalización SHH.10
Gao y colegas publicaron un artículo en el año 2014 en el cual concluyeron que la media de descom presión al mes era de 2.87 cm2 en los QQO.11 Para la enucleación de quiste con osteotomía periférica se puede realizar con una osteotomía de la lesión de al rededor de 1-2 mm. Su desventaja es la mayor mor bilidad al retirar una mayor cantidad de tejido además de la lesión quística.3,11 Para el tratamiento físico con crioterapia se deben alcanzar temperaturas menores a -20 oC. El único agente disponible que puede alcan zar estas temperaturas es el nitrógeno líquido, el cual alcanza temperaturas hasta de -198 oC. La técnica in cluye la enucleación de la lesión, se debe aplicar a la cavidad hasta que se congele y se debe mantener así durante un minuto aplicándolo varias veces y luego se deja descongelar. Se recomienda que sea aplicado tres veces. Con el uso de esta técnica parece existir una recurrencia de alrededor de 10%.
La solución de Carnoy es un agente químico que se aplica durante 5 minutos en la cavidad ósea y des pués se debe lavar. La solución de Carnoy es neurotóxica y puede dañar el nervio alveolar o infraorbitario si éste está en contacto durante 2 minutos. El otro inconveniente de la solución de Carnoy es que con tiene cloroformo, el cual se ha categorizado como carcinogénico por la Agencia de Protección Ambiental en Estados Unidos (EPA, por sus siglas en inglés), por lo cual muchos expertos lo han dejado de utilizar. Debido a esto, se propuso el uso de la solución de Carnoy modificada, la cual excluía al cloroformo dentro de la preparación. En un intento por aclarar el dilema que rodea este tema de discusión a la modificación de la solución de Carnoy, la Asociación Americana de Cirujanos Orales y Maxilofaciales (AAOMS, por sus si glas en inglés) refirió que de 6,880 miembros en 2013, 56% utilizaban la solución con cloroformo y 42% con la modificación, no reportando ninguna complicación conelusodedichasolución, por lo que en la actua lidad sigue defendiéndose el uso de este compues to.3,12 En otro estudio se trató a un grupo de pacientes con solución de Carnoy (n = 44) y otro grupo con so lución de Carnoy modificada (n = 36) y se demostró recidiva de 10% en pacientes tratados con solución de Carnoy y de 35% con solución modificada.13
En el estudio realizado en el año 2016 por Forteza y su grupo hubo una recurrencia de un total de 26.8%, siendo la marsupialización la que mayor tasa de reci diva presentaba con 45.8%.14 En el artículo realizado por Moraissi y colegas encontraron que con la enu cleación sin ningún tratamiento adyuvante había una recidiva de 23.1%, con la enucleación combinada con curetaje fue de 17.4%, la enucleación con el uso de la solución de Carnoy fue de 11.5%, la enucleación combinada con la crioterapia fue de 14.5%, la marsupialización sin tratamiento adyuvante fue de 32.3%, la descompresión seguida de una enucleación fue de 14.6% y con la realización de resecciones amplias fue de 8.6%, obteniendo un total de recidivas en general de 16.6%.15 Debido a los altos porcentajes de recidi va, así como a la alta morbilidad con algunos de los tratamientos mencionados anteriormente, se ha bus cado un tratamiento más conservador para este tipo de lesiones. Hoy en día, se ha propuesto una terapia dirigida, basada en el conocimiento actual de la pa togénesis molecular de los queratoquistes. Estudios moleculares enfocados en la vía del gen supresor de tumores de la proteína homóloga patched (PTCH) nos han dado una terapia dirigida para los carcinomas de células basales. Se conoce que los queratoquistes se desarrollan a partir de una mutación similar a los car cinomas de células basales en el gen PTCH.
La mutación en este gen produce una activación de las vías de señalización Smoothened (SMO) y Sonic Hedgehog (SHH), resultando en un crecimiento neoplásico. De manera reciente, Rui y su equipo16 reportaron que las alteraciones en el gen SMO juegan un papel importante en el desarrollo del queratoquiste. Este des cubrimiento sugiere que el antagonismo de la vía de se ñalización SHH puede ser un camino eficiente para el tratamiento dirigido a los queratoquistes, inhibiendo al gen SMO y suprimiendo los factores de transcripción de SHH. El medicamento antimetabolito, 5-fluorouracilo, ha demostrado que induce apoptosis inhibiendo SHH en las células del carcinoma hepatocelular, misma vía de señalización observada en el queratoquiste odontogénico, por lo cual se propone su uso tópico para el tratamiento de éste. En un estudio ambispectivo de co horte en el tratamiento tópico de los queratoquistes con 5-fluorouracilo, en los cuales se tomó un grupo de 32 pacientes, 11 fueron tratados con 5-fluorouracilo y 21 con solución de Carnoy modificada, se demostró que no hubo recidivas con el uso de 5-fluorouracilo, además no hubo evidencia de daños locales o sistémicos.17
El 5-fluorouracilo es activado a través de un pro ceso enzimático triple, por la actividad catalítica secuencial de la carboxilesterasa (hígado), citidina desaminasa y timidina fosforilasa, esta cascada da como resultado la formación de 5-fluorouracilo. Éste es metabolizado adicionalmente a monofosfato de 5-fluoro-desoxiuridina que inhibe la timidilato sintasa (TYMS). Este último convierte el monofosfato de desoxiuridina en timidina monofosfato, que es una molécula clave para la síntesis de ácido desoxirribonucleico (ADN). Además, el 5-fluorouracilo se puede incorporar direc tamente al ácido ribonucleico (ARN), que interfiere con la transcripción de ARN y, con menos frecuencia, en el ADN, inhibiendo su replicación. Con respecto a la dihidropirimidina deshidrogenasa (DYPD) el paso inicial consiste en el catabolismo de las pirimidinas fi siológicas, así como 5-fluorouracilo y capecitabina. Se expresa predominantemente en el hígado y desactiva más del 80% del medicamento administrado. Hasta 20% se excreta en la orina. La actividad reducida de DYPD (deficiencia de DYPD) produce un aumento de la vida media de éste y, por lo tanto, debido al aumen to de concentración de 5-fluorouracilo en el organismo puede causar una toxicidad severa. La prevalencia de deficiencia parcial de DYPD es poco común, oscilan do entre 3 a 5% de la población general.18
Hasta el momento no ha habido un informe de al gún caso de toxicidad potencialmente mortal de un paciente que haya recibido únicamente la aplicación tópica del 5-fluorouracilo. En varios estudios anterio res de aplicación tópica del 5-fluorouracilo informan una tasa de absorción cutánea de 10%. Se estima que la aplicación de 2 g de crema de 5-fluorouracilo al 5% aplicado dos veces al día resultaría en una ex posición total de 20 mg/día de 5-fluorouracilo (que se traduce en 0.33 mg/kg). Esta cantidad está muy por debajo de los 500-550 mg/kg típicos intravenosos de 5-fluorouracilo en bolo administrado para quimiotera pia contra el cáncer.19 Se ha determinado que el ran go terapéutico para que el 5-fluorouracilo sea seguro está comprendido en un área bajo la curva (ABC) que va de 20 a 30 mg/h/L. El ABC ha demostrado que es el parámetro de farmacocinética más estrechamen te asociada con eficacia y toxicidad, y en la terapia con 5-fluorouracilo la mejor respuesta se observa en pacientes con medidas de ABC en el rango de 20-30 mg/h/L. Fuera de estos parámetros, un paciente corre el riesgo de toxicidad por estar recibiendo dosis tera péuticas subóptimas o bien, dosis tóxicas, por lo tanto, se decide realizar tratamiento utilizando el 5-fluorouracilo demaneratópica, el cual no presentó ningún tipo de efecto secundario, y, hasta el momento, evoluciona de manera satisfactoria sin la necesidad de haber rea lizado resecciones amplias y manteniendo de manera íntegra todas las estructuras adyacentes a la patolo gía con una morbilidad mínima para el paciente.20
CONCLUSIONES
El queratoquiste tiene una alta tasa de recidiva si éste no es tratado correctamente. En la actualidad existen numerosas opciones de tratamiento para este tipo de patología, pero se debe buscar el tratamiento ideal dependiendo de las características individuales de cada paciente; además, hoy en día, aparte de eli minar la lesión por completo, se busca disminuir la morbilidad del paciente con dichos tratamientos, evi tando procedimientos radicales y extensos. La utiliza ción tópica del 5-fluorouracilo es una buena elección de tratamiento adyuvante debido a sus propiedades y su menor morbilidad al realizar el tratamiento.














