Introducción
El linfangioma es una entidad rara, considerada como una malformación congénita de vasos linfáticos. Dependiendo de su tamaño se han clasificado en: a) simple, capilar o circunscrito, b) cavernoso y c) quístico. Este último se presenta con más frecuencia en cuello y puede alcanzar grandes dimensiones.1 En boca los linfangiomas se presentan como agregados difusos de estructuras de apariencia vesicular, translúcidos, afectando principalmente la lengua de niños, adolescentes y adultos jóvenes. Otros sitios afectados son paladar, mucosa yugal, encía y labios.2,3
Por lo general, estas lesiones tienden a ser superficiales y podrían representar más probablemente capilares linfáticos periféricos ectásicos o dilatados como consecuencia de obstrucción, trauma local o en pacientes postirradiados, en especial cuando se trata de lesiones superficiales y circunscritas. Esto, aunado a la expresión de factores de crecimiento detectados en linfangiomas de tipo cavernoso e higromas quísticos y ausentes en los de tipo superficial. Por ello, el término linfangiectasia se ha sugerido para describir estas alteraciones.4,5 Algunos autores han reportado linfangiomas de tipo superficial utilizando el término linfangioma circunscrito (LC), ya que en dermatología es bien reconocido y utilizado para lesiones linfáticas superficiales de piel y región genital.6,7 Un hallazgo clave para el diagnóstico es la localización de los espacios vasculares dilatados inmediatamente subepiteliales, de forma superficial en la lámina propia y elevando el epitelio.4,6
El primer caso documentado y reportado como LC en boca ocurrió en un paciente postirradiado, el cual mostró afectaciones en múltiples zonas de la mucosa bucal.6 En labio inferior existen únicamente dos reportes de linfangioma superficial, ambos de apariencia nodular, circunscrita, de consistencia blanda, superficie lisa, translúcidos y fluctuantes, semejando un mucocele, por lo que fue hasta el estudio histopatológico en que se llegó al diagnóstico final. Cabe destacar que fueron documentados como linfangioma cavernoso y linfangioma circunscrito superficial, respectivamente.8,9 En este trabajo se describe el caso de una linfangiectasia superficial cuyo diagnóstico clínico inicial fue de mucocele, con el fin de enfatizar la importancia de considerar otros diagnósticos ante la hipótesis de «mucocele» basada en características clínicas, así como la necesidad del análisis histopatológico de todo tejido removido de cavidad oral.
Caso clínico
Paciente femenino de seis años de edad, sin antecedentes patológicos de relevancia, quien inicia su padecimiento actual un mes antes de solicitar atención en el departamento de Odontología Pediátrica de la Facultad de Odontología Unidad Saltillo, de la Universidad Autónoma de Coahuila, para la evaluación de una lesión labial asintomática. En la exploración extraoral no se identificaron alteraciones, mientras que de forma intraoral se observaron dos nódulos translúcidos, de base sésil, consistencia fluctuante y superficie lisa, localizados en mucosa labial inferior, el mayor midiendo 0.6 × 0.5 × 0.4 cm, y uno más pequeño, de características semejantes y adyacente al primero. Cabe destacar que la paciente portaba un mantenedor de espacio removible, funcional, inferior desde hacía un mes. Se observó que ambos nódulos coincidían con la región en que los ganchos del mantenedor contactaban con la mucosa labial (Figura 1).

Figura 1: Imagen clínica inicial. En mucosa labial inferior se observan dos nódulos bien delimitados, del mismo color de la mucosa, a nivel de los ganchos del mantenedor de espacio removible.
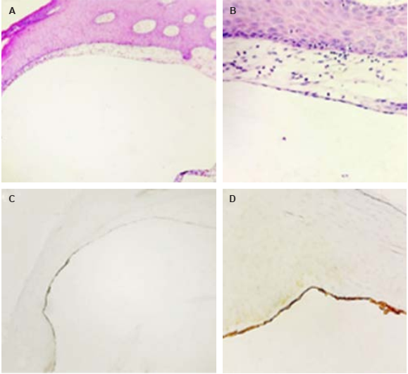
El resto de la mucosa oral no mostraba alteraciones. Con un diagnóstico clínico inicial de mucocele se procedió a realizar biopsia excisional de ambas lesiones bajo anestesia local y los tejidos fueron enviados a estudio histopatológico, el cual reveló en tinción con hematoxilina y eosina (H&E) un gran espacio localizado en la lámina propia superficial, elevando el epitelio escamoso estratificado queratinizado, que se observó atrófico, sin procesos epiteliales. Este espacio era revestido por una capa de células planas, de morfología endotelial y contenía de forma dispersa un material amorfo levemente basófilo, así como escasos polimorfonucleares. Hacia la base se observaron lóbulos de glándula salival menor y algunos haces de músculo estriado de características normales. Para determinar la naturaleza de las células que conformaban el revestimiento, y bajo la hipótesis de tratarse de origen linfático, se realizaron estudios de inmunohistoquímica utilizando el anticuerpo D2-40 (Dako, 1:100), el cual mostró positividad difusa en el revestimiento de la cavidad, confirmando la naturaleza linfática (Figura 2). También se observaron abundantes estructuras vasculares linfáticas pequeñas en la base de la lesión. El diagnóstico final fue de linfangiectasia superficial. La paciente se recuperó de forma satisfactoria y ha tenido un seguimiento de ocho meses sin recurrencia.

Figura 2 Características microscópicas. A) Se observa el espacio subepitelial, y la superficie cubierta por epitelio escamoso estratificado queratinizado (H&E, 4x). B) Detalle del revestimiento que muestra una capa simple de células planas de aspecto endotelial (H&E, 20x). C) Estudio inmunohistoquímico. El revestimiento endotelial positivo para D2-40 (IHQ, 4x). D) Detalle de la positividad para D2-40 en el revestimiento de la cavidad (IHQ, 20x)
Discusión
Las alteraciones intraorales de naturaleza linfática afectan principalmente la lengua, en forma de múltiples vesículas pequeñas, difusas y superficiales, en ocasiones la afectación es más profunda y puede producir macroglosia.2 Algunos autores han preferido utilizar el término linfangioma circunscrito o incluso linfangiectasia cuando se trata de lesiones superficiales que consisten principalmente en vasos linfáticos ectásicos. En piel las lesiones localizadas y superficiales son reportadas con el término linfangioma circunscrito.10 Se ha discutido la posibilidad de que el linfangioma circunscrito intraoral sea de naturaleza reactiva y no una malformación congénita. En estos casos se considera de tipo adquirido.6
En algunos reportes de caso de linfangioma circunscrito se ha descrito, además de la dilatación linfática superficial, una hiperplasia epitelial con aspecto papilar, clínicamente se han caracterizado por ser lesiones pequeñas, bien delimitadas, de color violáceo.11 Reportes en cavidad oral utilizando el término linfangiectasia son escasos, recientemente fueron descritos dos casos en pacientes con enfermedad de Crohn, uno de ellos afectando labio inferior y otro en vestíbulo inferior bilateral, ambos casos con presentación clínica de lesiones múltiples de aspecto vesicular.
En estos pacientes se discute la posibilidad de obstrucción y ectasia secundaria de los vasos linfáticos debido a la presencia de granulomas.12
Este caso representa una linfangiectasia superficial, cuya hipótesis clínica inicial fue de mucocele por sus características clínicas de ser lesiones únicas y localizadas, el mucocele es una lesión común de fácil reconocimiento clínico que en la mayoría de los casos está asociado a un trauma local que involucra al labio inferior.13 De manera interesante, y de forma menos común, otras lesiones de tejidos blandos pueden presentarse con apariencia clínica semejante. el estudio histopatológico es omitido, no es posible la confirmación del diagnóstico.
Aún en la actualidad, algunos profesionales de la odontología no ven el estudio histopatológico como una herramienta diagnóstica importante y descartan los tejidos removidos, lo que puede originar serias complicaciones al paciente. Con el estudio histopatológico se obtuvo el diagnóstico de linfangiectasia superficial y debido a que esta entidad no posee mayores complicaciones y a que el tratamiento recomendado es la extirpación quirúrgica, la discusión sobre los diagnósticos diferenciales clínicos e histológicos es principalmente académica.9
Existen pocos casos en la literatura, la mayoría asociados con historia de radiación o traumatismo, algunos con presentación clínica semejante a un mucocele, cabe destacar que estos casos son reportados como linfangioma a pesar de la presentación clínica atípica de ser lesiones de aspecto nodular, únicas. Uno de los trabajos más recientes ya utiliza el término linfangioma circunscrito cuando se trata de lesiones ectásicas superficiales y en el que de 35 casos encontrados en la literatura con este diagnóstico, ninguno se presentó en mucosa labial. 8,9,14
Conclusiones
El presente caso de apariencia clínica inusual para lesiones de origen linfático parece estar asociado al área de roce del mantenedor de espacio, ambos nódulos se ubicaban adyacentes al área de los ganchos. Debido a la presentación clínica y a los hallazgos histopatológicos preferimos utilizar el término linfangiectasia adquirida. La confirmación del diagnóstico se logra únicamente con el estudio histopatológico. Enfatizamos en la importancia de considerar diversos diagnósticos diferenciales cuando tratemos con nódulos labiales, así como el envío a estudio histopatológico de todo tejido removido, a pesar de tener la confianza de un diagnóstico clínico inicial.














