Introdución
Actualmente los mixomas se definen como neoplasias benignas, no metastásicas, las cuales pueden encontrarse en diversos sitios del cuerpo incluyendo la piel, tejido subcutáneo, corazón y hueso; mientras que en sitios como la cabeza y cuello, es un tumor de rara aparición. Se han identificado dos formas de mixoma: 1) derivado del tejido óseo del macizo facial (subdividido anteriormente en mixoma osteogénico verdadero y odontogénico); y 2) deriva do del tejido blando de la región perioral, glándulas parótidas, oído y laringe.1
El mixoma odontogénico(MO) se encuentra clasificado dentro de las neoplasias benignas de origen ectomesenquimal y/o mesenquimal, con o sin presencia de epitelio odontogénico.2 El MO es un tumor odontogénico intraóseo, relativamente poco común, pero localmente invasivo, el cual se caracteriza clínicamente, a menudo asintomático, por un aumento progresivo de su volumen, lo que provoca cambios en el aspecto facial, interfiriendo con la oclusión, con el desplazamiento del diente y expansión de la cortical ósea, lo que lleva a presentar alteraciones como úlceras de los tejidos subyacentes.3,4 Las características radiográficas de los mixomas odontogénicos son variables, desde pequeñas lesiones radiolúcidas uniloculares (más pequeños) hasta grandes neoplasias multiloculares (> 4.0 cm), que a menudo desplazan los dientes o reabsorben las raíces con menos frecuencia. El patrón trabecular multilocular se ha descrito como «panal de miel» o «burbuja de jabón», con un fino trabeculado.5,6
El MO representa del 3 al 6% de todos los tumores odontogénicos y puede ocurrir a cualquier edad, principalmente de los 10 a los 50 años, con una incidencia máxima en la tercera década.7 Sin embrago, a pesar de su carácter benigno, puede ser localmente agresivo y tiene una tasa de recidiva del 25%.8 En cuanto al tratamiento, la resección quirúrgica sigue siendo el tratamiento de elección.9 Sin embargo, por su porcentaje de recidiva, si es tratado de forma conservadora, tiende a repetirse,7 por lo que su seguimiento a largo plazo es crucial, tanto para el paciente como para el especialista. Por lo tanto, el propósito del presente trabajo es reportar un caso de mixoma odontogénico en maxilar posterior izquierdo, con un seguimiento a dos años después del tratamiento quirúrgico con maxilectomía subtotal 2B.
Reporte de caso
Mujer de 26 años quien acude a consulta externa del Servicio de Cirugía Maxilofacial del Hospital General Zona Norte Puebla, referida por presentar aumento de volumen en región maxilar posterior lado izquierdo (Figura 1A), mismo que es tratado con antibiótico sin mejoría por facultativo. A su ingreso se realiza historia clínica sin datos relevantes para su padecimiento actual, a la exploración física se aprecia cráneo normocéfalo sin hundimientos ni exostosis, región frontal sin alteraciones, región orbitaria asimétrica a razón de ligera proptosis lado izquierdo, movimientos oculares y visión conservados, pabellones auriculares íntegros, simétricos, sin salida de secreciones patológicas a través de conductos auditivos externos, nariz, central dorso recto, narinas permeables, región cigomática lado izquierdo con aumento de volumen, no álgica, no hipertérmica, no hiperhémica, de consistencia sólida, bordes mal delimitados, coloración de piel similar a la adyacente, apertura oral de 3.5 cm aproximadamente, mucosas de adecuada coloración e hidratación, oclusión habitual y estable, presenta aumento de volumen en fondo de saco superior izquierdo a nivel de región molar intraoralmente (Figura 1B), no álgico a la palpación, no hiperhémico, no hipertérmico, consistencia firme, ligeramente blanda, cuello cilíndrico con tráquea central y desplazable, sin adenomegalias, tórax normolíneo con campos pulmonares bien aereados, ruidos cardiacos de buen tono e intensidad, abdomen blando depresible sin datos de irritación peritoneal, genitales diferidos, extremidades integras, simétricas con llenado capilar distal de tres segundos.

Figura 1 A) Aumento de volumen de hemicara izquierda y asimetría ocular. B) Fotografía intraoral donde se percibe aumento de volumen en fondo de saco izquierdo. C) Tomografía computarizada 3D donde se observa una destrucción ósea del maxilar, malar y elevación de piso de órbita.
Se realiza biopsia incisional intraoral de aumento de volumen antes mencionado bajo anestesia local, fijando muestra en formol al 10% y enviando a estudio histopatológico, dando como reporte mixoma odontogénico, motivo por el cual se programa para su resección quirúrgica bajo anestesia general, solicitando estudios preoperatorio y de imagen TAC cortes axiales, sagitales, coronales y reconstrucción 3D, (Figura 1C) en la cual se aprecia lesión que abarca maxilar lado izquierdo, piso de órbita y órganos dentales de sextante posterior izquierdo.
Ingresa a quirófano posición decúbito supino intubación orotraqueal, asepsia y antisepsia, colocación de campos estériles, marcaje de abordaje WeberFerguson (Figura 2A) se infiltra lidocaína con epinefrina con fines hemostáticos, realizando una resección quirúrgica a razón de maxilectomía 2B (Figuras 2B y C), posteriormente se realiza toma y aplicación de injerto óseo costal (Figura 2D), fijando a borde infraorbitario con osteosíntesis sistema 2.0 y malla de titanio 0.6 mm (Figura 2E), se procede a realizar cierre de herida quirúrgica por planos, dando por terminado el procedimiento sin incidentes ni accidentes (Figura 3A), enviando pieza quirúrgica a estudio histopatológico definitivo.

Figura 2 A) Marcaje Abordaje Weber-Ferguson modificado. B) Fotografía intraoperatoria del mixoma odontogénico. C) Pieza quirúrgica. D) Injerto óseo costal. E) Fijación del injerto costal osteosíntesis 2.0 y malla de titanio 0.6 mm.

Figura 3 A) Postquirúrgica inmediata. B) Tomografía computarizada simple de la malla colocada como piso de órbita. C) Postquirúrgico dos días. D) Postquirúrgico un mes intraoral. E) Fotografía postquirúrgica de un año donde se observa una adecuada evolución.
Continúa revisiones y manejo en consulta externa, haciendo retiro de suturas y valorando estudios de imagen posoperatorios en el que se aprecia adecuada colocación de sistema de osteosíntesis y malla en piso orbitario (Figura 3B), continuando controles favorables a su evolución, regresando simetría facial, disminuyendo proptosis a dos años de la maxilectomía (Figura 3C-E).
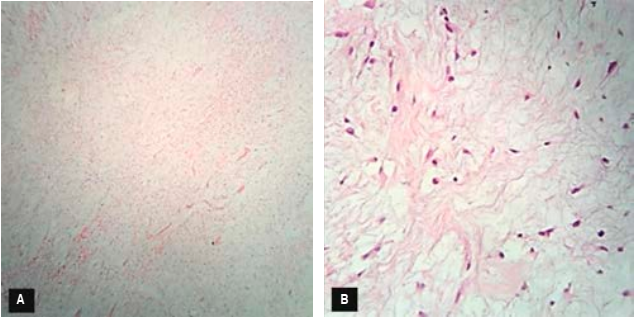
El informe final del estudio histopatológico confirmó el mixoma odontogénico (Figura 4). Secciones teñidas con hematoxilina-eosina muestran una lesión neoplásica benigna destructiva compuesta por una proliferación abundante de células anguladas y fusiforme inmensas en un estroma de tejido laxo y mixoide con áreas de fibras colágenas delgadas dispuestas en forma aleatoria y que infiltran un hueso maduro de la zona destruyendo y perforando las corticales; el hueso se observa en cantidad abundante y muestra también áreas de necrosis. También se observan algunas áreas de fibras colágenas densas dispuestas de forma aleatoria y zonas de vasos mediano calibre mezcladas y dispuestas en el estroma mixoide. En áreas cercanas a las trabéculas oseas se encuentra colágena densa y borde óseo con osteoblastos periféricos. En la periferia se observan amplias zonas tumorales separadas por una pseudocápsula de tejido fibrocolágeno.
Discusión
El mixoma odontogénico es una neoplasia odontogénica benigna intraósea, la cual se caracteriza por ser un tumor de crecimiento lento, asintomático y localmente invasor y agresivo, con elevada tasa de recurrencia.2,4 El mixoma odontogénico comprende alrededor del 3 al 6% de todos los tumores odontogénicos y su aparición habitual es entre los 10 y 50 años, con una incidencia máxima en la tercera década de la vida. Diversos hallazgos afirman que la lesión es más común en el área premolar mandibular, mientras que otros encontraron una incidencia igual tanto en maxilar como en mandíbula.10 Sin embrago, su ubicación más frecuente es la mandíbula posterior, pero deben considerarse otras ubicaciones, como el sector incisivo, el maxilar superior y el cóndilo mandibular.11 La tasa general de prevalencia es de alrededor de 0.04 a 3.7% en general de raza y etnia. La marcada predilección femenina es la característica más común reportada en varios estudios.12 En nuestro caso, se reporta una mujer con un mixoma odontogénico, cuyo tratamiento quirúrgico implicó un abordaje intraoral y extraoral; sin embargo, difiere en su localización ya que se encontró en la región maxilar posterior del lado izquierdo. Por lo general, el mixoma odontogénico es indoloro y el desplazamiento de dientes y la parestesia son características clínicas poco comunes, por lo tanto, alcanza un tamaño considerable antes de ser detectado.10,13 Aunque no se presentó sintomatología, la paciente ingresó por presencia de un aumento de volumen facial en la región izquierda.
Debido a las características del mixoma odontogénico, una tomografía computarizada (TC) es esencial para la planificación quirúrgica y el diagnóstico diferencial con lesiones que podrían contraindicar la biopsia.8,12 En el presente caso, se realizó una TC para conocer la ubicación y área de destrucción ósea provocadas por el mixoma odontogénico, con el propósito de marcar el área de resección y extensión de seguridad durante el tratamiento, confirmando finalmente con el estudio histopatológico. Histológicamente, en el MO se observa consistencia gelatinosa no encapsulada, estructura flexible, células fusiformes y estrelladas sumergidas en una matriz extracelular mucoide o abundante estroma mixoide con mínima celularidad y variable aumento de colágeno, así como islas de tejido epitelial odontogénico. Estudios histoquímicos muestran como sustancia fundamental el ácido mucopolizacárido, el ácido hialurónico y el condroitín sulfato.10 En nuestro reporte de caso, se observó proliferación abundante de células anguladas y fusiformes inmensas en un estroma de tejido laxo y mixoide con áreas de fibras colágenas delgadas dispuestas en forma aleatoria y que infiltran al hueso maduro de la zona destruyendo y perforando las corticales. Sin embrago, dentro del diagnóstico diferencial histológico del mixoma odontogénico deben incluirse las neoplasias de origen mesenquimatoso y las neoplasias no odontogénicas mesenquimatosas con presencia de cambios mixoides tales como el neurofibroma mixoide, lipoma mixoide y el fibroma condromixoma, ameloblastoma, hemangioma intraóseo, quiste óseo aneurismático y granuloma central de células gigantes.4,8,10
Con estudios de imagen, el mixoma odontogénico tiene una apariencia variable, se puede presentar como una zona radiolúcida multilocular, unilocular o una mezcla de zonas radiolúcida y radiopacas, mostrando las corticales bien definidas, pobremente definidas o bordes difusos.10,12 En nuestro caso, los estudios de imagen en 3D muestran una lesión que abarca el maxilar lado izquierdo, piso de órbita y órganos dentales de sextante posterior izquierdo. Por otro lado, la enucleación quirúrgica completa del mixoma odontogénico como tratamiento conservador suele ser difícil debido a que, a diferencia de otras neoplasias benignas, este tumor no presenta cápsula, por lo que el tejido mixomatoso se infiltra en el tejido óseo adyacente sin evidencia de una destrucción ósea inmediata, lo cual dificulta su diagnóstico y tratamiento oportuno.4,8,10 Un curetaje adicional después de la enucleación no tiene ningún impacto en las tasas de recurrencia en comparación con la enucleación sola, pero el rendimiento de una osteotomía periférica adicional después de la enucleación puede disminuir la probabilidad de recurrencia.12 La mayoría de los autores recomiendan las extirpaciones amplias debido a la posibilidad de realizar reconstrucciones primarias microquirúrgicas, con resultados óptimos desde el punto de vista estético y funcional.14 El injerto óseo costal usado en nuestro reporte de caso aporta una buena longitud ósea; sin embargo, su diámetro es limitado, por lo que en ocasiones queda a distinta altura del tejido óseo remanente.
Estos tumores son radiorresistentes y, por lo tanto, la radioterapia nunca es una opción de tratamiento. La tasa de recurrencias se atribuye a la capacidad del tumor para infiltrarse en el hueso circundante, mientras que la extirpación incompleta del tumor es responsable de la recurrencia más que el comportamiento biológico.15 Por esto, existen diversas técnicas de apoyo disponibles, tales como la crioterapia, osteotomía periférica y cauterización química con solución de Carnoy.16 Por último, a nuestro paciente se le dieron las indicaciones a seguir posterior al tratamiento quirúrgico, observándose resultados favorables a largo plazo (dos años), ya que se le dio el seguimiento requerido clínico e imagenológico y no se observó recidiva, obteniendo un control continuo favorable a la evolución con simetría facial y proptosis disminuida, lo cual le devolvió al paciente su calidad de vida normal.
Conclusión
El MO es una neoplasia odontogénica bebigna intraósea, la cual se caracteriza por ser un tumor de crecimiento lento, asintomátio y localmente invasor y agresivo, con elevada tasa de recurrencia. Debido a que el mixoma odontogénico tiene características clínicas y radiográficas inconclusas, es necesario realizar un estudio histopatológico para confirmar su diagnóstico, tomando en cuenta el tamaño y grado de expansión del tumor sobre los tejidos adyacentes con el propósito de tratar de manera eficaz al paciente, para obtener un pronóstico favorable. En este contexto, la maxilectomía subtotal 2B, como tratamiento radical con abordaje Weber-Ferguson, previene la recidiva en al menos dos años postquirúrgicos, lo cual mejora la estética facial del paciente.















