Recién nacida que ingresó para estudio por diagnóstico prenatal de múltiples masas corticales. Se realizó un electrocardiograma que mostró un ascenso del segmento ST en las derivaciones anterolaterales e inferiores, con descenso del ST en las derivaciones I, aVL, V1 y V2 (Fig. 1). El complejo QRS presentaba amplios voltajes, sugestivos de hipertrofia ventricular, sin ondas Q patológicas. Se realizó un ecocardiograma (Fig. 2) que evidenció diversas masas homogéneas hiperecoicas en el tabique interauricular, el ventrículo derecho y el ápex del ventrículo izquierdo, compatibles con rabdomiomas, siendo este último gigante. No presentaba alteraciones de la contractilidad segmentaria y la fracción de eyección estaba preservada. La monitorización continua no registró eventos arrítmicos. El estudio sistémico reveló tuberomas corticales y quistes subependimarios, así como un angiomiolipoma renal, lo que llevó al diagnóstico de complejo de esclerosis tuberosa. La paciente fue manejada de forma conservadora y dada de alta sin incidencias clínicas, programando un seguimiento estrecho multidisciplinario.

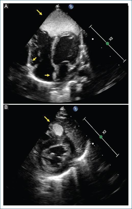
Figura 2 Ecocardiograma transtorácico. A: plano apical de cuatro cámaras. B: plano paraesternal eje corto.
La presencia de rabdomiomas es un criterio mayor para el diagnóstico clínico de esta enfermedad; habitualmente son múltiples y con frecuente remisión espontánea1. El electrocardiograma basal suele mostrar alteraciones inespecíficas de la repolarización, siendo eventuales la preexcitación o los trastornos de la conducción2. En el curso clínico se han descrito fenómenos arrítmicos, como extrasistolia ventricular, taquiarritmias supraventriculares o ventriculares y, con menos frecuencia, trastornos avanzados de la conducción3. La elevación manifiesta con patrón regional del segmento ST constituye una manifestación infrecuente.















