Estimado editor:
La neumonía grave causada por el virus SARS-CoV-2 suele requerir intubación endotraqueal, soporte ventilatorio invasivo y ventilación en decúbito prono. Estos factores favorecen el desarrollo de disfagia, que se presenta hasta en un tercio de los pacientes que necesitan intubación y ventilación mecánica tras un distrés respiratorio agudo1.
Para evitar el desarrollo de neumonía por aspiración en los pacientes con disfagia, se suele recurrir a la nutrición enteral por sonda nasogástrica (SNG)1. Sin embargo, la colocación de dichas sondas no está exenta de dificultades, que en ocasiones se pueden relacionar con la enfermedad del paciente o las terapias necesarias para su tratamiento.
Presentamos el caso de una paciente de 79 años, con antecedentes de hipertensión arterial, diabetes y obesidad (IMC 43), que ingresó en nuestra unidad por neumonía bilateral grave por COVID-19, necesitando intubación endotraqueal prolongada, sedorrelajación y ocho sesiones de ventilación en decúbito prono. El destete se prolongó por miopatía y síndrome confusional, que conllevó la retirada accidental de la SNG para alimentación enteral.
Tras la extubación la paciente presentaba disfagia, por lo que se decidió colocar una nueva SNG, introduciéndola por una fosa nasal hasta la faringe y una vez allí, se avanzó mientras la paciente deglutía. La paciente se mostró colaboradora durante el procedimiento, sin tos ni datos de alteraciones respiratorias, manteniendo una saturación de oxígeno por pulsioximetría del 99% con una fracción inspirada de oxígeno del 0.4.
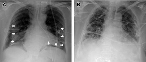
Tras el procedimiento se solicitó un control radiológico para la comprobación de la posición de la sonda, mientras la paciente se mantuvo clínicamente estable. Sin embargo, en la radiografía se objetivó el paso de la SNG a través del bronquio principal derecho, alcanzando el lóbulo inferior y volviendo al bronquio, con un pequeño neumotórax derecho concomitante. Se retiró la sonda y de acuerdo con cirugía torácica se decidió un manejo inicial conservador, dado el escaso tamaño y repercusión del neumotórax. Se colocó otra sonda, con la misma técnica, con buena tolerancia y nuevamente sin tos ni otras complicaciones durante la colocación. No obstante, a los pocos minutos, la paciente comenzó con disnea, taquipnea y desaturación a 88%. La radiografía mostró la SNG en el bronquio principal izquierdo y la presencia de neumotórax bilateral (Figura 1A).

Figura 1: A) Imagen de la sonda nasogástrica posicionada a través del bronquio izquierdo y neumotórax bilateral (flechas). B) Reexpansión de los neumotórax tras la retirada de la sonda y la colocación de dos drenajes torácicos.
Se retiró la SNG, se colocaron drenajes torácicos bilaterales, con lo que se logró la expansión de ambos pulmones (Figura 1B), y se inició soporte con oxigenoterapia de alto flujo, mejorando la sintomatología respiratoria y la hipoxemia. A la mañana siguiente se colocó una nueva SNG con control endoscópico. Los drenajes torácicos fueron retirados cuatro días después sin complicaciones y la paciente fue dada de alta a la planta de hospitalización 48 horas después de retirados los drenajes.
La deglución es un proceso complejo que requiere la interacción y la coordinación adecuada de mecanismos motores y sensitivos, y la coordinación de más de 30 músculos y seis nervios craneales1,2. La afectación de la deglución es frecuente tras un periodo, incluso breve, de ventilación mecánica. El mecanismo causal de esa disfagia suele ser la intubación orotraqueal y sus complicaciones asociadas son: el trauma orofaríngeo y laríngeo, la debilidad neuromuscular por atrofia o por el empleo de bloqueantes neuromusculares, la sensibilidad laríngea reducida, el estado mental alterado relacionado con delirium o con la sedación, un posible reflujo gastroesofágico y la desincronización entre la respiración y la deglución1,2. En los pacientes con COVID-19 la coordinación necesaria para la deglución suele verse afectada además por otras causas, como la función pulmonar reducida, la edad avanzada (formas más graves de enfermedad) y la ventilación en decúbito prono (se ha descrito incluso algún caso de parálisis de nervios craneales bajos3 o de cuerdas vocales4 asociados a la ventilación en dicha posición).
Dado que la nutrición por vía oral está comprometida en muchas ocasiones, puede ser necesaria una SNG para la alimentación enteral. Para su colocación se han descrito varios métodos que podrían mejorar la tasa de malposicionamiento (lateralización de la cabeza, flexión del cuello, etcétera), aunque ninguno se ha mostrado claramente superior5. Para la comprobación de la correcta colocación, el estándar es la radiografía (por su mayor sensibilidad y especificidad), particularmente en pacientes críticos y/o con problemas de deglución. Se han propuesto otros métodos, de los cuales la auscultación de aire insuflado y la apariencia del líquido aspirado han quedado denostados. El pH del aspirado es el método más ampliamente aceptado (con las limitaciones de la administración concomitante de inhibidores de la bomba de protones y la posibilidad de no diferenciar un posicionamiento esofágico). Otros métodos propuestos son la capnometría colorimétrica y la capnografía, que pueden descartar la localización de la sonda en la vía aérea, pero no confirman su correcta posición5. Por último, la ecografía parece aportar resultados interesantes6.
En el caso descrito, la disfagia junto a la alteración del reflejo tusígeno pudo contribuir a la malposición de las sondas y a la ausencia de síntomas que sugiriesen el paso de las mismas a la vía aérea. Otros contribuyentes fueron la edad de la paciente y una serie de factores que son especialmente manifiestos en la neumonía COVID-19, como la necesidad de sedación prolongada, la miopatía y el cuadro confusional, favorecidos por el tratamiento de la enfermedad con bloqueantes neuromusculares y corticoides; o la ventilación en prono y su posible repercusión a nivel de la laringe y la vía aérea. Incluso, cabría la posibilidad de pensar que el daño de la vía aérea y pulmonar derivado de la enfermedad pudiera tener un papel facilitador en el desarrollo de complicaciones pulmonares cuando la SNG pasa a vía aérea.
En resumen, el caso presentado nos lleva a reflexionar sobre el aumento de la incidencia de disfagia y de disminución de los reflejos de protección de vía aérea en los pacientes con neumonía grave COVID-19, dado el elevado número de factores de riesgo que presentan; aspectos que deberían ser tenidos en cuenta a la hora de evaluar y abordar la disfagia de estos pacientes. Asimismo, debemos considerar métodos alternativos a la radiografía en la comprobación de inserción de las sondas nasogástricas, que nos permitan disminuir la incidencia o agilizar el diagnóstico de las posibles complicaciones derivadas de esta práctica y que podrían estar favorecidas en este tipo de pacientes.













