Introducción
La leucodistrofia metacromática (LDM) es una enfermedad genética desencadenada por la deficiencia de la enzima lisosomal arilsulfatasa A (ARSA), responsable de la formación del sulfatido de cerebrósido, componente esencial de la mielina. La deficiencia de ARSA ocasiona la acumulación de glucolípidos sulfatados en las vainas de mielina del sistema nervioso central (SNC) y periférico (SNP), causando un proceso de desmielinización progresivo.1 Así mismo, estos metabolitos también se acumulan en hígado, vesícula biliar y riñones.2
La incidencia de las LDM se estima entre 1:40,000 y 1:100,000 nacidos vivos,3 y según la edad de aparición se categoriza en tres subtipos clínicos: infantil tardía (50-60% de los casos), juvenil (20-30%) y del adulto (14-20%). En cualquiera de éstas existe una pérdida progresiva de funciones motoras y cognitivas, que culmina en muerte prematura.4
El patrón de herencia es autosómico recesivo, por mutaciones principalmente en el gen de la arilsulfatasa A (gen ARSA) en el cromosoma 22q13.3, aunque también se han descrito en el gen de la prosaposina (gen PSAP); estas mutaciones afectan la proteína activadora de los esfingolípidos SAP-B (saposina B).5 Existe una correlación genotipo-fenotipo en la LDM, de tal forma que la mutación en ARSA se asocia con la forma clínica, sin embargo, esta correlación puede ser modificada por variantes genéticas.2
Presentamos un caso de LDM que consideramos es excepcional por su rápida progresión, lo cual pudo ser secundaria a la presencia de una rara variante heterocigota compuesta.
Caso clínico
Masculino producto de una primera gestación, nacido por parto vaginal a las 38.5 semanas, con peso y talla adecuados al nacer. A los 14 meses muestra datos de un retardo en la marcha y del lenguaje expresivo, acompañado con debilidad en los miembros inferiores. A los 20 meses era evidente un desarrollo motor anormal, hipotonía generalizada, normorreflexia, hiperlaxitud y una respuesta limitada a estímulos verbales, además de habilidades cognitivas y de lenguaje por debajo de lo esperado para su edad.
En los estudios iniciales de resonancia magnética cerebral (RMC), ecocardiograma y ecografía abdominal no se evidenciaron alteraciones. No obstante, los potenciales evocados auditivos indicaron hipoacusia neurosensorial bilateral, atribuida inicialmente a un posible origen congénito, iniciando rehabilitación con audífono y fonoaudiología. Por la aparición posterior de hiporreflexia, se realizó electromiografía donde se detectó polineuropatía sensitivo-motora, de tipo desmielinizante.
Además, se realizó estudio genético por exoma trío que identificó una variante heterocigota compuesta en el gen ARSA, conformada por dos variantes probablemente patogénicas: la primera tipo nonsense que causa un codón de parada prematuro en c.643C>T p.Gln215* (heredada del padre) y la otra missense en c.316G>A p.Glu106Lys (heredada de la madre), ambas asociadas con LDM. Con estos hallazgos se solicitaron niveles de arilsulfatasa A en plasma y leucocitos, los cuales estaban disminuidos (actividad de 13%).
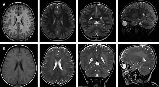
En una RMC realizada siete meses después de la primera, se observó alteración de la intensidad de la señal en la sustancia blanca con hiperintensidad en T2 e hipointensidad en T1 (Figura 1), sugestivas de desmielinización. Aunque fue considerada como una variante de LDM de inicio infantil tardío, su comportamiento clínico no cumplió con los criterios recomendados para trasplante de médula ósea, por lo cual solo recibió cuidados paliativos y terapia de rehabilitación.

Figura 1: A) Cortes axiales en T1, FLAIR; corte sagital y axial en T2 en la primera resonancia magnética. B) Imágenes de resonancia después de siete meses que evidencia alteración de la intensidad de la señal en la sustancia blanca, con hiperintensidad en T2 e hipointensidad en T1.
En los meses subsecuentes, a pesar de la atención otorgada por los servicios de neurología pediátrica, genética, nutrición, psicología, fisiatría y fisioterapia, el paciente continuó con el deterioro motor que le impedía la marcha, persistiendo con hiporreflexia, espasticidad de miembros inferiores, ataxia, dismetría y disfagia para líquidos. A los 26 meses de edad, el paciente contrajo neumonía por SARS-CoV-2 y otras complicaciones que le causaron su fallecimiento.
Discusión
La sustancia blanca desempeña un papel crucial en el desarrollo cerebral a partir de los dos años de edad, por lo que en el cerebro adulto representa aproximadamente el 40% de su volumen total, destacando su alta concentración de lípidos. La formación de la sustancia blanca o mielinización es esencial para lograr el óptimo de las funciones neurológicas, la cual inicia desde la vida intrauterina y continúa hasta la edad adulta.6,7
La LDM es una enfermedad que afecta la sustancia blanca tanto del SNC como del SNP. Es una enfermedad por almacenamiento lisosomal de sulfátidos (galactosilceramida [GalC] y su forma sulfatada) que interrumpe funciones celulares esenciales como el metabolismo, la señalización, el procesamiento de sustratos, inmunidad innata, entre otros.8),(9 La acumulación de sulfátidos provoca inestabilidad en la membrana de la mielina, llevando a desmielinización.10-13
La LDM se clasifica en tres subtipos clínicos, según la edad de aparición: la infantil tardía, la juvenil y la adulta (< 30 meses, 2.5-16 años y > 16 años, respectivamente). La forma infantil tardía se asocia con disminución rápida y grave de las funciones motoras; mientras que los pacientes con formas juveniles y adultas experimentan una progresión de la enfermedad más lenta (Figura 2).4,14 Mahmood y colaboradores,15 informaron sobre 38 pacientes con variedad infantil tardía, donde el 61% manifestó trastornos motores y de la marcha, además que el 39% presentó crisis ictales. Nuestro paciente pudiera ser incluido en esta variante por su edad de inicio, pero con un comportamiento atípico. Inicio de sintomatología antes de los 30 meses, con regresión progresiva de habilidades motoras y del lenguaje, acompañándose de ataxia, y cambio rápido a espasticidad e hiporreflexia, pero no presentó crisis convulsivas.
Los estudios sobre la correlación genotipo-fenotipo en la LDM sugieren que las mutaciones pueden analizarse según la actividad enzimática en cada alelo; aquellos donde es extremadamente baja (alelos 0) y aquellos donde es residual (alelos R).16 La homocigosidad para alelos 0 suele asociarse con formas graves de inicio infantil tardío, mientras que las combinaciones 0/R o R/R se relacionan con formas lentas juveniles o de adultos.3 En nuestro paciente, a pesar de ser una variante heterocigota compuesta, la sintomatología progresó rápidamente, comportamiento raro para este tipo de variante, dado que suele ser encontrado en LDM de inicio adulto, es decir, con un fenotipo no tan grave.3,17 Penzien y colegas denominaron como pseudodeficiencia a los pacientes con heterocigosidad compuesta a quienes presentan actividad residual baja, con presentaciones no progresivas, o inclusive como fenotipos neuropsiquiátricos de inicio tardío.18,19
En los estudios de RMC suele encontrarse hiperintensidad confluente y simétrica en FLAIR de forma difusa en la sustancia blanca periventricular frontal y parietal, con imágenes hipointensas en T1, compatibles con desmielinización.20 Pero, como sucedió con nuestro paciente en su primera RMC, es posible encontrar una neuroimagen normal en estadios iniciales. La alteración en la mielina puede ser establecida con la medición de la velocidad de neuroconducción por electromiografía, donde se observa un patrón de polineuropatía desmielinizante, hallazgo observado en este paciente. Otros estudios recomendados son la ecografía o la tomografía de abdomen, los cuales pueden revelar pólipos vesiculares hiperplásicos asociados al desarrollo de carcinoma de vesícula biliar (no visualizado en el presente caso).21
El diagnóstico de LDM se apoya en estudios bioquímicos como encontrar una actividad disminuida de la enzima ARSA en leucocitos y en plasma, tal como se observó en nuestro paciente, así como presencia de sulfátidos en orina.8 En el paciente que reportamos, por el comportamiento clínico de polineuropatía desmielinizante, regresión del desarrollo, pero sin hallazgos imagenológicos se solicitó estudio genético de exoma trío, en el cual se encontró una heterocigosis compuesta por dos variantes probablemente patogénicas en el gen ARSA que apoyó el diagnóstico de LDM.
El tratamiento en la LDM, particularmente en formas presintomáticas, incluye el trasplante de médula ósea o de células madre hematopoyéticas; sin embargo, su eficacia aún está en debate, especialmente para pacientes con síntomas de inicio en la infancia. El presente caso, dado que tuvo una presentación progresiva de alteraciones del SNC y SNP no se consideró candidato para este procedimiento, tomado en cuenta las recomendaciones de la Red de Leucodistrofia de Estados Unidos de Norteamérica.22















