Introducción
Los rabdomiosarcomas son tumores malignos de tejido blando originados de las células mesenquimatosas inmaduras que se diferenciarán a músculo liso. Representan alrededor del 4.5% de los cánceres pediátricos. La edad promedio de su presentación es a los seis años, pero puede ocurrir desde los dos años. Las dos principales variantes histológicas son: el alveolar y el embrionario. La supervivencia depende del sitio anatómico, de la edad del paciente, del porcentaje de resección quirúrgica, de la presencia de metástasis, así como de la histología del tumor.1
Hasta el momento son pocos los informes de pacientes con rabdomiosarcoma botrioide en la vejiga; ALSaleh y colaboradores comunicaron un caso en región genital, sin embargo, su localización fue en la vagina y no en vías urinarias.2 Además de su localización, el objetivo de presentar este caso es por la progresión tumoral en vista de que fue difícil establecer el diagnóstico, ya que se sospechó de infección de vías urinarias.
Presentación del caso
Paciente femenino de 2 años 10 meses, sin antecedentes de importancia. En consulta externa de pediatría se revisó por sintomatología de dos meses de evolución con disuria, dolor abdominal, hematuria, fiebre, así como de eritema con edema perivulvar. Para ese momento, la paciente ya había recibido varios esquemas de antibióticos por parte de médico general. Pero ante la persistencia de la sintomatología se tomó urocultivo, con aislamiento de Pseudomonas aeruginosa; sin embargo, tres días posterior al inicio del tratamiento antibiótico, continuó con fiebre, disuria y distensión abdominal.
Se solicitó ultrasonido abdominal, en el cual se identificó una masa intravesical hipoecoica con contornos irregulares, que ocasionaba obstrucción de la vía urinaria. Cinco días después, la madre observa una lesión exofítica en región genital de aproximadamente un centímetro de diámetro, color púrpura, la cual protruyó y creció hasta alcanzar de 4 a 5 cm de diámetro (Figuras 1 y 2).

Figura 1: Lesión exofítica multilobulada y pediculada, en meato urinario, de diámetro aproximado de 4 cm, móvil.
La paciente se hospitaliza para realizar tomografía; el estudio confirmó la presencia de una masa intravesical de 4 × 3 cm de diámetro y 5 × 3 cm de longitud, con lesiones hiperdensas con centros hipodensos (Figura 3); además se observaron ganglios linfáticos inguinales bilaterales de aspecto reactivo e hidronefrosis bilateral grado 2. Pero sin evidenciar metástasis a distancia (Figura 4).

Figura 3: Tomografía simple de abdomen, corte coronal. Se observa masa a nivel vesical, multilobulada con contorno hiperdenso y centro hipodenso múltiples, de aproximadamente 4 × 5 cm.

Figura 4: Tomografía simple de abdomen con corte coronal con masa a nivel vesical, pero sin metástasis.
Ante los hallazgos de imagen, la paciente es enviada a un centro de tercer nivel con la sospecha diagnóstica de rabdomiosarcoma. Al ingreso al servicio de oncología pediátrica, la paciente pesaba 10 kilogramos con estatura de 84 cm (percentil < 5 y 15, respectivamente, según Tablas de la Organización Mundial de la Salud). A la exploración física presentaba dermatosis focal en el meato uretral con presencia de neoformación exofítica, multilobulada, de aproximado de 4 cm de diámetro, móvil, pediculada y dolorosa a la movilización.
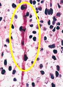
Se procedió a toma de biopsia por incisión y en el estudio histopatológico se establece que se trata de rabdomiosarcoma embrionario variedad tipo botrioide (Figura 5); por la clasificación del TNM, se consideró T2 N0 M0, etapa clínica III de riesgo intermedio.

Figura 5: Zonas sólidas con células redondas y fusiformes con núcleos oscuros hipercromáticos con mitosis atípica (rabdomioblastos).
Inició quimioterapia con vincristina y ciclofosfamida por 18 ciclos; también se procedió a brindar radioterapia neoadyuvante durante 31 sesiones. Por efectos secundarios de quimioterapia, la paciente reingresó en distintas ocasiones a la Unidad de Cuidados Intensivos Pediátricos por choque séptico, colitis neutropénica, neumonía intrahospitalaria por Escherichia coli y lesión renal aguda.
Al terminar tratamiento, se procedió a realizar cirugía, en la cual se resecó el tumor, por su tamaño se realiza vesicoplastia y anastomosis ureteral término-lateral con colocación de catéter doble J. Las dimensiones del tumor resecado fueron de 4 cm de ancho, por 5 cm de longitud.
A un mes de la cirugía y ante la recidiva del tumor, recibe nuevo esquema de quimio-radioterapia adyuvante; dicho tratamiento estaba en curso en el momento del presente reporte.
Discusión
Este caso describe a un paciente femenino que inició con sintomatología como infecciones de vías urinarias de repetición y, posteriormente, la protrusión gradual de una masa tumoral a través de meato urinario. Esta tumoración correspondió a rabdomiosarcoma de pared vesical. En la literatura se encuentran muy pocos casos de reportes similares. En México, en el 2010, Figueroa y colegas revisaron 31 pacientes con rabdomiosarcoma tratados entre los años 1997 y 2003 en el Instituto Nacional de Pediatría. Solamente se describen cuatro pacientes (12.9%) que presentaron este tipo de tumor a nivel genitourinario, lo cual enfatiza la baja frecuencia de esta localización.3
Al igual que en el caso informado por ALSaleh y colaboradores, inicialmente nuestra paciente manifestó sintomatología de afección en vías urinarias; pero en esa paciente la localización de la tumoración fue vaginal y no en vías urinarias.2 Esta información, puede ser de ayuda para considerar este diagnóstico cuando no hay resolución de la sintomatología en pacientes con infección de vías urinarias que reciben un tratamiento apropiado.
Un dato muy importante del presente reporte fue la presencia de la protrusión transuretral de una masa. Este dato ya ha sido informado en otros reportes como el de Bethell y colaboradores, quienes lo observaron en un paciente masculino de cuatro días de edad, con un rabdomiosarcoma embrionario.4
También en el 2013, Prado y su equipo describen un caso de rabdomiosarcoma botrioide genitourinario en una paciente de 18 meses de edad, quien debutó con protrusión de una masa a nivel genital, aunque a expensas de la vagina; cabe señalar que esta paciente ya tenía metástasis pulmonar.5
La supervivencia de los pacientes con rabdomiosarcoma es alrededor de 70% a cinco años después del diagnóstico. El pronóstico está relacionado con la localización de origen, resecabilidad, metástasis, número de sitios metastásicos o tejidos implicados, participación ganglionar, el estadio, así como la histopatología y las características biológicas del tumor. Asimismo, un factor a considerar es la edad, ya que la dosis de quimioterapia puede ser hasta 50% más bajas en pacientes más jóvenes.6,7
Un ejemplo de un tratamiento curativo exitoso asociado con un diagnóstico oportuno lo informaron Nishio y colaboradores en el 2020. Estos autores describen a una niña de seis años con rabdomiosarcoma botrioide de tipo embrionario (etapa clínica T1, N0, M0) tratada con cistectomía radical -asistida por robot-, y posteriormente recibió quimioterapia adyuvante con vincristina, actinomicina D y ciclofosfamida.8 En el caso de nuestra paciente, su supervivencia dependerá de la respuesta al tratamiento que actualmente está recibiendo.















