68 3Vasculitis leucocitoclastica inducida por levamisol, presentación atípica¿Qué es la pirámide de la evidencia? 
Home Page  

  • SciELO

  • SciELO


Revista de la Facultad de Medicina (México)

 ISSN 2448-4865 ISSN 0026-1742

Rev. Fac. Med. (Méx.) vol.68 no.3 Ciudad de México may./jun. 2025   05--2025

https://doi.org/10.22201/fm.24484865e.2025.68.3.04 

Casos clínico-radiológico

Haga su diagnóstico

Ana Paola Cerda Sáncheza  * 
http://orcid.org/0000-0002-0375-9974

Gaspar Alberto Motta Ramíreza 
http://orcid.org/0000-0001-9449-4600

Alejandra Valdés Gómeza 
http://orcid.org/0009-0006-1253-5012

a Departamento de Imagenología. Hospital Ángeles Pedregal. Ciudad de México, México.


Paciente del sexo femenino, de 33 años de edad, con 2 semanas de evolución de dolor epigástrico recurrente, con episodios de hasta 2 horas de duración, sin síntomas acompañantes ni síndrome febril, que condicio alaboratorio y el ultrasonido del hemiabdomen superior resultaron normales. Se estableció el diagnóstico clínico de trastorno funcional gastrointestinal e inició tratamiento con reguladores de la motilidad intestinal, antiespasmódicos y analgésicos orales, con escasa respuesta.

Sección a cargo del Dr. José Luis Ramírez-Arias

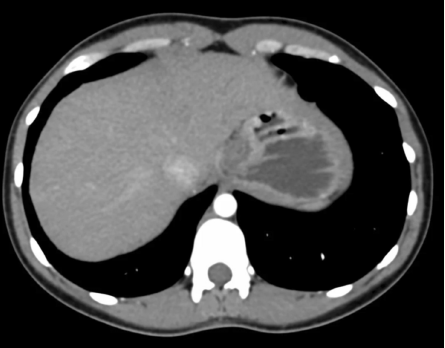
  1. La paciente ingresa al servicio de urgencias por persistencia del dolor abdominal a pesar del tratamiento. Se le realiza un estudio de imagen (figura 1). ¿Qué tipo de estudio es?

    1. Resonancia magnética abdominal

    2. Tomografía computada abdominopélvica simple

    3. Tomografía computada abdominopélvica contrastada

    4. Serie esofagogastroduodenal

      Foto: Cerda Sánchez et al.

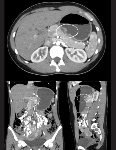
      Figura 1 Estudio de imagen realizado al ingreso a urgencias 

  2. ¿Cuál es el diagnóstico más común en pacientes que acuden a urgencias con dolor abdominal en el cuadrante superior izquierdo?

    1. Colitis isquémica

    2. Pancreatitis / colección en la cola del páncreas

    3. Gastritis / enfermedad ulcerosa péptica

    4. Infarto esplénico

  3. En la selección de imágenes multiplanares del estudio de tomografía computada abdominopélvica (figura 2), ¿qué es lo que se señala dentro del círculo y la flecha?

    1. Nicho ulceroso gástrico en la curvatura mayor

    2. Nicho ulceroso gástrico en la curvatura menor

    3. Nicho ulceroso duodenal en la primera porción

    4. Signo de la diana en la curvatura mayor

      Figura 2 Selección de imágenes multiplanares del estudio de tomografía computada abdominopélvica con contraste oral (agua) e intravenoso, en fase arterial 

  4. ¿Dónde se forman más comúnmente las úlceras marginales?

    1. Anastomosis gastroyeyunal

    2. Bulbo duodenal

    3. Antro gástrico

    4. Unión gastroesofágica

  5. ¿Cuál es la causa más común de úlcera péptica?

    1. Consumo de antiinflamatorios no esteroideos (AINE)

    2. Consumo de corticoesteroides

    3. Enfermedad de Zollinger-Ellison

    4. Infección por Helicobacter pylori

Respuestas: 1: b; 2: c; 3: b; 4: a; 5: d.

BIBLIOGRAFÍA

Allen BC, Tirman P, Tobben JP, Evans JA, Leyendecker JR. Gastroduodenal ulcers on CT: forgotten, but not gone. Abdom Imaging. 2015;40(1):19-25. [ Links ]

Motta-Ramírez GA, González-Burgos O, Torres V. Papel actual de la SEGD con técnica de doble contraste en la evaluación de la sintomatología sugerente de enfermedad ácidopéptica. Rev Sanid Milit. 2007;61(3):177-187. [ Links ]

Tonolini M, Ierardi AM, Bracchi E, Magistrelli P, Vella A, Carrafiello G. Non-perforated peptic ulcer disease: multidetector CT findings, complications, and differential diagnosis. Insights Imaging. 2017;8(5):455-469. [ Links ]

Recibido: 22 de Marzo de 2025; Aprobado: 29 de Abril de 2025

* Autora para correspondencia: Ana Paola Cerda Sánchez.Correo electrónico: dra.paolacerda@gmail.com

Creative Commons License Este es un artículo publicado en acceso abierto bajo una licencia Creative Commons