INTRODUCCIÓN
Uno de los mayores retos dentro de la cirugía oncológica es individualizar el manejo de cada uno de los pacientes. Recordando que cada paciente tendrá características individuales, patologías y antecedentes únicos, lo cual hace más complejo el abordaje terapéutico1.
Actualmente, el carcinoma epidermoide de células basaloides es un tipo de cáncer infrecuente2; sin embargo, presenta una alta complejidad en su tratamiento debido al abordaje interdisciplinario y al reto quirúrgico que implica su resección.
El carcinoma epidermoide de células basaloides es una variante poco frecuente del carcinoma de células escamosas. En 1986, Wain y colaboradores3 informaron por primera vez que las características histopatológicas del carcinoma epidermoide de células basaloides son distintas y específicas. Desde el primer reporte, solo 65 casos de carcinoma epidermoide de células basaloides de la cavidad nasal o de la cavidad paranasal con infiltración a cerebro han sido reportados en la literatura inglesa, identificados a través de una búsqueda en PubMed4. Se han descrito diversas modalidades de tratamiento, incluida la cirugía complementada con radioterapia postoperatoria/quimioterapia adyuvante5. Sin embargo, no existe un consenso establecido sobre el tratamiento del carcinoma epidermoide de células basaloides debido al número limitado de casos, especialmente en pacientes con invasión de la base del cráneo7.
PRESENTACION DEL CASO
Se trata de paciente del sexo femenino, de 49 años, con los siguientes antecedentes de importancia: diabetes mellitus tipo 2 de 5 años de evolución en tratamiento con metformina, antecedente quirúrgico por luxación congénita de cadera al año de edad, tabaquismo positivo por 10 años, con consumo de 2 cigarrillos al día.
Padecimiento actual: La paciente refirió que, hace 3 meses, presentó un aumento de volumen en la región periorbitaria derecha, por lo que fue tratada en su unidad de medicina familiar bajo los diagnósticos de sinusitis, glaucoma y parálisis facial, con múltiples tratamientos sin mejoría. Dos semanas antes de su ingreso, presentó cefalea intensa en la región occipital y frontal, con un puntaje de 10/10 en la escala visual análoga para el dolor, de tipo opresivo-punzante, acompañado de náuseas y pérdida de agudeza visual en el ojo derecho, por lo cual acudió a su clínica el 21/05/2023, siendo referida al tercer nivel de atención.
Se le realizó una tomografía simple de cráneo, en la cual se observaron celdillas etmoidales, senos frontales y esfenoidales ocupados por una zona hipodensa, con realce homogéneo en la fase contrastada, con extensión al cornete inferior derecho, lo que condicionaba obstrucción del antro maxilar derecho y resorción ósea en las celdillas etmoidales, así como en la pared medial del seno maxilar ipsilateral. Se observó una solución de continuidad del hueso etmoides, con extensión de la lesión al parénquima cerebral. El parénquima cerebral mostraba una imagen en el giro frontal derecho, de 10.2 × 6.9 mm, con bordes hiperdensos, centro de menor densidad, realce de atenuación, desviación de la línea media de 5 mm y disminución del ventrículo lateral, con edema perilesional (figura 1).

Imagen: Prado Hernández et al.
Figura 1 Tumor nasal con extensión intracraneal. a) Reconstrucción 3D que muestra pérdida de integridad en el hueso nasal derecho (punta de flecha). b) tomografía computarizada (TC) contrastada en corte coronal, donde se observa el tumor nasal con extensión intraorbitaria (asteriscos) y extensión intracraneal en forma de imágenes quísticas con realce en anillo (flechas delgadas). c) y d) TC con algoritmo óseo en cortes coronal y sagital, respectivamente, evidenciando pérdida de integridad en la lámina cribiforme (flechas gruesas) y en las láminas papiráceas (asteriscos).
Se solicitó interconsulta al servicio de otorrinolaringología para la toma de biopsia vía nasal, la cual se realizó el día 24/05/2023. El reporte de histopatología indicó carcinoma epidermoide de células basaloides (figuras 2 y 3).

Imagen: Prado Hernández et al.
Figura 2 Tumor nasal con extensión intracraneal. a) y b) Resonancia magnética (RM) en T1 + Gd, cortes coronal y sagital, mostrando el tumor nasal con extensión intraorbitaria bilateral (asteriscos) y realce homogéneo intenso, así como extensión intracraneal en forma de imágenes quísticas con realce en anillo (flechas delgadas). c) RM en T2 FLAIR, corte coronal que evidencia un extenso edema vasogénico en el lóbulo frontal derecho (flechas gruesas). d) Reconstrucción 3D del tumor nasal, mostrando extensión intracraneal (cabeza de flecha) y a las fosas nasales (puntos rojos).

Imagen: Prado Hernández et al.
Figura 3 Tumor nasal con extensión intracraneal. a) Resonancia magnética (RM) en T2 axial, que muestra ocupación total de las celdillas etmoidales y senos esfenoidales con alta señal de aspecto heterogéneo (cabeza de flecha). b) RM T2 FLAIR axial, con ocupación total del seno maxilar derecho, que presenta alta señal (asteriscos). c) y d) Difusión y mapas de ADC del tumor nasal con extensión intraorbitaria bilateral (puntos) que muestran restricción a la difusión, secundaria alta proliferación celular.
El día 02/06/2023 se llevó a cabo un procedimiento por hemodinamia para la embolización de la lesión.
El día 03/06/2023 ingresó a quirófano para realizar una cirugía de abordaje transnasal endoscópico tras piriforme, craneotomía bicoronal, resección de tumor y resección de abscesos cerebrales. Como hallazgo, se reportó un tumor nasal gomoso fácilmente resecable, con extensión a los senos maxilares e infiltración frontal, además de dos abscesos frontales de 3 cc. La cirugía cursó con un sangrado de 200 mililitros y un tiempo quirúrgico de 08:30.
Se inició manejo con meropenem y vancomicina debido a la presencia de abscesos. Actualmente, la paciente refiere dolor facial intermitente, imposibilidad para la apertura palpebral y ceguera.
Técnica quirúrgica
Se decidió el ingreso de la paciente a la sala de quirófano bajo intubación orotraqueal, con colocación en decúbito supino y fijación al cabezal de Mayfield. Se realizó tricotomía limitada a la región bicoronal, seguida de sepsia y antisepsia de la región cefálica y facial. Se colocaron campos estériles, dejando el área de trabajo perinasal y frontal, y se procedió a un doble abordaje simultáneo.
Abordaje frontal: Se inició con incisión bicoronal, con disección por planos hasta llegar al hueso. Se reflejó el colgajo óseo, exponiendo la región frontal hasta la supraorbitaria, respetando el nervio supraorbitario. Se realizaron cuatro trépanos sin complicaciones utilizando un craneótomo. Mediante un corte lateral, se completó la craneotomía y se retiró el colgajo óseo. Al retraer el lóbulo frontal, se encontró un tumor gomoso de fácil resección, ubicado frente a esta región y alrededor del área orbitaria, con infiltración ósea hacia el plano esfenoidal. Se extrajo un tumor de aproximadamente 7 cc y se procedió a realizar una durotomía guiada con sistema de neuronavegación en la región frontal derecha, donde se encontraron y resecaron dos abscesos cerebrales de aproximadamente 3 cc cada uno, con salida de material aparentemente purulento, no fétido. Se colocó fascia lata en la duramadre y se procedió a internalizar el pericráneo, separando la comunicación nasal y frontal. Posteriormente, se reconstruyó el piso anterior del cráneo con malla de titanio moldeada y fijada con tornillos. Se colocaron Duraseal, Gelfoam y duramadre, y se verificó la hemostasia. Finalmente, se recolocó el colgajo óseo, se dejó drenaje subgaleal y se cerró por planos hasta la piel con sutura de nylon 2-0.
Abordaje transnasal endoscópico: Mediante este abordaje, se accedió a la región nasal, encontrando a 3 centímetros de las fosas nasales un tumor gomoso, fácilmente resecable y friable, con infiltración en el tabique nasal, senos maxilares, y cornetes medios y superiores. Se resecó el tumor hasta el dorso de la silla turca utilizando neuronavegación transquirúrgica, reseccionando también la mucosa nasal infiltrada por el tumor, conectando la región nasal con la frontal, y continuando con la resección en la región infraorbitaria. Se fresaron los senos etmoidales y, tras corroborar la resección completa del tumor, se procedió al cierre y separación de las regiones frontal y nasal con colocación de fascia lata y un sustituto de duramadre. Se dejaron dos sondas de Foley, infladas con 15 cc en cada fosa nasal, dando por concluido el acto quirúrgico (figuras 4 y 5).

Imagen: Prado Hernández et al.
Figura 4 a) Tumor nasal con extensión intracraneal en reconstrucción 3D. b) y c) Angiografía diagnóstica (AX DX) y embolización (técnica olla a presión), posición lateral con road mapping: cateterización de la arteria maxilar interna con extremo distal en la arteria angular, donde se observa “Blush tumoral” y una prominente vascularización en fases arterial temprana y tardía. d), e) y f) Embolización con ascenso de coils (tapón) (puntas de flecha), embolización con Onyx 18 (asteriscos) y mezcla de histoacryl-lipiodol (flechas delgadas). g) Material embolizante con exclusión de la vascularización tumoral. h) Imagen previa a la embolización. i) Imagen posterior a la embolización (control).

Imagen: Prado Hernández et al.
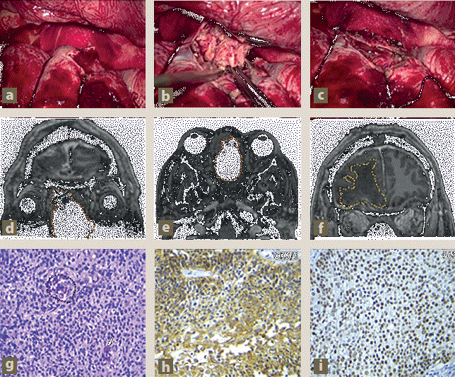
Figura 5 Tumor nasal con extensión intracraneal. Fotografías transoperatorias. a) Apertura de la duramadre en el lóbulo frontal. b) Exéresis de tumor intradural junto a la duramadre. c) Bordes de tejido cerebral sin evidencia de lesión tumoral. Control postquirúrgico por imagen (resonancia magnética [RM] en T1 + Gd en cortes coronal, axial y coronal respectivamente), mostrando: ausencia de la lesión tumoral en las fosas nasales (puntos naranjas continuos), ausencia de la lesión tumoral en la región frontal derecha aunado a edema vasogénico adyacente (puntos amarillos continuos). Imágenes histopatológicas: g) Varias capas de células epiteliales con pleomorfismo nuclear, mitosis (puntos negros) e infiltrado linfocitario (flecha). h) Inmunohistoquímica CK5/6 que confirma el origen epitelial. i) Inmunohistoquímica P63 que confirma el origen epidermoide.
DISCUSIÓN
Actualmente, el manejo individualizado de cada paciente es primordial para el éxito de un tratamiento integral. El carcinoma epidermoide de células basaloides en la cavidad nasal y los senos paranasales con infiltración cerebral es una entidad muy rara. En los casos avanzados de cáncer de cabeza y cuello, la quimiorradioterapia es el estándar de tratamiento8. En el carcinoma epidermoide de células basaloides avanzado no se ha establecido un estándar de atención.
Generalmente, el tratamiento requiere un enfoque multidisciplinario, comenzando con la resección quirúrgica. Además, se recomienda un tratamiento adyuvante que incluya radioterapia con o sin quimioterapia9-11.
Takemura y colaboradores compararon la actividad enzimática relacionada con el 5-FU entre el carcinoma epidermoide de células basaloides esofágico y el carcinoma epidermoide de células basaloides de la cavidad nasal. La actividad enzimática fue significativamente mayor en el carcinoma epidermoide de células basaloides, lo que sugiere que este tipo de carcinoma puede presentar una mayor resistencia al 5-Fluorouracilo en comparación con el carcinoma epidermoide de células basaloides en el esófago12. Extrapolando sus resultados, la quimioterapia en monoterapia puede ser más eficaz que la quimioterapia combinada.
Hasta donde sabemos, no se ha descrito en la literatura un caso de carcinoma epidermoide de células basaloides nasal tratado con docetaxel y cisplatino. La quimioterapia con docetaxel y cisplatino tiene la capacidad de localizar con precisión la dosis de radiación, lo que facilita una preservación significativa de los tejidos normales en las lesiones de cabeza y cuello13. El uso de esta característica ayuda a mitigar los efectos secundarios de la radioterapia convencional que suelen producirse con la quimioterapia simultánea.
CONCLUSIÓN
En la revisión bibliográfica se ha reportado un número reducido de casos de carcinoma epidermoide de células basaloides en cavidad nasal con infiltración cerebral, por lo que aún no existe un tratamiento estandarizado. Sin embargo, el enfoque multidisciplinario es fundamental para el éxito y el pronóstico de estos pacientes. El reporte de pacientes con carcinoma epidermoide de células basaloides contribuirá a establecer pautas de tratamiento estandarizado.



















