Introducción
Coccidioides consta de las especies C. immitis y C. posadasii. C. immitis es endémica dentro del valle central, el sur de California, Baja California, México, siendo su manifestación variable entre los pacientes. Coccidioidomicosis es otro desafío diagnóstico. El método ELISA serológico basado en la detección de IgM e IgG muestra alta especificidad (98.5%) y sensibilidad (95.5%) y se usa comúnmente para el diagnóstico. Algunos estudios han discutido las dificultades en la detección de anticuerpos durante los primeros momentos de la infección, así como en pacientes inmunodeprimidos.1,2
En pacientes con trasplante renal se entiende como supervivencia al tiempo trascurrido desde la fecha del trasplante renal hasta el momento del fallecimiento del receptor, siempre que este suceda hasta el momento del fallecimiento o en los 120 días posteriores al inicio de diálisis. La supervivencia del paciente y del órgano trasplantado está determinado por una serie de variables, entre las más estudiadas se encuentran: tiempo de isquemia, edad del donante y receptor, estudio de histocompatibilidad, sexo, tratamiento inmunosupresor, peso, talla, índice de masa corporal, proceso infeccioso, entre otras.3,4
Presentación del caso
Se trata de paciente masculino de 43 años de edad, residente de Mexicali, Baja California. Antecedentes de diabetes mellitus tipo 1, hipertensión arterial sistémica, infarto agudo de miocardio, evento cerebrovascular, COVID-19 en 2020, trasplante renal derecho en 2011 en tratamiento con tacrolimus. Enviado de clínica periférica con descontrol metabólico, glicemia capilar de 400 mg/dL y tensión arterial media de 135 mmHg, permanente en observación para control donde presenta súbitamente deterioro neurológico y crisis convulsiva, por lo que se decide intubación orotraqueal. Durante su estancia presenta pico febril de 39.4 oC, de modo que se decide su ingreso a la Unidad de Cuidados Intensivos (UCI): paciente con evolución tórpida, presenta lesión renal aguda AKIN III (por lo que requiere terapia de reemplazo renal con hemodiálisis), choque séptico, síndrome de dificultad respiratoria aguda severo (PAFI 55) y ventilación en pronación.
Abordaje
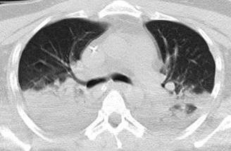
Durante su estancia en la UCI se inicia protocolo de estudio ante deterioro neurológico súbito y fiebre, se realiza punción lumbar con líquido cefalorraquídeo normal, tomografía de cráneo simple a su ingreso y a las 72 horas en las cuales se descarta evento cerebrovascular. PAR y PCR COVID negativos, cultivo de secreción bronquial, urocultivo, hemocultivo central y periférico negativos. La tomografía de tórax (Figura 1) muestra neumonía lobar bilateral, por lo que se inicia manejo antimicrobiano para patógenos atípicos ante paciente inmunosuprimido. Panel de neumonía por método RT-PCR FilmArray de secreción bronquial negativo, así como PCR GeneXpert para Mycobacterium tuberculosis negativo. Anticuerpos anti-Coccidioides immitis IgG e IgM positivos, concordante con cuadro clínico.
Se administra voriconazol, mejorando parámetros ventilatorios y respuesta hemodinámica. Se solicita Doppler de injerto renal con índice de resistencia de 0.9, con recuperación de función renal en su totalidad posterior a cuatro sesiones de hemodiálisis, logrando progresión ventilatoria mediante traqueostomía por intubación prolongada.
Se egresa de UCI sin apoyo ventilatorio ni datos de respuesta inflamatoria.
Diagnósticos diferenciales
Ante el diagnóstico de síndrome de dificultad respiratoria aguda en paciente inmunosuprimido se deben considerar otros agentes causales como Mycobacterium tuberculosis, influenza, neumonía bronquial atípica; sin embargo, se debe enfocar en los antecedentes del paciente, así como en la región endémica. La alta sospecha por parte del personal médico es lo que determina la conducta de estudio de estos pacientes.
Tratamiento
En el tratamiento antimicrobiano empírico inicial, en este paciente se utilizó fluconazol, pese a éste, cursó con deterioro clínico, por lo que se cambió a voriconazol con el cual tuvo mejoría significativa clínica y sintomática, ésta fue reflejada en la condición y estabilidad hemodinámica de nuestro paciente.
En la presentación de este caso clínico uno de los factores extenuantes y que volvían tórpida de forma inicial la evolución clínica fue la presencia de lesión renal aguda desarrollada durante su hospitalización, además del trasplante renal 11 años atrás y el uso de inmunosupresor como mantenimiento antirrechazo, por lo que durante su estancia hospitalaria se realizaron sesiones de hemodiálisis, evitando así el fracaso renal.
Desenlace y seguimiento
Dentro de su abordaje y manejo antimicrobiano empírico no se presentó desarrollo de patógenos típicos, por lo que se tuvo que extender a estudios específicos para patógenos atípicos endémicos de la región, resultando negativo para tuberculosis y anticuerpos positivos para coccidioidomicosis concordante a la respuesta clínica al inicio de voriconazol.
Se realizó ultrasonido renal, el cual reportó un índice de resistencia de 0.9, ante éste y la necesidad de terapia de reemplazo renal, así como el tiempo de evolución del injerto, se sospechó el rechazo del mismo, llamando la atención la evolución hacia la recuperación (Figura 2) de la función renal posterior al control del estado séptico sin modificación significativa del índice de resistencia posterior a la resolución de lesión renal aguda (Figura 3). Se mantuvo en manejo con esteroide, sin nuevo requerimiento dialítico.
Discusión
La coccidioidomicosis es una infección que se presenta en zonas endémicas como la zona norte de Baja California. Los factores de riesgo son pacientes VIH positivos, administración de corticosteroides en altas dosis o prolongados, receptores de trasplantes de órganos sólidos, diabetes mellitus, insuficiencia renal, sexo (predominando en varones mayores a 40 años). La forma infectante de Coccidioides spp. es el artroconidio que forma parte de la fase micelial y que, al desplazarse por el aire, es inhalado por el hospedero. No se considera una infección de notificación obligatoria y puede coexistir con tuberculosis en regiones endémicas para ambos, lo que conlleva un alto grado de dificultad diagnóstica.4
Para su diagnóstico las pruebas serológicas de detección de anticuerpos IgM o IgG son las que se usan con más frecuencia para hacer el diagnóstico de coccidioidomicosis. Otros métodos incluyen cultivos e histológicos.5
El voriconazol se introdujo en el año 2002, y se observó que este fármaco responde a personas con fracaso a fluconazol. La dosis aprobada por la Administración de Alimentos y Medicamentos (FDA) es de 200 mg vía oral cada 12 horas, la cual no resultó ser óptima; por lo tanto, se recomiendan habitualmente 4 mg/kg cada 12 horas. Los azoles más recientes también utilizados ante resistencia a fluconazol son posaconazol e isavuconazonio.6,7
Conclusiones
Cuando los receptores de trasplantes se someten a una evaluación para enfermedad febril, los cultivos bacterianos y fúngicos de sangre, orina y otras muestras se realizan de forma rutinaria.
El control de la coccidioidomicosis en cualquier huésped depende de la inmunidad mediada por células y los receptores de trasplantes cuyos medicamentos antirrechazo deterioran dicha inmunidad poniéndolos en riesgo de coccidioidomicosis grave y diseminada.
El diagnóstico de lesión renal aguda en el trasplante renal resulta un desafío, dada la variabilidad frecuente de creatinina sérica, vinculada a la titulación de fármacos inmunosupresores y el estado de volemia, asociándose a una peor supervivencia del injerto. La incidencia de rechazo agudo es mayor en los primeros seis meses, mientras que el rechazo crónico aumenta después de un año.8
Perspectivas del paciente
Durante la hospitalización de este paciente no existieron limitaciones para su correcto diagnóstico, abordaje y complementación recibiendo el apoyo total por parte de familiares ante cualquier decisión médica mediante consentimiento informado, siendo egresado con tratamiento ambulatorio.










nova página do texto(beta)





