Introducción
El uso de la colangiopancreatografía retrógrada endoscópica (CPRE) representa una de las opciones diagnósticas y terapéuticas predilectas de mínima invasión para la enfermedad pancreatobiliar, ya que permite la visualización del árbol biliar con examinación directa de la papila duodenal mayor y menor, y la canulación selectiva del ducto biliar o pancreático. Se efectúa en casos de obstrucción de la vía biliar de cualquier causa, ya que la CPRE no es exclusiva para coledocolitiasis1,2.
El procedimiento no presenta limitantes por rango de edad, es adaptable tanto para pacientes jóvenes como para adultos mayores, con un adecuado índice de seguridad. Sin embargo no está exento de complicaciones, que se presentan en un 4-10% de los casos, catalogadas como graves hasta en el 1.6%, como el hematoma hepático, una complicación poco frecuente pero potencialmente grave y mortal3,4.
El objetivo de esta presentación es describir la incidencia, prevalencia, manejo y características de los pacientes que presentaron complicación de hematoma hepático posterior a la realización de CPRE en el Hospital General de México durante un periodo de dos años, a modo de miniserie de casos.
Presentación de casos
Se presenta una miniserie de cinco casos de complicaciones graves asociadas a CPRE, identificadas por el Servicio de Endoscopia del Hospital General de México durante el periodo 2021-2022, en el cual se realizaron un total de 2,552 CPRE.
Caso 1
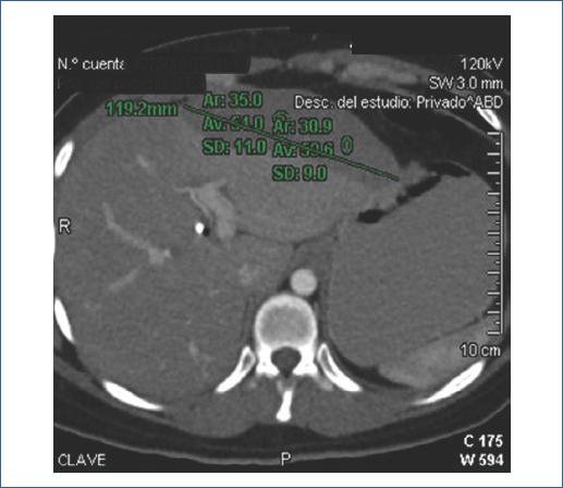
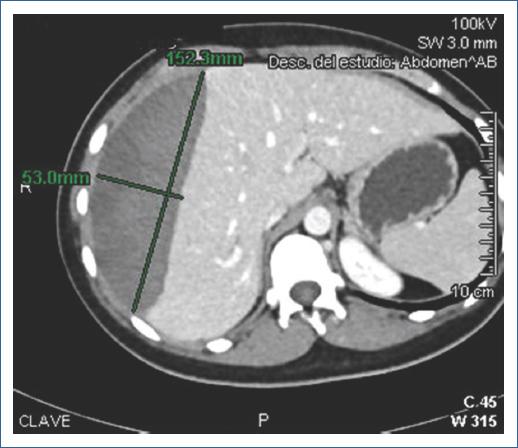
Paciente de sexo femenino de 29 años, sin antecedentes de importancia. Ingresa por cuadro de cólico biliar e ictericia. El ultrasonido evidenció coledocolitiasis, por lo que se realizó CPRE. Durante el procedimiento, con un tiempo de canulación de 5 minutos, se efectuaron dos intentos de canulación con guía hidrofílica por parte del médico adscrito en turno, asistido por el residente de endoscopia. Se realizó esfinterotomía, identificando cístico de implantación media sin defectos de llenado; se efectuaron barridos con balón, obteniéndose salida de lodo biliar, y se colocó una endoprótesis biliar. Se concluyó que se trataba de un síndrome de Mirizzi tipo I. Durante la noche, la paciente presentó dolor abdominal súbito. Los laboratorios relevantes posteriores al procedimiento fueron: bilirrubina total (BT) 6.46, directa (BD) 1.25, indirecta (BI) 5.21; aspartato aminotransferasa (AST) 53, alanina aminotransferasa (ALT) 212, fosfatasa alcalina (FA) 189, gamma-glutamil transferasa (GGT) 429, lactato deshidrogenasa (DHL) 202, amilasa 111, lipasa 261. Se realizó tomografía computarizada (TC), que evidenció una colección subcapsular en el lóbulo hepático izquierdo de 172 ml (Fig. 1). Se manejó de forma conservadora, con 12 días de estancia intrahospitalaria y adecuada evolución, por lo que se indicó egreso por mejoría clínica, con programación para colecistectomía laparoscópica.
Caso 2
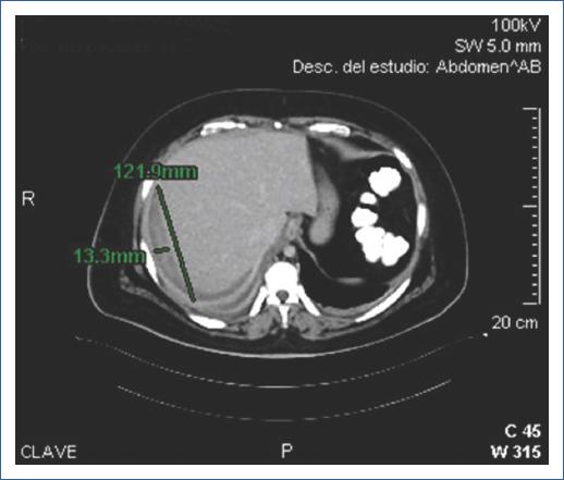
Paciente de sexo femenino de 46 años, con antecedente de hipertensión arterial sistémica en tratamiento. Ingresó para CPRE programada por diagnóstico de coledocolitiasis por ultrasonido. El procedimiento, realizado por el médico adscrito y asistido por el residente, tuvo un tiempo de canulación de 4 minutos, con tres intentos de canulación con guía hidrofílica. Se realizó esfinterotomía e identificación de defectos de llenado; se hicieron barridos con balón con salida de litos y colocación de endoprótesis biliar, con extracción exitosa. Posterior al procedimiento, la paciente presentó dolor en hipocondrio derecho. Laboratorios relevantes: hemoglobina (Hb) 10.1, BT 0.56, BD 0.08, BI 0.48; AST 106, ALT 20, FA 69, GGT 72, DHL 154, amilasa 78, lipasa 81. Se realizó TC que evidenció hematoma hepático subcapsular de 898 ml (Fig. 2). Se colocó catéter de drenaje percutáneo debido al volumen del hematoma, con gasto hemático adecuado durante su estancia hospitalaria y retiro del drenaje a los 7 días tras control ecográfico. Egresó tras 14 días de hospitalización con evolución favorable.
Caso 3
Paciente de sexo femenino de 27 años, con antecedente de colecistectomía laparoscópica un año antes. Ingresó por urgencias con cuadro de colangitis aguda leve, por lo que se realizó CPRE. Procedimiento efectuado por el médico adscrito asistido por residente; tiempo de canulación: 5 minutos, con cuatro intentos mediante guía hidrofílica. Se observaron múltiples úlceras con fibrina en el duodeno. Se identificó vía biliar intrahepática dilatada, colédoco de 10.41 mm con dos defectos de llenado (el mayor de 8.46 × 13.03 mm). Se realizó esfinterotomía a 12 mm y barridos con balón, con salida de dos litos y resolución completa de la coledocolitiasis. Cuatro horas después presentó taquicardia persistente y dolor epigástrico. La TC mostró hematoma hepático subcapsular subagudo de 235 ml, con burbujas de aire y zonas de densidad heterogénea (Fig. 3). Fue intervenida quirúrgicamente de urgencia: se identificó hematoma subcapsular hepático roto post-CPRE (WSES grado IV, AAST grado III), tratándose mediante drenaje y empaquetamiento hepático, con reintervención para desempaquetamiento. Requirió antibioticoterapia y transfusión de dos paquetes globulares. Egresó a los 13 días con evolución satisfactoria.
Caso 4
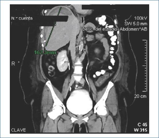
Paciente de sexo femenino de 47 años, sin antecedentes relevantes. Con diagnóstico por ultrasonido de coledocolitiasis, se realizó CPRE programada. Procedimiento a cargo del médico adscrito, asistido por residente; tiempo de canulación: 3 minutos, con dos intentos. Se realizó esfinterotomía, identificación de defecto de llenado, barrido con balón y colocación de endoprótesis biliar. Posteriormente presentó dolor epigástrico intenso. Laboratorios: Hb 8.1, BT 2.16, BD 0.12, BI 2.04; AST 110, ALT 45, FA 115, GGT 95, DHL 126, amilasa 86, lipasa 67. La TC reveló hematoma subcapsular hepático de 1,250 ml (Fig. 4). Se colocó drenaje percutáneo, con gasto inicial de 900 ml y gasto diario de 50 ml. Egresó a los 13 días, con resolución clínica y programación para colecistectomía laparoscópica.
Caso 5
Paciente de sexo femenino de 21 años, con antecedente de colelitiasis. Ingresó con diagnóstico de coledocolitiasis, realizándose CPRE por el médico adscrito, asistido por residente. Tiempo de canulación < 5 minutos, con dos intentos. Se observó colédoco de 10 mm sin defectos de llenado. Se realizó esfinterotomía y barridos con balón, obteniéndose lodo biliar; se colocó endoprótesis biliar. Posteriormente, presentó dolor tipo cólico en hipocondrio derecho, con los siguientes laboratorios: Hb 6, BT 0.79, BD 0.25, BI 0.54; AST 25, ALT 16, FA 119, GGT 70, DHL 315, amilasa 76, lipasa 85. Se transfundieron dos concentrados eritrocitarios, con control de Hb de 9.7. La TC mostró hematoma hepático de 960 ml (Fig. 5). Se colocó catéter percutáneo para drenaje, retirado al quinto día tras control ecográfico. Durante la estancia hospitalaria se realizó colecistectomía laparoscópica sin eventualidades. Egresó a los 13 días con evolución favorable.
Discusión
El hematoma hepático como complicación de la CPRE es un evento raramente reportado en la literatura, con escasa frecuencia, pero con alta potencialidad de morbimortalidad si no se diagnostica y trata oportunamente. En nuestra serie de cinco casos, se observó una incidencia del 0.1% entre más de 2,500 procedimientos realizados, lo cual coincide con reportes internacionales que sitúan la tasa de complicaciones graves entre el 0.5 y el 1.6%1,2.
Un hallazgo relevante fue que el 100% de los casos ocurrió en pacientes del sexo femenino, con edades entre los 21 y 47 años. Aunque no se ha establecido una relación directa entre el sexo y el riesgo de hematoma hepático post-CPRE, algunos estudios sugieren que las mujeres jóvenes podrían tener mayor sensibilidad a los procedimientos endoscópicos, posiblemente debido a factores anatómicos u hormonales3. Este hallazgo amerita exploración en estudios con mayor tamaño muestral.
En todos los casos, el diagnóstico de base fue coledocolitiasis, con síntomas predominantes como ictericia, dolor abdominal y alteraciones en pruebas de función hepática, particularmente hiperbilirrubinemia. Un elemento común fue la dificultad para la canulación biliar, con múltiples intentos por parte del equipo médico. Esta dificultad se ha identificado previamente como un factor de riesgo para complicaciones post-CPRE, al aumentar la probabilidad de lesiones iatrogénicas4.
Respecto al tratamiento, se observó una tendencia hacia la resolución favorable mediante intervenciones mínimamente invasivas. Cuatro de cinco pacientes requirieron drenaje percutáneo; solo una fue intervenida quirúrgicamente con empaquetamiento hepático. El manejo conservador fue eficaz en un solo caso (20%), lo cual indica que si bien es deseable como primera línea, debe individualizarse según el estado hemodinámico, la extensión del hematoma y la presencia de sangrado activo.
La estancia hospitalaria promedio fue de 13 ± 1 días, lo que refleja una recuperación prolongada pero favorable. La ausencia de mortalidad en nuestra serie es alentadora y puede atribuirse al diagnóstico temprano y a un abordaje terapéutico oportuno. Este resultado contrasta con reportes en los que la mortalidad alcanza hasta el 25% en complicaciones hepáticas graves post-CPRE5,6.
Las limitaciones del estudio incluyen el pequeño tamaño de la muestra y su diseño retrospectivo, lo que impide generalizar los hallazgos. Sin embargo, el análisis sistemático de estos casos contribuye al reconocimiento de un evento adverso poco diagnosticado, aportando información clínica útil para otros centros.
Conclusiones
El hematoma hepático post-CPRE es una complicación infrecuente, pero potencialmente grave. Su baja prevalencia, los escasos casos reportados y la dificultad diagnóstica debido a presentaciones clínicas variables dificultan su reconocimiento oportuno. La sospecha debe mantenerse ante la presencia de dolor abdominal súbito y descenso del hematocrito tras el procedimiento.
El manejo conservador puede considerarse como primera línea siempre que el estado hemodinámico del paciente lo permita. En casos más graves es necesario recurrir a abordajes más invasivos como drenaje percutáneo e incluso cirugía o embolización selectiva mediante radiología intervencionista en presencia de sangrado activo. La detección temprana es clave para mejorar el pronóstico.
Recomendamos considerar la dificultad de canulación como un factor de riesgo importante y enfatizamos la necesidad de una vigilancia estrecha posprocedimiento en estos casos. Esta serie refuerza la importancia de establecer protocolos de monitoreo y manejo estructurado ante eventos adversos poco frecuentes, pero clínicamente significativos.










nova página do texto(beta)







