Introducción
La apendicectomía es el procedimiento quirúrgico de urgencia más frecuentemente realizado. Se estima que el riesgo de padecer apendicitis durante la vida es del 7 al 9%.
En los adultos, las escalas como la de Alvarado y los marcadores inflamatorios por sí solos no son capaces de predecir el diagnóstico en todos los pacientes con apendicitis aguda. El rastreo por ultrasonido (US) es el método de imagen más utilizado, pero la tomografía computarizada (TC) es la técnica de referencia, con una especificidad del 98%. El uso escalonado de US y TC aumenta la certeza diagnóstica1. El retraso en el diagnóstico de apendicitis aguda puede llevar a perforación y un aumento de la morbilidad, con resultados adversos para el paciente1.
La perforación se presenta en aproximadamente el 20% de los casos de apendicitis. Varios estudios han mostrado que el riesgo de perforación se relaciona con el tiempo de evolución, y que el retraso en el tratamiento quirúrgico se asocia a peores resultados. Además, el tiempo quirúrgico, así como la estancia hospitalaria posquirúrgica, se incrementan significativamente con mayores intervalos de tiempo desde el inicio de los síntomas hasta la cirugía2.
La perforación del apéndice se puede manifestar con síntomas localizados en el cuadrante inferior derecho o con una perforación libre con diseminación de pus y materia fecal intraperitoneal. En ocasiones puede manifestarse con presentaciones clínicas inusuales, como abscesos retroperitoneales, fístulas enterocutáneas, abscesos hepáticos por diseminación hematógena, oclusión intestinal o incluso trombosis venosa portal séptica (pileflebitis). Las complicaciones de la apendicitis aguda son ampliamente variables y la mayoría son secundarias a los efectos de la perforación visceral3; existen algunas muy poco frecuentes, pero probables, como la perforación vesical y la fístula apendicovesical. Debido a la presentación variable de síntomas y a la incapacidad de los estudios de imagen para detectar esta rara patología, es difícil hacer un diagnóstico temprano. La TC, el método de referencia, muestra la pared vesical engrosada y fecalitos cerca de la vejiga como principales hallazgos, y en algunos casos se puede observar el trayecto fistuloso del intestino a la vejiga4. Para esta complicación no existe un tratamiento estandarizado, pero generalmente incluye apendicectomía y reparación de la pared de la vejiga3,4.
El manejo de la apendicitis perforada depende del estado del paciente. Cuando la perforación está contenida, con absceso localizado, puede ser inicialmente no quirúrgico con antibióticos por vía intravenosa y drenaje percutáneo, con posterior apendicectomía, o con apendicectomía inmediata5. En los pacientes hemodinámicamente inestables con peritonitis generalizada se requiere una exploración quirúrgica de urgencia. Actualmente se ha comprobado que la vía laparoscópica conlleva menor riesgo de infecciones del sitio quirúrgico, una estancia intrahospitalaria más corta y menos tiempo hasta el reinicio de la vía oral, con un tiempo quirúrgico ligeramente más largo respecto a la abierta, y sin incrementar el riesgo de formación de abscesos intraabdominales6,7. Aun en pacientes considerados de alto riesgo, con ASA 3-4, la laparoscopia en la apendicitis complicada presenta las mismas ventajas, con mayor frecuencia de complicaciones leves, pero menos graves, que la cirugía abierta8.
El objetivo de este trabajo es presentar un caso clínico de apendicitis con perforación vesical tratado de manera exitosa por vía laparoscópica mediante hemicolectomía derecha y cierre de la pared vesical.
Caso clínico
Mujer de 70 años con antecedentes de diabetes mellitus tipo 2 e hipertensión arterial sistémica de larga evolución, así como enfermedad renal crónica de 6 meses de diagnóstico sin terapia de sustitución renal; como quirúrgicos, una cesárea y salpingooforectomía bilateral hace 22 años, sin complicaciones; ginecoobstétricos: gesta 3, partos 2, cesárea 1.
Al inicio de su padecimiento, 2 semanas previas a su ingreso, se presentó con dolor pélvico bilateral y fiebre que no cedió con el uso de analgésicos y antipiréticos, diarrea y vómito, sin síntomas urinarios. Fue llevada a atención hospitalaria en otro centro, el US reveló litiasis vesicular y la TC simple mostró litiasis bilateral, con deterioro de la función renal. Se egresó de manera voluntaria después de 1 semana y fue trasladada a nuestro centro médico, donde ingresó con datos de urgencia dialítica. Tras la colocación de un catéter para hemodiálisis presentó deterioro de la función respiratoria, requiriendo manejo avanzando de la vía aérea. En su hospitalización se diagnosticó con choque séptico de probable foco urinario, necesitando apoyo aminérgico. Se interconsultó a cirugía general, encontrando en la exploración física plastrón en la fosa iliaca derecha y gasto fecal por sonda de Foley.
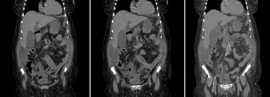
Los estudios de laboratorio mostraron leucocitosis de 45,000 con neutrofilia, tiempos de coagulación prolongados, lesion renal aguda y acidosis metabólica. La TC reportó líquido libre de predominio en la corredera parietocólica derecha, colección intraabdominal paracecal en proximidad con la vejiga, gas en la cavidad, ligero engrosamiento de la pared vesical y una zona de interfaz entre el ciego y la vejiga (Fig. 1). Se diagnosticó como probable apendicitis aguda complicada con perforación vesical secundaria.
Se decidió realizar exploración quirúrgica de urgencia por abordaje laparoscópico, encontrando material intestinal y purulento libre en la cavidad (Fig. 2), con el ciego perforado hacia la vejiga, observándose el globo de la sonda transuretral (Fig. 3). Se realizó hemicolectomía derecha (Fig. 4) con ileostomía terminal, cierre primario de la perforación vesical en tres planos (Figs. 5 y 6) y colocación de drenaje. La paciente se mantuvo en vigilancia posoperatoria en terapia intensiva, resolvió el cuadro de sepsis abdominal y fue egresada al sexto día a piso para continuar su recuperación a cargo de los servicios de nefrología y cirugía general. En el día 15 de posoperatorio se evidenció una nueva colección intraabdominal en la corredera parietocólica derecha, la cual se trató mediante drenaje percutáneo y antibiótico por vía intravenosa, resolviéndose sin complicaciones. Continuó con evolución tórpida por sus patologías de base, requiriendo múltiples sesiones de hemodiálisis, y finalmente falleció por complicaciones asociadas a la enfermedad renal.
Discusión
La apendicitis aguda todavía es subdiagnosticada con frecuencia. La proporción de apendicitis subdiagnosticadas oscila entre el 20 y el 40%1. La complicación más frecuente de la apendicitis es la perforación. Desde hace muchos años se han realizado esfuerzos para reducir esta complicación, buscando discernir mejor entre los pacientes que requieren o no exploración quirúrgica. Actualmente, la TC brinda mucha información precisa y se utiliza para detectar los casos dudosos; sin embargo, algunas veces no proporciona datos suficientes para diagnosticar la apendicitis aguda9. En nuestro caso, a la paciente se le realizó una TC previamente a su ingreso en nuestro nosocomio, que no reportó datos de proceso apendicular, lo que contribuyó al diagnóstico tardío y las consecuentes complicaciones. De acuerdo con Sosner et al.10, una de las causas comunes de falsos negativos por TC ante la sospecha de apendicitis aguda es que la inflamación periapendicular puede estar oculta, por ejemplo, por ascitis secundaria a comorbilidad, algo acorde a la situación de nuestra paciente con enfermedad renal.
El retraso en el diagnóstico y en el tratamiento de la apendicitis aguda aumenta el riesgo de perforación, según diversos estudios. Saar et al.2, en 2016, demostraron que la gravedad según la Disease Severity Score (DSS), así como la gravedad de las complicaciones evaluadas por el Comprehensive Complication Index (CCI), incrementan proporcionalmente con el tiempo desde el inicio de los síntomas hasta la cirugía2. Por otro lado, en un metaanálisis de 45 estudios realizado por Van Dijk et al.11 se encontró que no existe un incremento significativo en el riesgo de apendicitis complicada con un restraso de la apendicectomía de 24-48 h desde el ingreso del paciente a la unidad hospitalaria, proponiendo que la apendicitis perforada es una afección distinta de la apendicitis no complicada, en lugar de ser el siguiente paso en la evolución natural de la enfermedad.
La perforación apendicular hacia la vejiga es una complicación anedóctica, que puede ser producida por el proceso inflamatorio entre el apéndice y la vejiga, causando fusión y necrosis12. El primer caso fue descrito por Percy Allan en 190013 y hasta hoy se han reportado alrededor de 115 casos de perforación vesical y fístula apendicovesical por apendicitis, y apenas algunos en la literatura reciente3,4,9,12,14,15, todos asociados a una apendicitis aguda no evidenciada de manera temprana.
En dos de los casos revisados, los síntomas de infección de vías urinarias persistente fueron los que llevaron a los pacientes a buscar atención médica; en ambos casos hubo antecedentes de dolor en el hemiabdomen derecho y fiebre sin tratamiento4,14. En otro de los casos, los síntomas urinarios precedieron al dolor abdominal migratorio, la fiebre, las náuseas y la anorexia9. En los otros dos, los pacientes se presentaron con historia de dolor abdominal, fiebre y náuseas en los 4 a 10 días previos a su ingreso, sin síntomas urinarios asociados3,12. La diarrea con o sin sangre y el vómito estuvieron presentes en casi todos los casos. En la exploración física, la presencia de una masa en el cuadrante inferior derecho con hiperestesia fue una constante. En los estudios de laboratorio, la leucocitosis y el examen urinario patológico, con leucocituria, piuria o fecaluria, estuvieron presentes en todos los casos; en uno de ellos, se evidenció lesión renal aguda3. La sospecha diagnóstica se hizo por TC con contraste y los hallazgos más consistentes con perforación vesical secundaria a proceso inflamatorio apendicular fueron la presencia de una colección líquida periapendicular en proximidad con la vejiga, cambios inflamatorios en la grasa periapendicular y perivesical, engrosamiento apendicular y engrosamiento de la pared de la vejiga3,4,9,12,14.
En nuestro caso, la presentación clínica, las analíticas de sangre y orina, así como los hallazgos por TC, fueron similares a lo descrito en los casos revisados. Sin embargo, nuestra paciente se presentó con datos de choque séptico e inestabilidad hemodinámica.
Históricamente, la laparotomía exploradora ha sido la pieza clave para el diagnóstico y el tratamiento definitivo de esta patología. En los casos que revisamos, todos menos uno fueron tratados por esta vía, mediante laparotomía, apendicectomía con o sin hemicolectomía derecha, y cierre de la pared de la vejiga o cistectomía parcial3,4,9,12,15. Solo en el caso descrito por García-Muñoz et al.14 en 2013 se realizó el abordaje por vía laparoscópica, llevando a cabo la apendicectomía y la resección de la fístula apendicovesical, egresando a la paciente a las 48 horas de la intervención. Como este, se han reportado algunos otros casos de reparación de fístula apendicovesical por vía laparoscópica, pero secundarios a apendicitis crónica u otras causas, y con la intervención realizada de manera electiva.
De acuerdo con la literatura revisada, el caso que presentamos es el primero con una perforación aguda de la vejiga secundaria a apendicitis complicada y con datos de choque séptico, que se trató, posterior a la reanimación preoperatoria, por vía laparoscópica, completándose la hemicolectomía derecha y el cierre de la pared de la vejiga sin complicaciones. Sin embargo, la paciente tuvo un desenlace fatal, debido a la agudizacion de fallos orgánicos de base a pesar de la resolución del proceso séptico primario.
Conclusiones
La apendicitis perforada continúa siendo un reto diagnóstico y terapéutico; algunas complicaciones tardías no tan estudiadas, como la perforación de estructuras periapendiculares, conllevan una alta tasa de morbimortalidad.
La cirugía de mínima invasión es una opción viable, diagnóstica y terapéutica definitiva, en cuadros de apendicitis complicada, incluso en escenarios clínicos complejos y poco frecuentes como la perforación vesical.










nova página do texto(beta)








