Introducción
El menisco juega un rol crítico en la absorción durante el impacto, la lubricación y la estabilidad de la articulación de la rodilla por su aumento en la congruencia articular y el área de contracto sobre el cartílago articular. Las lesiones meniscales o las meniscectomías disminuyen la función meniscal y progresan al inicio y desarrollo de osteoartritis en el seguimiento a largo plazo de los pacientes.1 Por esto, las lesiones meniscales deben ser tratadas bajo el concepto de preservar la mayor cantidad de menisco funcional como sea posible.
La resección total del menisco resulta en un decremento de 40-50% del área de contacto del compartimento e incrementa el estrés de contacto pico dos o tres veces con respecto a una rodilla sana, lo que puede contribuir a que aumente el estrés mecánico en el cartílago articular y el hueso subcondral. El menisco también juega un papel importante en la estabilidad de la rodilla como un elemento de restricción secundario. Estudios cadavéricos demuestran que la meniscectomía medial en una rodilla con un ligamento cruzado anterior deficiente incrementa la traslación tibial anterior, indicando que el maléolo medial es un restrictor secundario importante de la estabilidad anteroposterior. Por otro lado, el maléolo lateral juega un rol importante en la estabilidad rotacional anterolateral durante la maniobra de pivot shift.2
La reparación meniscal se recomienda siempre que sea posible y por ello el porcentaje de reparación meniscal ha incrementado gradualmente. Sin embargo, la meniscectomía parcial continúa siendo un procedimiento quirúrgico estandarizado, especialmente en pacientes adultos y ancianos con gonalgia.3 Las lesiones meniscales son comunes, llevándose a cabo más de 690,000 meniscectomías parciales aisladas cada año en Estados Unidos.4 Los síntomas de la lesión meniscal pueden variar desde dolor articular de intensidad leve a grave, síntomas mecánicos como bloqueo o atrapamiento y sensación de inestabilidad, particularmente en pacientes con lesión ligamentaria concomitante. Cuando se planea resolver una lesión meniscal por medio de cirugía, se debe valorar la localización y gravedad de la lesión, así como la calidad del tejido meniscal. Aunque la reparación meniscal siempre debe ser el tratamiento de elección, muchas veces el grado y patrón de daño puede no permitir una reparación adecuada. En casos donde una lesión se considera irreparable, regularmente se lleva a cabo una meniscectomía parcial o total.5 Una vez que el menisco está dañado y ha sido necesario resecarlo de la articulación, las opciones son limitadas. El trasplante meniscal con aloinjerto se ha convertido en una opción para pacientes selectos que han sufrido previamente una meniscectomía parcial o total. El trasplante puede hacerse para ambos meniscos, el medial y el lateral. Debido a mayor incidencia de osteoartritis postmeniscectomía en el compartimento tibiofemoral lateral, el trasplante meniscal lateral se lleva a cabo con mayor frecuencia cuando se compara con el medial.6 El trasplante meniscal es un procedimiento que se hace con poca frecuencia; se estima una incidencia de 0.24 por 100,000 pacientes.7
El paciente ideal para el procedimiento es un paciente considerado relativamente joven para el reemplazo articular. Regularmente el rango de edad considerado está entre la madurez esquelética y los 50 años.8 El antecedente de meniscectomía parcial o total debe ser bien documentado, incluso con imágenes artroscópicas. El paciente debe tener dolor bien localizado en la línea articular del compartimento afectado que lo limite a sus actividades de la vida diaria o su nivel esperado de actividad. No debe haber defectos condrales mayores al grado III (de acuerdo con la clasificación del International Knee Documentation Committee) sobre el lado tibial o femoral del compartimento afectado y si están presentes, deberían ser focales y no presentarse de forma generalizada a lo largo de la articulación. Comúnmente lo aceptable es que el paciente tenga un IMC < 35 kg/m2 antes de llevar a cabo el procedimiento.9
Las técnicas quirúrgicas para llevar a cabo el trasplante meniscal son variables, pero típicamente incluyen fijación por medio de tejidos blandos, fijación por pastillas óseas, fijación por puente óseo o combinaciones de fijación ósea y fijación de tejidos blandos. Independientemente del tipo de fijación, el restablecimiento de los cuernos meniscales a su sitio de inserción nativo es imperativo.
Presentación del caso
Paciente masculino de 35 años que tiene antecedente de dos artroscopías de rodilla derecha, 10 y siete años atrás por etiología traumática. En la primera se llevó a cabo reconstrucción del ligamento cruzado anterior con autoinjerto hueso-tendón-hueso (tendón rotuliano), así como reparaciones meniscales y condrales no especificadas. En la segunda, el paciente refiere que los hallazgos fueron lesiones condrales y lesiones complejas del menisco lateral, motivo por el cual se lleva a cabo meniscectomía prácticamente total del menisco lateral. En la actualidad, el paciente presenta dolor de larga evolución localizado en línea articular lateral de la rodilla derecha, que se agudiza por mecanismo de lesión de valgo forzado con rotación interna de misma rodilla practicando deporte. El paciente refiere dolor de intensidad 7/10 en la escala de EVA localizado en línea articular lateral, que se exacerba a la movilización y a la deambulación y se atenúa con el reposo; con limitación para la funcionalidad en actividades de la vida diaria.
A la exploración física se valoran las características de las cicatrices quirúrgicas de artroscopías previas y se corrobora dolor a la palpación con localización específica en la línea articular lateral. El paciente tiene flexión activa de aproximadamente 60o y pasiva de aproximadamente 100o, ambas limitadas por dolor a nivel de línea articular lateral, mientras que la fuerza de los grupos musculares de la rodilla se encuentra 4/5 en la escala de Daniels por dolor en misma región. Examen neurovascular sin alteraciones. Maniobras especiales negativas: bostezos, cajones y Lachman. Se valora clínicamente remanente de menisco lateral mediante maniobras de compresión de Apley y McMurray, las cuales resultan negativas.
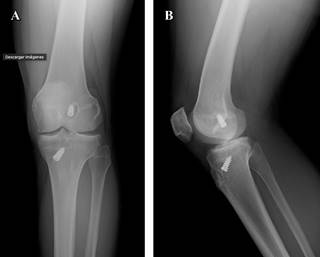
Se empieza abordaje diagnóstico con radiografías convencionales de rodilla derecha en proyecciones anteroposterior y lateral (Figura 1), así como resonancia magnética simple de rodilla para valorar de forma específica estructuras intraarticulares, características de lesiones condrales y del remanente meniscal en el compartimento lateral. Las imágenes de resonancia magnética arrojan los siguientes resultados: injerto de ligamento anterior adelgazado, de aspecto no competente, con disposición vertical e incipiente tejido fibrocicatricial ventral (Figura 2A); cambios en compartimento femorotibial lateral con adelgazamiento condral con zonas de delaminación, fisuras de espesor completo y edema subcondral (Figuras 2B-C); cambios por meniscectomía lateral (Figura 2D); menisco medial con un desgarro oblicuo que muestra apertura a la superficie articular condilar en un corte (Figura 2E).

Figura 1: A) Radiografías anteroposterior y B) lateral a 30o, en las cuales se observan cambios quirúrgicos con tunelización del cruzado anterior con tornillos de fijación, el tornillo colocado en el cóndilo femoral muestra área radiolúcida a su alrededor que sugiere probable aflojamiento. Cambios quirúrgicos a nivel de la tuberosidad anterior de la tibia.

Figura 2: A) Resonancia magnética simple de rodilla derecha en un corte sagital en secuencia T1 en la que se observa injerto de ligamento cruzado anterior adelgazado (flecha blanca) de aproximadamente 5.65 mm de grosor. B) Resonancia magnética simple de rodilla derecha en un corte coronal y C) sagital en secuencia T1, en las cuales se observan lesiones condrales con zonas de delaminación (flechas blancas) localizada al compartimento femorotibial lateral. D) Resonancia magnética simple de rodilla derecha en un corte coronal en secuencia T1 que muestra remanente posterior a meniscectomía lateral (flecha blanca). E) Resonancia magnética simple de rodilla derecha en un corte coronal en secuencia T2, se observa desgarro oblicuo en la unión del cuerpo con el cuerno posterior del menisco medial (flecha blanca).
Con base en hallazgos radiológicos y características demográficas de nuestro paciente, existen pocas opciones terapéuticas que nos ayuden a evitar la progresión y osteoartritis del compartimento femorotibial lateral debido a antecedente de meniscectomía. Por todo lo mencionado, se decide que el trasplante meniscal en este caso en específico es una opción terapéutica válida y viable para evitar la progresión de la osteoartritis del compartimento femorotibial lateral. Para solicitar el aloinjerto de platillo tibial con menisco, se llevan a cabo mediciones radiológicas en tomografía computarizada de ambas plataformas tibiales de la rodilla derecha, la lateral (Figuras 3A-B) y la medial (Figuras 3C-D). Una vez hechas las medidas, se mandan al banco de aloinjertos y se lleva a cabo el «meniscus matching» para encontrar dentro de la disponibilidad del banco aquel aloinjerto con mayor compatibilidad y que más se asemeje morfológicamente al menisco nativo del paciente (Figura 4).

Figura 3: A) Tomografía computarizada de rodilla derecha en un corte sagital y B) coronal en las cuales se mide la plataforma tibial lateral en 50 mm en el plano AP y 39.5 mm en el plano laterolateral. C) Tomografía computarizada de rodilla derecha en un corte sagital y D) coronal en las que se mide la plataforma tibial medial en 54.8 mm en el plano AP y 31.7 mm en el plano laterolateral.

Figura 4: A) Informe realizado por el banco de injertos en el que se corrobora cuál es la mejor opción disponible cuando se compara con la plataforma tibial del paciente. B) Imagen macroscópica del aloinjerto que se enviará para preparación en el quirófano.
Una vez obtenido el aloinjerto debe prepararse en el quirófano (Figura 5) para su posterior colocación vía artroscópica. En este caso, se lleva a cabo la preparación con pastillas óseas en ambos extremos de las raíces meniscales anterior y posterior (Figura 6). Al momento de la preparación del aloinjerto, las suturas de pasaje de las raíces meniscales se colocaron paralelas a las pastillas y no a través del centro de éstas (Figura 7); motivo por el cual es imposible colocarlas a través de los túneles óseos y finalmente se resecan para llevar a cabo una fijación únicamente de tejidos blandos. Se valora integridad de injerto de ligamento cruzado anterior de forma transquirúrgica apreciándose suficiente y requiriendo únicamente plastía con radiofrecuencia. El tratamiento en su totalidad se llevó a cabo de la siguiente manera: trasplante de menisco lateral con aloinjerto mediante fijación de tejidos blandos con implante botón ABS TightRope y ancla tipo Swivelock de 4.75 mm + fijación del aloinjerto a la cápsula articular por medio de 10 suturas meniscales (Figura 8A-B) (cuatro con técnica todo dentro, cuatro con técnica dentro-fuera y dos con técnica fuera-dentro) + reparación del menisco medial con dos suturas con técnica todo dentro (Figura 8C) + plastía del ligamento cruzado anterior con radiofrecuencia (Figura 8D) + amplia sinovectomía y Hoffectomía (todo vía artroscópica de la rodilla derecha).

Figura 5: Aloinjerto de plataforma tibial lateral para preparación y extracción del menisco que se implantará vía artroscópica en el paciente.

Figura 6: Aloinjerto de menisco lateral extraído de la plataforma tibial y preparado con pastillas óseas en ambas raíces meniscales. Se rotulan ambas raíces meniscales anterior y posterior para su orientación intraarticular en visión artroscópica.

Figura 7: Aloinjerto de menisco lateral en el que se observa que las suturas de pasaje corren paralelas a las pastillas óseas y no por el centro de éstas, lo que impide su adecuada colocación a través de los túneles tibiales; motivo por el cual decide llevarse a cabo fijación únicamente de tejidos blandos.

Figura 8: A) Imagen artroscópica del compartimento femorotibial lateral en el que se observa ausencia prácticamente total del menisco lateral y B) posterior colocación del aloinjerto meniscal en el compartimento femorotibial lateral fijo mediante suturas meniscales a la periferia de la cápsula articular. C) Imagen artroscópica de lesión horizontal en la unión del cuerpo con el cuerno posterior del menisco medial y momento de la reparación mediante dos suturas meniscales con técnica todo dentro. D) Imagen artroscópica de autoinjerto de ligamento cruzado anterior, el cual, posterior a evaluación transquirúrgica con ganchito palpador y mostrándose competente, se tensa por medio de radiofrecuencia.
El paciente egresa de quirófano con sistema de crioterapia y compresión, rodillera mecánica bloqueada en extensión a 0o y se difiere el apoyo de la extremidad pélvica derecha mediante deambulación con muletas axilares. El paciente continúa con tratamiento analgésico, antibiótico y antiinflamatorio y se egresa 24 horas después a domicilio. Cuatro semanas después se modula la rodillera a 70o de flexión e inicio de fisioterapia tres sesiones por semana. A la quinta semana comienza con apoyo parcial de la extremidad pélvica derecha, a la sexta semana se modula rodillera a 90o, a la séptima semana a 110o y a la octava semana comienza con apoyo total de la extremidad pélvica derecha, rango de movilidad completo y se retira rodillera mecánica bloqueada, hasta ese punto con sesiones de fisioterapia de forma indefinida.
En la actualidad, a seis meses del procedimiento quirúrgico, el paciente se encuentra haciendo sus actividades de la vida diaria, sin limitación funcional, con arcos de movilidad completo y actividades deportivas de bajo impacto como bicicleta estática.
Discusión
La incidencia de las lesiones meniscales va en aumento y esto se atribuye parcialmente al incremento en la participación de actividades deportivas, así como los avances recientes y fácil disponibilidad en tecnología de imagen como la resonancia magnética. Una estimación conservadora de la incidencia de las lesiones meniscales es de aproximadamente 60 por cada 100,000 habitantes, aunque se piensa que la incidencia real es mucho mayor y es una patología aún infradiagnosticada.10 La literatura sugiere que las rodillas con lesión meniscal conocida tienen un desgaste del cartílago acelerado que lleva al inicio de osteoartritis de forma temprana. Un estudio realizado por Jarraya y colaboradores encontró que más de 75% de los pacientes con osteoartritis sintomática tienen lesión meniscal.11 Hasta los años 70, la meniscectomía total era considerada el estándar de oro en el manejo de las lesiones meniscales, esto bajo el concepto de que el menisco era un vestigio remanente sin función.12 Sin embargo, cuando las rodillas postmeniscectomizadas se examinaban radiológicamente presentaban aplanamiento condilar, disminución del espacio articular y predisposición a cambios degenerativos de forma temprana. Esto sugería que el menisco tenía una función importante durante la carga de peso y que su ausencia interfiere con la biomecánica normal de la rodilla, llevando a cambios degenerativos tempranos. Todo esto llevó al concepto actual de preservación meniscal durante los procedimientos quirúrgicos, siendo uno de los procedimientos ortopédicos más realizados en el mundo con una incidencia que varía de 17 por 100,000 habitantes en los Estados Unidos y de 154 por 100,000 habitantes en Corea del Sur de acuerdo con Bhan.13
Según Sihvonen y colaboradores, la meniscectomía parcial artroscópica es el procedimiento ortopédico más realizado a lo largo del mundo. Sin embargo, estudios recientes han demostrado de forma concluyente que los resultados funcionales después de una meniscectomía parcial artroscópica no son mejores que los resultados funcionales de pacientes sometidos a cirugía impostora/placebo.14 Por esto, muchos investigadores clínicos la consideran hoy en día un procedimiento sin utilidad y cada vez más guías de práctica clínica recientes no recomiendan este procedimiento.
Aunque la reparación meniscal debe intentarse siempre que sea posible, hay ciertas condiciones en las que la reparación no representa más una opción, o el paciente se presenta con nosotros por primera vez teniendo como antecedente la meniscectomía parcial o total. Es este momento donde el trasplante meniscal con aloinjerto representa una excelente alternativa terapéutica, sobre todo en pacientes sintomáticos, con limitación funcional, en el que ha fallado el manejo conservador.
En nuestro caso, se trata de un paciente entre la madurez esquelética y los 50 años, considerado lo suficientemente joven como para ser sometido a un reemplazo articular, en quien existe un antecedente bien documentado y posteriormente corroborado por estudios de imagen de meniscectomía total lateral. Como parte del protocolo diagnóstico, se solicitan radiografías de dicha rodilla corroborándose que no existe osteoartritis de alto grado en alguno de los compartimentos de acuerdo con la clasificación radiológica de Kellgren y Lawrence,15 lo cual contraindicaría el procedimiento. La obesidad, aunque se considera una contraindicación relativa, no era un impedimento en nuestro caso, ya que el IMC de nuestro paciente era menor a 35 al momento de la cirugía. Otro aspecto importante es el estado del autoinjerto de ligamento cruzado anterior, el cual aparentemente se encontraba insuficiente al realizar la resonancia magnética; sin embargo, luego en la artroscopía, se evaluó, observando adecuada integración sin presentar datos de laxitud, motivo por el cual no se llevó a cabo la reconstrucción en ese momento.
Southworth y su equipo recomiendan la realización de una artroscopía diagnóstica dentro de los seis meses previos a la realización del trasplante meniscal, ya que nos permite elucidar otras posibles causas de dolor intraarticular y ayuda a definir si el paciente verdaderamente es candidato al trasplante meniscal, sobre todo hablando de posibles lesiones condrales, su localización y características.16 En nuestro caso no se realizó artroscopía diagnóstica.
De acuerdo con la técnica quirúrgica, existen básicamente métodos de fijación de tejidos blandos, fijación por medio de estructuras óseas y una combinación de ambas. Las más descritas son la fijación de tejidos blandos, la fijación con pastillas óseas y la fijación mediante puente óseo. Independientemente del método que sea utilizado, deben utilizarse suturas de alta resistencia en disposición vertical para establecer una adecuada fijación periférica a la cápsula articular. De acuerdo con la literatura, el menisco lateral es ideal para la técnica de puente óseo, donde la inserción de los cuernos anterior y posterior del menisco se encuentran muy cercanos entre sí (1 cm) como para utilizar dos pastillas óseas separadas que entren en diferentes túneles.17 Aunque la técnica de puente óseo puede ser también usada para el menisco medial, la técnica de pastillas óseas o fijación mediante tejidos blandos a través de los túneles óseos tibiales permite hacer ajustes más precisos en la colocación de los cuernos cuando se simula la anatomía nativa del menisco medial.18 En nuestro caso, llevamos a cabo una fijación del trasplante meniscal mediante suturas de alta resistencia a túneles óseos en dirección a las raíces meniscales anterior y posterior en la tibia, debido a que las suturas de pasaje no pasaban por el centro de las pastillas óseas, impidiendo su introducción a través de los túneles. Abat y colegas concluyeron en su estudio prospectivo que independientemente de la técnica utilizada y el compartimento que se está trasplantando, los resultados a mediano y largo plazo en cuanto a funcionalidad y resultados radiológicos no difieren de forma estadísticamente significativa.19 Por este motivo, podemos determinar que el cirujano puede llevar a cabo cualquiera de las técnicas descritas en cualquiera de los compartimentos (medial o lateral) con resultados equiparables. Siendo el factor más importante el conocimiento del cirujano sobre la técnica que desee utilizar, así como la colocación de las raíces y los cuernos con respecto al menisco nativo y su fijación periférica a lo largo de la cápsula articular mediante diferentes técnicas.
Conclusión
El trasplante meniscal en nuestro caso, bajo las indicaciones correctas y eligiendo al paciente de forma adecuada, representa una opción terapéutica viable y de salvamento que nos ayudará a retrasar, en mayor medida posible, la aparición de osteoartritis temprana y la necesidad de reemplazo articular como tratamiento definitivo.









nova página do texto(beta)


