Introducción
Las lesiones de tobillo son una de las causas más frecuentes de atención en el servicio de traumatología y ortopedia, llegando a ocupar el tercer lugar dentro de las lesiones traumáticas del aparato locomotor a nivel mundial. Dentro de éstas, las lesiones ligamentarias de la sindesmosis tibioperonea distal, que causan apertura de la misma, representan aproximadamente 5-10% de todas las lesiones ligamentarias del tobillo, puede presentarse hasta en 23% de todas las fracturas de tobillo.1 Su magnitud puede ser de diferentes grados, dependiendo de su mecanismo de producción y su asociación o no a fractura.
Por definición, una sindesmosis es una unión fibrosa de dos huesos adyacentes y esto no difiere en la sindesmosis tibioperonea distal, la cual es la unión de la tibia y el peroné en la región distal de los mismos y está formada por estos dos huesos y cuatro ligamentos: tibioperoneo distal anterior, tibioperoneo distal posterior, transverso y membrana interósea. Estos ligamentos juegan un papel fundamental en la biomecánica y estabilidad de la articulación del tobillo y es por esto que se le da tanta importancia en el tratamiento.2,3,4
Hasta 90% de la resistencia del desplazamiento lateral del peroné está dado por los ligamentos de la sindesmosis tibioperonea. Es por esto que una lesión de cualquiera de los tres ligamentos, o de todos, da una inestabilidad importante en la articulación del tobillo, así como debilidad y movimientos anormales interarticulares.2,4
Existen diferentes mecanismos de producción de las lesiones de la sindesmosis tibioperonea. Se han descrito varios; sin embargo, el más común e importante continúa siendo la rotación forzada externa, acompañada de dorsiflexión y carga axial.4,5
Para el diagnóstico de esta patología se requiere un alto índice de sospecha, ya que en ocasiones esta lesión pasa inadvertida y es confundida frecuentemente con el esguince lateral del tobillo y se convierte entonces en una causa de dolor crónico de esta articulación, conduciendo a una inestabilidad crónica y posterior artrosis.1,2,5
El examen de imagen suele ser algo controversial, siempre apoyándose en proyecciones radiográficas de tobillo anteroposterior (AP) y lateral; sin embargo, para una adecuada visualización de la sindesmosis tibioperonea distal es necesaria una proyección de la mortaja, la cual es una proyección AP del tobillo, con una rotación interna de entre 15 y 20 grados.6,7 Al ser la proyección de la mortaja un estudio radiográfico que requiere una posición exacta del tobillo, se vuelve un estudio operador dependiente, presentando así en muchas ocasiones un mal diagnóstico o falsos negativos.
Actualmente, el estándar de oro en estudios de imagen para el diagnóstico de lesiones ligamentarias de tobillo, incluyendo la sindesmosis tibioperonea distal, es la resonancia magnética.3 Sin embargo, en nuestra población, por cuestiones económicas, es de difícil acceso realizar dicho estudio a todos los pacientes.
Es por esto que nos dimos a la tarea de buscar una manera exacta de realizar una proyección de la mortaja, diseñando y aplicando un dispositivo que permita mantener el tobillo en posición estática de 15 grados de rotación interna al momento del estudio radiográfico, logrando una imagen exacta y constante de la sindesmosis tibioperonea distal y con esto obtener diagnósticos precisos y evitar falsos negativos que lleven al paciente a presentar dolor crónico.
Material y métodos
Se llevó a cabo un estudio longitudinal, prospectivo y observacional en el Hospital General Dr. Aurelio Valdivieso, en el Servicio de Traumatología y Ortopedia, donde se incluyeron todos los pacientes con tobillos sanos (sin lesiones ligamentarias previas) con edades comprendidas entre 18 y 50 años y sin antecedentes de lesiones ligamentarias de tobillo. Se excluyeron los casos de pacientes con esguinces previos de tobillo, sin importar el grado de la lesión, antecedentes de fracturas de tobillo, índice de masa corporal (IMC) > 35 kg/m2, embarazadas y sujetos con evidencia radiográfica de lesiones de tobillo previas.
Se diseñó un dispositivo a base de polipropileno, por ser un material totalmente radiolúcido, para mantener el tobillo en posición estática durante el estudio radiográfico de la mortaja. El dispositivo consta de una base plana y sobre ella una férula rígida suropodálica con el tobillo a 90 grados, fijada exactamente a 15 grados de rotación interna. Se creó un dispositivo para el tobillo izquierdo y otro para el tobillo derecho, ambos de talla universal, lo que aseguró una adaptación adecuada al tobillo del adulto (mayor de 16 años) y fue útil tanto para hombres como para mujeres (Figura 1).

Figura 1:Muestra una radiografía comparativa del mismo paciente donde se encuentra EATM sin el dispositivo 6 mm (A) y con el dispositivo 2 mm (B).
Todos los pacientes fueron informados claramente sobre su participación en este estudio de investigación clínica y aceptaron mediante consentimiento informado. Este estudio fue aprobado por el comité de bioética en investigación del Hospital General Dr. Aurelio Valdivieso.
Se tomaron radiografías de todos los pacientes en proyección de la mortaja, utilizando un dispositivo previamente diseñado. Las proyecciones radiográficas se realizaron con una distancia de 110 cm tubo-película y fueron tomadas por el mismo técnico radiólogo, quien no estuvo involucrado en el estudio (Figura 2).Todas las radiografías se imprimieron a tamaño real y posteriormente se midieron para confirmar el diagnóstico de tobillo sano sin lesión de la sindesmosis tibioperonea, basándose en los valores normales del espacio tibioperoneo, la superposición tibioperonea y el espacio tibioastragalino medial, así como las líneas de Merle D’Aubigné.

Figura 2:Muestra en tres imágenes el dispositivo diseñado (para tobillo izquierdo), manteniendo el tobillo en la posición deseada, 90 grados de dorsiflexión y 15 grados de rotación interna.
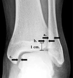
Se realizaron tres mediciones radiográficas, las cuales fueron: el espacio tibioperoneo (ETP), que es la distancia entre el borde medial del peroné y el borde lateral del tubérculo posterior de la tibia; la superposición tibioperonea (STP), que es la distancia entre el borde medial del peroné y el borde lateral del tubérculo anterior de la tibia; y el espacio astrágalo-tibial medial (EATM), que es la distancia entre el borde medial del astrágalo y el borde lateral del maléolo medial (Figura 3).

Figura 3: Proyección radiográfica anteroposterior de tobillo izquierdo que muestra las mediciones radiográficas utilizadas para lesión de la sindesmosis tibioperonea, incluyendo superposición tibioperonea (A), espacio tibioperoneo (B) y espacio tibio-astragalino medial (C)
Las mediciones se registraron en nuestras hojas de recolección de datos y posteriormente se almacenaron en una base de datos. Los resultados obtenidos se compararon con los valores normales previamente descritos por Harper y Keller.
Análisis estadístico
Las mediciones obtenidas en nuestros usuarios fueron comparadas con las ya descritas por Harper y Keller, quienes concluyeron que las medidas normales de un tobillo sano eran un ETP menor a 6 mm, una STP mayor a 1 mm y, por último, un ETAM de 2 a 4 mm. En la comparación cruzada no se obtuvo una diferencia significativa (χ2 < 5).
Se realizó un análisis estadístico del índice de varianza para mediciones obtenidas con un dispositivo de proyección de la mortaja. Se realizaron 32 eventos pareados y se encontraron diferencias estadísticamente significativas entre las mediciones iniciales. Se empleó ANOVA para demostrar estas diferencias donde se encontró un valor de P de 0.0001, seguido de un análisis de correlación de Pearson, que mostró una correlación baja pero significativa entre las mediciones. Se realizó una regresión lineal que confirmó la dispersión de los datos y se concluyó que el dispositivo ayuda a reducir la movilidad de las mediciones radiográficas.
Resultados
Se evaluaron 25 pacientes (50 tobillos esperados), de los cuales solo dos pacientes (cuatro tobillos) fueron excluidos del estudio por presentar imágenes sugestivas de lesiones ligamentarias previas de tobillo (aumento del ETP y alteración de la relación de Merle D’Aubigne), a pesar de haberlo negado previamente. Se realizó la evaluación de un total de 46 radiografías de tobillos sanos, correspondientes a 23 pacientes, durante un período de 12 meses. De los 25 pacientes, 14 (60.8%) fueron masculinos y 11 (39.2%) fueron femeninos. La edad media de los pacientes incluidos fue 28 años (rango 18 a 47 años). De las 46 radiografías obtenidas, 22 tobillos fueron derechos (47.8%) y 24 tobillos fueron izquierdos (52.2%). Todas las radiografías fueron medidas por el mismo médico ortopedista y se encontró que todos los tobillos presentaron una relación de Merle D’Aubigne de 2:1, lo que se considera normal.
La medición del ETP se realizó a 10 mm de la superficie articular y se encontró que todos los tobillos tenían un espacio igual o menor a 6 mm: seis tobillos presentaron 6 mm (13%), 11 mostraron 5 mm (24%), 23 tuvieron 4 mm (50%) y seis presentaron 3 mm (13%) (Tabla 1).
Tabla 1: Resultado de mediciones radiográficas realizadas. N = 46
| Total | ||
|---|---|---|
| Valor | % | |
| ETP | ||
| 6 mm | 6 | 13 |
| 5 mm | 11 | 24 |
| 4 mm | 23 | 50 |
| 3 mm | 6 | 13 |
| Media | 4.3 mm | |
| STP | ||
| 1 mm | 9 | 19.5 |
| 2 mm | 31 | 67.4 |
| 3 mm | 6 | 13.1 |
| Media | 1.9 mm | |
| EATM | ||
| 2 mm | 11 | 24 |
| 3 mm | 35 | 76 |
| Media | 2.7 mm | |
En cuanto a las mediciones obtenidas de la STP, todas se midieron a 10 mm de la superficie articular. Se encontró que todas fueron mayores a 1 mm: nueve tobillos presentaron 1 mm (19.5%), 31 registraron 2 mm (67.4%) y solo seis tobillos tuvieron 3 mm (13%) (Tabla 1).
El EATM se midió en todas las radiografías, encontrando una constante entre 2 y 3 mm en todos los tobillos: 11 tobillos presentaron un EATM de 2 mm (24%) y los 35 restantes tuvieron 3 mm (76%) (Tabla 1).
Las mediciones obtenidas en nuestros usuarios fueron comparadas con las ya descritas por Harper & Keller, quienes concluyeron que las medidas normales de un tobillo sano eran un ETP menor a 6 mm, una STP mayor a 1 mm y, por último, un EATM de 2 a 4 mm. En la comparación cruzada no se obtuvo una diferencia significativa (χ2 < 5).
Se decidió realizar el análisis estadístico del índice de varianza para las mediciones obtenidas con el uso del dispositivo para la proyección de la mortaja. Se tienen un total de 32 eventos pareados después de hacer el análisis estructurado de primera intención (Tabla 2).
Tabla 2: Pertinencia estadística de los ángulos medidos con mortaja, encontrando que existe correlación con la corrección de posición y el ángulo con mortaja aplicada.
| Valor de p | 0.0001 |
| Valor sumario | 1,734 |
| ¿Fue estadísticamente significativo? | Sí |
| Media y varianza | t = 0.2389 a df = 31 |
| Eventos pariados | 32 |
| Tamaño de las diferencias | -0.031 |
| Intervalo de confianza de 95% | 0.8849 |
| Efectividad del pareo | |
| Correlación y diferencia de «R» | 0.6237 |
| Valor de p | 0.0084 |
| Valor sumario de F | 1,734 |
| ¿El pareo fue estadísticamente significativo? | Sí |
Al tener múltiples eventos, se decidió realizar primero un análisis de ANOVA, donde se encontró un valor de p de 0.0001, lo que demuestra que existen diferencias estadísticamente significativas de carácter inicial entre todas las mediciones obtenidas, con una media de varianza entre todas las poblaciones de las mediciones de T = 0.2389 con dF de eventos de 31. Encontrando tamaño de las diferencias entre las mediciones de 11.93 ± 0.07966 en el primer evento y con valor de la correlativa entre las mediciones de 11.13 ± 0.08067, obteniendo el tamaño final de las diferencias -0.031 ± 3, mostrando de manera final que las diferencias son acoplables para realizar análisis de correlación entre los valores. Con esto se muestra que los valores iniciales de las mediciones son diferentes dentro de la misma población, pero es necesario para poder realizar el siguiente análisis que es el estadísticamente relevante para nuestra investigación.
Realizado el análisis estadístico anterior con el objetivo de análisis de ANOVA, se decidió realizar análisis de la correlación de Pearson. Se realizó el análisis encontrando que la correlación entre las medidas obtenidas, con valor anterior referido de 0.0001. Se realizó el análisis de Pearson donde se encontró una correlación entre los valores de 0.084, lo que muestra que no existe diferencia estadísticamente significativa entre las poblaciones y las medidas analizadas, obteniendo la gráfica mostrada en la Figura 4.

Figura 4: Correlación ANOVA-Pearson de 0.0001, siendo estadísticamente significativo. ETP = espacio tibioperoneo. STP = superposición tibioperonea. EATM = espacio astrágalo-tibial medial.
Para poder demostrar la correlación una vez aplicado el análisis de Pearson, se revisa la regresión lineal donde se obtiene un valor de R2 de 0.518, lo que muestra que sí existe dispersión, siendo el rango máximo de confianza para la revisión de Pearson de 95% y con índice de error de 5%. El valor sumario de F fue de 1.734, lo que muestra que existe correlativa entre las mediciones obtenidas (Figura 5).

Figura 5: Regresión lineal de los datos para mortaja a partir del ángulo superior tomado para ETP. ETP = espacio tibioperoneo. STP = superposición tibioperonea. EATM = espacio astrágalo-tibial medial.
Finalmente, se realizó un análisis de los datos obtenidos para la metodología de ANOVA-Pearson (Figura 6). De lo anterior se concluye que el uso del dispositivo para la proyección de la mortaja funciona para reducir el índice de movilidad de las mediciones radiográficas.
Discusión
Las lesiones de tobillo son una de las principales causas de consulta en los servicios de urgencias, calculándose que de 3 a 5% de las visitas a urgencias se deben a lesiones de tobillo.8 Estas lesiones pueden o no asociarse a una lesión de la sindesmosis tibioperonea distal; de 5 a 10% de los esguinces de tobillo y 23% de todas las fracturas de tobillo suelen presentar lesiones de la sindesmosis.1 Sin embargo, muchas de estas lesiones no son diagnosticadas, lo que puede resultar en dolor crónico en el tobillo.
En el diagnóstico de las lesiones ligamentarias de la sindesmosis tibioperonea distal, la clínica juega un papel fundamental. Desde la realización de la historia clínica, se debe indagar sobre la presencia de lesiones previas de tobillo, así como fracturas y patologías metabólicas que puedan afectar su función. Un dato importante a recabar es el mecanismo de producción, ya que de esto depende el grado y sitio de la lesión sindesmal. A pesar de ello, los estudios de imagen son necesarios para confirmar el diagnóstico.1,9
Dentro de la clínica existen diferentes datos clínicos, como lo son el dolor a la palpación del ligamento tibioperoneo anterior durante una dorsiflexión pasiva o la traslación forzada del astrágalo de medial a lateral mostrando inestabilidad a comparación del contralateral, mejor conocida como maniobra de Cotton. Otra es la rotación externa del tobillo con la rodilla en flexión de 90 grados, lo que causa dolor importante en la región del ligamento tibioperoneo anterior y el posterior. La maniobra de «Squeeze» también es utilizada y consiste en una compresión de la tibia sobre el peroné a la altura de la sindesmosis, lo cual ocasiona dolor importante en la misma. Por último, la maniobra de translación peronea, en la que se realiza movimiento de anterior a posterior del peroné, lo que causa dolor a nivel de la sindesmosis.1,4,9 A pesar de contar con estas pruebas clínicas, ninguna de éstas ha logrado tener un valor predictivo importante en el diagnóstico de la lesión de la sindesmosis tibioperonea.
Los principales estudios de imagen para el diagnóstico de las lesiones tibioperoneas son la radiografía simple en proyecciones AP de tobillo y proyección de la mortaja, así como la tomografía y la resonancia magnética simple.4,7 La proyección de la mortaja es útil para la adecuada apreciación de la sindesmosis tibioperonea distal, ya que el rayo viaja paralelo a la superficie articular tibioperonea distal, así como de la tibioastragalina, con lo que se obtiene la imagen de la mortaja.
La radiografía de la mortaja ha sido descrita como una proyección anteroposterior del tobillo con una rotación interna de la pierna a 15 grados; sin embargo, ha sido estudiada por múltiples autores sin lograr un acuerdo común. En su mayoría, coinciden en una rotación interna de entre 10 y 20 grados.7,9,10
En la radiografía anteroposterior y en la proyección de la mortaja, existen mediciones que nos ayudan a realizar el diagnóstico de integridad de la sindesmosis tibioperonea distal. Estas son: el espacio tibioperoneo (ETP), que es la distancia que existe entre el borde medial del peroné y el borde lateral del tubérculo posterior de la tibia, cuyo valor normal es < 6 mm; la superposición tibioperonea (STP), que es la distancia que existe entre el borde medial del peroné y el borde lateral del tubérculo anterior de la tibia, cuyo valor normal es > 6 mm; y el espacio astrágalo-tibial medial (EATM), que es la distancia que existe entre el borde medial del astrágalo y el borde lateral del maléolo medial, para el cual se describe un valor normal de 4 mm.11,12,13 Los valores previamente mencionados, descritos por Marion Harper, concuerdan con los resultados registrados en este estudio.
Sin embargo, la posición del tobillo al momento de la radiografía puede alterar de manera importante estas mediciones radiográficas.12 Por esto, algunos autores aseguran que no existen parámetros radiográficos óptimos para asegurar la integridad o lesión de la sindesmosis.
En nuestro estudio se reconoce la presencia de ciertas limitaciones, las cuales destacan la necesidad de futuras investigaciones que aborden y refuercen los siguientes aspectos de nuestra investigación. La ausencia de un grupo de control en nuestro diseño de estudio limita nuestra capacidad para establecer comparaciones y realizar una evaluación más completa de la utilidad y efectividad del dispositivo.
Conclusiones
Con la aplicación de nuestro dispositivo logramos evitar los cambios de posición del tobillo durante la proyección radiográfica de la mortaja, dejando de ser un estudio operador dependiente. Al eliminar los sesgos durante el estudio se realizarán mejores y más oportunos diagnósticos de lesiones de la sindesmosis tibioperonea.
Este dispositivo es aplicable a regiones económicas y geográficas como la nuestra, ya que demostró ser un dispositivo económico, eficiente y efectivo para todos los pacientes.
Al encontrar una constante en nuestra población en tobillos sanos y tomando como base las mediciones obtenidas, es posible determinar la severidad de la lesión de la sindesmosis tibioperonea y definir la necesidad de tratamiento quirúrgico.










nova página do texto(beta)



