Introducción
El fenómeno de las neoplasias primarias malignas múltiples fue descrito por primera vez por Billroth en 1889.1 Si bien es raro que los tumores urológicos ocurran juntos, es aún más raro encontrar un carcinoma de células renales (CCR) combinado con carcinoma urotelial de tracto urinario superior (UTUC por sus siglas en inglés).2
Ambas entidades comparten factores de riesgo en común, como la edad, el género masculino y la exposición al tabaco,3 éste último asociándose hasta en el 48 % de los casos.4
La mayoría de los síntomas del CCR y UTUC son similares, manifestándose como hematuria (micro o macroscópica en 70-80 %),5 como primera manifestación, seguido de dolor lumbar o en el flanco (20 %).6 En algunos casos se puede acompañar de sintomatología irritativa concomitantemente.4
La urotomografía con fase de eliminación es crucial para una evaluación detallada, alcanzando una sensibilidad y especificidad del 92 y 95 % respectivamente.6
En la actualidad la mejor opción de tratamiento del cáncer urotelial de tracto urinario superior con cáncer renal contralateral sigue siendo la nefroureterectomía radical combinándolo con nefrectomía parcial contralateral en masas renales pequeñas.4
Caso clínico
Paciente masculino de 71 años de edad analfabeta de ocupación agricultor, antecedentes heredofamiliares desconocidos. Hábito tabáquico positivo desde la adolescencia, sin especificar tipo y cantidad, abandonado cuatro años previo al internamiento.
Como antecedentes personales patológicos padece hipertensión arterial sistémica debutante e identificada al ingreso, negando otras enfermedades incluyendo antecedentes quirúrgicos. Inicia su padecimiento con hematuria macroscópica no formadora de coágulos de larga evolución que condiciona síndrome anémico caracterizado por astenia y adinamia, así como palidez de tegumentos. Acude a valoración por área de urgencias donde se le solicitan laboratorios incluyendo biometría hemática (hemoglobina inicial 8.9 g/dL) y urotomografía como parte del protocolo de estudio; en dicha tomografía se muestran imágenes en relación a tumor urotelial en cavidades renales derechas, así como tumor renal izquierdo clasificado como T1a (Imagen 1 y 2).

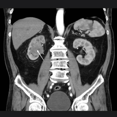
Unidad renal derecha con imagen sugerente de tumoración piélica derecha que se extiende por uréter ipsilateral (flecha blanca delgada).
Imagen 1 Urotomografía en corte coronal

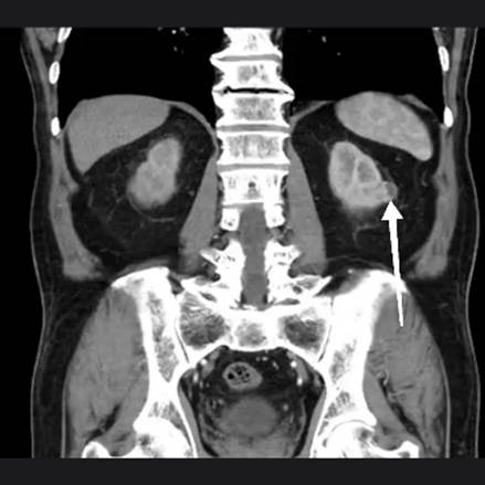
Unidad renal izquierda con imagen sugerente de tumoración parenquimatosa ipsilateral en borde lateral cercana a la línea interpolar (flecha blanca gruesa).
Imagen 2 Urotomografía en corte coronal
En la exploración física no se encontraron datos relevantes. Se decide su internamiento hospitalario para transfusión sanguínea y complementación diagnóstico-terapéutica.
Dentro de sus laboratorios prequirúrgicos presenta leucocitos de 5.9x103, hemoglobina 13.6 g/dL, plaquetas 228x103, glucosa 101 mg/dL, creatinina 1.14 mg/dL, Na 145 mmol/L, K 4.4, Cl 103, Ca 8.5 mg/dL, TP 14.2 seg, TTP 48.5 seg, INR 1.18 SQL, Proteínas totales 7.0 g/dL, albúmina 4.4 g/dL, bilirrubina total 0.5 mg/dL, bilirrubina directa 0.1 mg/dL, bilirrubina indirecta 0.4 mg/dL, fosfatasa alcalina 96 U/L, TGO 26 U/L, TGP 14 U/L, VSG 28 mm/hr, DHL 147 U/L. En la tomografía de tórax contrastada no se aprecian anormalidades. Es valorado por el servicio de medicina interna quien otorga un riesgo quirúrgico ASA III, Goldman II.
Por el riesgo de progresión tras el hallazgo de ambos tumores, siendo contralaterales y sincrónicos, se opta por realizar nefroureterectomía con rodete vesical del lado derecho (Imagen 3) y nefrectomía parcial izquierda, ambas por vía laparoscópica en un mismo tiempo quirúrgico (Imagen 4).

VG: vena gonadal, D: duodeno, VC: vena cava, AR: arteria renal, VR: vena renal.
Imagen 3 Lecho quirúrgico tras la nefroureterectomía derecha

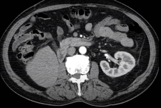
Ausencia de unidad renal derecha y unidad renal izquierda con cambios postquirúrgicos tras la nefrectomía parcial laparoscópica.
Imagen 4 Urotomografía de control
El reporte histopatológico del lado derecho revela carcinoma urotelial papilar invasor de alto grado pT3N0M0 dependiente de pelvis renal que se extiende únicamente hasta el tercio proximal del uréter ipsilateral, el cual se encuentra confinado al tejido renal con invasión focal al parénquima medular, sin invadir el seno renal y sin identificar afección a la capsula renal; invasión renovascular presente (Imagen 5 y 6).

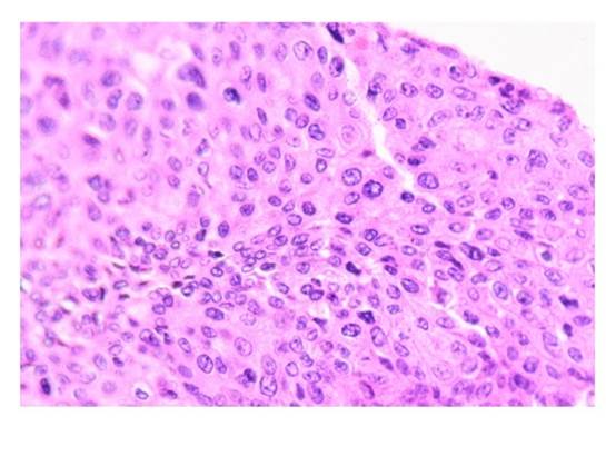
La imagen demuestra carcinoma urotelial de tipo papilar.
Imagen 6 Corte histológico de pieza quirúrgica derecha
El rodete vesical sin displasia o lesión (borde quirúrgico libre). La pieza de patología del lado izquierdo confirma un carcinoma de células renales claras G1 confinada al parénquima renal sin identificar invasión linfovascular o a la cápsula de Gerota (Imagen 7 y 8), no se identifican características rabdoides o sarcomatoides y está localizado a 0.6 cm del borde quirúrgico (borde quirúrgico libre).
Revisión de la literatura
El fenómeno de las neoplasias primarias malignas múltiples fue descrito por primera vez por Billroth en 1889. Moertel et al. en 1961 destacaron que el aparato genitourinario masculino es considerado como uno de los sistemas más comunes para la aparición de neoplasias múltiples sincrónicas.1
Graves y Templeton reportaron el primer caso de CCR combinado con UTUC en 1921,2 mientras que Oka et. al. reportan de 1352 casos de tumores genitourinarios un sólo caso de CCR combinado con carcinoma urotelial.2
Si bien es raro que los tumores urológicos ocurran juntos, es aún más raro encontrar un CCR combinado con UTUC;2 se estima que se presenta en aproximadamente el 1.1 % de los casos.3 Es importante mencionar que la mayoría de los estudios sobre CCR y UTUC sincrónico se han descrito únicamente en pequeñas series o como reportes de caso.4
El UTUC es un tumor urotelial relativamente raro que incluye la pelvis renal y el tejido ureteral. La incidencia se ha informado en 5 a 10 % de todos los carcinomas uroteliales que se presentan en Europa y Estados Unidos,3 con una incidencia anual estimada de casi dos casos por cada 100 000 habitantes.5
El CCR por su parte representa el 2-3 % de todos los cánceres urológicos primarios,6 originando aproximadamente 76 080 nuevos casos en Estados Unidos únicamente durante el 2021.3 Los tipos histológicos principales del CCR corresponden al de células claras (70 %), papilar (10‐15 %), cromófobo (5 %) y carcinoma de túbulos colectores.6 La edad promedio de aparición es a los 64 años, presentando tres veces más probabilidad de aparecer en el lado izquierdo,7 y afectando principalmente a los varones en comparación a las mujeres.8
Ambas entidades comparten factores de riesgo en común, como la edad, el género masculino, la exposición al tabaco y al ácido aristolóquico.3 El tabaquismo se asocia hasta en el 48 % de los casos,4 debido a que los compuestos cancerígenos del humo del tabaco inducen mutaciones en los genes supresores de tumores (p. ej. p53) así como una inducción en los marcadores celulares de proliferación (p. ej. Ki67).7
La mayoría de los síntomas de CCR combinado con UTUC son similares, manifestándose con hematuria (micro o macroscópica en 70-80 %) 5 como primera manifestación, seguido de dolor lumbar o en el flanco (20 %).6 En algunos casos se puede acompañar de sintomatología irritativa concomitantemente,4 o incluso de síntomas sistémicos (como anorexia, pérdida de peso, malestar general, fatiga, fiebre o tos) que denotan un peor pronóstico y obligan a la búsqueda de metástasis.5 Por otro lado, se estima que hasta el 10 % de los pacientes pueden ser asintomáticos y ser diagnosticados incidentalmente mientras el paciente se sometía a imágenes abdominales por razones ajenas.6
Cuando la típica tríada de cáncer renal está presente, se cree que los pacientes se encuentran en una etapa avanzada y tienen un mal pronóstico,2 aunque se sabe que hasta el 40 % de los pacientes con CCR localizado presentarán metástasis a distancia posterior a la cirugía.6
La urotomografía con fase de eliminación es crucial para una evaluación detallada, alcanzando una sensibilidad y especificidad del 92 y 95 % respectivamente.6
En la actualidad la mejor opción de tratamiento para el cáncer renal combinado con cáncer ureteral sigue siendo la nefroureterectomía con nefrectomía parcial contralateral.2 El tratamiento conservador en UTUC ha sido discutido por la Asociación Europea de Urología (EUA) en casos de bajo riesgo (unifocal, < 1 cm, bajo grado y sin evidencia de una lesión infiltrante en la urotomografía), permitiendo ahorrar la morbilidad con la cirugía radical y sin comprometer la resultados oncológicos.4 Las guías de la misma EUA sobre el CCR sugieren ofrecer nefrectomía parcial a pacientes con tumores T1 porque preserva el parénquima renal tras la cirugía y tiene resultados oncológicos similares a la nefrectomía radical.9
Durante la elección del tratamiento quirúrgico debemos considerar que los factores pronósticos más importantes podrían ser el estadio y el grado tumoral,10 y que uno de los principales desafíos en el manejo es la preservación de la función renal.1
Una revisión de 47 casos de tumores sincrónicos informó que el pronóstico no es peor que los casos aislados; Dutta et al. resaltan en su estudio que es probable que la sobrevida se vea influenciada por el tumor más agresivo.4
Finalmente es importante destacar que la aparición de tumores urológicos sincrónicos es un episodio extremadamente raro. Los pocos estudios que se presentan en la literatura son reportes de caso o pequeñas series, por tanto, no existe ningún análisis estadístico sistemático para poder sacar conclusiones pronósticas en este tipo de situaciones, tampoco existe una guía clínica general o consenso establecido para la toma de decisiones en estos casos. Creemos que el diagnóstico temprano mejorará el pronóstico de los pacientes al otorgar más opciones de tratamiento.
Conclusiones
La incidencia de estos tumores sincrónicos puede aumentar simultáneamente con el aumento de la incidencia de tumores genitourinarios. El tratamiento debe ser individualizado para cada paciente, teniendo en cuenta que la nefroureterectomía con nefrectomía parcial contralateral se puede realizar de forma segura.
Se sugiere prestar atención a la posible aparición de cáncer urotelial sincrónico con cáncer renal durante la práctica clínica.









nova página do texto(beta)






