Introducción
La endometriosis del ligamento redondo, aunque poco común (0.3 a 0.6% de los casos), afecta principalmente a mujeres de 22 a 46 años.1-3 Surge de la menstruación retrógrada, donde las células endometriales migran y se implantan en órganos extrapélvicos.3,4 Los síntomas clave incluyen dolor pélvico crónico e inflamación inguinal exacerbada durante la menstruación.1,3,4 Los estudios radiológicos desempeñan un papel fundamental en el diagnóstico y manejo, permitiendo la detección de lesiones ectópicas y la evaluación de la extensión de la enfermedad.2-4 La cistectomía es preferida en el tratamiento quirúrgico debido a su menor tasa de recurrencia.1,3,4
Presentación del caso
Una mujer de 45 años con antecedentes de dismenorrea e hiperpolimenorrea presentó dolor abdominal intenso y aumento de volumen en región inguinal izquierda. Los estudios de imagen revelaron una lesión hipoecoica en el ligamento redondo (Figura 1), sin aumento de vascularidad en el Doppler color y una imagen hipodensa en la tomografía (Figura 2). Se realizó una exéresis quirúrgica completa de la lesión sin complicaciones. Posteriormente, el resultado histopatológico reportó que se trataba de un foco endometriósico glandular.

Figura 1: (A) Reconstrucción 3D de tomografía computarizada, que muestra un aumento de volumen en la región inguinal izquierda (flecha hueca). Imágenes de ultrasonido en escala de grises con transductores convexo (B) y lineal (C) de la misma región, donde se observa una imagen hipoecoica de 27 × 20 × 19 mm y un volumen de 5.8 cm3, en el trayecto del ligamento redondo ipsilateral.

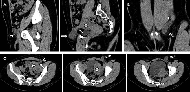
Figura 2: Tomografía computarizada abdominopélvica en fase simple, con reconstrucción sagital (A), coronal (B) y cortes axiales (C). Se observa el útero en anteflexión lateralizado hacia la izquierda (*). En el nivel del canal inguinal (punta de flecha), se identifica una imagen hipodensa con valores de atenuación líquida (flecha hueca), la cual se extiende hacia el ligamento redondo ipsilateral (flecha recta).
Discusión
La endometriosis del ligamento redondo presenta un desafío diagnóstico significativo debido a su similitud clínica con una hernia inguinal. Los síntomas compartidos, como el dolor pélvico crónico y la inflamación inguinal, pueden llevar a una confusión en el diagnóstico inicial. En este contexto, la importancia de una evaluación precisa y el uso adecuado de estudios de imagen para diferenciar entre estas dos entidades es crucial.
Los estudios radiológicos, como la ecografía y la tomografía computarizada, desempeñan un papel fundamental en la detección y caracterización de las lesiones asociadas con la endometriosis del ligamento redondo. Específicamente, estos métodos pueden ayudar a identificar la presencia de una masa en el ligamento redondo y descartar la posibilidad de una hernia inguinal u otras patologías abdominales.1,3
El caso clínico resaltado ilustra la importancia de un enfoque multidisciplinario en el manejo de la endometriosis del ligamento redondo. La meticulosa evaluación de los síntomas, que incluyeron el dolor pélvico crónico y la inflamación inguinal exacerbada durante la menstruación, junto con el uso de estudios de imagen adecuados, condujo a un diagnóstico preciso y a un tratamiento efectivo en esta paciente. Este caso destaca la necesidad de considerar la endometriosis del ligamento redondo en el diagnóstico diferencial de las masas inguinales, especialmente en mujeres en edad reproductiva con antecedentes de dolor pélvico crónico. En cuanto al tratamiento, la cistectomía se prefiere por su menor tasa de recurrencia. La completa extirpación de la lesión endometriósica, respaldada por la confirmación histopatológica, proporcionó un tratamiento efectivo y sin complicaciones, ofreciendo alivio sintomático a largo plazo y mejorando la calidad de vida de la paciente.
Conclusiones
La endometriosis del ligamento redondo es una afección poco común pero importante que puede causar síntomas significativos en las mujeres en edad reproductiva. El diagnóstico precoz y preciso, junto con un enfoque terapéutico adecuado, son fundamentales para mejorar los resultados clínicos y la calidad de vida de las pacientes afectadas por esta forma atípica de la enfermedad.










nova página do texto(beta)



