Introducción
El elastofibroma dorsi es un tumor infrecuente de los tejidos blandos de la pared torácica, su localización más frecuente es periescapular en 99% de los casos sobre el plano costal, entre la sexta y la octava costilla. Se observa entre la cuarta y sexta décadas de la vida, con prevalencia estimada de 2%, predominante en mujeres con relación 2:1.
Presentación del caso
Paciente femenino de 60 años, ama de casa, acude por presentar abultamiento de cinco años de evolución en región escapular derecha, que le ocasiona discreta molestia al efectuar limpieza en el hogar. A la exploración se observa masa de consistencia ahulada en ángulo inferior de escápula derecha prominente, con dimensiones de 7 × 5 cm (Figura 1A-C), no dolorosa al movimiento, con sensación de frote a los desplazamientos de ambas escápulas, con arcos de movilidad de hombros completos y sensibilidad normal; el resto de la exploración es normal. Con diagnóstico presuntivo de elastofibroma dorsi. Se solicita tomografía computarizada (Figuras 1 a 3) que confirma elastofibromas dorsi bilaterales; se propone cirugía, la cual rechaza.

Figura 1: A-C) Fotografías clínicas de femenino de 60 años de edad, en las cuales se muestra masa tumoral en región periescapular derecha. D-F) Imágenes de tomografía computarizada en 3D, se evidencia localización de masa tumoral periescapular derecha.

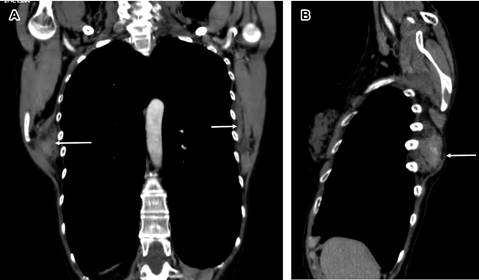
Figura 2: Imágenes de tomografía computarizada en cortes coronal (A) y sagital (B), se observa masa tumoral periescapular derecha con dimensiones de 7 × 5 cm que desplaza escápula hacia afuera y arriba, además de masa tumoral periescapular más pequeña en escápula izquierda.
Discusión
El elastofibroma dorsi es un tumor infrecuente de los tejidos blandos de la pared torácica, descrito inicialmente por Jarvi y Saxen1 en 1961; su localización más frecuente es periescapular en 99% de los casos y anterior a la escápula sobre el plano costal, entre la sexta y la octava costilla, profundo respecto a los músculos serrato anterior, romboides y dorsal ancho. Se observa entre la cuarta y sexta décadas de la vida, con prevalencia estimada de 2%, predominante en mujeres con relación 2:1 y predominio en hemitórax derecho; es bilateral en 10 a 60% de los casos; habitualmente asintomático.
Se ha sugerido que la degeneración de las fibras de colágena es resultado de microtraumatismos repetitivos sobre la articulación escapulotorácica, induciendo proliferación excesiva de las fibras elásticas, por lo que se considera como un proceso reactivo, más que como una verdadera neoplasia.2 Histológicamente es una lesión benigna, no encapsulada, hipocelular y de contenido variable de colágeno, grasa y fibras elásticas. El diagnóstico diferencial3 debe realizarse con lesiones o tumores subcutáneos, como lipomas, fibrolipomas y neoplasias mesenquimales tipo liposarcomas, fibrosarcomas, histiocitoma fibroso, neurofibroma o metástasis.
La ecografía, la tomografía computarizada y la resonancia magnética confirman el diagnóstico.4 En la ecografía se observa un patrón alternante, de tipo fasciculado o laminar, de líneas hipo e hiperecogénicas paralelas a la pared torácica; la señal Doppler suele ser negativa. La TC muestra alternancia de tejido adiposo con densidad grasa y de tejido fibroso con densidad muscular, que no realza con medios de contraste. La resonancia magnética es de elección para llegar al diagnóstico presentando patrón alternante de tejido adiposo y fibroso; en T1 y T2 el tejido fibroso da señales de baja intensidad similares a las del músculo. El tejido adiposo da señales de alta intensidad en T1 y señales intermedias en T2. La biopsia se reserva para los casos sospechosos que no presentan el patrón característico.5










nova página do texto(beta)



