Introducción
El ángulo pontocerebeloso (CPA) es un espacio de forma triangular lleno de líquido cefalorraquídeo y está ubicado en la unión de la protuberancia y el cerebelo. Contiene varias estructuras cruciales, como los nervios craneales V al VIII y arterias, como la arteria cerebelosa superior (ACS) y la arteria cerebelosa anteroinferior (AICA).1 La AICA es una rama de la arteria basilar y atraviesa posterolateralmente el ángulo pontocerebeloso para irrigar la parte anterior a media del cerebelo y la protuberancia inferolateral. Se ramifica en la arteria laberíntica, que es el único suministro vascular para el laberinto, la cóclea y los órganos vestibulares.2
El nervio facial y el vestibulococlear responsables del movimiento de los músculos faciales, la audición y el equilibrio emergen del ángulo pontocerebeloso y durante su recorrido ingresan al conducto auditivo interno, luego toman un trayecto anterolateral hasta llegar a los órganos cocleovestibulares periféricos.1,3
Desde 1970 Janneta describió una entidad caracterizada por compresión de un nervio craneal por asas vasculares, denominándola compresión neurovascular.4
En el conducto auditivo interno hay un espacio mínimo para el nervio facial, vestibulococlear y el asa vascular de la arteria cerebelosa anteroinferior, generando una susceptibilidad anatómica de compresión vascular, originando en algunas ocasiones disfunción del nervio.5,6 Por ello, la compresión de nervios craneales por estructuras vasculares causa trastornos de los mismos; de tal forma que, si se comprime el nervio facial, se presentará espasmo hemifacial; si se comprimen los troncos de los nervios auditivos y vestibulares, podría originar pérdida de audición neurosensorial, vértigo y acúfeno, siendo este último el síntoma más frecuente hasta en 65% de los pacientes.7,8
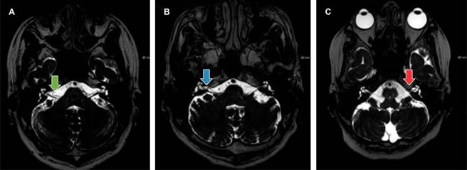
Es de utilidad la clasificación anatómica de Chavda (Figura 1) quien propone tres tipos de asas vasculares de la arteria cerebelosa anteroinferior:9

Figura 1: Clasificación de Chavda. A) Tipo I: asa de la arteria cerebelosa anteroinferior (flecha verde) a nivel del ángulo pontocerebeloso y fuera del conducto auditivo interno. B) Tipo II: asa de la arteria cerebelosa anteroinferior (flecha azul) ocupando menos de 50% del conducto auditivo interno. C) Tipo III: asa de la arteria cerebelosa anteroinferior (flecha roja) ocupa más de 50% de longitud total del conducto auditivo interno.
Asas vasculares tipo I: contacta con el nervio coclear en el ángulo pontocerebeloso, pero no entra al conducto auditivo interno.
Asas vasculares tipo II: entra al conducto auditivo interno y se extiende menos de 50% de su longitud.
Asas vasculares tipo III: se extiende más de 50% de la longitud del conducto auditivo interno.
Las asas vasculares se presentan desde el nacimiento y pueden ser asintomáticas o hacerse notorias clínicamente con el envejecimiento debido a la aterosclerosis, donde las paredes, al ser más gruesas y rígidas, pueden llegar a comprimir el nervio. De igual forma, los nervios craneales pierden elasticidad con el envejecimiento por disminución del líquido cefalorraquídeo y atrofia cerebral, llevando a un contacto anatómico entre una arteria previamente separada y el nervio.8
A pesar de que las asas vasculares pueden causar compresión del VIII par craneal y las diferentes manifestaciones otológicas, aún hay controversia en cuanto a su fisiopatología y tratamiento de los síntomas neurootológicos. Sin embargo, en la actualidad, la resonancia magnética ha sido una gran contribución para la investigación, ya que cuenta con múltiples ventajas al no ser invasiva y brindar visualización anatómica más detallada del conducto auditivo interno y del ángulo pontocerebeloso, determinando la relación entre el nervio vestibulococlear y la vasculatura a su alrededor.1,8
La forma anatómica y la ubicación de la arteria cerebelosa anteroinferior es variable en el ángulo pontocerebeloso, en estudios post mortem se ha encontrado dentro del conducto auditivo interno en 15 a 40% de los pacientes y en 14 a 34% de los estudios de resonancia magnética.9 Lo que indica que existe una subestimación de la prevalencia de las asas vasculares de la arteria cerebelosa anteroinferior en el conducto auditivo interno que condiciona una falta de reconocimiento de esta patología y de los síntomas asociados. Por lo que conocer la prevalencia de asas vasculares de la arteria cerebelosa anteroinferior en el conducto auditivo interno, en los estudios de resonancia magnética realizados en el Servicio de Resonancia Magnética del Hospital Angeles Pedregal, es el principal objetivo de esta investigación.
Materiales y métodos
Se realizó un estudio observacional, retrospectivo y descriptivo. Se revisó una base de datos retrospectiva de los estudios de encéfalo y oídos sin importar el motivo de solicitud, realizados en un equipo 3 T PHILIPS en el Servicio de Resonancia Magnética del Hospital Angeles Pedregal interpretados por un neurorradiólogo experimentado (20 años de experiencia), extrayendo los datos (edad, género, así como la clasificación anatómica de Chavda) de todos los casos en los que se observaron asas vasculares de la arteria cerebelosa anteroinferior.
Se excluyeron a los pacientes cuyo estudio de resonancia magnética no tuviera las secuencias completas según el protocolo institucional, o no contaran con un reporte oficial.
Los datos se recopilaron en una base de datos realizada en Excel versión 16 (Microsoft, Washington, EUA).
Se realizó un análisis utilizando el programa estadístico STATA 13.0 (StataCorp, Texas, EUA) para obtener los datos estadísticos descriptivos de los casos.
Resultados
Se obtuvo un total de 150 pacientes, de los cuales 75 fueron mujeres y 75 hombres con rango de edad entre 16 y 85 años, con media de 52 años. Se analizaron 300 oídos, de los cuales 37% (111) no tuvieron asas vasculares visibles; de los oídos que presentaron asas vasculares, 36% (108) fueron del lado derecho y 27% (81) del izquierdo.
En la Tabla 1 se muestra la distribución de los grados de la clasificación de Chavda, según la lateralidad. En la cual podemos apreciar que existe una mayor incidencia del grado I tanto en el lado derecho (22.7%) como en el izquierdo (14%); y el menos frecuente fue el grado III con 4.6% del lado derecho y 3% en el izquierdo. De la misma manera el grado I fue el más común entre los hombres (19%) y las mujeres (17.7%).
Tabla 1: Distribución de la clasificación de Chavda según el sexo, lateralidad y tipo de estudio.
| Normal | Clasificación de Chavda, n (%) | Total | |||
|---|---|---|---|---|---|
| Grado I | Grado II | Grado III | |||
| Femenino | 56 (18.7) | 53 (17.7) | 27 (9.0) | 14 (4.6) | 94 |
| Masculino | 55 (18.3) | 57 (19.0) | 29 (9.7) | 9 (3.0) | 95 |
| Lado derecho | 42 (14.0) | 68 (22.7) | 26 (8.7) | 14 (4.6) | 108 |
| Lado izquierdo | 69 (23.0) | 42 (14.0) | 30 (10.0) | 9 (3.0) | 81 |
| Estudio encéfalo | 77 (25.7) | 74 (24.7) | 34 (11.3) | 15 (5.0) | 200 |
| Estudio de oídos | 34 (11.3) | 36 (12.0) | 22 (7.3) | 8 (2.7) | 100 |
Respecto al origen de los estudios, 100 fueron estudios de encéfalo y 50 fueron solicitados para patología otológica.
La distribución de los grados de la clasificación de Chavda fue diferente según el objetivo del estudio, cuando fue enfocado a encéfalo se obtuvo 24.7% del grado I, 11.3% del grado II, 5% del grado III y 25.7% oídos normales; y en los estudios de oído se detectaron asas vasculares del grado I en 12%, grado II 7.3% y grado III 2.7%. Se determinó que 25.7% de los oídos valorados con resonancia de encéfalo fueron normales, es decir, no se identificó la presencia de asas vasculares; también resultaron normales 11.3% de las resonancias enfocadas a oído. Estos resultados se muestran en las Tablas 1 y 2.
Tabla 2: Características de la población (N = 150).
| Sexo, n | |
| Femenino | 75 |
| Masculino | 75 |
| Edad [años], promedio (rango) | |
| Femenino | 54.6 (16-85) |
| Masculino | 50.7 (18-79) |
| Tipo de estudio, n | |
| Encéfalo | 100 |
| Oídos | 50 |
| Número de oídos, n(%) (N = 300) | |
| Normales | 111 (37) |
| Con asa vascular | 189 (63) |
| Asas vasculares, n(%) (N = 300) | |
| Normal | 111 (37) |
| Derecho | 108 (36) |
| Izquierdo | 81 (27) |
Discusión
La distribución de los grados de Chavda de este estudio coincide con la reportada en la literatura internacional, como en los estudios de Gorrie,1 Bae10 y Gultekin y colaboradores11 en donde el grado I fue el más frecuente seguido por el grado II y III.
Llama la atención que la proporción de los grados II y III en relación con el grado I fue mayor en este estudio en comparación con la investigación realizada por Gorrie. En el presente estudio corresponden a 41.7% entre el grado II y III y en el estudio de Gorrie aproximadamente 20%.
El número de hombres y mujeres que tuvieron asas vasculares de la arteria cerebelosa anteroinferior fue de 75 para ambos grupos, por lo que se podría sugerir que no existe una asociación con el sexo, resultados similares a los publicados en los estudios de Ungar2 y Sirikci.8










nova página do texto(beta)


