INTRODUCCIÓN
Las glándulas salivales son glándulas exocrinas, con secreción de tipo merocrina, que vierten su producto de secreción a la cavidad oral, contribuyendo con la autolimpieza bucal, brindando protección y defensa, regulando el pH oral (sistema amortiguadores-buffer), manteniendo la integridad y la remineralización del esmalte dentario. Además, da inicio la digestión mediante el aporte de amilasa salival y ptialina, y contribuye a mantener el equilibrio hídrico del organismo, siendo la disminución de la secreción salival un signo de alarma tanto para la salud bucal como sistémica.1,2
Los mucoceles son lesiones de las glándulas salivales menores producidas por acumulación de material mucoide a nivel del tejido conjuntivo oral. Existen dos tipos: mucoceles verdaderos o quistes de retención mucosa que se forman por oclusión de la luz glandular, y mucocele por extravasación a partir de la ruptura del conducto excretor. Suelen observarse en edades pediátricas y adultos jóvenes debido a traumatismos mecánicos durante el recambio de dentición. 3
El estudio y la difusión de las patologías en los tejidosblandos oralesno son adecuadamente jerarquizadas como los tejidos duros (dentarios y óseos) y los estudios epidemiológicos en su gran mayoría versan sobre caries, enfermedad periodontal, maloclusión y tumores, orientados en su gran mayoría a la edad adulta, por lo que no son fácilmente extrapolables hacia la población pediátrica. 4-6
Al Hospital Pediátrico «Juan Pablo II» (centro de referencia en salud pediátrica en nuestra región, Corrientes, Argentina) asisten niños desde el mes de nacimiento hasta los 15 años de edad. Ahora bien, las patologías orales pediátricas son poco jerarquizadas debido a la limitación en la observación de la cavidad oral, centrándose muchas veces la atención en las piezas dentarias, con escasa ponderación signo-sintomatología del resto de la cavidad oral. Se destaca aquí la importancia de identificar patologías orales en las glándulas salivales menores con diagnóstico de mucocele, conocer su frecuencia, porcentaje y localización más frecuente correlacionándolo con el género y edad de los pacientes al momento del diagnóstico, y su registro aplicando las clasificaciones internacionales: CIE-10 y CIE-OE.7
Por lo anterior, el principal objetivo de este estudio fue identificar las características histopatológicas de lesiones orales correspondientes con diagnóstico de mucocele en pacientes pediátricos asistidos en el Servicio de Anatomía Patológica y Citología del Hospital Pediátrico «Juan Pablo II», Corrientes Capital, periodo 1997-2017, así como correlacionar la presencia de mucocele con las edades pediátricas, género de los pacientes y localización dentro de la cavidad oral. Adicionalmente aplicar clasificaciones internacionales de enfermedades CIE-10, en particular la clasificación aplicada en odontología y estomatología CIE-OE.
MATERIAL Y MÉTODOS
La investigación presentó diseño de tipo retrospectivo, observacional, analítico, correlacional y transversal. El estudio se llevó a cabo en el Servicio de Anatomía Patológica y Citología (SAPyC) del Hospital Pediátrico «Juan Pablo II» y en la Cátedra de Anatomía Patológica de la Facultad de Medicina de la Universidad Nacional del Nordeste, Corrientes, Argentina. Los casos estudiados correspondieron a pacientes pediátricos (desde el primer mes de vida hasta los 15 años de edad) que asistieron al hospital presentando lesiones orales en glándulas salivales, para ser biopsiados o extirpadas quirúrgicamente y/o realizar citologías. El periodo de tiempo estudiado abarcó del 1 de juniode 1997 al1dejunio de 2017.
La muestra del estudio incluyó los materiales biológicos embebidos en parafina procesados mediante la técnica histotecnológica convencional, y teñidos con la técnica de hematoxilina-eosina. Las láminas debidamente teñidas permitieron su estudio descriptivo con microscopia óptica, e identificación diagnóstica, registrándose en protocolos y libros de ingreso del SAPyC.
Los registros fueron analizados estadísticamente, obteniéndose la patología oral en glándulas salivales pediátricas de mayor frecuencia, mucocele, siendo la misma correlacionada con la edad de presentación y el sexo de los pacientes, y la localización de la lesión.
Se catalogó según la Clasificación Estadística Internacional de Enfermedades y Problemas Relacionados con la Salud Décima Revisión (CIE-10) y la Clasificación Internacional de Enfermedades Aplicada a Odontología y Estomatología (CIE-OE) que incluye enfermedades y trastornos de la cavidad bucal y estructuras subyacentes, utilizadas ampliamente para el desarrollo de estadísticas nacionales de morbilidad y mortalidad.
RESULTADOS
Durante el periodo evaluado (1997-2017), se recibieron y procesaron 14,186 muestras en el SAPyC del Hospital Pediátrico «Juan Pablo II», de los cuales 63 casos correspondieron a lesiones de las glándulas salivales. Cuarenta y siete tuvieron diagnóstico histopatológico de mucocele (Figuras 1 y 2), representando el 74.6% de las lesiones de glándulas salivales, siendo por lo tanto la patología más frecuente en la población estudiada (Tabla 1).

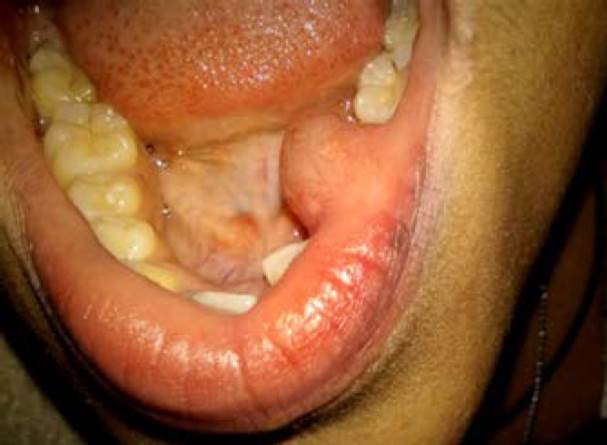
Figura 1 Imagen clínica de mucocele del labio inferior. Se observa lesión oral elevada de 2 cm de diámetro, localizada en el labio inferior, de coloración rosa pálido y zonas azuladas, de consistencia blanda, dolorosa a la palpación, de un año de evolución. Diagnóstico histopatológico correspon diente con mucocele.

Figura 2 Características histopatológicas. Al examen microscópico se observa: mucosa revestida por epitelio escamoso no queratinizado, ligeramente aplanado y desplazado por una cavidad circunscripta localizada en tejido conectivo y submucosa, revestido por tejido de granulación, con abundante extravasación de material mucoide. 10×, H/E .
Tabla 1 Número de casos ingresados al Servicio de Anatomía Patológica y Citología del Hospital Pediátrico «Juan Pablo II»
| Año | Número de casos | ||
| Totales ingresados | Por lesiones orales de glándulas salivales |
Con diagnóstico de mucocele |
|
| 1997 | 394 | 1 | 1 |
| 1998 | 665 | 5 | 4 |
| 1999 | 910 | 4 | 3 |
| 2000 | 663 | 2 | 2 |
| 2001 | 667 | 2 | 1 |
| 2002 | 567 | 3 | 2 |
| 2003 | 664 | 0 | 0 |
| 2004 | 656 | 1 | 1 |
| 2005 | 732 | 6 | 6 |
| 2006 | 723 | 7 | 4 |
| 2007 | 561 | 2 | 1 |
| 2008 | 674 | 3 | 3 |
| 2009 | 564 | 1 | 1 |
| 2010 | 646 | 2 | 1 |
| 2011 | 700 | 2 | 1 |
| 2012 | 650 | 1 | 0 |
| 2013 | 765 | 3 | 3 |
| 2014 | 703 | 4 | 2 |
| 2015 | 771 | 3 | 2 |
| 2016 | 709 | 3 | 1 |
| 2017 | 802 | 8 | 8 |
| Total | 14,186 | 63 | 47 |
En el periodo de tiempo analizado, en los años 2005 y 2017 se presentó el mayor número de casos de mucocele, correspondiendo al 29.8% del total de los mismos; por el contrario, los años 2003 y 2012 carecieron de registros de casos de lesiones glándulas salivales menores (Figura 3).

Figura 3 Número de casos de mucocele diagnosticados histopatológicamente por año (1997-2017). Servicio de Anatomía Patológica y Citología del Hospital Pediátrico «Juan Pablo II», periodo 1997-2017.
Con relación a la variable sexo, 29 (62%) casos de mucocele correspondieron a mujeres, mientras 18 (38%) correspondieron a hombres. La razón femenino versus masculino fue 2:1 (29:18). La franja etaria con mayor porcentaje de pacientes con diagnóstico de mucocele fue la comprendida en el grupo de 13 a 15 años de edad representando un 34%, así mismo se debe destacar que el mayor número de casos (nueve) específicamente fue a los 14 años de edad (Tabla 2), no habiendo diferencia peculiar en cuanto al género de los pacientes. La mediana de la edad fue nueve años. El sitio de localización más frecuente de la lesión fue en el labio inferior con un total de 33 casos (70%) y la mucosa yugal con un total de 14 casos (30%).
Tabla 2 Número de casos de mucocele según el grupo etario.
| Grupo etario | n (%) |
| 1 mes a 1 año | 4 (8.5) |
| 2 a 4 años | 5 (10.6) |
| 5 a 8 años | 12 (25.5) |
| 9 a 12 años | 10 (21.2) |
| 13 a 15 años | 16 (34.1) |
Servicio de Anatomía Patológica y Citología, Hospital Pediátrico «Juan Pablo II», periodo 1997-2017.
Aplicación de las clasificaciones CIE-10 y CIE-OE para la lesión oral analizada y registrada, obtuvimos: mucocele CIE-10: K 11.6, CIE-OE: K 11.69.
DISCUSIÓN
La Clasificación Estadística Internacional de Enfermedades y Problemas Relacionados con la Salud décima revisión (CIE-10) ha sido aplicada al realizar este trabajo. Es una clasificación sistemática de enfermedades sujetas a acuerdo entre gobiernos. Proporciona un lenguaje común que permite a los profesionales de la salud compartir información sanitaria en todo el mundo, favoreciendo ampliamente el desarrollo de es tadísticas nacionales de morbilidad y mortalidad. La Clasificación de Enfermedades Aplicada a Odontología y Estomatología (CIE-OE) deriva directamente de la CIE-10, incluye todas las enfermedades y trastornos que se presentan en la cavidad bucal y estructuras subyacentes. Ambas clasificaciones se seleccionaron por sus ventajas en cuanto a la divulgación de la te mática, además se encuentran en constante revisión, lo que proporciona mayor seguridad y actualización. 7
Un estudio similar fue realizado por Camilo Qqueccaño y Sindi Deysi, 8 quienes determinaron la frecuencia de diagnósticos histopatológicos de lesiones orales y maxilofaciales de pacientes pediátricos realizados en el Laboratorio de Patología Oral de la Facultad de Estomatología «Roberto Beltrán» de la Universidad Peruana Cayetano Heredia, en el periodo 1992 a 2012, quienes detectaron lesiones de glándulas salivales (19.3%), siendo el mucocele (16.5%) el diagnóstico más frecuente, y el sexo femenino el más afectado (54.4%).8
Estos resultados son similares a los obtenidos en esta investigación, donde los mucoceles representan un 74.6% y el género femenino presenta mayor porcentaje de casos (62%) y el sitio de localización más frecuente fue a nivel del labio inferior.
CONCLUSIÓN
El interés de este trabajo científico radica en que no existe estudio previo de esta característica en la región, evidencia que la lesión más frecuente en glándulas salivales de pacientes pediátricos son los mucoceles con predominio en el sexo femenino, y de localización más frecuente en labio inferior, por lo que podemos suponer que guarda relación con la dentición mixta (entre seis y 12 años) de los pacientes pediátricos, al ser la mediana de nueve años.
Si bien, nuestro estudio tiene limitaciones, al igual que otros estudios retrospectivos, éste guarda similitud con estudios realizados por investigadores antes mencionados. En los registros que se analizaron, no se especificaron las diferencias entre mucocele de retención y extravasación. Por lo tanto, estimar la incidencia de retención y de extravasación en los pacientes pediátricos no fue alcanzable, lo cual sería muy valioso discernir en futuras investigaciones.










nova página do texto(beta)


