Introducción
El cáncer de cabeza y cuello ocupa el sexto lugar de las neoplasias en el mundo, el tipo histológico que se presenta con mayor frecuencia es el carcinoma de células escamosas en un 90%. Dentro del organismo el cáncer de cabeza y cuello ocupa el 6%, y el 20% son neoplasias malignas del tracto aerodigestivo superior. Por lo general aparece en la cuarta década de la vida (Figura 1).
Los factores de riesgo relacionados son el tabaquismo en un 40%, seguido de la ingesta cotidiana de alcohol con el 30%, al combinarse estos hábitos, aumenta el riesgo hasta en un 90%. Otro factor de riesgo es el virus del papiloma humano (Vph) que se asocia con las neoplasias malignas en un 5%.
El manejo de estas neoplasias malignas es de forma multidisciplinaria, dependiendo de la localización, tamaño, tipo, extensión del tumor y el estadio de la enfermedad. Siendo la cirugía (Qx) el tratamiento de primera elección, seguido de radioterapia y/o quimioterapia. Estas terapias pueden administrarse antes (neoadyuvante) o después (adyuvante) de la cirugía o combinadas. La cirugía oncológica puede dejar defectos orbitofaciales, y orales y/o combinados. Los tratamientos de radioterapia y/o quimioterapia provocan efectos secundarios en la boca, iniciando con estomatitis, seguido de mucositis, xerostomía (resequedad), disgeusia, caries dental producida por quimioterapia o caries dental postradioterapia, trismo y osteorradionecrosis, éstos en ocasiones se acompañan con parestesia o dolor, entre otros síntomas. Todos estos efectos secundarios se reflejan como dificultad en el habla, fonación, masticación y deglución, por lo que es importante el manejo odontológico y la rehabilitación maxilofacial oportuna, lo que ayuda a conservar las funciones de los órganos afectados, impactando de manera benéfica en la calidad de vida, esta atención debe brindarse antes, durante y después de los tratamientos oncológicos.1-5
El principal objetivo del presente artículo es informar al cirujano dentista de práctica general y al especialista de prótesis maxilofacial sobre el manejo odontológico y rehabilitación protésica en los casos con cáncer de cabeza y cuello sometidos a tratamiento oncológicos e identificar los efectos orales y faciales producidos por la cirugía, radioterapia y/o quimioterapia.
Efectos del tratamiento oncológico
Quimioterapia. La primera manifestación en la cavidad oral es el adelgazamiento de la mucosa oral, seguida de una descamación, eritema y ulceración, denominado mucositis. La mucositis propicia la entrada de microorganismos causantes de diversas infecciones sistémicas. Esto puede disminuir o palearse considerablemente llevando un manejo odontológico adecuado. Cuando sólo se aplica quimioterapia, los efectos orales se presentan del 40 al 70%, al aplicarse de forma concomitante con radioterapia se incrementan la presencia de efectos orales hasta en un 90%, sobre todo si el campo a radiar abarca la cavidad oral.(6 Se muestran algunos casos de efectos orales por quimioterapia en la Figura 2.
Otros efectos orales son: hemorragias, xerostomía, disgeusia, neurotoxicidad. La xerostomía se presenta por cambios intracelulares por la disminución del fluido salival y un pH salival ácido, el cual provoca la desmineralización del esmalte de los dientes y favorece el desarrollo de caries dental por quimioterapia. La disgeusia es la alteración de las papilas gustativas, mientras que la neurotoxicidad se presenta por que la quimioterapia afecta al nervio trigémino (neuropatías), reflejando molestias en la articulación temporomandibular (ATM), produciendo limitación en la apertura de la boca, algunas veces se manifiesta parestesia.7
Recientemente se utilizan los bisfosfonatos, medicamentos que sirven de apoyo en el tratamiento. Debido a que inhiben la producción de osteclastos y disminuyen la reabsorción ósea, son utilizados para controlar las metástasis óseas y osteólisis en el cáncer avanzado o descalcificación por cáncer. Existen bifosfonatos orales e intravenosos (ácidos zoledrónico y pamidrónico). Los intravenosos pueden producir el efecto secundario adverso denominado osteonecrosis de los maxilares. El factor de riesgo asociado para que se desarrolle osteonecrosis de los maxilares es traumatismo óseo, siendo las extracciones dentales de tipo quirúrgico las más comunes. En ocasiones, la necrosis ósea se puede presentar de manera espontánea. El odontólogo deberá estar informado de la osteonecrosis asociada a los bifosfonatos y también en contacto con el médico oncólogo.8,9 Se muestran casos de osteonecrosis por en las Figuras 3 y 4.

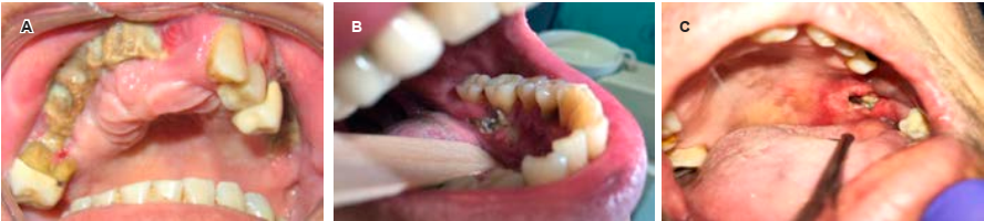
Figura 3 A y B) Casos de necrosis y exposición ósea maxilar y mandíbula con posterior a extracción dental. C) Caso de necrosis y exposición ósea maxilar de forma espontánea.

Figura 4 A y B) Caso de cáncer de mama presenta necrosis ósea y exposición en el maxilar lado izquierdo, la Rx. Ortopantomografía muestra destrucción trabeculado óseo en el maxilar del lado izquierdo.
Radioterapia. Presenta efectos orales secundarios cuando los campos de irradiación abarcan la cavidad oral. Se describen: xerostomía, mucositis, caries dental postradiación, disgeusia, trismo, osteorradionecrosis. Estos efectos se reflejan alterando el habla, masticación, deglución y fonación.10 Se muestran casos de efectos orales secundarios por radioterapia en la Figura 5.

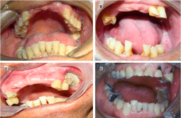
Figura 5 A y B) Casos con mucositis acompañado de candidiasis e úlcera. C) Caso de osteradionecrosis en maxilar superior. D) Caso de caries dental postradiación.
Cirugía. La cirugía oncológica se define como la resección total o parcial de las neoplasias malignas de cabeza y cuello por medio de intervenciones quirúrgicas, cuyo objetivo es eliminar el cáncer de manera curativa, preservando en lo posible la función de los órganos afectados, lo cual produce resultados estéticos aceptables y previene la recurrencia o la aparición de otros tumores. La elaboración de las prótesis maxilofaciales es indispensable para lograr restaurar las funciones perdidas del habla, fonación, masticación y deglución, apoyando en la estética del sujeto y logrando una mejor calidad de vida. Se muestra en la Figura 6 paciente postoperada, se le realizó una maxilectomía derecha por carcinoma de células escamosas que causó un defecto intraoral, se le colocó obturador definitivo cuya función es la de separar cavidad oral de la nasal, para que la persona pueda alimentarse y comunicarse.11-13
Manejo odontológico oncológico
En el manejo odontológico oncológico el dentista y especialistas en prótesis maxilofacial deben participar en todas las fases de los tratamientos antes de someter al sujeto a cirugía, quimioterapia y/o radioterapia. La condición bucodental deberá ser evaluada, con el fin de evitar o disminuir en lo posible las manifestaciones y efectos orales secundarios que se pudieran presentar durante y después de las terapias, la valoración del protesista maxilofacial es importante para elaborar la aparatología lo más exacto y adecuado posible, dando a la persona funcionalidad y apoyándolo al impacto que va a recibir posterior a la resección quirúrgica.
Iniciada la quimioterapia y/o radioterapia, el odontólogo deberá estar alerta y realizar procedimientos bucodentales con precaución e interconsultar al médico oncólogo para prevenir alteraciones que se puedan provocar por el manejo odontológico, desde una profilaxis dental o curetaje periodontal y tratamiento de endodoncia. Si es necesario, realizar extracciones dentales, las cuales se deben efectuar por lo menos 20 días antes de iniciar los tratamientos oncológicos para disminuir la posibilidad de hemorragias, bacteriemia o septicemia que puede ser irreversible. Al realizar estos procedimientos, deberán revisarse y cuidar que los elementos hematológicos se encuentren en sus niveles normales (hemoglobina, biometría hemática y química sanguínea, entre otros). Si es necesario, prescribir algún antibiótico, lo indicado es que el odontólogo consulte con el médico oncólogo que se encuentre tratando al paciente.
Los estudios de gabinete son la toma de radiografías extrabucal e intrabucal, como la ortopantomografía y la periapical, estos estudios radiológicos ayudan a descartar procesos infecciosos crónicos o alteraciones de tipo patológico.14
Recomendaciones de la higiene oral
La higiene oral consiste en la profilaxis dental y curetaje del periodonto, la selección del cepillado dental es importante para la adecuada higiene oral, cuando existe presencia de mucositis está indicado cepillo de cerdas suaves, gasas o dedil dental, el cepillado se remienda suave y no profundo, esto evita que sangre la encía.
Utilizar hilo dental.
No uso de palillos, ni objetos punzocortantes que lastimen la encía, ni colocar en la boca objetos extraños, esto previene lesiones e infecciones sistémicas.15
Utilizar cepillos especiales para lavar las prótesis removibles, totales y obturadores (Figura 7).
Recomendaciones e indicaciones (pasta dental, soluciones y gel antiséptico) para los efectos secundarios orales provocados por *quimioterapia y/o ‡radioterapia:
*‡ Uso de pasta dental que contenga bencidamina siendo el primer antiinflamatorio no esteroide selectivo contra la inflamación primaria, o pasta dental que contenga flúor o antiséptico evitando así irritar la mucosa oral.
*‡ Realizar enjuagues orales por medio de soluciones alcalinas como bicarbonato de sodio o sal (colocar una pizca de sal o bicarbonato), deben disolverse en medio vaso de agua, se indican enjuagues cuatro veces al día, para mantener un medio alcalino y aliviar el dolor. Otra solución alcalina es la solución de superoxidación electrolizada, se presenta en forma de gel y su aplicación es de manera tópica en la encía y solución (enjuagues orales).
*‡ El manejo de la mucositis oral con o sin ulceraciones: la combinación de caolín (suspensión), clorhidrato de difenhidramina (jarabe) y nistatina (suspensión) ayuda a reducir molestias de la mucositis oral y de la candidiasis. En ocasiones a esta mezcla se le agrega anestésico xilocaína al 2%, en caso de ardor deberá eliminarse de la mezcla.
*‡ El uso de antibacteriano como la solución de gluconato de clorhexidina al 0.12% se presenta en gel, se aplica tópicamente en las encías o soluciones realizando enjuagues orales.
*‡ Evitar soluciones que contengan alcohol que irriten los tejidos orales y agraven la mucositis.
*‡ El dolor producido por la mucositis en la boca puede causar limitaciones en la dieta, por lo que se deben evitar alimentos calientes, ácidos, dulces, condimentados, especies de textura gruesa, que irriten los tejidos orales.
*‡ La xerostomía oral provoca dificultad en la deglución, por lo que se recomienda ingerir mayor cantidad de líquidos, humedecer los alimentos secos en el momento que vayan a comer ayudando a la deglución y el uso de cichles sin azúcar para estimular el flujo salival.
*‡ El uso de soluciones oleosas para la xerostomía como la glicerina, aceites de almendras dulces, entre otros, deberán mezclarse con agua tibia, estos enjuagues orales mantienen lubricada la mucosa oral.
*‡ Incluir saliva artificial para la resequedad oral (xerostomía).
‡ Cuando los campos de irradiación abarcan la boca, se recomienda el uso de soluciones durante el tratamiento, no debe indicarse el uso de gel, ya que se expondría a la mucosa oral a ser quemada o lacerada por la irradiación, una vez terminada la terapia podrá indicarse el uso antiséptico en gel.
‡ Uso de flúor de sodio al 0.8%, se aplica para prevenir la caries dental postrradiación, efecto tardío que se presenta después de haber terminado la radioterapia, producido por la irradiación que abarca la boca. Se indica aplicar el flúor de sodio al 0.8% media hora antes de la terapia, va a proteger el esmalte para que no sufra desmineralización y ayuda a la sensibilidad dental, una vez aplicado no deberá ingerir líquidos ni alimentos, debe usarse todo el tratamiento.
*Se recomienda para la caries dental por quimioterapia utilizar la aplicación de flúor de sodio 0.8% durante toda terapia, hasta que regrese el flujo salival y se retorne a valores cercanos a la normalidad.
*‡ Se indica para disminuir la hipersensibilidad dental aplicaciones tópicas de flúor de sodio al 8%, pastas dentales medicadas especial para dientes sensibles o gel de gluconato de clorhexidrina al 0.12%.
‡ Se recomienda que cuando los campos de irradiación abarcan la cavidad oral, retirar las obturaciones metálicas de los dientes (amalgamas e incrustaciones) con el objetivo de evitar que rayos de irradiación sean emitidos o reflejados, afectando a tejidos adyacentes sanos. Se deben cambiar o retirar las amalgamas por curaciones temporales, en el caso de que existan prótesis fijas que contengan metal colocar sobre ellas guarda fabricada de plomo con cera llamado homogenizador.
Se recomienda para el dolor en ATM y limitación de la apertura oral, causado por la neurotoxicidad por quimioterapia, la prescripción de relajantes musculares y termoterapia para ayudar a disminuir el dolor y trismo.
‡ Se indica para trismo provocado por los campos de irradiación en ATM el uso de abatelenguas o tornillos de acrílico para la apertura oral, elaboración de guardas oclusales para el bruxismo, la prescripción de relajantes musculares y termoterapia para ayudarla en la articulación ATM.
*‡ Se recomienda que la prótesis dental removible o total se limpie diariamente con cepillo y soluciones desinfectantes, y sean retiradas durante los tratamientos de quimioterapia y/o radioterapia. De no seguir esta indicación, podrían ser albergues de microorganismos que causan infecciones.
Recomendaciones para pacientes sometidos a tratamiento de bisfosfonatos:
Debe existir un programa preventivo efectuando procedimientos de profilaxis dental, eliminar procesos infecciosos dentales, periodontal.
En caso de necesitar extracciones dentales, deben efectuarse un mes antes de la aplicación el medicamento y llegue con proceso de cicatrización consolidado.
El dentista deberá contactarse con el médico oncólogo, esperando el momento oportuno para efectuar algún procedimiento quirúrgico dental, evitando la necrosis y exposición ósea de maxilar o mandíbula.19
Conclusión
El paciente con cáncer de cabeza y cuello sometido a tratamientos oncológicos como cirugía, radioterapia y/o quimioterapia deberá integrarse a un programa periódico de educación bucodental y medidas rigurosas de higiene oral, instruyendo al individuo, por medio de instructivos y guías odontológicas, ayudan a reducir y controlar las manifestaciones y efectos orales secundarios por las terapias, lo que evitaría que estos se conviertan en complicaciones orales irreversibles.
La conservación del buen estado de salud mejora la calidad de vida del paciente, que se refleja en el habla, masticación, fonación, deglución, facilitando el apoyo nutricional, por lo que el manejo odontológico oportuno y la rehabilitación de prótesis maxilofacial aumenta la tolerancia a las terapias oncológicas.









texto em 






