Introducción
Las neoplasias malignas se derivan según el tejido de origen: en los epitelios (carcinomas), en los tejidos conectivos (sarcomas), en los tejidos hematopoyéticos (linfomas/leucemias), en el tejido nervioso (gliomas). El carcinoma sarcomatoide (CS) es una rara neoplasia, cuya histología es compleja, ya que presenta células carcinomatosas epiteliales con un componente sarcomatoso y una zona transicional entre sí.1 A nivel de cabeza y cuello presenta muy baja prevalencia, se observa principalmente a nivel de laringe, esófago, piel y cavidad oral, con mayor frecuencia a nivel mandibular, glándulas salivares mayores, lengua y labios, y con mucha menor frecuencia a nivel de maxilar.2
El carcinoma sarcomatoide se mencionó por primera vez en 1935 por Martin y Stewart,2 quienes asociaron su etiología a radiación previa, pues de ocho pacientes, seis fueron sometidos a radioterapia, además del tabaquismo y alcoholismo. Epidemiológicamente presenta mayor frecuencia entre la quinta y la séptima década de la vida, con predilección por el sexo masculino.1 Clínicamente el carcinoma sarcomatoide suele presentarse con síntomas obstructivos como disfagia y disnea, por presencia de pólipos de rápido crecimiento, con diámetros de hasta 15 cm, con superficie normal o ulcerada, normalmente pedículados. 3,4
Por otra parte, de todos los tumores malignos, el melanoma maligno amelanótico (MMA) es el de peor pronóstico y el de más baja frecuencia entre el 1.8 y el 8.1%, aparecen a nivel de cabeza y cuello, siendo las fosas nasales y la cavidad oral los sitios de mayor frecuencia.5 El uso de tabaco, de prótesis mal adaptadas y carcinógenos ambientales ingeridos o inhalados ha sido mencionado como posibles factores de riesgo; no obstante, la evidencia es débil, por lo que en esencia la etiología de los melanomas orales malignos es desconocida.6 En cavidad oral, el MMA se manifiesta como un nódulo ulcerado sin pigmento o como una placa eritematosa de bordes definidos que presenta cambios en su superficie, es por ello que los melanomas amelanóticos se diagnostican erróneamente como carcinomas. En estadios avanzados pueden presentar movilidad dental, dolor y sangrado espontáneo, con presencia o no de ulceración.7
A través de las ayudas diagnósticas, los carcinomas a nivel de los maxilares casi siempre se detectan como anomalías radiolúcidas expansibles, en la radiografía deben diferenciarse de quistes odontogénicos, ameloblastoma, granuloma de células gigantes u otros tumores odontógenos.3 El uso de imágenes de espectros múltiples, las cuales se toman con ondas de espectros diferentes con el objetivo de detallar la distribución del pigmento y la profundidad de las lesiones, son las usadas para los melanomas.8 Asimismo, tanto la biopsia como los estudios de inmunohistoquímica son las ayudas diagnósticas idóneas para obtener un diagnóstico certero.2,6
Histológicamente en el melanoma amelanótico se pueden observar células atípicas distribuidas en nódulos donde la melanina está ausente o es muy escasa, que podría deberse a la falta de enzimas productoras de melanina o de diferenciación de las células tumorales.8 En el carcinoma se puede observar invasión hacia el tejido conectivo subyacente, con posibilidades de que los vasos sanguíneos y linfáticos puedan ser erosionados por las células malignas, además de formación de perlas de queratina, que dependiendo de ésta se clasificaría en bien, moderadamente o poco diferenciado.4
El diagnóstico de ambas entidades es meramente histológico, por lo que es importante llevar a cabo estudios de biopsia e inmunohistoquímica, correlacionando los estudios imagenológicos y el examen clínico.7 A nivel de cavidad oral el rabdomiosarcoma, el tumor neural maligno, histiocitoma fibroso maligno, melanoma maligno fusiforme y la neoplasia maligna de origen linfocítico o de células endoteliales, son los diagnósticos diferenciales asociados a estas enfermedades. La remoción quirúrgica es la que ha presentado mejor respuesta en comparación a la radioterapia; no obstante, la confirmación de dicha situación en la literatura es difícil, pues la mortalidad y la alta tasa de recurrencia, indican que la eliminación local ha de ser eliminada.2
El carcinoma sarcomatoide y el melanoma maligno amelanótico se consideran dos neoplasias de curso agresivo que representa un verdadero problema de salud por su alta tasa de morbimortalidad. Con el fin de llevar a cabo un manejo rápido y apropiado de la enfermedad, el objetivo de este trabajo consiste en describir las características clínicas e histológicas, medios diagnósticos y tratamiento que se debe realizar de manera multidisciplinaria.
Reporte del caso clínico
Paciente masculino de 79 años de edad, que acude al Servicio de Cirugía Oral y Maxilofacial del Hospital Naval de Cartagena, Colombia, por presentar lesión en región de paladar duro y reborde alveolar superior con extensión a región bucal, infraorbitaria y nasal izquierda de crecimiento rápido y progresivo. En el interrogatorio, familiar acude con resultados de patología de otra institución que arroja como resultado: tumor maligno indiferenciado de célula grande, extensamente necrosado. Comentan no tener antecedentes de fumar, ingesta de bebidas alcohólicas ni haber sido sometido previamente a radioterapia.
Al examen físico general paciente se encuentra en condiciones generales estable y con aparente buen estado de salud. Al examen clínico extraoral se evidencia lesión redondeada que se extiende desde región infraorbitaria, malar, geniana, comprometiendo la región bucal izquierda, de aproximadamente 10 cm, de consistencia blanda-pétrea, eritematosa y lisa, con sintomatología dolorosa a la palpación, con presencia de adenopatías ipsilaterales y contralaterales. Al examen intraoral se observa lesión ulcero vegetante con superficie necrótica en su porción posterior con estigmas de sangrado de aproximadamente 5 cm, localizada en región de paladar duro y reborde alveolar, edentulismo total bimaxilar (Figura 1).

Figura 1: lesión tumoral en maxilar superior. se evidencia el espacio que ocupa intrabucalmente, observándose eritematoso con auperficie necrótica ulcerado.
En el estudio por resonancia magnética se observa masa que se extiende anteriormente a nivel y sobre el maxilar izquierdo, hasta la región infraorbitaria, con densidad heterogénea de tejido blando mixto, el músculo masetero izquierdo se observa infiltrado, los límites se presentan irregulares lo que dificulta definir los bordes de la masa (Figura 2). Teniendo en cuenta la anamnesis, características clínicas e imagenológicas se realizó impresión clínica de carcinoma escamocelular.

Figura 2: Resonancia nuclear magnética de paciente. se observa lesión tumoral que ocupa maxilar izquierdo, fosa nasal izquierda, hasta la región infraorbitaria.
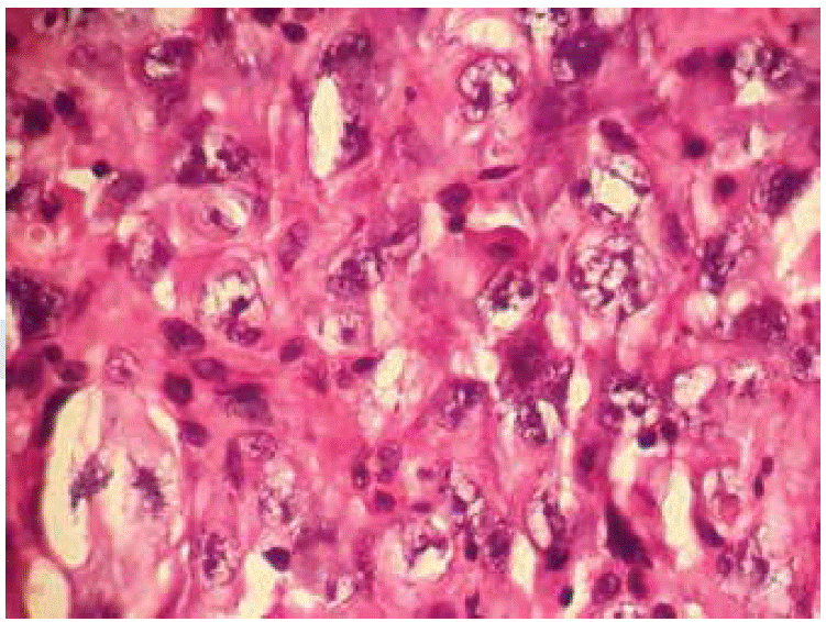
Previa firma de consentimiento informado, se lleva a cabo biopsia incisional de lesiones localizadas a nivel palatino y vestibular, se enviaron dos muestras para estudio histopatológico. Los resultados del examen histopatológico de los cortes mostraron fragmentos de una mucosa oral extensamente comprometida por un tumor maligno de alto grado, representado por células grandes con citoplasma eosinofílico amplio, núcleos pleomórficos, con nucléolo prominente que se disponen en sábanas, con una elevada tasa mitótica. La superficie mucosa está ulcerada y se reconocen zonas de necrosis. Llama la atención que el escaso epitelio de superficie que reviste la muestra luce ulcerado, pero no sin cambios displásicos. No se reconoce pigmento ni diseminación pagetoide en las muestras enviadas (Figuras 3y4). Los hallazgos morfológicos corresponden a un tumor maligno de alto grado histológico, no se reconoce formación de glándulas, cordones, ni queratinización que permita sugerir una diferenciación histológica específica, es por ello que se plantean como diagnósticos diferenciales el carcinoma escamocelular morfología sarcomatoide y melanoma maligno amelanótico, por lo que se sugieren estudios de inmunohistoquímica.

Figura 3: Tumor maligno de alto grado, representado por células grandes con citoplasma eosinofílico amplio, núcleos pleomórficos, con nucléolo prominente que se disponen en sábanas, con una elevada tasa mitótica.
Se lleva a cabo revisión y realización de inmunohistoquímica de bloque que proviene del Hospital Naval de Cartagena, en los cortes se muestran fragmentos de un tumor maligno constituido por células grandes pleomórficas de citoplasma eosinofílico con núcleos irregulares redondos y fusiformes; con nucléolo prominente y abundantes mitosis atípicas, con presencia de extensas áreas de necrosis. Los estudios de inmunohistoquímica muestran los resultados de Vimentina y cam 5.2 fuertemente reactivos en células tumorales, son negativos para K5,6, EMA, P63, CK AE1/AE3, HMB45, Melan y TTF1 (Figuras 5y6). Los hallazgos morfológicos y de inmunohistoquímica son compatibles con carcinoma sarcomatoide del maxilar izquierdo.
El tratamiento realizado fue: maxilectomía total, queilectomía superior, vaciamiento radical modificado tipo III, vaciamiento supraomohioideo derecho, reconstrucción con microcirugía. Todo ello bajo el estricto control de las especialidades de Estomatología, Oncología, Cirugía Maxilofacial, Cirugía de Cabeza y Cuello y Cirugía Microvascular. Al postoperatorio inmediato, las condiciones del paciente fueron estables, en el control de 15 días se observa buen proceso de cicatrización, sin signos de infección, con leve inflamación, se indica cita de control a los dos meses; sin embargo, el paciente no acude a consulta debido a que fallece por presentar alteraciones tanto a nivel cardiovascular como gastrointestinal.
Discusión
Dentro del carcinoma escamocelular se pueden hallar variantes raras, entre ellas se encuentra el carcinoma sarcomatoide de cabeza y cuello, siendo éste de peor pronóstico, por otra parte, puesto que las características racterísticas morfológicas se asocian con otras neoplasias de células fusiformes, que además son de rara prevalencia, el diagnóstico se torna muy complicado.9
En un estudio realizado entre 2005 y 2011 en el que se seleccionaron 23 pacientes con diagnóstico de carcinoma sarcomatoide a nivel de cabeza y cuello, se reportaron dos pacientes con carcinoma sarcomatoide a nivel del seno maxilar, tres en el etmoides, cuatro en cavidad oral, cinco en orofaringe y nueve en laringe. De estos pacientes, seis fueron sometidos a quimiorradioterapia.10
Es importante tener en cuenta que histológicamente las células tumorales se infiltran en la dermis individualmente, en la que puede o no haber conexión con la epidermis subyacente, además de que no existe formación de nidos o cordones, la infiltración adyacente y profunda tanto de la dermis como de la fascia es común. Es difícil desde el punto de vista histológico distinguir el melanoma amelanótico del carcinoma sarcomatoide, por lo que siempre han de realizarse estudios de inmunohistoquímica. La tinción positiva con la vimentina y la queratina son demostradas en los componentes de las células del carcinoma sarcomatoide,2 como se realizó y se evidenció en el presente caso, en el que la inmunohistoquímica corrobora el diagnóstico presuntivo de carcinoma sarcomatoide y descarta el melanoma maligno amelanótico.
Osorio-Velásquez y colaboradores1 refieren que existen diversas hipótesis sobre este tipo de neoplasias, entre ellas que se derivan de un carcinoma escamoso con proliferación mesenquimal reactiva; por un crecimiento maligno que procede de restos de tejidos mesenquimales y epiteliales de la cresta embrionaria; y por diferenciación celular con componente carcinomatoso y sarcomatoso. Lo cual hace de esta neoplasia maligna un desafío para su estudio histopatológico, conllevando un diagnóstico y tratamiento tardío.
Conclusión
La necesidad de aprender más sobre la etiología del carcinoma sarcomatoide y caracterizarlo mejor es imperativo, pues clínicamente, la presentación de las lesiones neoplásicas puede ser similar. Es por ello que se hace necesario realizar estudios de patología e inmunohistoquímica y llevar a cabo todas las pruebas necesarias para obtener un diagnóstico certero, en consecución de un tratamiento adecuado de esta rara entidad, siendo importante también realizar un plan de tratamiento integral y multidisciplinario, para obtener los mejores resultados posibles y mejorar la calidad de vida del paciente.










texto em 





