Introducción
El enterovirus humano D68 (EV-D68) es un miembro de las especies de enterovirus D que pertenece al género Enterovirus y a la familia Picornaviridae. Solo cinco serotipos se han identificado. En 1962 se identificó el rinovirus tipo 87 (HRV87) en pacientes pediátricos hospitalizados con infección respiratoria en California (EE.UU.)1. Recientemente, el HRV87 fue reclasificado como EV-D68, considerando los análisis filogenéticos y de neutralización serológica cruzada2. Las cepas de EV-D68 se clasifican en tres linajes de acuerdo con la secuencia del gen VP11. Las cepas de los linajes 1 y 2 forman grupos en la misma región geográfica, mientras que las cepas del linaje 3 no presentan un patrón geográfico de circulación específico. Dichos linajes, descritos por Meijer, et al.3, corresponden a los grupos B, C y A, respectivamente, que fueron descritos por Tokarz, et al.4 Recientemente se describió el grupo D5. El espectro clínico abarca infecciones respiratorias agudas con diversa gravedad, desde enfermedad respiratoria aguda de vías respiratorias altas hasta neumonía grave, siendo esta condición la más frecuente1.
En el continente americano se han reportado diversos casos de EV-D68: 17 en Canadá en 20146 y 26 en los EE.UU., de 1970 a 20057. De agosto a octubre de 2014 se reportó un incremento del número de casos, con un total de 691 en 46 Estados de la unión americana; la mayoría ocurrió en niños con enfermedad respiratoria grave, produciendo casos fatales8,9. En México se reportó un brote de 24 casos de infección por EV-D68 en niños hospitalizados por neumonía o exacerbación de asma, que correspondió al 19% de estos casos con infección respiratoria aguda, con tos y disnea como síntomas predominantes. Además, la infección se asoció con linfocitopenia y propensión al desarrollo de hipoxemia10. Debido al incremento de los casos de EV-D68 en todo el mundo3,11,12,13,14,15, se le considera como un patógeno reemergente1.
El Hospital Infantil de México Federico Gómez (HIMFG) es un hospital de tercer nivel de atención, de referencia nacional. Recibe alrededor de 7,000 pacientes por año provenientes de todos los Estados del país. Aproximadamente el 80% de los pacientes cursa con algún grado de inmunocompromiso, principalmente debido a diferentes tipos de cáncer.
En el presente artículo se expone el resultado de la vigilancia epidemiológica durante la reemergencia y la alerta para EV-D68 (octubre de 2014 a enero 2016) en el HIMFG, así como la caracterización molecular de la cepa viral. Además, se muestran otros virus respiratorios identificados durante dicho periodo. Los datos derivan del protocolo con registro HIM/2012/031, aprobado por el Comité de Investigación del HIMFG.
Métodos
Vigilancia epidemiológica
Desde enero de 2013 se realiza en el HIMFG la vigilancia sistemática para la detección de virus respiratorios en todos los pacientes con datos de infección respiratoria aguda grave o enfermedad tipo influenza), tanto de origen nosocomial como comunitario. Los criterios de inclusión que se consideran para enfermedad tipo influenza son fiebre o historia de fiebre mayor o igual a 38 °C, tos y cefalea, acompañadas de uno o más de los siguientes signos o síntomas: rinorrea, coriza, artralgias, mialgias, postración, odinofagia, dolor torácico, dolor abdominal, congestión nasal o diarrea. En los niños menores de 5 años, la irritabilidad, en sustitución de la cefalea, se considera como un signo cardinal. En los mayores de 65 años y en los pacientes inmunocomprometidos no se considera la fiebre como un signo cardinal16.
Los criterios de inclusión para la infección respiratoria aguda grave son la dificultad al respirar, el antecedente de fiebre mayor o igual a 38 °C y la tos, con uno o más de los siguientes síntomas: ataque al estado general, dolor torácico o polipnea16. A partir de octubre de 2014, derivado de la alerta de emergencia de EV-D6817, se incluyó en la vigilancia la toma de muestra a pacientes con exacerbación aguda por asma o broncoespasmo. Para este estudio se obtuvieron, de manera prospectiva, los datos demográficos y clínicos de los pacientes con EV-D68, por medio de revisión clínica y datos del expediente.
Detección de virus respiratorios por microarreglos de baja densidad
El diagnóstico de los virus respiratorios se realizó mediante microarreglos de baja densidad, utilizando la plataforma CLART® PneumoVir (GENOMICA), siguiendo las instrucciones del fabricante para la detección de los siguientes virus: adenovirus, bocavirus, coronavirus, enterovirus (echovirus), influenza A (subtipos H3N2 humano, H1N1 humano y H1N1/2009), B y C, metaneumovirus (subtipos A y B), parainfluenza 1, 2, 3 y 4 (subtipos A y B), rinovirus y virus sincicial respiratorio (VSR) tipos A y B.
Identificación específica y obtención del genoma del EV-D68
Debido a que la infección por EV puede confirmarse mediante cultivo celular o reacción en cadena de la polimerasa (PCR) específica18, se extrajo el RNA viral de las muestras positivas utilizando el QIAamp Viral RNA Mini Kit (Qiagen), siguiendo las recomendaciones del fabricante. La diferenciación de enterovirus/rinovirus mediante PCR en tiempo real (RT-PCR) semianidada con los iniciadores EV1, EV2 y EV3, y la posterior identificación específica de EV-D68 mediante RT-PCR, se realizaron siguiendo los protocolos previamente descritos10. Una vez identificadas las muestras positivas para EV-D68, se seleccionó la muestra 2351 obtenida del caso 3, debido a que presentó un valor de umbral de ciclo (CT) de 26.5 (menor que el de las muestras de los casos 1 y 2) en la prueba diagnóstica de RT-PCR en tiempo real. Esta cifra indica un valor de carga viral adecuado para la amplificación de los fragmentos genómicos mediante la técnica de secuenciación de productos de amplificación, utilizando secuenciación masiva en paralelo.
Para este fin, se diseñaron iniciadores de PCR para la cobertura total del genoma mediante tres reacciones de RT-PCR semianidada (Tabla 1), utilizando el programa Primer 3 Plus19 y como blanco la secuencia genómica de la cepa US/MO/14-18947, con número de acceso KM851225 del GenBank. Se utilizó el estuche SuperScript® III Platinum® One-Step qRT-PCR (Invitrogen), con las concentraciones de reactivos recomendadas por el fabricante y los iniciadores a una concentración de 30 pmol por reacción. Las condiciones, tanto para la primera como para la segunda ronda de amplificación, fueron 30 minutos a 50 °C para la retrotranscripción, 2 minutos a 95 °C para la activación de la Taq polimerasa, seguida de 40 ciclos de 15 segundos a 95 °C para la desnaturalización, 30 segundos a 53 °C para el alineamiento de los iniciadores y 4 minutos a 72 °C para la extensión, además de un paso de extensión final a 72 °C por 5 minutos. Una vez generados los productos de amplificación, se realizó una mezcla de ellos a una concentración final de 2 ng/µl y se generaron las librerías para la secuenciación utilizando el estuche Nextera XT, de acuerdo con las instrucciones del fabricante. Se realizó la secuenciación en un equipo MiSeq® (Illumina) utilizando 150 ciclos. Al término de la secuenciación se realizó el ensamblaje por mapeo de la secuencia con el software Newbler v. 2.6, utilizando la secuencia de HEVD68ref-NY329 (número de acceso KP745767.1) como referencia. El promedio de la profundidad obtenida fue de 1300X.
Tabla 1 Iniciadores utilizados en este estudio
| Fragmento | Iniciador | Sentido | Secuencia | Posición* | Protocolo |
|---|---|---|---|---|---|
| 1 | EVD68FwdExt1 | Sentido | AAA ACA GCC TTG GGG TTG | 1-18 | RT-PCR/PCR semianidada |
| EVD68RevExt1 | Antisentido | TCT TAA CTG TAC AAA GGA YCT GGT G | 2700-2676 | RT-PCR | |
| EVD68RevSN1 | Antisentido | TTT TCA CRG TGT CAG TTG CT | 2428-2409 | PCR semianidada | |
| 2 | EVD68FwdExt2 | Sentido | AGT GGA TCC CAC TAC AGG ATG | 2158-2178 | RT-PCR/PCR semianidada |
| EVD68RevExt2 | Antisentido | TGA TAC AAA GGT GGC AAT GG | 5226-5207 | RT-PCR | |
| EVD68RevSN2 | Antisentido | GGG CAG CAT CTT TTR TAA TTG G | 4868-4847 | PCR semianidada | |
| 3 | EVD68FwdExt3 | Sentido | AAG GCT TTG TCA CGC AGA TT | 4723-4742 | RT-PCR/PCR semianidada |
| EVD68RevExt3 | Antisentido | GAA AGT AAC TAY AAC TTG GGT TTC A | 7299-7275 | RT-PCR | |
| EVD68RevSN3 | Antisentido | TCG TCT AAG ACT AGA GTA TGCA GGT | 7242-7218 | PCR semianidada |
*Con respecto a la secuencia KM851225.1.
Análisis filogenético
Se realizó el análisis de 98 genomas del EV-D68 disponibles en la base de datos GenBank y obtenidos de aislados de diferentes países donde han ocurrido brotes, utilizando el software MEGA620, con el método de máxima verosimilitud basado en el modelo de sustitución de Tamura-Nei y distribución gamma.
Resultados
En el periodo de octubre de 2014 a enero de 2016 se tomaron 1,705 muestras nasofaríngeas, que tuvieron un porcentaje de positividad para cualquier virus respiratorio del 49.85% (n = 850) (Tabla 2), procedentes de pacientes con un rango intercuartil de edad de 2 a 8 años y una mediana de 4 años; y 360 (42.4%) correspondieron al sexo femenino. El rinovirus fue el virus más prevalente, con el 28.1% (239 casos), seguido del VSR con el 23.6% (201 casos) y de coinfecciones en el 17.3% (147 casos). El porcentaje de las muestras positivas para EV fue del 1.5% (n = 13). De las muestras positivas para EV, el 53.8% (n = 7) fueron casos en coinfección: dos con rinovirus y dos con tres virus identificados. La edad de los pacientes infectados con EV fue de 2 a 7 años (media de 3.1 años y mediana de 5 años). Cuatro pacientes (30.7%) correspondieron al sexo femenino. Presentaban la siguiente comorbilidad: uno con enfermedad pulmonar crónica (7.7%), dos con enfermedad neoplásica (15.4%), tres con asma/rinitis alérgica (23%), tres con neumonías de repetición (23%), tres con otras patologías (23%) y un paciente sano (7.7%).
Tabla 2 Virus detectados en los pacientes analizados
| Virus | 850 casos n (%) |
|---|---|
| Adenovirus | 23 (2.7) |
| Bocavirus | 50 (5.8) |
| Coronavirus | 1 (0.1) |
| Enterovirus | 6 (7 en coinfección) (0.7) |
| Influenza | 53 (6.2) |
| Metaneumovirus | 25 (2.9) |
| Parainfluenza | 105 (12.4) |
| Rinovirus | 239 (28.1) |
| Virus sincitial respiratorio | 201 (23.6) |
| Coinfecciones* | 147 (17.3) |
*Excepto con enterovirus.
Se detectaron tres casos con PCR positiva para EV-D68 (4.3% de los casos positivos para EV), los cuales no presentaron afectación neurológica. A continuación, se describen los casos.
Caso 1
Varón de 1 año y 9 meses de edad con desnutrición aguda, antecedente de sibilante temprano y dos hospitalizaciones previas por neumonía adquirida en la comunidad. Madre asmática. Inmunizaciones acordes con el esquema nacional de vacunación, excepto la vacuna contra influenza estacional. Ingresó a urgencias por irritabilidad y dificultad respiratoria, sin fiebre documentada. En la exploración física presentó broncoespasmo, saturación de O2 del 76% y acidosis respiratoria descompensada; requirió ventilación mecánica por 72 horas. Los resultados de sus exámenes de laboratorio fueron hemoglobina (Hb) 12.7 g/dl, hematocrito (Hto) 38%, leucocitos 8,100/µl, neutrófilos 80.2%, linfocitos 13.6% y plaquetas 266,000/µl. El paciente recibió tratamiento antibiótico con cefotaxima, dicloxacilina y claritromicina por neumonía grave. El día del ingreso se realizó hisopado nasofaríngeo, en el que se identificó EV. Posteriormente se confirmó el EV-D68 mediante secuenciación parcial y RT-PCR.
El aspirado endotraqueal mostró desarrollo de biota habitual y hemocultivos sin desarrollo bacteriano. En la radiografía de tórax se observó infiltrado intersticial difuso bilateral (Fig. 1). Al sexto día de internamiento se dio de alta por mejoría.
Caso 2
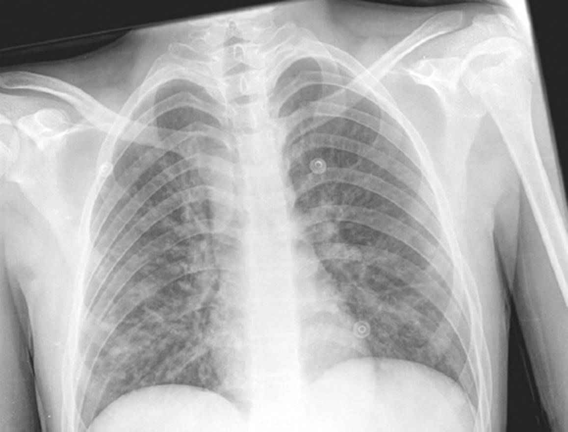
Varón de 1 año 7 meses de edad, con antecedente de neumonía grave adquirida en la comunidad y taquicardia supraventricular a los 9 meses de edad. Fue valorado por el servicio de cardiología, sin requerir manejo farmacológico. Acudió a urgencias por presentar rinorrea y tos, sin fiebre documentada. A la exploración física se encontró dificultad respiratoria progresiva, saturación de O2 del 67% e hipotensión (que requirió maniobras de reanimación avanzada); se instauró manejo hídrico y ventilación mecánica. Los resultados de los exámenes de laboratorio fueron los siguientes: Hb 9.6 g/dl, Hto 29.4%, leucocitos 17,300/µl, neutrófilos 80%, linfocitos 16% y plaquetas 204,000/µl. La gasometría arterial resultó con acidosis metabólica (lactato 5.5 mmol/l). Recibió tratamiento antibiótico con ampicilina-sulbactam. El día del ingreso se realizó hisopado nasofaríngeo, en el que se identificó EV. Posteriormente se confirmó el EV-D68 mediante secuenciación parcial y RT-PCR. No se identificó coinfección con bacterias (mediante hemocultivos) y no se hallaron otros virus respiratorios. La radiografía de tórax mostró datos de atrapamiento aéreo, horizontalización de los arcos costales, abatimiento de los hemidiafragmas y aumento de trama broncopulmonar (Fig. 2). El tiempo de estancia hospitalaria fue de 7 días.
Caso 3
Varón de 15 años de edad (cepa 2351) con diagnóstico de linfoma de Hodgkin variedad esclerosis nodular en estadio IIB primario cervical-mediastinal con recaída temprana supradiafragmática e infradiafragmática en el segundo ciclo posrecaída. Recibió un primer ciclo con ifosfamida, vinblastina, citarabina y brentuximab; el segundo ciclo, con vinorelbina, ifosfamida y citarabina. Acudió después por tos y dificultad respiratoria de un día de evolución. En la exploración física se observaron adenopatías submandibulares bilaterales, móviles y no dolorosas, tórax con movimientos de amplexión y amplexación disminuidos, tiros intercostales bajos, retracción xifoidea, campos pulmonares hipoventilados, sibilancias basales y estertores. Su temperatura era de 39 °C, la frecuencia cardiaca de 159 latidos/min, la frecuencia respiratoria de 19/min, la saturación del 88%, la presión arterial de 102/68 mmHg, y los pulsos eran débiles. Los resultados de sus exámenes de laboratorio fueron: Hb 14.3 g/dl, Hto 42%, leucocitos 3,500/µl, neutrófilos 51%, neutrófilos totales 1,785, linfocitos 20%, monocitos 23%, eosinófilos 5%, basófilos 1%, plaquetas 210,000/µl, proteína C reactiva 2.48 mg/dl y procalcitonina < 0.10 ng/ml. Acidosis respiratoria compensada con lactato de 1.1 mmol/l. La radiografía de tórax mostró infiltrado con patrón mixto, difuso bilateral, sin evidencia de consolidación (Fig. 3). A su ingreso se le administraron dos cargas con cristaloides a dosis de 20 ml/kg. El paciente recibió tratamiento con cefepima (7 días) y amikacina (3 días), además de metilprednisolona intravenosa y micronebulizaciones con salbutamol y bromuro de ipratropio. Requirió presión positiva continua en las vías respiratorias (17 horas); posteriormente, mascarilla facial con reservorio a razón de 10 l/min y después aporte de O2 con puntas nasales a 1 l/min. Esto permitió lograr una saturación mayor del 90%. El tiempo de estancia hospitalaria fue de 9 días. El diagnóstico fue de neumonía adquirida en la comunidad por EV. El paciente fue dado de alta con puntas nasales a 1 l/min. La secuencia del genoma del EV-D68 obtenido fue incluida en la base de datos GenBank bajo el número KT825142.
Discusión
El presente estudio constituye el segundo reporte sobre casos infantiles de infección respiratoria aguda causada por EV-D68, en 2014, en México. El Instituto Nacional de Enfermedades Respiratorias (INER) reportó los primeros 24 casos en población pediátrica de un centro de enfermedades respiratorias, con una media de edad de 5.2 años y un 54.2% de afectación en el sexo femenino10.
La media de edad de los casos presentes fue de 6.1 años, con exclusiva afectación de pacientes de sexo masculino. La media de edad en ambos centros concuerda.
En este reporte, los pacientes presentaron un cuadro inicial de tos, rinorrea y disnea, mismo que coincide con lo reportado por el INER10. Los pacientes descritos fueron recibidos en el servicio de urgencias con deterioro respiratorio progresivo, hipoxemia y broncoespasmo. En España, se reportó el 58% de los casos con infección respiratoria aguda causada por EV con hipoxemia13.
Los tres pacientes requirieron ingreso a la unidad de cuidados intensivos. Los lactantes no presentaron fiebre, pero en el paciente adolescente sí se documentó fiebre de alto grado. En el INER se reportó fiebre en el 67% de los casos10; en Kansas (EE.UU.), en el 26%, y en Chicago (EE.UU.), en el 18%21. Todos los pacientes del presente reporte requirieron ventilación mecánica, a diferencia de lo publicado por Vázquez-Pérez, et al.10, quienes reportaron que solo el 25% (n = 6) lo ameritó. Los pacientes no presentaron afectación neurológica, lo cual concuerda con los casos previamente reportados en México10 y España13, a diferencia de los de EE.UU., donde se ha encontrado una relación de EV-D68 con parálisis flácida, aunque es una manifestación rara22. Uno de los casos de este reporte presentó sibilancias; en el INER se reportaron en el 75%10; en Kansas, en el 21%21; y en España se reportaron sibilancias recurrentes en el 83%13. De manera relevante, uno de los casos reportados en este trabajo se identificó como sibilante temprano, antecedente importante en los casos de infección por EV-D689. En los EE.UU. se reportó una mayor relación con asma, del 68% y el 73% en Kansas y Chicago21, respectivamente, a diferencia de lo reportado en México, que fue del 37.5%10. En cuanto a los hallazgos radiográficos en este estudio, principalmente se encontraron infiltrado intersticial y datos de atrapamiento aéreo; en Kansas se reportó infiltrado parahiliar y atelectasias21, y en el INER se reportó un 62.5% de los casos con opacidades (neumonía) (10.
Aunque se llevó a cabo una vigilancia epidemiológica en pacientes hospitalizados para búsqueda de casos de EV-D68 en un hospital de referencia, solo se identificaron tres. El presente reporte no concuerda con lo referido previamente en México, con un reporte de 24 casos en un solo centro en el mismo periodo. Es posible que el menor número de casos identificados en este trabajo, en comparación con el reporte del INER, se deba a que los pacientes que se atienden en el HIMFG no son predominantemente asmáticos o con antecedente de broncoespasmo, sino más bien pacientes inmunocomprometidos y con comorbilidad de otro tipo.
El análisis filogenético mostró que la cepa MEX/DF/2014-InDRE2351 pertenece al grupo B de clasificación del EV-D68, que incluye la mayoría de las secuencias obtenidas a partir de casos del brote de los EE.UU. en 2014, y se ha propuesto que deriva de la cepa CA/AFP/11-17675 (Fig. 4). La relación evolutiva más cercana fue establecida con la cepa EV-D68/Homo sapiens/EE.UU./SSENT29/2014, identificada en un paciente pediátrico (mujer, de 5 años de edad) en Massachusetts (EE.UU.), en septiembre de 2014. La secuencia del genoma del EV-D68 obtenido del caso 3 fue incluida en la base de datos GenBank con el número de acceso KT825142.

Figura 4 Árbol filogenético basado en genomas completos de EV-D68. El análisis incluyó las cepas de casos en México, las secuencias obtenidas a partir del brote de los EE.UU. en 2014 y cepas representativas de los subtipos A, B, C y la recién descrita D. Las secuencias están marcadas con el número de acceso GenBank y la designación de la cepa.
En 2014 se estableció un riesgo moderado de transmisión del EV-D68 basado en que la circulación del virus en la población es baja, de acuerdo con los estudios realizados en la Unión Europea21. Sin embargo, se debe continuar la vigilancia activa para detectar nuevos casos. Por tal motivo, se recomienda el tamizaje para la búsqueda de EV-D68 en los casos negativos para otros virus respiratorios, en aquellos con reporte de EV o rinovirus y en los casos graves de infección respiratoria aguda21. Aunque en el HIMFG la vigilancia epidemiológica con toma de hisopado nasofaríngeo en casos con infección respiratoria aguda se realiza desde hace varios años, y se agregó el cuadro de broncoespasmo debido a la alerta sanitaria, no se encontraron más casos que los descritos ni transmisión secundaria. Las medidas aplicadas que pudieron ayudar a evitar la transmisión fueron la estricta aplicación de medidas de aislamiento por contacto y gotas en todo paciente en quien se diagnosticara EV, además de la higiene de manos, la cual, durante el periodo de estudio, se mantuvo en el 72-80%23.
Este estudio sugiere que es posible que el EV-D68 no afecte de manera frecuente a pacientes pediátricos con comorbilidad importante o inmunocompromiso, como son los que se reciben en este centro. En contraste, los pacientes con patología pulmonar previa, como sugieren los Centros de Control de Enfermedades de Europa21 y el reporte mexicano de Vázquez-Pérez10, pueden afectarse de manera más frecuente. En el estudio de vigilancia realizado en Europa, de julio a diciembre de 2014 y con la participación de 13 países, se reportó un 4.1% de pacientes con inmunocompromiso de un total de 196 niños menores de 17 años con información documentada. En el grupo de menores de 2 años (con información disponible en el 76% de los casos) se reportaron problemas respiratorios crónicos/recurrentes en el 21.9%, otra comorbilidad en el 11%, inmunocompromiso en el 3.3% y ausencia de comorbilidad identificada en el 63.7%24.










nova página do texto(beta)





