Introducción
La peritonitis esclerosante encapsulante es una entidad muy infrecuente que se caracteriza por la formación de una membrana fibrocolagenosa difusa que afecta al peritoneo y a su vez compromete al intestino. Se presenta usualmente como cuadros de oclusión intestinal intermitente, por lo que el diagnóstico precoz es poco frecuente.1 La patogenia de esta entidad no es clara, sin embargo, puede ser primaria (idiopática) o secundaria y es el resultado de irritación e inflamación crónica.2 Esta entidad se puede sospechar con los antecedentes, clínica y estudios de gabinete, no obstante, el diagnóstico definitivo se realiza durante la cirugía.3 El manejo puede ser conservador o quirúrgico dependiendo de la severidad de la sintomatología. Se presenta un caso de un paciente que acude por cuadro de oclusión intestinal, con antecedente de patología inflamatoria sistémica y trasplante hepático, se somete a cirugía por persistencia del cuadr o y se evidencia la presencia de una membrana fibrótica grisácea que recubre al intestino.
Presentación del caso
Paciente masculino de 51 años con antecedente de colitis ulcerosa crónica idiopática desde 2015 en tratamiento con mesalazina, anteriormente con infliximab; colangitis esclerosante primaria desde 2017 manejada inicialmente con ácido ursodesoxicólico, propranolol, furosemida y espironolactona, complicándose con degeneración maligna manejada con trasplante hepático en 2019, actualmente en manejo inmunosupresor a base de everolimus, azatioprina y prednisona.
Acude a urgencias por presentar cuadro de dolor abdominal de 12 horas de evolución, súbito, en epigastrio, de tipo cólico, incapacitante, sin irradiaciones, acompañado de náuseas y vómito gastroalimentario en múltiples ocasiones, así como incapacidad para canalizar gases, con los siguientes signos vitales: tensión arterial (TA) 110/60 mmHg, frecuencia cardiaca (FC) 75 latidos por minuto, frecuencia respiratoria (FR) 18 respiraciones por minuto, temperatura 36.6 oC. A la exploración física se encuentra paciente con facies álgica, regular estado de hidratación y coloración mucotegumentaria, así como distensión abdominal con dolor a la palpación en epigastrio, peristaltismo audible pero disminuido. Se solicitan paraclínicos reportando hemoglobina 9 g/dl, leucocitos 3.1 mm3, plaquetas 416 mm3, glucosa 179 mg/dl, creatinina 0.9 mg/dl, sodio 137 mEq/l, potasio 4.1 mEq/l, cloro 100 mEq/l, alanino aminotransferasa (ALT) 41 IU/l, aspartato aminotransferasa (AST) 9 IU/l, deshidrogenasa láctica (LDH, por sus siglas en inglés) 181 IU/l, bilirrubina total (BT) 0.40 mg/dl, adenosín trifosfato (TP) 14 seg, índice internacional normalizado (INR, por sus siglas en inglés) 1.01, tiempo de tromboplastina parcial activado (TTPa) 28 seg, así como radiografía de abdomen evidenciando niveles hidroaéreos, dilatación de asas y ausencia de gas intestinal distal.
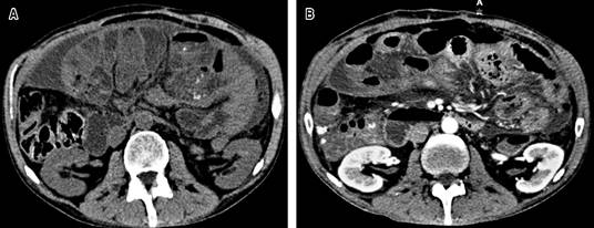
Se ingresa a hospitalización y por sospecha de oclusión secundario a adherencias se decide manejo conservador a base de reposo intestinal, sonda nasogástrica y fluidoterapia con cristaloide, sin embargo, por persistencia de la sintomatología y aumento del dolor abdominal se solicita tomografía abdominopélvica simple reportando distensión de asas de intestino delgado, con punto máximo de dilatación en íleon terminal, así como edema de pared y estriaciones concéntricas por probable intususcepción (Figura 1).

Figura 1: Fotos de tomografía computarizada. A) Tomografía simple que informa ascitis en compartimentos y líquido libre interasa. B) Tomografía con contraste intravenoso que evidencia sobredistensión de asas de intestino delgado, contenido predominantemente líquido y alcanzando máxima dilatación hacia íleon terminal, donde se observa engrosamiento de pared y estriaciones concéntricas.
Por los hallazgos tomográficos y persistencia de la sintomatología se opta por manejo quirúrgico, realizando laparotomía exploradora con incisión en línea media supra e infraumbilical, teniendo como hallazgos cápsula peritoneal fibrótica de aproximadamente 20 × 30 cm con asas de delgado en su interior, múltiples adherencias interasa y asa-pared Mazuji II-III, con líquido de reacción peritoneal (Figura 2).

Figura 2: Fotos quirúrgicas de laparotomía exploradora. A) Aspecto inicial donde se aprecia la cápsula o cocoon. B) La cápsula ha sido incidida y se está realizando su resección. C) La cápsula ha sido extraída y liberada del peritoneo, liberando los intestinos.
Se realiza resección completa de cápsula peritoneal más adherenciólisis más plastía umbilical, sin necesidad de colocación de drenajes y sin complicaciones transquirúrgicas. Durante el postquirúrgico se dio manejo en conjunto con el Servicio de Gastroenterología, se mantuvo en ayuno durante 48 horas y se reiniciaron los medicamentos inmunosupresores sin eventualidades. Se inicia la vía oral, sin embargo, con mala tolerancia, por lo que se indica nuevamente reposo intestinal y se coloca sonda Levin. Se solicita tomografía de control reportando distensión de asas y discreto edema interasa, por lo que se decide continuar con manejo conservador a base de fluidoterapia, deambulación y sonda de Levin.
A las 24 horas se realiza tránsito intestinal con adecuado paso del medio de contraste, se retira la sonda Levin y se reinicia la vía oral con adecuada tolerancia. Por adecuada evolución se decide su egreso a domicilio en su décimo día de estancia intrahospitalaria con antibiótico y analgésico vía oral. Se da seguimiento en cita de control a los 15 y 30 días con adecuada evolución sin evidencia de complicaciones ni recurrencia.
La pieza fue enviada a patología, cuyo diagnóstico histopatológico reportó pared fibroadiposa con infiltrado inflamatorio crónico y agudo, abscedado, con datos de congestión, edema y ascitis caracterizada por células mesoteliales aisladas sobre fondo proteináceo. Sin evidencia de malignidad.
Discusión
La peritonitis esclerosante encapsulante o capullo abdominal es una entidad muy infrecuente que se caracteriza por la formación de una membrana fibrocolagenosa difusa del peritoneo, que afecta de manera parcial (tipo I) o total (tipo II) al intestino delgado y puede comprometer estructuras adyacentes (tipo III).4
Ésta se clasifica como primaria o secundaria, siendo la primera idiopática y la segunda asociada a eventos proinflamatorios principalmente asociada con diálisis peritoneal, y en menor medida uso de fármacos como betabloqueadores o quimioterapéuticos, cirugía abdominal previa, enfermedades autoinmunes, etcétera. La entidad más reconocida y con mayor bibliografía es la secundaria a diálisis peritoneal, la cual se caracteriza histopatológicamente por desmesotelización peritoneal, engrosamiento intersticial compuesto por fibroblastos y depósitos de colágeno en la membrana peritoneal, así como infiltrado de mononucleares y polimorfonucleares.2,5
Clínicamente se caracteriza por episodios de oclusión intestinal parcial e intermitente como consecuencia del retorcimiento y compresión del intestino dentro de la membrana fibrosa que lo recubre. En estados crónicos puede presentarse como anorexia y pérdida de peso.1,5 El diagnóstico se sospecha con historia clínica, estudios de gabinete y se confirma durante la cirugía. El estudio de imagen de elección es la tomografía computarizada contrastada, siendo el hallazgo radiológico típico la presencia de un conglomerado de asas de delgado recubiertas por un peritoneo envolvente y engrosado (cocoon sign). Otros hallazgos tomográficos sugestivos son engrosamiento peritoneal, refuerzo peritoneal, calcificaciones y colección líquida loculada.3,6
El tratamiento depende de la severidad del cuadro. Desde el manejo de forma conservadora con ayuno, descompresión gastrointestinal con sonda nasogástrica y soporte nutricional, donde tras la resolución del cuadro o la poca respuesta al manejo conservador se ha recomendado el uso de fármacos como esteroides, tamoxifeno o colchicina para inhibir la síntesis y maduración del colágeno y para disminuir la respuesta inflamatoria; hasta el manejo quirúrgico siendo lo ideal la escisión total de la membrana fibrosa más adherenciólisis, ya que esto reduce la tasa de recurrencias. Las principales complicaciones relacionadas al procedimiento quirúrgico son oclusión intestinal, infección intraabdominal, fístulas enterales y enterostomía.4,6,7
Como se mencionó en el caso clínico, la primera sospecha respecto a una semiología de este tipo es la oclusión intestinal, motivo por el cual se decidió el manejo conservador, sin embargo, por persistencia de la sintomatología y aumento del dolor abdominal se solicitó lo indicado por la literatura, una tomografía abdominopélvica simple, la cual nos orientó al diagnóstico debido al hallazgo de imagen radiológica característica “signo de cocoon”, dando pie al tratamiento quirúrgico en el que se realizó resección completa de cápsula peritoneal, posterior a esto, el diagnóstico histopatológico confirma lo ya descrito por varios autores respecto a la histología y composición de la cápsula.
Conclusiones
La peritonitis esclerosante encapsulante o capullo abdominal es una causa infrecuente de oclusión intestinal que se caracteriza por la formación de una membrana fibrocolagenosa difusa del peritoneo. El estudio de imagen de elección es la tomografía computarizada contrastada, siendo el hallazgo radiológico típico la presencia de un conglomerado de asas de delgado recubiertas por un peritoneo envolvente y engrosado (cocoon sign).
Con respecto a este caso, es importante su difusión, ya que la literatura disponible sobre dicha entidad está principalmente relacionada a diálisis peritoneal, mientras que la disponibilidad de información para otras etiologías secundarias es muy limitada y el conocimiento de esta causa como diagnóstico diferencial de la oclusión intestinal es de suma importancia para su adecuado manejo y tratamiento. En este paciente en particular se decidió manejo quirúrgico debido a la ausencia de mejoría al manejo conservador y por los hallazgos tomográficos. El diagnóstico se corroboró al evidenciar una membrana engrosada grisácea que recubre la totalidad del intestino delgado y se complementa con el reporte histopatológico que evidencia pared fibrosa con infiltrado inflamatorio agudo y crónico.










nova página do texto(beta)


