Introducción
La apendicitis aguda es la urgencia abdominal más frecuente, siendo la apendicectomía la cirugía no electiva más común realizada por los cirujanos generales, con más de 250 mil casos por año sólo en Estados Unidos. El proceso inflamatorio se inicia con una obstrucción del orificio apendicular, seguido de un aumento de la presión intraluminal y disminución del drenaje linfático (fase catarral), de forma posterior se presenta una obstrucción venosa (fase flemonosa) que puede avanzar e involucrar un compromiso arterial con isquemia (fase necrótica), hasta culminar con la perforación del apéndice y provocar una peritonitis localizada o generalizada.1 La tasa de mortalidad de la apendicitis aguda es baja; sin embargo, aunque existen complicaciones posoperatorias comunes, no debemos pasar por alto aquellas menos frecuentes, como la apendicitis del muñón.
La apendicitis del muñón (AM) se define como la inflamación del remanente del apéndice después de una apendicectomía incompleta, pudiendo dar lugar a inflamación local, formación de abscesos, peritonitis u obstrucción intestinal.2
Presentación del caso
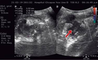
Masculino de nueve años con antecedente de haber sido intervenido quirúrgicamente por apendicitis aguda dos años y medio previos a su padecimiento actual, el cual inicia 10 días antes de su ingreso y se caracteriza por dolor abdominal generalizado y vómitos en dos ocasiones de características gastroalimentarias, manejado por facultativo con analgésicos no especificados y sin mejoría. Continúa con dolor abdominal de predominio en el cuadrante inferior derecho acompañado de náuseas y vómitos. Motivo por el cual acude al Servicio de Urgencias del hospital, en donde se encuentra al paciente con dolor en cuadrante inferior derecho, posición en gatillo y con datos de irritación peritoneal. Se solicitan laboratoriales, reportándose hemoglobina de 13.0 mg/dl, hematocrito de 38.2%, 15.15 × 109, 76.4% neutrófilos. La placa simple de abdomen muestra una imagen de asa fija en fosa iliaca derecha (Figura 1). Se solicita ultrasonido abdominal, el cual reporta una colección de 5 × 4 cm (Figura 2), por lo que se interconsulta al Servicio de Cirugía General ya que no se contaba con cirujano pediatra en el turno; 24 horas después de su ingreso es valorado por cirugía, encontrando al paciente con discreta resistencia voluntaria en cuadrante inferior derecho e irritación peritoneal. Se solicita una resonancia magnética abdominal, para determinar la probable etiología de la colección, la cual reporta una colección amorfa en fosa iliaca derecha, de bordes irregulares y bien definidos, con medidas de 5.1 × 4.3 × 4.9 cm en sus diámetros longitudinal y anteroposterior transverso, respectivamente, compatibles con absceso en fosa iliaca derecha.

Figura 1: Placa simple de abdomen en la que se aprecia una rectificación antálgica de la columna. La flecha indica un asa fija en fosa iliaca derecha.

Figura 2: Estudio ultrasonográfico que muestra una colección líquida a nivel de cuadrante inferior derecho. La flecha señala la colección.
Es sometido a laparotomía exploradora, efectuándose incisión media infraumbilical, encontrando como hallazgos un absceso localizado de alrededor de 50 cm3 en fosa iliaca derecha; asimismo un muñón apendicular elongado, de aproximadamente 8 cm, perforado en la punta, de base friable y un fecalito libre en cavidad. Se efectúa resección del remanente apendicular, secado de la cavidad y colocación de drenaje. En el posoperatorio se le administra antibioticoterapia (ceftriaxona y metronidazol), dejándose en ayuno posoperatorio 48 horas para, de forma posterior, evolucionar a dieta de manera progresiva; cuidados de la herida quirúrgica y vigilancia del gasto de Penrose, el cual se retira al séptimo día. Egresa 10 días después de la intervención con cita a consulta externa.
Discusión
La apendicitis del muñón es una rara complicación que se presenta después de una apendicectomía y es causada por un proceso obstructivo e inflamatorio de la porción remanente del apéndice. Existen muchos factores que pueden influir en la presentación de una apendicitis del muñón: la falta de identificación de la base del apéndice, un apéndice subseroso o un apéndice retrocecal, ya sea de manera parcial o total y procesos inflamatorios muy severos que dificultan una buena disección.3
Aunque la verdadera incidencia de la apendicitis del muñón es desconocida, y difícil de establecer,4 algunos autores calculan uno por cada 50,000 casos.5 Distintas publicaciones han propuesto datos muy variados en cuanto a la incidencia: Dikicier,6 con base en distintas publicaciones, establece una frecuencia que va de entre 0.06 a 0.15%. En contraste, Burbano y asociados7 consideran que la incidencia no es tan rara como se calcula, ya que en tres distintas publicaciones encontradas la incidencia fue de 1.37, 0.62 y 1.27 por cada 1,000 apendicectomías realizadas. La AM fue descrita por primera vez por Rose en 1945. Aunque puede ocurrir en cualquier grupo de edad, con un promedio de edad de 35.8 ± 17 años y un rango de entre 2 y 75 años.8 Con frecuencia suele presentarse por arriba de los 50 años, con un intervalo, después de la apendicectomía original, que va desde cuatro días hasta varias décadas.
A pesar de que los signos y síntomas de la apendicitis del muñón no difieren de los de una apendicitis aguda, su diagnóstico a priori, no resulta sencillo tomando en cuenta el antecedente de apendicectomía previa y no en pocas ocasiones se realiza en el momento de la intervención quirúrgica, por lo que es frecuente un retraso en el diagnóstico y un incremento en la probabilidad de complicaciones.6,8,9 La frecuencia de la perforación es muy variada según la literatura, oscilando entre 16 y 30%, sin embargo, está muy relacionada con el retraso en el diagnóstico en los extremos de la vida o en presentaciones atípicas del cuadro doloroso.
Por otro lado, el principal factor para una remoción incompleta del apéndice es la falta de una buena visualización de su base y su origen en el ciego, ya sea siguiendo el trayecto de la taenia coli hasta su base o localizando la rama de la arteria apendicular que indica la base del apéndice. Esta dificultad también puede deberse a un severo proceso inflamatorio o una posición retrocecal o subserosa del apéndice.4,10
Los estudios de imagen, como el ultrasonido y la tomografía, suelen ser de gran ayuda para orientar al diagnóstico. El ultrasonido tiene una sensibilidad y especificidad de 44 y 93% respectivamente y la tomografía computarizada una sensibilidad y especificidad de 97 y 94%, respectivamente.5,11
El estudio de ultrasonido podría detectar un crecimiento del tamaño del muñón, evidenciar la presencia de líquido libre en fosa iliaca derecha y edema en el ciego;12,13 mientras que la tomografía computarizada puede mostrar cambios inflamatorios en la región pericecal, engrosamiento de la pared del ciego (signo de la punta de flecha), presencia de líquido en la zona pericecal y paracólica e incluso demostrar la presencia de una estructura tubular relacionada con el ciego o hasta el apendicolito.14
La incidencia y prevalencia de la apendicitis del muñón se ha ido incrementando en los últimos años y se presenta tanto en procedimientos abiertos, como en laparoscópicos.9 La mayoría de los casos reportados en la literatura, asocian más la apendicitis del muñón en los procedimientos abiertos en 55 a 66% de los casos reportados.5,10 Se ha encontrado que la apendicitis del muñón es más frecuente en pacientes con antecedente de apendicetomía previa abierta, lo que podría explicarse por diferentes razones: sea porque la apendicectomía abierta es más frecuente que la laparoscópica, porque no todos los casos de apendicitis del muñón son diagnosticados o reportados o porque la mayoría de los procedimientos endoscópicos son realizados por cirujanos con mayor experiencia y suelen ser más cuidadosos, entre otros factores.5
Independientemente de que se realice una apendicectomía abierta o laparoscópica, se recomienda una óptima visualización de la región apendicular, ubicando el apéndice a las 10 del reloj, la tenia libre a las 3 y el íleon terminal a las 6, además de una completa exposición del mesoapéndice y efectuar la ligadura de la rama accesoria de la arteria apendicular (arteria de Seshachalam).15
El retraso en el diagnóstico va de la mano con el del tratamiento. Dikicier y colaboradores6 refieren un promedio de dos días desde la llegada del paciente hasta el tratamiento quirúrgico. Las complicaciones pueden ir desde un apéndice abscedada,9 hasta necrosis del ciego, secundaria al proceso infeccioso.6 Lo que parece tener mayor relación con la apendicitis del muñón es la longitud del remanente apendicular, ya que esta complicación se presenta en particular cuando la longitud del apéndice residual es mayor a 5 milímetros.15
Einem y asociados10 con base en la revisión de 35 casos, reportó que la longitud promedio del remanente apendicular, en pacientes operados inicialmente por vía laparoscópica, fue de 3.9 cm, mientras que la longitud promedio en pacientes operados mediante cirugía abierta fue de 2.6 cm, datos que fueron estadísticamente significativos (p = 0.048).
El tratamiento de elección para la AM es completar la resección del apéndice, vía convencional o laparoscópica; sin embargo, hasta18% podrían requerir de una resección ileocecal. Reportes en la literatura han mostrado que más de 50% de los casos se ha hecho por vía abierta, y casi una tercera parte han requerido una resección intestinal;15 asimismo, algunos autores refieren que hasta 68% de los casos de apendicitis del muñón que fueron operados presentaron una perforación.6,15
Conclusiones
La apendicitis del muñón, aunque es una rara complicación, debe ser tomada en cuenta como posibilidad diagnóstica en aquellos pacientes con antecedente de apendicectomía que tengan síntomas y signos compatibles con apendicitis aguda, en particular si no existe alguna otra causa aparente, por lo que es recomendable apoyarse en estudios de imagen, principalmente la tomografía computarizada, que pueden contribuir a descartar otras posibles causas del dolor y apoyar la sospecha diagnóstica.
El tratamiento es la intervención quirúrgica, ya sea por vía convencional o laparoscópica, debiendo completar la resección del remanente apendicular y sin dejar una longitud mayor a 5 milímetros.










nova página do texto(beta)


