Introducción
La nefrolitotomía percutánea (NLPC) es el tratamiento de elección para litos coraliformes y cálculos renales grandes (mayores de 2 cm). Tradicionalmente se guía por fluoroscopia y puede presentar un riesgo de radiación para el paciente y el personal, especialmente en un centro de referencia.1 El uso del ultrasonido para NLPC se describió por primera en 1976 por Fernstrom y Johansson, desde entonces este procedimiento ha ganado popularidad en la aplicación de nuevos métodos y técnicas.2 En los últimos años, su popularidad ha crecido con la publicación de múltiples series de casos, lo que demuestra su reproducibilidad, seguridad y eficacia.3-6 El enfoque guiado por ultrasonido ha demostrado ser seguro y eficaz en la población pediátrica, 7 para litiasis en los riñones trasplantados y en la ectopia pélvica renal.8,9
Para realizar una NLPC exitosa, la punción precisa en el cáliz deseado es de suma importancia. La visibilidad clara de la aguja es clave para el éxito del acceso guiado por ultrasonido. La razón más común para la no visualización de la punta de la aguja es la falla en la alineación de la punta de la aguja y el transductor. Esto se logrará mediante una alineación adecuada, este paso es desafiante en un principio, esto se logrará con experiencia y realización mecanizada de los pasos.10
El acceso guiado por ultrasonido para la nefrolitotomía percutánea (NLPC) es una técnica segura, efectiva, libre de radiación y de bajo costo que puede ser utilizada comúnmente en cualquier hospital. El ultrasonido ofrece varias ventajas sobre la fluoroscopia: es fácilmente disponible, portátil, relativamente económico, así como la reducción de la exposición a la radiación. Así mismo, el uso del doppler permite ver imágenes en tiempo real del sistema colector y del parénquima renal, detección de cálculos radiolúcidos, visualización mejorada de vísceras adyacentes, delineación más clara de cálices anteriores y cálices posteriores, y el potencial para evitar lesiones vasculares, es capaz de proporcionar una guía para acceso en múltiples planos: transversal, longitudinal y oblicuo.11-14 Otra de las ventajas de la punción guiada por ultrasonido es la obtención de imágenes en tiempo real (del sistema colector y del parénquima renal (monitoreo en tiempo real de la punta de la aguja, que guía una adecuada colocación de la aguja, evitando así lesión a vísceras importantes), detección de cálculos radiotransparentes, visualización mejorada de las vísceras adyacentes, delimitación más clara de los cálices anterior y posterior, y el potencial para evitar lesiones vasculares con imágenes de flujo Doppler.12-14
Por ende, es de vital importancia la realización de un estudio, reportando la experiencia en un centro de referencia del sureste de México, zona geográfica que cuenta con una gran cantidad de pacientes con problema de litiasis renal, en el cual se pueda reportar la eficiencia de la utilización de este método para acceso renal percutáneo.
Objetivos
Describir la técnica quirúrgica, así como las características clínicas de los pacientes sometidos a NLPC con acceso renal guiado por USG en el Hospital Regional De Alta Especialidad de la Península de Yucatán en el periodo enero 2019 a enero del 2021.
Objetivos secundarios:
Describir las características sociodemográficas de los pacientes con litiasis renal sometidos a NLPC con acceso renal guiado por ultrasonido.
Describir la técnica de punción guiada por ultrasonido.
Determinar el número de punciones realizadas.
Determinar el tiempo de abordaje quirúrgico.
Determinar el uso auxiliar o no de fluoroscopia
Determinar las complicaciones asociadas al procedimiento quirúrgico.
Describir las principales complicaciones urológicas.
Material y métodos
Se realizó un estudio observacional, retrospectivo, descriptivo, dentro del cual se tomaron los datos de los expedientes clínicos de pacientes. Los datos recolectados fueron manejados con estricta confidencialidad y se utilizaron únicamente para la realización de la presente investigación. Se realizó estadística descriptiva e inferencial de acuerdo con las variables utilizadas. Se utilizó el programa Excel para concentrar las bases de datos y se analizarán con el programa SPSS 25.0 IBM Inc. Se emplearon pruebas de normalidad para variables cuantitativas continuas. Las variables categóricas se presentarán como frecuencias mientras que las cuantitativas se presentan como media ± desviación estándar, o mediana (cuartiles 1-3) según corresponda.
Los datos de las variables en estudio se obtuvieron directamente de los expedientes clínicos de los pacientes de la clínica de litiasis renal del servicio de urología del Hospital Regional de Alta Especialidad de la Península de Yucatán.
Se tomaron en cuenta las escalas de riesgo anestésico de las notas prequirúrgicas del servicio de anestesiología, así como los tiempos quirúrgicos y sangrado. Los datos de la técnica quirúrgica fueron obtenidos de la nota postquirúrgica del servicio de urología. Los datos fueron capturados en una base de datos para la realización del análisis estadístico. Se realizó el seguimiento de los pacientes durante su estancia hospitalaria, el tiempo de tratamiento se midió de acuerdo a la duración del procedimiento quirúrgico.
Criterios de inclusión
Expedientes de pacientes hombres y mujeres mayores de 18 años de edad, con diagnóstico litiasis renal corroborado por estudio de tomografía, sometidos a NLPC con punción guiada por ultrasonido en el Hospital Regional de Alta Especialidad de la Península de Yucatán durante el periodo enero 2019 a enero del 2021
Criterios de exclusión
Pacientes sometidos a trasplante renal.
No se realice punción guiada por ultrasonido.
Paciente en con shock séptico al momento de realizar el procedimiento quirúrgico.
Pacientes menores a 18 años.
Descripción de la técnica quirúrgica
Importante, antes de realizar el procedimiento de nefrolitotomía percutánea, contar con examen general de orina y urocultivos negativos, así como laboratorios preoperatorios. Se considera como criterio de inclusión “urocultivo negativo”.
Colocar en posición al paciente, ya sea decúbito supino o en prono. Antes de colocar al paciente en prono, realizar cistoscopía con colocación de catéter ureteral open-end para ferulizar uréter, fijar el mismo a una sonda transuretral y conectar jeringa con medio de contraste "al medio” (Figura 1).
Posterior a la colocación de campos, vestir equipo y transductor de ultrasonido. En este caso se utilizó un ultrasonido marca Vinno E10 versión SW 1.8.0.191 (Sistema OS image: 1.3.41.3), utilizando un transductor doppler curvo de 3.5 MHz, se visualiza el parénquima renal, sistemas colectores, cálculos y órganos adyacentes.
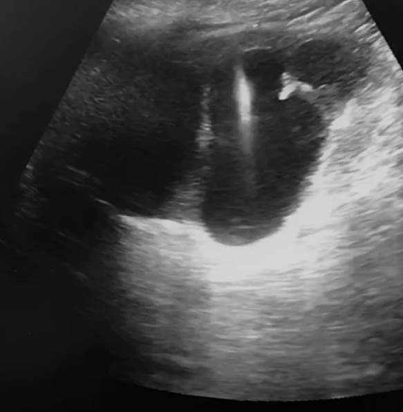
a) Como pauta general, la profundidad de la ecografía se establece en el rango de 8 a 12 cm (esto determina la profundidad a la cual debe introducirse la aguja de Shiva), sin embargo, a pesar de esta pauta, es importante medir la distancia de piel-cáliz previo a la punción y con esto saber hasta que profundidad es necesario introducir la aguda de Shiva (Figura 2 y Figura 3). Se mide la distancia de la piel al colector y se suman 2 a 3 cm (profundidad inferida con la presión que se realiza al momento de colocar el transductor para localizar al riñón, con esta medición logramos concordar con la pauta general de la profundidad de 8 a 12 cm para la punción.
b) Se coloca el transductor a nivel renal obteniendo una imagen de los cálices renales y se selecciona al más adecuado (aquel que permita, de acuerdo a su angulación, la entrada directa a la mayor cantidad de lito para trabajar) para realizar punción con aguja de Shiva 18 gauge 20 cm (si los cálices son difíciles de localizar, se puede realizar inyección retrógrada de forma suave y pasiva de solución salina a través del open-end), la aguja se coloca en el eje longitudinal (adelante o atrás del transductor), de manera que se desplace en paralelo al eje largo del transductor, con el fin de seguir el trayecto de la aguja hasta la profundidad del cáliz renal seleccionado. La punción se realiza por el cirujano. (Figura 4)
d) Durante el proceso de aprendizaje de esta técnica, es de suma importancia apoyarse para la dirección y profundidad de la aguja con el uso de fluoroscopia.
e) Una vez realizado el mismo, se procede a continuar el procedimiento de NLPC, en nuestro caso, realizando la dilatación del tracto apoyado mediante fluoroscopia.
Resultados
Se realizaron un total de 22 nefrolitotomía percutáneas con acceso renal guiado por ultrasonido en un periodo de un año (enero 2019 a enero 2020).
Dentro de las características demográficas de los pacientes: el 72.7% (n=16) de los pacientes fueron del sexo femenino y 27.3% (n=6) del sexo masculino. La mediana de edad fue de 41 años, con rangos (25-58), cuartiles 1-3 (32.5-50.5). (Gráfica 1)
La media de peso (kg) fue de 80.88 (+-4.70) kg, con rangos de (54-150), talla media 1.53 (+-2.67) metros, el índice de masa corporal promedio fue de 32.31 (+-1.41) rangos de (24-47) kg.
Cabe mencionar que el 50% (11 pacientes) tenían obesidad, 31.8% (7 pacientes) obesidad grado I; 9.1% (2 pacientes) con obesidad grado II y 9.1% (2 pacientes) con obesidad grado III.
Dentro de las características anestésicas preoperatorias el 68.2% (15 pacientes) pertenecían a la clasificación de riesgo anestésico ASA 2, el 22.7% ASA 3 y 9.1% ASA 1.2,5 El tipo de anestesia utilizada fue anestesia general en 15 pacientes (68.2%) y mixta en siete pacientes (31.8%).
Dentro de las características urológicas de los pacientes, el 77.3% no tenía catéter ureteral doble J (CUDJ) previo al procedimiento; 2 pacientes sí tenían CUDJ calcificados FECAL I y FECAL V respectivamente.
Dentro de las características del lito de acuerdo con la clasificación de GUY Stone Score, el 40.9% de los pacientes contaban con un GUY III y el 27.3% de los pacientes contaban con un GUY IV, con litos de gran volumen y alta complejidad.(6,9) (Tabla 1)
Tabla 1 Escala de Guy
| Pacientes | Porcentaje | |
| GUY I | 1 | 4.5 |
| GUY II | 6 | 27.3 |
| GUY III | 9 | 40.9 |
| GUY IV | 6 | 27.3 |
| Total | 22 | 100.0 |
De acuerdo con la escala de STONE la media fue de 8.41 +-.464, rangos de 6-12 puntos, percentiles 1-3 (6.75-10.25). (Tabla 2)
Tabla 2 Nefrolitometría s.t.o.n.e.
| Frecuencia | Porcentaje | ||
| Válido | 6 | 5 | 22.7 |
| 7 | 4 | 18.2 | |
| 8 | 5 | 22.7 | |
| 9 | 2 | 9.1 | |
| 10 | 1 | 4.5 | |
| 11 | 1 | 4.5 | |
| 12 | 4 | 18.2 | |
| Total | 22 | 100.0 | |
De acuerdo con la lateralidad el 50% fue litiasis renal derecha, 36.4% izquierda y 13.6% fue bilateral. La mediana de la carga litiásica fue de 12 950, las unidades hounsfield (UH) de lito promedio fue de 990.27+-69.22, rangos 456-1331 (medidos en el estudio de tomografía).
Dentro de las características quirúrgicas: el tracto fue realizado en el 45.5% (10) por un fellow de endourología;10 en el 22.7% por R5,5 9.1% por R4 y 22.7% por médico adscrito de endourología.2,5
En cuanto al número de punciones, el 45.5% de los pacientes (10) solamente requirieron una punción.10 Cinco pacientes 2, 5 pacientes 3, 1 paciente 4 punciones y un paciente más 5 punciones; cabe recalcar que en ninguno de estos hubo complicaciones asociadas al número de punciones.
En el 95.5% de los pacientes el tracto fue exitoso, únicamente en un paciente el tracto fue fallido. (Tabla 3 y 4).
Tabla 3 y 4 Número de punciones y número de tractos.
| No. de Punciones | |||
|---|---|---|---|
| No de Pacientes | Porcentaje | Porcentaje válido | |
| 1 | 10 | 45.5 | 45.5 |
| 2 | 5 | 22.7 | 22.7 |
| 3 | 5 | 22.7 | 22.7 |
| 4 | 1 | 4.5 | 4.5 |
| 5 | 1 | 4.5 | 4.5 |
| Total | 22 | 100.0 | 100.0 |
Tabla 3 y 4 Número de punciones y número de tractos.
| No. de Tractos | |||
|---|---|---|---|
| Porcentaje | Porcentaje válido | ||
| Exitoso | 21 | 95.5 | 95.5 |
| 1 | 4.5 | 4.5 | |
| Total | 22 | 100.0 | 100.0 |
La punción se realizó en posición de Valdivia-Galdakao en el 90.0% (20) y en posición prono en el 9.1%.2 El número de tractos realizados fue unitracto en el 95.5% (21) y bitracto en 4.5%.1 En el 86.4% se dejó un catéter ureteral doble J (CUDJ) y el 13.6% (3) fue NLPC tubeless.3 Del total de pacientes 45.5% (10) fue Stone Free.10
El tiempo quirúrgico promedio fue de 113.16 minutos+-11.03, el tiempo de fluroscopia promedio fue de 2.29 (+-.49). El tiempo de nefroscopia promedio fue de 96.84+-11.07 (rangos 40-180 minutos).
Dentro de las complicaciones perioperatorias 63.6% (18) de los pacientes no presentó complicaciones asociadas a la NLPC, el 18.2% presentó sangrado (la mediana del sangrado estimado fue de 250cc con rangos de 100 a 700 cc),4 ameritando transfusión de hemoderivados 13.6% pacientes y una de las NLPC fue fallida secundaria a sangrado abundante en la cual se colocó sonda de nefrostomia.3 Es importante mencionar que ninguna de estas complicaciones fue asociadas al acceso renal guiado por ultrasonido; el sangrado se presentó posterior a completar el procedimiento de NLPC.
Discusión
Los atributos de un acceso renal perfecto son: un trayecto más corto y recto atravesando la piel, corteza del riñón y copa del cáliz deseado desde el punto de la punción. Consideramos que el acceso guiado por ultrasonido maximiza las posibilidades de esto.
En todos los pacientes se utilizó la misma técnica quirúrgica para el acceso con ultrasonido, la posición del transductor y la medición de la distancia piel-riñón constituyen una característica fundamental a considerar al momento de realizar la punción, es necesario la localización precisa del riñón con el transductor, la posición debe ser cómoda para el cirujano que realizará la punción y el ayudante debe ser capaz de intervenir en todo momento para apoyar al cirujano, tanto en sostener el transductor, ser capaz de pasar el instrumental necesario y poder apoyar en coordinar la selección del cáliz a puncionar.
La punción se realizó en la mayoría de los pacientes en posición de Valdivia-Galdakao (90%), únicamente en dos pacientes se realizó en posición prono, cabe recalcar que uno de esos pacientes con esta última posición tuvo el tracto fallido y fue el que mayor número de punción necesitó para tener acceso correcto. Con estos datos podemos deducir que, en nuestro trabajo, la posición de Valdivia-Galdakao facilita el movimiento del transductor, la localización del riñón y la manipulación del instrumental junto con el transductor para lograr un adecuado acceso renal.
Por último, es importante mencionar que el 50% de los pacientes en este estudio tenían obesidad, condición que dificulta en todo momento tanto la localización renal y la posición del equipo; así mismo, se requiere una mayor distancia para acceder al sistema caliceal desde la piel y la manipulación con el transductor en ocasiones se dificulta.
Nuestro estudio no mostró una duración total de la operación más corta para los pacientes en los que se realizó el acceso renal guiado por ultrasonido sobre lo que normalmente duran los accesos renales guiados por fluoroscopia, ya que la duración total de la operación depende de una multitud de factores. La duración general de la operación está influenciada por: el tamaño y la composición de los cálculos, la ubicación de los fragmentos de cálculos y la constitución física de los pacientes, entre otros.
Consideramos que es necesario realizar estudios posteriores donde se haga la medición por separado el tiempo para la punción y con esto demostrar el beneficio del ultrasonido sobre la fluoroscopia en este aspecto. Como se trataba de un estudio retrospectivo, no registramos de forma rutinaria la duración requerida para la punción por separado de los tiempos quirúrgicos totales.
En este estudio la mayoría de los accesos renales guiados por ultrasonido fueron realizados por el fellow de endourología y el R5 de urología, en todo momento apoyados por la experiencia de un cirujano endourólogo experimentado, lo que facilitó en todo momento la adecuada punción. En este sentido, cabe recalcar que posterior a la segunda o tercera vez que el fellow realizaba el procedimiento, las destrezas fueron mejorando, logrando en menor tiempo y con mayor facilidad el acceso por medio de este abordaje. Es importante mencionar que se requiere completar este estudio enfocado en el número de procedimientos necesarios para desarrollar una curva de aprendizaje adecuada y que esta observación no fue medida con exactitud.
Una seria limitación de la técnica es que, aunque el transductor de ultrasonido muestra el riñón y cálices, la imagen carece de profundidad y no muestra el plano que atraviesa la aguja en todo momento, por lo que es necesario tratar de seguir en todo momento el trayecto de la aguja para lograr visualizar el momento en el que se accede al sistema deseado, esta limitación es sin duda una de las dificultades para el cirujano durante la curva de aprendizaje en el acceso renal guiado por ultrasonido, sin embargo, una vez logrando superar este aprendizaje, las destrezas en esta técnica fueron mejorando exponencialmente, logrando en menor tiempo y con mayor precisión el acceso al sistema.
El abordaje guiado por ultrasonido es seguro con un riesgo muy bajo de complicaciones mayores, en nuestro estudio no existieron complicaciones asociadas al acceso renal guiado por ultrasonido, las complicaciones reportadas se presentaron durante o posterior a la realización de la NLPC.
No se debe subestimar la importancia de reducir la exposición a la radiación, tanto para el médico como para el paciente. A lo largo de sus carreras, los urólogos pueden estar expuestos a la radiación de forma regular y acumulativa, y los pacientes con cálculos recurrentes pueden estar sujetos a exposiciones repetidas a la radiación durante la evaluación y los procedimientos posteriores.15-18
Conclusiones
El acceso guiado por ultrasonido para la nefrolitotomía percutánea (NLPC) es una técnica segura, efectiva, libre de radiación y de bajo costo que puede ser utilizada comúnmente en cualquier hospital.
La competencia en el acceso renal guiado por ultrasonido requiere una curva de aprendizaje a superar. La tutoría debe comenzar desde el entrenamiento de residencia en sí. Creemos que este enfoque acorta la curva de aprendizaje dando al alumno una idea de la complejidad de alinearse la aguja con los transductores.
El papel del ultrasonido y fluoroscopia en la nefrolitotomía percutánea deben ser sinérgico, es necesario en todo momento apoyarse del uso de la fluoroscopia para lograr un adecuado entrenamiento en el acceso renal guiado por ultrasonido, posteriormente y conforme mejore la curva de aprendizaje el uso del fluoroscopio cada vez es menor, encontrando así todas las ventajas del uso del ultrasonido.










nova página do texto(beta)










