Origen aórtico anómalo de las arterias coronarias
Las anomalías coronarias, ya sea como única patología o asociada a una cardiopatía congénita o adquirida (enfermedad de Kawasaki), puede ser causa de morbimortalidad incluyendo la muerte súbita en adolescentes o adultos jóvenes.
El origen aórtico anómalo de una arteria coronaria (OAAC) se define cuando la arteria coronaria derecha (ACD) o izquierda (ACI), la arteria descendente anterior (ADA) y/o la arteria circunfleja (ACX) nace del seno coronariano contralateral por ostium separado o compartiendo el mismo ostium de la arteria coronaria normal1.
El OAAC tiene una prevalencia incierta en la población general dependiendo de la técnica de imagen utilizada. Angelini1 reportó una incidencia global de anomalías coronarias del 5.64% en pacientes estudiados por cineangiocoronariografía. Clásicamente está descripto que el origen anómalo de la ACD del seno coronariano izquierdo (SCI) es seis veces más frecuente que la ACI naciendo del seno coronariano derecho (SCD)1. Raramente, el OAAC nace del seno no coronariano. Se reconocen cinco subtipos de OAAC. La arteria coronaria anómala (ACA) buscando su posición usual puede ir por delante del tronco de la arteria pulmonar (prepulmonar), retroaórtica, retrocardiaca o entre ambos grandes vasos (interarterial) y subpulmonar (intraconal o intraseptal)2. El trayecto inicial intramural (dentro de la pared aórtica) es usualmente observado en muchos casos de curso interarterial3.
Si bien el ecocardiograma Doppler color transtorácico (ETT) es la primera herramienta en imágenes que permite sospechar la anomalía, la visualización de las arterias coronarias por angiotomografia axial computarizada multicorte (angio-TAC) y/o la angiorresonancia magnética cardiaca (angio-RMC) son técnicas de imágenes requeridas para la confirmación diagnóstica y adoptar conductas terapéuticas. Con menor frecuencia, la realización de una angiografía coronaria es necesaria para certificar la patología.
Dada la potencialidad de presentar complicaciones de esta anomalía o complicar procedimientos intervencionistas es importante su reconocimiento al efectuar un ETT cualquiera sea su indicación.
El objetivo de este estudio prospectivo fue detectar pacientes con anomalías en el origen y curso de las arterias coronarias desde los senos de Valsalva utilizando todas las técnicas de imágenes disponibles para visualizar la anatomía coronaria con énfasis en el ETT utilizando las vistas usuales recomendadas más un minucioso barrido anteroposterior del tracto de salida del ventrículo izquierdo (TSVI), donde se puede distinguir nítidamente el trayecto coronario anómalo cruzando el TSVI, que posteriormente deberá ser confirmado por otras técnicas de imágenes como la angio-TAC multicorte, angio-RMC o por angiografía coronaria convencional.
Material y métodos
Durante el periodo comprendido entre enero del 2020 hasta julio del 2021, fueron seleccionados todos los pacientes a quienes se les efectuó diagnóstico de OAAC por algún método de imágenes y fueron subdivididos en dos grupos:
-
- Grupo A: fueron incluidos 8 pacientes pediátricos (menores a 18 años cumplidos). De un total de 5,434 niños y adolescentes estudiados derivados para evaluación cardiovascular rutinaria, soplos, preparticipación deportiva o enfermedad de Kawasaki. Se detectaron por ETT 10 niños y/o adolescentes sospechosos de presentar OAAC. La certeza diagnóstica se obtuvo por angio-TAC multicorte en 8/10 pacientes seleccionados, lo que significó una prevalencia de 1.47 casos/1,000 estudios de tamizaje realizados.
Se excluyeron aquellos pacientes con origen anómalo coronario de la arteria pulmonar, cardiopatías complejas como dextrotransposición de los grandes vasos, síndrome de corazón izquierdo hipoplásico, ventrículo único, tetralogía de Fallot, etc.
La edad de los pacientes estuvo comprendida entre los 3 y 16 años (media: 10.4 años). Cuatro fueron de sexo masculino y cuatro de sexo femenino.
- Grupo B: integrado por siete pacientes mayores de 18 años detectados durante el mismo periodo de estudio, de los cuales cuatro pacientes fueron estudiados con angio-TAC multicorte por sospecha de presentar una anomalía coronaria tras la realización de un ETT y tres fueron evaluados solo por angio-TAC multicorte coronaria por ser sintomáticos (angina de pecho o arritmias cardiacas). La edad estuvo comprendida entre 28 y 66 años (media: 50 años); un paciente era de sexo femenino y seis de sexo masculino.
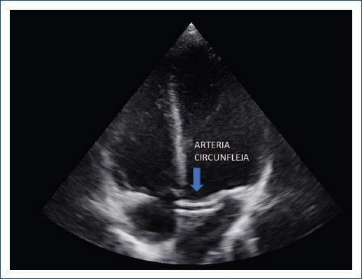
El ETT es la técnica de imagen inicial para la sospecha de esta anomalía. Por ello las arterias coronarias fueron evaluadas desde las vistas ecocardiográficas convencionales3,4 incluyendo la vista paraesternal eje largo (nacimiento de la ACD del seno, unión sinotubular o nacimiento alto desde la aorta ascendente), vista paraesternal eje corto con rotación horaria del transductor para visualizar la división del tronco de la ACI en la ADA y ACX y rotación antihoraria para identificar el trayecto de la ACD. El Doppler color permite la identificación del flujo coronario, pero dado que este tiene baja velocidad el límite Nyquist utilizado debe ser de 20-40 cm/s. Adicionalmente, nuestra estrategia de pesquisa incluyó un barrido minucioso anteroposterior entre 4 y 5 cámaras apical donde detectamos la ACA cruzando el tracto de salida del ventrículo izquierdo (VI) (Fig. 1) previamente considerado por otros autores como Bianco et al.5.

Figura 1 Barrido ecocardiográfico en vista de cuatro cámaras apical en sentido antero-posterior y postero-anterior observando trayecto coronario anómalo cruzando el tracto de salida de ventrículo izquierdo.
Con respecto a la angio-TAC multicorte, la adquisición de las imágenes se realizó con un tomógrafo de 128 detectores con una colimación de 0.625 mm (overlaps) utilizando contraste yodado.
Todos los pacientes dieron su consentimiento informado y el protocolo fue aprobado por el comité de ética de la institución.
Resultados
La muestra total incluyó en total 15 pacientes detectados en forma prospectiva durante el periodo de estudio.
El origen anómalo de la ACX desde el SCD o la ACD fue la anomalía más prevalente en nuestra casuística. En 9/15 pacientes (60%) la ACX tuvo origen y trayecto retroaórtico.
Un paciente estudiado por enfermedad de Kawasaki tenía nacimiento anómalo de la ACX del seno coronariano derecho con trayecto retroaórtico y aneurismas en la ACD y DA (Fig. 2).

Figura 2 Imagen en volumen rendering del árbol coronario, donde se observa naciendo del seno coronariano derecho (de manera independiente) las arterias coronarias derecha, descendente anterior con trayecto por delante del tracto de salida ventricular derecho y arteria pulmonar y arteria circunfleja con trayecto retroaórtico. De manera independiente naciendo del seno coronariano izquierdo el ramo diagonal y septales.
En tres pacientes (20%) la ACI nacía del SCD (en un paciente el tronco de la ACI nacía por ostium separado del SCD con trayecto retroaórtico de la ACX y en dos pacientes el origen de ACD, ADA y ACX fue independiente en el SCD también con trayecto retroaórtico de la ACX), sin trayecto interarterial en ningún caso (Fig. 3).

Figura 3 Imágenes axiales (de adquisición helicoidal gatillada de arterias coronarias con contraste) donde observamos, naciendo del seno coronariano derecho (de manera independiente) las arterias coronarias derecha, descendente anterior con trayecto interarterial y arteria circunfleja con trayecto retroaórtico.
En dos pacientes (un niño y un adulto) la ACD nacía del del SCI con trayecto interarterial en ambos casos.
En solo un paciente la ADA nacía del SCD con trayecto interarterial y nacimiento normal de la ACX y ACD (6.6%), anatomía considerada potencialmente maligna, pero en la estratificación de riesgo no practicaba actividad física competitiva, era asintomático y no desarrolló isquemia al ser evaluado con diferentes protocolos de test de estrés.
Tres de nuestros pacientes adultos fueron sintomáticos: un paciente adulto con origen anómalo de la ACD del SCI que desarrolló isquemia coronaria y dos con ACX anómala aislado naciendo del SCD y trayecto retroaórtico que fueron estudiados con angio-TAC por arritmias ventriculares significativas (episodios de taquicardia ventricular no sostenida y rescate de muerte súbita respectivamente).
Todos los pacientes pediátricos fueron asintomáticos. Detectamos en nuestra población pediátrica asintomática una prevalencia de 1.47 casos/1,000 niños y/o adolescentes asintomáticos estudiados por ETT, contrastando con la población adulta que tiene en general una ventana ultrasónica no favorable para apreciar la anatomía coronaria.
Discusión
Las anomalías en el origen aórtico de las arterias coronarias tienen una incidencia del 0.021 al 5.79% del acuerdo con el método al método de imágenes utilizado para su detección1,5, del tipo de población estudiada y de la definición de anomalía coronaria utilizada6.
El conocimiento de la anatomía coronaria normal es fundamental a la hora de realizar la detección de estas anomalías. Las arterias coronarias se originan respectivamente del SCD y del SCI; pueden ser visualizadas por ETT y deben ser evaluadas en todos los pacientes.
El ETT es la primera técnica de imágenes no invasiva utilizada para evaluar la anatomía de las arterias coronarias cuando hay una adecuada ventana ultrasónica y con un operador suficientemente entrenado para sospechar un OAAC que siempre deberá ser corroborado por otras técnicas de imágenes.
En un estudio prospectivo realizado sobre una población pediátrica asintomática estudiada por ETT y Doppler color por diferentes causas (soplos, preparticipación deportiva, chequeo cardiológico, etc.) la incidencia de OAAC fue del 0.17%7.
Recientes programas de tamizaje han incrementado el diagnóstico incidental de OAAC, siendo el ETT con Doppler color la primera modalidad diagnóstica debido a su amplia utilización, su bajo costo y ausencia de radiación. Frente a la sospecha diagnóstica de OAAC su confirmación deberá realizarse por otras modalidades de imágenes como angio-TAC coronaria o RMC recomendados ambos estudios para la identificación de la anatomía coronaria2,8.
El 80% de los pacientes fueron detectados como probable OAAC por ETT confirmado por angio-TAC multicorte coronaria. La evaluación por ETT de las arterias coronarias en pacientes asintomáticos es desafiante y solo una población muy seleccionada generalmente sintomática accede a otros estudios más sensibles para el diagnóstico como angio-TAC multicorte, angio-RM o angiografía coronaria.
El OAAC no suele ser reconocido durante la infancia. Ocho (de 15) de nuestros pacientes fueron menores. Si bien es una malformación poco frecuente, dada su potencialidad de riesgo letal, deben ser sistemáticamente evaluadas por ETT agregando a las vistas paraesternales un cuidadoso barrido anteroposterior en vista apical de cuatro cámaras del tracto de salida de VI para identificar trayecto anómalo coronario cruzando de derecha a izquierda o viceversa a ese nivel. El diagnóstico por ecocardiografía Doppler color es desafiante.
Pelliccia et al.9 demostraron que el trayecto proximal de ambas arterias coronarias puede visualizarse en forma confiable en el 95% de los atletas jóvenes, pero la detección de OAAC utilizando el ETT como método de cribado en pacientes asintomáticos tiene baja sensibilidad en niños y más aún en adultos. En nuestro conocimiento no hay publicaciones que comparen la anatomía coronaria por ETT vs. angio-TAC, angio-RMC o coronariografía convencional en una cohorte de niños y adolescentes sanos para establecer fehacientemente la sensibilidad y especificidad del ETT en el diagnóstico de OAAC.
Knickelbine et al.10, utilizando angio-TAC multicorte coronaria en pacientes adultos estudiados por diferentes causas, encontraron que el OAAC no había sido previamente reconocido por otras técnicas de imagen como el ETT. Encontraron una prevalencia de 4/1,000 pacientes de OAAC. La alta prevalencia de la ACD naciendo del SCI podría explicarse porque sería menos letal que la ACI naciendo del SCD con curso interarterial y solo un 10% de estos pacientes tenían una ACX anómala en este estudio.
Angelini et al.11 utilizando angio-RMC en adolescentes identificaron un 0.6% de OAAC con predominancia del nacimiento ectópico de la ACD del SCI.
Yuksel et al.12 estudiaron con angiografía coronaria a una población adulta sintomática de 16,573 pacientes y detectaron un 0.29% con OAAC, con gran predominio del origen de la ACX de la ACD o SCD (58.3%)7 seguido por origen anómalo de la ACD de la ADA o ACX (12.5%) y de la ACI o ADA naciendo del SCD o ACD en el 10.4% cada una.
La prevalencia de una anomalía coronaria en nuestra población pediátrica asintomática detectada por ETT fue de 1.47/1,000 niños y/o adolescentes evaluados, inferior a 4/1,000 pacientes informados por Knickelbine et al.10 utilizando angio-TAC e inferior a 2.9/1,000 pacientes adultos sintomáticos evaluados por coronariografía convencional12; ambas técnicas con mayor sensibilidad para detectar estas anomalías comparadas con el ETT. Sin embargo, los resultados en nuestros pacientes fueron muy similares respecto a la variante anatómica de OAAC a lo reportado por Yuksel et al.12: 60% de origen anómalo de la ACX, ACI o DA 26.6% y ACD 13.3%.
La detección de OAAC es muy superior por angio-TAC coronaria, RMC y/o por coronariografía convencional respecto al ETT y esta diferencia es mayor cuando las arterias involucradas no son la ACD o ACI, sino ACX o ADA que son más difíciles de visualizar por ETT entre otras cosas por su menor diámetro.
La resolución espacial para visualizar las arterias coronarias con angio-RMC es inferior a la angio-TAC, aunque puede visualizarse con esta técnica adecuadamente el origen y curso proximal de estas13, siendo el tiempo de adquisición más prolongado.
El OAAC ha sido reiteradamente asociado a muerte súbita, aunque el mecanismo desencadenante no está totalmente aclarado. La isquemia miocárdica generada por esta patología generaría una arritmia cardiaca grave que culminaría en fibrilación ventricular y muerte. Algunos de los factores anatómicos predisponentes conocidos para desarrollar isquemia miocárdica son el trayecto anormal intramural y/o interarterial coronario, la estenosis ostial (geometría oval del ostium coronario que suele asociarse a un nacimiento oblicuo de la coronaria desde la aorta) y a un área no complaciente pericomisural. La hipoplasia de la arteria coronaria proximal ha sido también descripta como otro factor anatómico de riesgo para isquemia14.
El trayecto interarterial se define cuando la arteria coronaria anómala transcurre entre la arteria aorta y la arteria pulmonar y el trayecto intramural cuando la arteria coronaria anómala y la aorta comparten la túnica media. Estas dos variantes anatómicas de la arteria coronaria anómala están asociadas a riesgo elevado de muerte súbita cardiaca probablemente como resultado de isquemia miocárdica durante una actividad física intensa debido a estrechamiento del vaso proximal, estenosis ostial, ángulo agudo en su origen y compresión sistólica del vaso anómalo por el incremento del volumen sistólico biventricular con el ejercicio. El origen anómalo de la ACI o ambas arterias coronarias del seno no coronariano y curso intramural también ha sido reconocido como causal de muerte súbita3,15.
El curso intramural puede ser dificultoso de detectar por ETT porque el origen de la coronaria anómala desde la pared de la aorta suele estar ubicada a nivel de su emergencia normal del seno de Valsalva. Mayoritariamente los trayectos intramurales son interarteriales, pero no todos los interarteriales son intramurales4. Es muy importante la identificación de un trayecto intramural coronario por su asociación a muerte súbita y modifica la conducta quirúrgica. El OAAC es responsable del 17-20% de las muertes súbitas en atletas jóvenes16.
Los pacientes con OAAC con trayecto intraarterial frecuentemente tienen un segmento coronario intramural muy difícil de identificar por técnicas de imágenes invasivas y no invasivas. El análisis morfológico por angio-TAC ayuda a identificar la anatomía de alto riesgo y debe incluir la apreciación de: 1) estrechamiento luminal del 50%; 2) ángulo de salida del vaso coronario < 30°, y 3) índice de excentricidad luminal > 1.517.
En estos pacientes la malformación más frecuente es el origen del tronco de la ACI de la ACD como primera rama y luego un trayecto anómalo interarterial de la ACI (variante maligna), que queda comprimida entre ambos vasos durante un ejercicio físico vigoroso generando isquemia miocárdica y favoreciendo el desarrollo de una arritmia cardiaca fatal.
Está descripto que el origen anómalo de la ACD del SCI es seis veces más prevalente que el origen de la ACI del SCD, con una incidencia del 0.92%1; aunque también está involucrada con menor frecuencia como causal de muerte súbita asociada a un trayecto interarterial.
Además de los factores anatómicos predisponentes para isquemia miocárdica hay que considerar aquellos que alteran la relación entre el aporte y la demanda de oxígeno frente a una patología coronaria, como lo es la práctica deportiva de alto rendimiento. Brothers et al.18 calcularon un riesgo acumulativo en un periodo de tiempo de 20 años para niños y adultos jóvenes entre 15 y 35 años con AOOC que fue estimado en un 6.3% para el origen anómalo de la ACI y solo del 0.2% para la ACD, en ambos casos con trayecto interarterial.
El mayor riesgo de esta anomalía está asociado a la práctica de deporte competitivo de alto rendimiento, que se estima es desarrollado aproximadamente por el 10-15% de niños y adolescentes. Por este motivo el riesgo mayor de muerte súbita se encuentra en la población comprendida entre 15 y 35 años. El riesgo de muerte súbita es extremadamente bajo cuando no se practica deportes competitivos o recreativos que demandan alto rendimiento físico18,19. Sin embargo, el incremento de la práctica deportiva de alto rendimiento en adultos mayores a 35 años como la participación en triatlón, maratón o ciclismo ha producido un incremento de muerte súbita en esta población con OAAC20. Nuestros pacientes no realizan actividad física de alto rendimiento.
Un origen anómalo de la ACI del seno coronario contralateral con un trayecto prepulmonar, retroaórtico o intraconal (intraseptal) es considerado benigno19, sin embargo deberán tener una evaluación completa para descartar isquemia miocárdica, sobre todo para aquellos que participan en deportes competitivos. Si el trayecto es interarterial independientemente de si son asintomáticos o sintomáticos, se les deberá ofrecer la posibilidad de tratamiento quirúrgico y se deberá suspender la participación en deportes competitivos o recreativos que demanden alto rendimiento físico de acuerdo con las recomendaciones de la American Association for Thoracic Surgery (AATS: clase I, nivel de evidencia B20). Para las guías europeas (ESC)21 la cirugía es una recomendación clase IIa, nivel de evidencia C.
Cuando la ACD nace desde el SCI y tiene un trayecto interarterial y el paciente es sintomático (angina, arritmia, síncope), deberán evaluarse las opciones terapéuticas médicas y/o quirúrgicas en forma personalizada, que incluyen restricción de la actividad física e indicación de corrección quirúrgica según recomendaciones de la AATS (clase I, nivel de evidencia B)20. Para las guías ESC21 la corrección quirúrgica es una recomendación clase IIa, nivel de evidencia C.
Cuando la ACD nace del SCI y el paciente es asintomático, deberá apreciarse el potencial isquémico de la variante anatómica utilizando diferentes protocolos de test de estrés, incluyendo test de ejercicio combinado con test de imágenes de perfusión nuclear miocárdica (con ejercicio, adenosina, dobutamina o mixto)22, tomografía por emisión de positrones (PET) o ecocardiograma de estrés para incrementar la sensibilidad en la identificación de isquemia, sobre todo si practican deporte competitivo o recreativo de alta intensidad. Una estrategia basada en costo-efectividad apoya el uso del ecocardiograma de estrés en los pacientes con variantes anatómicas de bajo riesgo de isquemia silente e imágenes de tomografía por emisión de fotón único (SPECT) en los de alto riesgo. La ventaja de la ecocardiografía de estrés incluye el corto tiempo de adquisición de las imágenes, ausencia de radiación ionizante, portabilidad e inmediata obtención de los resultados23.
Estos estudios tienen un bajo valor predictivo negativo, pero son de gran utilidad si son positivos20.
Los test de perfusión con estrés (drogas en nuestro país) utilizando angio-RMC han permitido identificar episodios transitorios de isquemia miocárdica y juegan un rol importante en la toma de decisiones terapéuticas, sobre todo en la evaluación de pacientes asintomáticos con origen anómalo de la ACD del seno contralateral y trayecto interarterial24. La detección de fibrosis miocárdica por angio-RMC es otra evidencia de riesgo potencial para el paciente20.
Modernas técnicas como la cuantificación del flujo sanguíneo miocárdico y de la reserva del flujo miocárdico usando PET con rubidio-82 en pacientes con enfermedad coronaria ha demostrado tener alto valor diagnóstico y pronóstico25.
Pacientes asintomáticos que muestran una ACD que nace desde el SCI con un trayecto interarterial y presentan test negativos para evaluación de isquemia miocárdica (test de ejercicio, eco-estrés y test de imágenes de perfusión nuclear miocárdica), dada la baja probabilidad de eventos adversos severos pueden participar de deportes competitivos (AATS: clase IIa, nivel de evidencia C)20. En estos casos la cirugía está desaconsejada (ESC21: clase III, nivel de evidencia C). En nuestra casuística, los pacientes considerados de riesgo son evaluados periódicamente para detectar signos de alarma y aún ninguno recibió indicación de tratamiento quirúrgico.
El origen anómalo aislado de las ADA y ACX desde el SCD no ha sido suficientemente reconocido y estudiado por ETT, posiblemente debido a que el calibre de estos vasos es inferior al tronco de la ACI o ACD, por lo que su identificación en estudios de rutina es más dificultosa. La ACX naciendo del SCD o ACD es la malformación más frecuente detectada por cinecoronariografía, con una incidencia superior al 0.67%26. Algunos autores la consideran una variante normal y por ETT puede sospecharse su origen del SCD y posterior curso retroaórtico con un barrido anterior desde cuatro cámaras apical a cinco cámaras apical5,15. La ACX perfunde la pared lateral del VI (miocardio localizado entre los músculos papilares anterolateral y posteromedial)27. Después de su origen anómalo suele tener un trayecto retroaórtico buscando su posición en el surco auriculoventricular izquierdo, cruzando la continuidad fibrosa mitroaórtica. Esta fue la anomalía más prevalente en una larga serie de pacientes estudiados por cinecoronariografía12, similar a lo encontrado en nuestros pacientes. A pesar de ser considerada una variante benigna, si el paciente es portador de una cardiopatía que requiera intervencionismo hemodinámico o quirúrgico, la ACX puede dañarse durante el procedimiento o quedar comprimida generando isquemia miocárdica luego del cierre percutáneo de un defecto septal interauricular o foramen oval permeable, por lo que su detección es fundamental para evitar su lesión durante el procedimiento, como así también durante intervenciones que involucren a los anillos mitral y/o aórtico. Igualmente, una ADA anómala puede dañarse durante el intervencionismo percutáneo que involucre al tracto de salida del ventrículo derecho y arteria pulmonar.
Si bien el origen anómalo de la ACX desde el SCD o ACD y trayecto inicial intramural es excepcional6, puede causar muerte súbita por estenosis en su origen, por arritmia secundaria a isquemia (la arteria coronaria puede deformarse dentro de la pared aórtica si hay hipertensión arterial), o por vasoconstricción por daño endotelial dentro del trayecto anómalo. Aún es incierta su asociación al desarrollo de isquemia y muerte súbita. Frente a síntomas como arritmias o signos de isquemia, su significado clínico deberá evaluarse en forma personalizada descartando todas otras posibles causas de la sintomatología presentada por el paciente. En nuestra serie, 2/9 pacientes adultos jóvenes con origen anómalo aislado de la ACX y trayecto retroaórtico presentaron arritmias ventriculares severas, no detectándose otra causa etiológica.
La detección por ETT de una ADA o ACX aislada con origen anómalo desde el SCD o ACD está pobremente descripta en la literatura, posiblemente por la dificultad en su visualización.
La estratificación de riesgo para la decisión terapéutica debe ser el resultado de considerar el tipo de variante anatómica de la anomalía, edad y nivel de actividad física desarrollado por el paciente, presencia de sintomatología (arritmias, síncope, isquemia miocárdica en reposo o inducida) y los resultados de las opciones terapéuticas.
Limitaciones
El estudio fue realizado sobre una pequeña muestra de pacientes asintomáticos o sintomáticos evaluados en un corto periodo de tiempo, lo que permite sospechar el subdiagnóstico de esta entidad. La alta prevalencia en el origen coronario anómalo de la ACX y el origen anómalo aislado poco frecuente pero no excepcional de la ADA del SCD con trayecto interarterial debe inducirnos a utilizar nuevos protocolos de screening sistemático de las arterias coronarias que incluyan un barrido anteroposterior del tracto de salida de VI desde vista apical de cuatro y cinco cámaras.
Conclusiones
El OAAC en la población de niños y adolescentes sin patología cardiaca demostrable es poco frecuente pero no excepcional siendo la ACX con nacimiento del SCD o CD y trayecto retroaórtico la variante más frecuentemente detectada cuando la pesquisa se realiza por angiografía coronaria, pero es pobremente reconocida mediante ETT, lo que lleva a un subdiagnóstico de esta entidad que además es considerada normal por algunos autores. Su significado clínico deberá evaluarse mediante un seguimiento a largo plazo, ya que puede tener un trayecto inicial intramural y además su correcta identificación es necesaria al indicar procedimientos intervencionistas como cierre de comunicación interauricular, foramen oval permeable u otros que involucren a la válvula mitral, pulmonar y/o aórtica.










nova página do texto(beta)


