ANTECEDENTES
Una de las complicaciones más raras de los embarazos gemelares monocoriales es la perfusión arterial reversa gemelar (TRAP: Twin Reversed Arterial Perfusion) o anomalía acárdica o Chorangiopagus parasiticus. En la bibliografía se reporta que la incidencia es de 1 caso por cada 35,000 embarazos, se diagnostica en 1 de cada 100 embarazos gemelares monocoriales y 1 de cada 30 embarazos triples monocoriales.1 Estas cifras son discutibles en la actualidad porque la tasa de embarazos gemelares sigue incrementándose y algunos autores mencionan que esta complicación puede ser más frecuente de lo que inicialmente se creía.2 La secuencia TRAP es un fenómeno donde existe un feto dismórfico que se caracteriza por la ausencia de una estructura cardiaca o un corazón rudimentario no funcional, y carece de perfusión placentaria directa. El gemelo sano, también conocido como gemelo bomba, es quien bombea sangre oxigenada al feto acárdico a través de una anastomosis arterio-arterial y, posteriormente, regresa “desoxigenada” por una anastomosis veno-venosa.3 La consecuencia de esto es la insuficiencia cardiaca en el feto bomba que se refleja en una tasa de mortalidad de 50%.4 El diagnóstico se establece al identificar un embarazo gemelar monocorial con un feto sano y un feto estructuralmente anormal, acárdico, confirmado mediante ultrasonido Doppler.5 El tratamiento puede ser expectante pero que concluirá en la muerte del feto sano en un tercio de los casos, o intra-útero por obliteración-ablación de los vasos umbilicales del feto acárdico.
El objetivo de este estudio fue: reportar, comparar y analizar el estado posnatal de pacientes con embarazo gemelar monocorial con secuencia TRAP.
MATERIALES Y MÉTODOS
Estudio retrospectivo y descriptivo de una serie de casos de pacientes con diagnóstico de embarazo múltiple monocorial atendidas entre 2014 y 2018 en el Hospital Regional de Alta Especialidad de la Mujer de Tabasco. Criterios de inclusión: pacientes con diagnóstico de embarazo gemelar monocorial con secuencia TRAP y con reporte de los hallazgos posnatales. Criterios de exclusión: pacientes con expedientes incompletos y ausentes. Variables de estudio: edad materna, semanas de embarazo, cantidad de gemelos, tratamiento intraútero o no, cantidad de gemelos vivos, muerte o aborto al momento de la interrupción del embarazo.
RESULTADOS
Durante el periodo de estudio ocurrieron 41,071 nacimientos y se encontraron 441 embarazos gemelares de los que 114 (26%) fueron monocoriales, de estos 6 se diagnosticaron con secuencia TRAP. Cinco de los casos reportados fueron gemelar doble y uno de alto orden fetal. Los límites de edad de las madres fueron 15 y 34 años. La interrupción del embarazo sucedió entre las 19 y 37 semanas de gestación. En 4 de los casos el gemelo bomba supervivió y fueron dados de alta del hospital sin complicaciones en el recién nacido y la madre. En el resto de los casos ninguno de los gemelos supervivió porque uno resultó en aborto (caso 4) y el otro caso terminó en parto pretérmino inmaduro (caso 2). (Cuadro 1) La incidencia de secuencia TRAP de embarazos monocoriales de la muestra de estudio fue de 5.2%. Cuadro 2
Cuadro 1 Cuadro resumen de casos de embarazos gemelares con secuencia TRAP
| Casos | Edad de la madre | Semanas de embarazo (al término) | Tratamiento intraútero | Desenlaces posnatales | Total |
|---|---|---|---|---|---|
| Caso 1 | 16 | 37 | No | Gemelo 1 vivo* Gemelo 2 óbito ** | 2 |
| Caso 2 | 15 | 24 | No | Gemelo 1 óbito Gemelo 2 óbito** | 2 |
| Caso 3 | 21 | 36 | No | Gemelo 1 vivo * Gemelo 2 óbito ** | 2 |
| Caso 4 | 27 | 19 | Sí | Gemelo 1 aborto Gemelo 2 aborto** | 2 |
| Caso 5 | 34 | 34.5 | No | Gemelo 1 vivo * Gemelo 2 óbito ** Gemelo 3 vivo * | 3 |
| Caso 6 | 22 | 35 | No | Gemelo 1 vivo* Gemelo 2 óbito** | 2 |
Fuente: Expedientes clínicos del Hospital Regional de Alta Especialidad de la Mujer.
* Alta hospitalaria de la madre y su recién nacido (feto bomba) sin complicaciones.
** Feto acárdico
Cuadro 2 Casos de embarazo gemelar monocorial con secuencia TRAP
| Embarazo con secuencia TRAP | Frecuencia | Porcentaje | Tasa x 100 |
|---|---|---|---|
| Embarazo gemelar doble | 5 | 83.3 | |
| Embarazo gemelar de alto orden fetal | 1 | 16.7 | |
| Total | 6 | 100 | 5.2 |
Fuente: Expedientes clínicos del Hospital Regional de Alta Especialidad de la Mujer.
CASOS CLÍNICOS
Caso 1
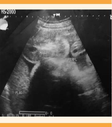
Paciente de 16 años, primigesta, sin antecedentes personales patológicos ni quirúrgicos referidos. El control prenatal se inició a las 15 semanas de embarazo por fecha de la última menstruación. El único ultrasonido obstétrico (Figura 1) reportó embarazo con un feto de 27.2 semanas de gestación, con presentación pélvico, peso 1051 g, índice Phelan 12.3 cm, placenta corporal posterior grado I, normoinserta, con observación de una gran masa compleja, adosada a la placenta, de aproximadamente 9.2 x 7.1 cm de probable apariencia trofoblástica de causa indeterminada. Ingresó a la sala de tococirugía con trabajo de parto y feto en presentación pélvica. Se obtuvo por cesárea, sin complicaciones, una niña con APGAR 8-9, de 2800 g, talla de 49 cm, 40 semanas de gestación por Capurro. El gemelo estaba malformado y midió 15 x 13 cm, constituido por una masa ovoide, amorfa, cubierta de piel, sin genitales externos definidos, polo cefálico con pilosidad fina, sin facciones reconocibles, tronco o extremidades, excepto una prominencia inespecífica que simulaba una probóscide. En el tercio medio de la cara anterior se encontró el cordón umbilical implantado de 12 cm de longitud (Figuras 2 y 3). Al corte se observó una vena dilatada y una arteria única e hipoplásica, la cara posterior lisa, solo con pilosidad fina. El gemelo superviviente fue dado de alta del hospital junto con la madre, sin complicaciones aparentes.

Figura 1 Caso 1: Ultrasonido pélvico de embarazo gemelar monocorial monoamniótico con un feto normal y el otro acárdico. Reporte: gran masa compleja adosada a la placenta.

Figura 2 Caso 1: Gemelo acárdico (masa amorfa con pilosidad fina en el polo cefálico, sin extremidades) y placenta.
Caso 2
Paciente de 15 años, primigesta, sin antecedentes personales patológicos ni quirúrgicos, sin control prenatal, con fecha de la última menstruación incierta. El único ultrasonido obstétrico reportó embarazo gemelar de 24 semanas de gestación, monocorial, gemelo A aparentemente normal; gemelo B malformado, cráneo con abundante líquido en su interior, con masa encefálica hipoplásica, corazón hipodesarrollado, derrame pleural y ascitis. La paciente ingresó a tococirugía con 26.1 semanas de gestación gemelar, monocorial, biamniótico con trabajo de parto en fase activa pretérmino, sin administración de tocolítico debido a las condiciones cervicales. El gemelo 1, masculino, se obtuvo mediante parto vaginal, muerto, con peso de 600 g, talla de 31 cm, 24 semanas de gestación por Capurro. El gemelo 2, aparentemente masculino, con el tórax y la cabeza fusionados, extremidades superiores mal definidas y aparentes defectos en la pared anterior, extremidades inferiores desarrolladas, peso de 800 g, talla de 33 cm, una sola placenta con sospecha de secuencia de perfusión arterial reversa gemelar ante hallazgos macroscópicos del segundo gemelo. En el servicio de Patología se confirmó el diagnóstico.
Caso 3
Paciente de 21 años, primigesta, sin antecedentes personales patológicos. Sin control prenatal en el primer trimestre. El primer ultrasonido reportó embarazo gemelar monoamniótico, monocorial, de 26.2 semanas de gestación. El gemelo A vivo, con placenta corporal anterior grado 0, líquido amniótico aumentado. El gemelo B acéfalo, con malformaciones en la columna vertebral y extremidades. La valoración de los especialistas en medicina materno fetal reportó: embarazo gemelar monocorial, monoamniótico, de 25 semanas de gestación. Feto A con fetometría promedio 3 semanas mayor a la amenorrea. Revisión limitada del feto B, con polihidramnios, bradiarritmia con pausas largas o periodos de asistolia.4,5,6 El feto B sin observación de la cabeza o las extremidades completas, con edema sin distinguirse el corazón. Diagnóstico: feto acárdico. La consulta con el Instituto Nacional de Perinatología reportó: gemelo B acárdico, acéfalo, flujo por arteria umbilical, con 25.5 semanas de gestación por fetometría, peso: 916 ± 134 g. Hemodinamia normal, situs solitus, levocardia, y levoápex, cavidades cardiacas simétricas, tabique interventricular, concordancia aurículo-ventrículo y ventrículo-arterial. Líquido amniótico aumentado. A las 26.2 semanas de gestación el feto A pesó aproximadamente 901 g. La flujometría de la arteria, vena, ducto venoso y cerebral media se reportó sin alteraciones aparentes, ritmo sinusal. A las 29.1 semanas de gestación el feto A se estimó con peso de 1462 ± 213 g, peso por debajo del promedio, Chamberlain de 7.14 cm. El gemelo B, acárdico, con volumen estimado de 1043 cc, flujo del cordón no valorable por posición de los fetos. El último ultrasonido reportó: embarazo de 31.1 semanas. Feto A con peso de 1736 ± 253 g, presentación pélvica, con aplanamiento en la curva de crecimiento, sin datos de hidrops ni insuficiencia cardiaca. El nacimiento fue por cesárea en el Instituto Nacional de Perinatología del gemelo A vivo, de sexo masculino, peso 1844 g, talla 45 cm, Apgar 8-9, Capurro de 36 semanas de gestación (Figuras 4-7), gemelo B acárdico, de 25 x 20 g, peso 2148 g (Figuras 8 y 9). La paciente fue dada de alta del hospital con el gemelo vivo, sin complicaciones.

Figura 4 Caso 3: Ultrasonido pélvico de embarazo gemelar monocorial monoamniótico de 25 semanas de gestación con feto A indistinto, fetometría promedio 2 semanas y 2 días mayor a amenorea y polihidramnios.

Figura 7 Gemelo bomba, vivo, masculino, de 1844 g, 45 cm, Apgar 8/9, Capurro 36 semanas de gestación.
Caso 4
Paciente de 27 años, primigesta. El primer ultrasonido reportó: embarazo gemelar, monocorial, biamniótico, de 14 semanas de gestación, con feto A vivo, sin alteraciones estructurales. El feto B: acárdico, anencefálico, con una masa ovalada ecogénica, con edema subcutáneo y miembros superiores e inferiores, con flujo en el cordón umbilical. El segundo ultrasonido (Figuras 10, 11 y 12) reportó: embarazo gemelar, monocorial, biamniótico, de 15.5 semanas de gestación, con gemelo acárdico. Feto A con fetometría acorde con las semanas de amenorrea, ausencia de reflujo tricuspídeo. Feto B acárdico, acéfalo, de 13.3 semanas de gestación, flujo intermitente en el cordón umbilical. A las 18 semanas de gestación se realizó, en el Hospital Universitario Dr. José Eleuterio González, coagulación láser del cordón umbilical del feto acárdico, sin dificultades técnico-quirúrgicas. La paciente se hospitalizó a las 19.3 semanas de gestación por amenaza de aborto e infección de vías urinarias, tratada con antibiótico e indometacina. El servicio de Medicina materno fetal reportó que se trataba de un embarazo gemelar de 18.6 semanas, con feto acárdico, fetometría 5 días menor a las semanas de amenorrea. Los ventrículos laterales se advirtieron aumentados, sin otros marcadores para cromosomopatías del segundo trimestre, con líquido amniótico aumentado. A las 19.3 semanas de embarazo tuvo ruptura prematura de membranas y, posteriormente, expulsión de ambos fetos; el feto A, masculino de 260 g, el feto B, sin cráneo, solo tronco y extremidades inferiores. La paciente fue dada de alta del hospital, sin complicaciones.

Figura 10 Caso 4: Ultrasonido pélvico de embarazo gemelar monocorial biamniótico de 15.5 semanas de gestación con gemelo acárdico. Feto A con fetometría acorde con las semanas de amenorrea, sin estructuras aparentes, ausencia de reflujo tricuspideo, flujo de la arteria umbilical morfológicamente con índice de resistencia, normal. Feto B: acárdico, acéfalo, de 13.3 semanas de gestación.
Caso 5
Paciente de 34 años, con antecedentes de 3 embarazos, un parto y una cesárea. El primer ultrasonido reportó: embarazo gemelar de 12.5 semanas de gestación por fetometría, bicorial, biamniótico. El segundo ultrasonido reportó: embarazo gemelar, feto A: 1223 g, placenta fúndica posterior, líquido amniótico normal. Feto B: 1215 g, placenta fúndica posterior, líquido amniótico normal. Feto C: columna vertebral, cráneo y abdomen con mal desarrollo. La paciente ingresó al hospital con 28.1 semanas de gestación, por fecha de la última menstruación. En el servicio de Medicina materno fetal se reportó un embarazo de alto orden fetal de 29.4-30.4-20.6 semanas de gestación por fetometría. Feto C óbito, con ventriculomegalia, cráneo equivalente a 20 semanas de gestación y probable lisenencefalia, edema importante de tejido subcutáneo, con múltiples imágenes quísticas sugerentes de síndrome de Klippel Trenaunay Weber. Volvió a valorarse a las 33 semanas de gestación, con diferencia de dos semanas del gemelo C, con peso estimado de 2051 g y 1849 g para los fetos A y B, respectivamente. Se hospitalizó debido a amenaza de parto pretérmino de 34 semanas. Se trató con tocolíticos, calcio-antagonistas, y el cuadro remitió temporalmente. A las 34.6 semanas de gestación se practicó la cesárea de la que se obtuvo al gemelo 1 de sexo femenino, peso 1 600 g, Apgar 7-9 y Capurro 35 semanas. El gemelo 2 óbito, de 4500 g, con aspecto dismórfico, amelia de brazo izquierdo, deformidad de cráneo, tronco y miembros inferiores (Figuras 13 y 14). El gemelo 3 era de sexo femenino, con 1200 g, Apgar 8-9, Capurro de 35 semanas de gestación, bicorial, biamniótico. Los gemelos 2 y 3 compartían placenta, con abundante líquido amniótico, fétido. La madre fue dada de alta del hospital con 2 gemelos vivos, sin complicaciones aparentes.

Figura 13 Caso 5: Feto acárdico de 4500g, aspecto dismórfico, amelia de brazo izquierdo, deformidad de cráneo, tronco y miembros inferiores.
Caso 6
Paciente de 22 años, con antecedentes de 3 embarazos y 2 partos, sin control prenatal. Acudió a urgencias asintomática, con un ultrasonido que reportó: embarazo gemelar doble de 22.3 semanas de gestación. El gemelo A vivo, de 553 g, gemelo B: no viable, de 14.4 semanas de gestación por diámetro biparietal, placenta única, corporal, líquido amniótico normal. La valoración de los especialistas en Medicina materno fetal reportó al feto B óbito, sin vitalidad, con hidrops +++ y cráneo sin encéfalo. El primer ultrasonido por materno fetal reportó: gemelo A de 26.6 semanas de gestación, con fetometría promedio acorde, peso de 850 g, sin alteraciones estructurales. Gemelo B de 15.1 semanas de gestación por fetometría, peso de 327 g, edema generalizado e imágenes quísticas cefálicas. A las 27.1 semanas de gestación se le administró un esquema de maduración pulmonar (betametasona). Fue revalorada por los especialistas en Medicina materno fetal a las 30.1 semanas de gestación, con reporte de gemelo A: peso de 1792 g e indicación de vigilancia del crecimiento. La última valoración fue a las 32 semanas con gemelo A: peso de 2300 g, vivo, con dos semanas menor a la fecha de la última menstruación, flujometría Doppler normal. El gemelo B: óbito, con hidrops. A las 34.5 semanas se decidió la interrupción del embarazo; el gemelo B óbito con riesgo de muerte del gemelo sano. El gemelo A nació por cesárea, de sexo femenino, vivo, 2300 g, talla de 43 cm, Apgar 7-9, Capurro de 35 semanas de gestación. El gemelo B óbito, de 2700 g, múltiples malformaciones incompatibles con la vida (Figuras 15 y 16), placenta única y abundante líquido amniótico. Durante el procedimiento se presentó atonía uterina, por lo que se realizó técnica de B-Lynch. La paciente evolucionó satisfactoriamente y fue dada de alta del hospital con gemelo vivo.
DISCUSIÓN
La incidencia de casos como los aquí reportados es sumamente baja: 1 caso por cada 35,000 embarazos y en 1% de los embarazos gemelares monocoriales6,7 aunque existe posibilidad de que la incidencia de embarazos gemelares monocoriales sea más frecuente de lo reportado. Van Gemert y coloaboradores2 reportaron una incidencia de 1 caso por cada 9500 a 11,000 embarazos, y de 2.6% de embarazos gemelares monocoriales. En nuestra investigación se encontró mayor incidencia de la esperada.
Moore señala que si la relación de peso entre el feto acárdico y el feto bomba es mayor de 70%, la incidencia de parto prematuro es de 90%, polihidramnios en 40% e insuficiencia cardiaca congestiva del gemelo bomba en 30% y cuando es menor a 70% sucede 75, 30 y 10%, respectivamente.8 El tratamiento in útero es profiláctico (oclusión o ablación de vasos umbilicales) y puede practicarse tan temprano como las 16 semanas de gestación, a partir de la detección de flujo sanguíneo reverso.3,9 En nuestro estudio solo una paciente recibió tratamiento prenatal invasivo en un centro de tercer nivel y concluyó en parto pretérmino muy lejano al término.
Cuando hay indicios de riesgo de supervivencia del feto bomba, está indicado el tratamiento prenatal invasivo que puede ser desde un amniodrenaje hasta diferentes técnicas de oclusión de la arteria umbilical a través de ultrasonido o fetoscopia.10,11 Se han descrito las diversas técnicas para la oclusión del cordón umbilical, con mejores resultados antes de la semana 24.7,10,12,13,14 En nuestra investigación solo una paciente recibió tratamiento intraútero a base de oclusión de los vasos umbilicales.
Las pacientes de esta serie de casos se encontraban entre la segunda y cuarta décadas de la vida; 4 de las 6 eran primigestas, de bajo nivel socioeconómico, que acudieron a pocas citas de control prenatal. En la mayoría de las pacientes la corionicidad se determinó durante el segundo trimestre pero menos de la mitad llevó control en un centro de atención de tercer nivel. Dos de los casos se diagnosticaron con los ultrasonidos del segundo trimestre, en cuatro se identificó el gemelo acárdico por los hallazgos posnatales.
Para evaluar el crecimiento fetal y Doppler en serie y detectar los signos tempranos de descompensación cardiaca en el gemelo sano es recomdable efectuar un seguimiento ecosonográfico seriado.13 Solo 4 de las pacientes fueron valoradas por especialistas en Medicina materno fetal y no se detectaron descompensaciones cardiacas de los gemelos bomba.
Es fundamental reforzar las iniciativas para conseguir el diagnóstico temprano y oportuno que permita ofrecer un mejor pronóstico para el gemelo bomba. En la actualidad no se dispone de un protocolo de atención universal aceptado que determine el momento idóneo de la interrupción del embarazo cuando existe secuencia TRAP en un embarazo gemelar. A pesar de ello la meta es lograr llevar el embarazo lo más cercano posible al término, disminuir las comorbilidades del feto bomba, propias de un recién nacido prematuro.
CONCLUSIÓN
Se expusieron 6 casos tratados de diferentes maneras y con mejores resultados con la conducta conservadora porque en los 4 casos que no recibieron tratamiento los gemelos bomba no sufrieron descompensaciones cardiacas y supervivieron, a diferencia del único caso con tratamiento intra-útero en el que hubo complicaciones que llevaron a la terminación del embarazo en el segundo trimestre. A pesar de esto la evidencia aún no es suficiente para emitir una recomendación en cuanto al tratamiento ideal. Llamó la atención que la incidencia de secuencia TRAP reportada en la bibliografía es de 1%; sin embargo, la encontrada en este estudio fue de 5.2% (aproximadamente 5 casos por cada 100 embarazos gemelares monocoriales).










nova página do texto(beta)












