Introducción
El carcinoma hepatocelular es el más común de todos los cánceres de hígado y constituye un importante problema de salud pública mundial1,2. Una gran cantidad de investigación se centra en el tratamiento óptimo de esta enfermedad, especialmente para el desarrollo de nuevas terapias sistémicas3,4. Sin embargo, las únicas modalidades terapéuticas curativas siguen siendo la resección quirúrgica, el trasplante de hígado y la ablación en casos seleccionados5,6.
La glándula suprarrenal es un sitio común de carcinoma hepatocelular metastásico, pero sigue siendo una entidad poco frecuente en la rutina clínica7,8. Sobre todo, como se comenta en la literatura, en la mayoría de los casos se documentan metástasis ipsilaterales y no de forma contralateral9,10.
Reporte de caso
Paciente de sexo masculino de 59 años, sin antecedentes personales patológicos de importancia, antecedentes heredofamiliares negados y sin referir antecedentes oncológicos por el paciente, el cual comienza su padecimiento en noviembre del 2023 con presencia de dolor abdominal en hipocondrio derecho, niega pérdida de peso, por lo que acude a valoración, donde de forma clínica se detecta tumor abdominal.
A la exploración física presenta palidez de piel y mucosas, abdomen globoso a expensas de tumor palpable en toda la región abdominal, presencia de hepatomegalia con 6 cm debajo del reborde costal, refiere dolor a la palpación profunda en cuadrante inferior derecho, sin datos de irritación peritoneal.
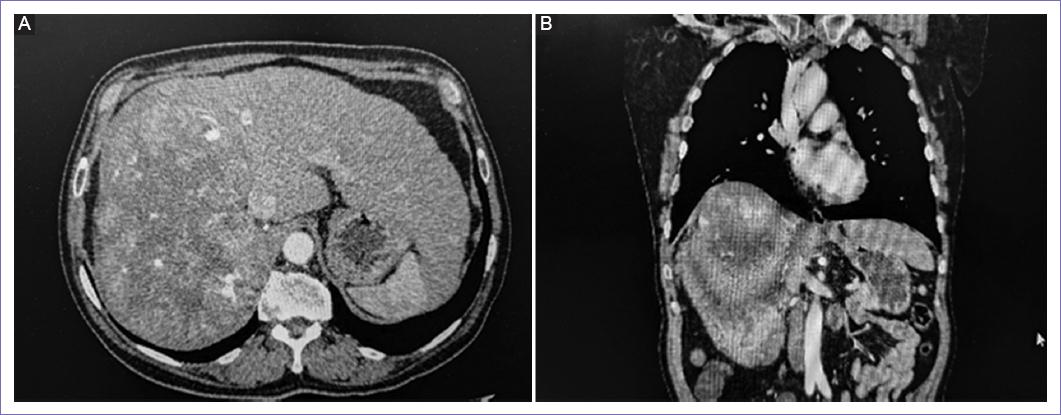
Se realizaron estudios de gabinete como tomografía de abdomen (Fig. 1) con imagen de aspecto quístico, irregular, bordes mal definidos, con importante neovascularización en segmentos IVa, IVb, V,VI, VII, de 17.5 x 13.3 x 19.9 cm que desplaza el contenido visceral.

Figura 1 A: tomografía axial de abdomen en fase contrastada tumor hepático lóbulo derecho. B: imágenes coronales por tomografía abdominal contrastada donde se evidencia tumor a nivel de hígado con elevación de hemidiafragma derecho.
Se realizó laparotomía exploradora, donde se evidenció un tumor sólido altamente vascularizado dependiente de hígado con afectación de segmentos IVa, IVb, V, VI, VII, sin otros datos de actividad tumoral (Fig. 2). Por lo que se lleva a cabo hepatectomía derecha, sin complicaciones.

Figura 2 Tumor hepático de aproximadamente 20 x 19 x 17 cm con forma irregular, pétreo y con importante vascularidad.
Se envía a patología un tumor de aproximadamente 2.2 kg con dimensiones de 27 x 25 x 15 cm con superficie externa integra, multilobulada, grisácea con aspecto nodular con reporte de carcinoma hepatocelular bien diferenciado.
Posteriormente se realiza vigilancia con tomografía (Fig. 3), sin tener ninguna complicación para la realización de esta y acudiendo adecuadamente a su cita de control donde se evidencia, ocho meses después de la intervención primaria, tumor en glándula suprarrenal izquierda homogénea, que mide 52 x 47 mm en sus ejes máximos, por lo que se propone resección quirúrgica sospechando de metástasis de primario conocido o como diagnósticos diferenciales segundo primario por ser del lado contralateral o adenoma de glándula suprarrenal.

Figura 3 A: imágenes coronales por tomografía abdominal contrastada donde se evidencia tumor a nivel de glándula suprarrenal izquierda. B: tomografía axial de abdomen en fase contrastada tumor de glándula suprarrenal izquierda en cercanía con bazo y cola de páncreas.
Se realiza intervención quirúrgica, realizando abordaje por incisión tipo Chevron e identificando tumor a nivel de glándula suprarrenal izquierda de 5 x 6 cm, en territorio con cola de páncreas, bazo y vasos renales izquierdos, así como riñón izquierdo, sin identificar otros datos de actividad tumoral.
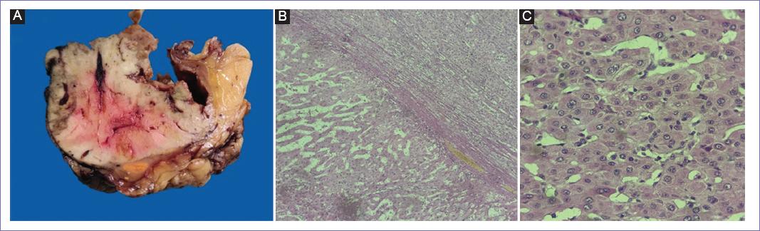
En el reporte de patología se reporta carcinoma hepatocelular residual, bien diferenciado, con extensión a glándula suprarrenal izquierda de 6 x 6 x 4 cm (Fig. 4).

Figura 4 A: glándula suprarrenal izquierda de color café-amarillo, irregular con peso de 87 g, con medidas de 6.1 x 5 x 4.5 cm, con presencia de lesión amarilla violácea y ahulada al corte. B y C: corte histológico que corresponde a neoplasia moderadamente diferenciada con patrón trabecular en la porción inferior, en la porción superior glándula suprarrenal residual, con núcleos irregulares y nucleolos pequeños.
Respecto a nuestro paciente, tuvo una buena evolución, manteniéndose asintomático, cursando con esquema de inmunoterapia (primer ciclo), otorgado el día 31 de diciembre del 2024. Sin embargo, al tratarse de un carcinoma hepatocelular metastásico la sobrevida global es de tan solo 24 meses y el periodo libre de enfermedad va del 16 al 27% a los cinco años.
Discusión
El carcinoma hepatocelular es una causa importante de morbimortalidad, según en el análisis de Alexandrescu11,12. Las metástasis a glándulas suprarrenales representan la tercera causa de metástasis extrahepática (después de las de pulmón y hueso)13, y oscilan entre el 6.9 y el 19.1%14,15. La mayoría de la bibliografía reporta metástasis en glándula suprarrenal de forma ipsilateral16,17, por lo que el poder identificar recurrencia contralateral de carcinoma hepatocelular lo hace aún más raro, con reportes según Zeineddine que van del 4 al 10%18,19.
La presencia de metástasis a nivel de glándula suprarrenal cuenta con pocos reportes en la literatura mundial20, como observamos en nuestro caso, la recurrencia fue a tan solo ocho meses de la cirugía primaria, en los diferentes reportes bibliográficos se informa que la recurrencia aparece de forma más tardía, como expresan Kawaguchi y Miyajima, donde el promedio es a los 18 a 24 meses21,22.
El tratamiento en este tipo de escenarios es valorar la factibilidad y los criterios de resección ante cualquier recurrencia, ya que la adyuvancia en carcinoma hepatocelular no es concluyente23.
La evaluación de las posibles causas, asociadas a esta patología es la agresividad de la misma histología, se puede considerar tratamiento con inmunoterapia para intentar controlar la enfermedad y tener un periodo libre de recurrencia mayor, por lo que es importante la evaluación multidisciplinaria para determinar el mejor tratamiento24.
Al reportar nuestro caso, reforzamos la importancia de entender que la biología tumoral del cáncer hepatocelular es acometedora, con opciones de tratamiento limitadas, y detectar oportunamente la progresión de la enfermedad, tanto de forma clínica como imagenológica favorece al pronóstico.










nueva página del texto (beta)


