SciELO - Scientific Electronic Library Online

 
vol.72 número4Necesidades, limitantes y oportunidades para crear un centro de excelencia de atención en asma grave en el sistema de atención pública en MéxicoOmalizumab en el tratamiento de la urticaria solar grave índice de autoresíndice de materiabúsqueda de artículos
Home Pagelista alfabética de revistas  

Servicios Personalizados

Revista

Articulo

Indicadores

Links relacionados

  • No hay artículos similaresSimilares en SciELO

Compartir


Revista alergia México

versión On-line ISSN 2448-9190

Rev. alerg. Méx. vol.72 no.4 Ciudad de México oct./dic. 2025  Epub 23-Ene-2026

https://doi.org/10.29262/ram.v72i4.1467 

Casos clínicos

Cromoblastomicosis, una enfermedad tropical desatendida: reporte de caso y revisión narrativa

Overview of Chromoblastomycosis, a neglected tropical disease: case report and narrative review

Angie Juliana Paternina-Colorado1  * 
http://orcid.org/0009-0006-1162-0362

Yadira Melo-Maecha1 
http://orcid.org/0009-0005-4889-0596

Julio César Velasco-Castro1 
http://orcid.org/0000-0003-3580-8221

Angie Lizeth Garzon-Peñuela1 
http://orcid.org/0009-0001-6967-1932

Hector Julián Cubillos-Vega1 
http://orcid.org/0000-0001-6023-2071

Sara Daniela Bernal-Otalora1 
http://orcid.org/0009-0007-2892-6795

Lorena García-Agudelo1 
http://orcid.org/0000-0001-9557-0900

1Hospital Regional de la Orinoquía, Colombia


Resumen

Antecedentes:

La cromoblastomicosis (CBM) es una micosis subcutánea crónica presente en regiones tropicales o subtropicales, causada por la inoculación traumática de varias especies de hongos melanizados, los más comunes son Fonsecaea pedrosoi y Cladophialophora carrionii, se caracteriza en etapas tempranas por máculas o pápulas eritematosas con aspecto verrugoso o hiperqueratósico, que progresan a morfologías nodulares, verrugosas, tumorales, en placa o cicatriciales.

Objetivo:

describir una presentación clásica y realizar una revisión narrativa de la CMB con un tiempo de evolución prolongado y extensión multifocal.

Reporte de caso:

Hombre de 69 años, de ocupación agricultor con antecedentes de hipertensión arterial, falla cardiaca con FEVI conservada, diverticulosis colónica y hernia umbilical. Ingresó al servicio de urgencias por cuadro de un día de disnea, escalofríos, astenia, adinamia y fiebre, compatible con neumopatía crónica exacerbada y neumonía; dado historial de 10 años de crecimiento progresivo de lesiones en piel tipo pápulas indoloras y pruriginosas que se extendieron con distintas presentaciones a otras áreas del cuerpo, se le practicó un estudio de hidróxido de potasio (KOH) evidenciando estructuras micóticas y presencia de levaduras, mientras que la biopsia de piel reportó hallazgos de hiperplasia pseudoepiteliomatosa, y abscesos intraepidérmicos con cuerpos de Medlar, patognomónicos de la CBM.

Conclusión:

Se resalta la relevancia de un diagnóstico acertado de una enfermedad tropical desatendida y la instauración de tratamiento antimicótico personalizado, además de la necesidad de un monitoreo a largo plazo debido al carácter crónico de la patología por su marcada resistencia al tratamiento.

Palabras clave: Cromoblastomicosis; Enfermedades desatendidas; Dermatomicosis

Abstract

Background:

Chromoblastomycosis (CBM) is a chronic subcutaneous mycosis present in tropical or subtropical regions, caused by the traumatic inoculation of various species of melanized fungi, the most common being Fonsecaea pedrosoi and Cladophialophora carrionii. It is characterized in early stages by erythematous macules or papules with a verrucous or hyperkeratotic appearance, which progress to nodular, verrucous, tumoral, plaque, or scar-like morphologies.

Objective:

to describe a classic presentation and conduct a narrative review of CBM with a prolonged evolution time and multifocal extension.

Case report:

69-year-old man, a farmer by occupation, with a history of hypertension, heart failure with preserved ejection fraction, colonic diverticulosis, and umbilical hernia. He was admitted to the emergency department with a one-day history of dyspnea, chills, asthenia, adynamia, and fever, consistent with exacerbated chronic lung disease and pneumonia. Given a 10-year history of progressive growth of painless and pruritic papular skin lesions that spread with various presentations to other areas of the body, a potassium hydroxide (KOH) test was performed, revealing mycotic structures and the presence of yeasts. Meanwhile, the skin biopsy reported findings of pseudoepitheliomatous hyperplasia and intraepidermal abscesses with Medlar bodies, pathognomonic of CBM.

Conclusion:

The case highlights the importance of an accurate diagnosis of an overlooked tropical disease and the establishment of personalized antifungal treatment, as well as the need for long-term monitoring due to the chronic nature of the pathology and its marked resistance to treatment.

Keywords: Chromoblastomycosis; Neglected diseases; Dermatomycoses

ANTECEDENTES

La cromoblastomicosis (CBM) es una micosis primaria subcutánea, crónica que puede desarrollarse en sitios de trauma cutáneo con exposición a fragmentos de hifas y/o conidios, cuya patogenia se da por la inoculación de un grupo de hongos dematiáceos o mielinizados (más comúnmente Fonsecaea spp. Cladophialophora spp. Phialophora y Rhinocladiella, entre otros) de forma directa a la dermis y tejido celular subcutáneo, sin embargo, pueden expandirse hacia la epidermis o a niveles más profundos, llegando a poner en riesgo las estructuras óseas, así como propagarse y generar una enfermedad sistémica; la inoculación directa transcutánea es su método de entrada principal, siendo la agricultura la actividad que se asocia con mayor frecuencia.17 El CBM se encuentra en todo el mundo, pero es más frecuente en climas tropicales y subtropicales, de abundante vegetación en América Latina, África y Asia.2

La enfermedad representa un impacto considerable en la salud pública y ha sido oficialmente reconocida por la Organización Mundial de la Salud (OMS) como una enfermedad tropical desatendida (ETD),3 puesto que impacta principalmente en las extremidades inferiores de hombres de edad media en naciones de ingresos bajos y medios, donde los hongos se contraen mediante lesiones en la piel.2,39 Las complicaciones potenciales de la cromoblastomicosis comprenden fibrosis tisular incapacitante, infección secundaria, carcinoma de células escamosas y, a menudo, alteración de órganos internos.4

Inicialmente, la cromoblastomicosis se presenta como una mácula solitaria eritematosa que puede transformarse en una pápula rosada y lisa. Más adelante pueden surgir rasgos verrugosos e hiperqueratósicos. Dentro de las manifestaciones progresivas de la enfermedad, usualmente se observan cinco formas: nodular, verrugoso, tumoral, cicatriciales y placa.4 El diagnóstico se fundamenta en tres aspectos esenciales: el clínico-epidemiológico, el de anatomía patológica y el microbiológico.5,6,810 El tratamiento para la CBM puede incluir terapia antimicótica sistémica con itraconazol o terbinafina, escisión quirúrgica, la crioterapia y/o cirugía láser.9 A continuación, se presenta un caso con el fin de describir una presentación clásica con un tiempo de evolución prolongado y extensión multifocal.

REPORTE DE CASO

Hombre de 69 años, de ocupación agricultor, procedente de área rural. Ingresó al servicio de urgencias por cuadro de un día de disnea, escalofríos, astenia, adinamia y fiebre. Al examen físico presentaba signos vitales: tensión arterial: 126/66 mmhg, frecuencia cardiaca: 105 lpm, frecuencia respiratoria: 23 rpm, saturación de oxígeno: 94%, temperatura: 38,2°C, con roncus en ambos campos pulmonares y estertores en base derecha, en piel observaron múltiples placas eritematosas, verrucosas con bordes sobreelevados, con presencia de costra en extremidades superiores e inferiores que se extendían desde dorso de pie izquierdo, cara interna de pierna izquierda hasta hemiabdomen inferior (Figura 1). Reinterrogan al paciente acerca de las lesiones cutáneas, relató que las estas aparecieron hace 10 años, con crecimiento progresivo; inicialmente comenzaron como pápulas indoloras y pruriginosas en brazo izquierdo y gradualmente se extendieron a pierna izquierda, región abdominal, dorsal y brazo derecho parcialmente e izquierdo. Aporta un reporte de biopsia de piel de dos años atrás, con inflamación aguda y crónica granulomatosa severa. Informa que no recibió tratamientos.

Figura 1. A: Placa eritematoviolacea, ligeramente elevada de bordes irregulares de distribución lineal en tórax posterior derecho. B: Placa eritematoviolácea de bordes irregulares de distribución lineal en tórax posterior izquierdo. C: Placas eritematovioláceas de bordes irregulares de distribución difusa en hemiabdomen inferior y parcialmente en hemiabdomen superior. D: Placas eritematovioláceas de bordes irregulares de distribución difusa, escamosa y sobreelevada en brazo izquierdo. E: lesión hiperqueratósica, verrugosa y seca con superficie vegetativa infiltrante con puntos negros en cuello de pie izquierdo. F: lesión eritematosa, plana, con superficie escamosa en muñeca derecha. G: Placas eritematovioláceas de bordes irregulares de distribución difusa con morfología verrugosa en pierna izquierda. 

Deciden hospitalizar al paciente y ordenan estudios e imágenes. Las imágenes revelaron neumopatía crónica exacerbada Anthonisen II, enfisema paraseptal superior y neumonía basal derecha para lo cual dieron tratamiento antibiótico endovenoso y para las lesiones en piel administraron ácido fusídico 2% tópico, sin mejoría significativa. El paciente permaneció durante siete días, durante el cual realizaron la toma de la biopsia de piel, KOH y cultivo.

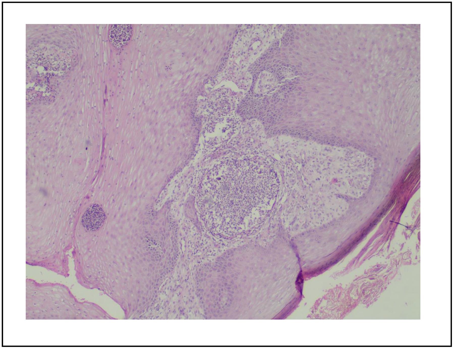
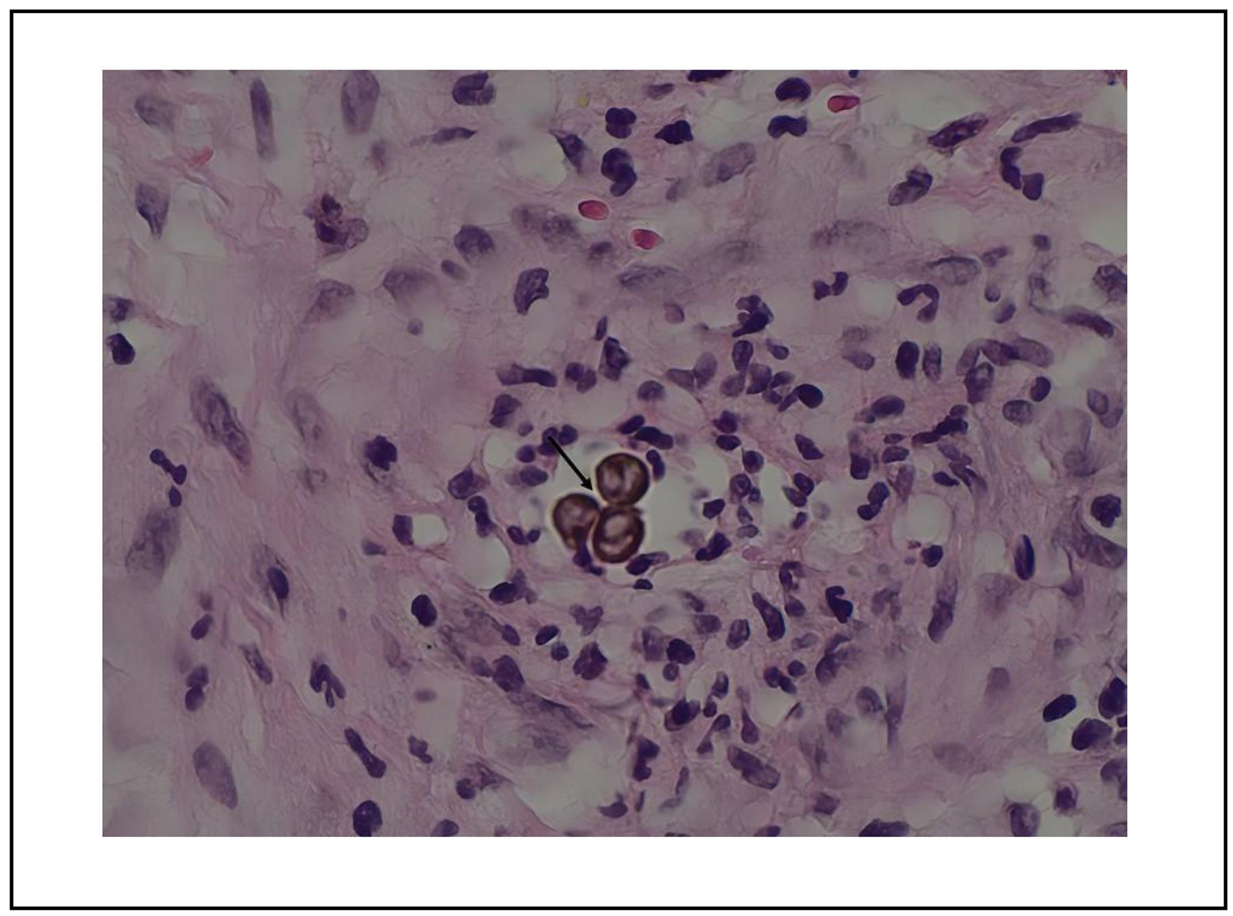
El paciente acudió a los 30 días al servicio de dermatología, quien reviso los reportes: El KOH reveló estructuras micóticas y presencia de levaduras en muestras de brazo y pie izquierdo. El aislamiento microbiológico reportó crecimiento de Fonsecaea spp. La biopsia de piel de dorso de pie izquierdo evidenció cuerpos escleróticos pigmentados conocidos como cuerpos de Medlar patognomónicos de CBM (Figura 2), además mostró hiperplasia pseudoepiteliomatosa con abscesos intraepidérmicos y los cuerpos escleróticos fúngicos pigmentados (Figura 3).

Figura 2. El examen microscópico del sitio de la biopsia (teñido con hematoxilina-eosina más plata metanamina de Grocott) reveló cuerpos escleróticos pigmentados conocidos como cuerpos de Medlar (flecha negra) patognomónicos de CBM. 

Figura 3. Hiperplasia pseudoepiteliomatosa, y abscesos intraepidérmicos con cuerpos de Medlar. 

Se indicó tratamiento con terbinafina 250 mg vía oral al día por 6 meses y prescribió seguimiento bimensual estricto para definir la necesidad de escisión quirúrgica, crioterapia adyubante, contemplar el uso de imiquimod y la duración del tratamiento de acuerdo con la evolución; le aclaro al paciente que por el tiempo de evolución y el tamaño de las lesiones posiblemente tenía que estar en tratamiento durante aproximadamente 12 meses.

DISCUSIÓN

Shenoy MM, et al. en su serie de 22 casos de cromoblastomicosis de dos centros de atención médica en la India, encontraron preponderancia entre los hombres y en el grupo de edad de 41 a 60 años. Los trabajadores manuales y agrícolas fueron comúnmente afectados.1 Correlacionándose con este caso en cuanto a la ocupación, sexo y la edad; teniendo en cuenta que el inició de síntomas fue hace 10 años, motivo por el que se encontraría dentro del rango de edad.

Suarez-Ospino N, et al. presentaron un hombre de 50 años con lesiones cutáneas verrugosas y cicatriciales de 30 años de evolución en la extremidad inferior y mano izquierda, además en cara en los últimos cinco años, con examen directo e histopatología compatibles, y cultivo para hongos positivo para Fonsecaea pedrosoi.5 Destacando la cronicidad que puede generar este tipo de infección, como en el caso presentado, con una evolución de 10 años y un aislamiento fúngico de Fonsecaea spp.

Barbosa LSP, et al. en su revisión identificaron 46 artículos con 450 pacientes, de los cuales el 83,1% eran trabajadores rurales varones con una edad media de 52,2 años. Las áreas anatómicas más afectadas fueron las extremidades inferiores 78,7%. Las presentaciones clínicas más frecuentes fueron lesiones y placas verrugosas. Los agentes más comunes responsables de la cromoblastomicosis identificados fueron Fonsecaea y Rhinocladiella spp.7 No se demuestra un comportamiento diferente de la patología con respecto a lo revisado en el paciente presentado.

La exposición de CBM puede representar un reto si no se cuenta con el conocimiento y la accesibilidad a métodos diagnósticos, tal como lo demuestra el reporte mencionado. Normalmente, CBM aparece de manera aguda, con mayor incidencia en las extremidades inferiores, como una mancha eritematosa que con el paso del tiempo se transforma en una pápula de color rosado.6 En contraste con este caso, donde las primeras lesiones aparecieron en la extremidad superior izquierda. El rascado puede causar que estas lesiones se propaguen a otras áreas del cuerpo mediante la autoinoculación; al igual que nuestro paciente que iniciaron en miembros superiores y se desplazaron a inferiores y tronco. Las lesiones crónicas pueden transformarse en morfologías nodulares, verrugosas, tumorales, cicatriciales y a placas, e incluso pueden parecer otras patologías como la ectima, los eumicetomas, lacaziosis y las verrugas.47

A pesar de las presentaciones más tradicionales, el período necesario para el diagnóstico puede oscilar entre un mes y casi cuatro décadas después de la infección (8, 9). Demostrado ampliamente en este caso. Se han descrito que los métodos diagnósticos más precisos comprenden la evaluación directa de cortes de piel, pus o exudados, además de la histopatología y el aislamiento del agente.310 Los cuales fueron empleados en este estudio.

En tratamiento se basa en antimicótico sistémico puede ser con itraconazol, voriconazol, anfotericina B o terbinafina indicado por seis a doce meses; se puede incluir conjuntamente la crioterapia y/o la cirugía láser. Se aconseja la escisión quirúrgica para lesiones primarias pequeñas, solitarias y claramente delimitadas.712 Es imprescindible un monitoreo a largo plazo para establecer si los pacientes han conseguido la curación, para lo cual es necesario realizar revisiones clínicas, micológicas e histológicas de manera regular.1120

Revisión narrativa

La cromoblastomicosis se presenta comúnmente en huéspedes inmunocompetentes, sin embargo, los receptores de trasplantes de órganos sólidos inmunodeprimidos y los pacientes con infección por VIH pueden presentar un mayor riesgo de infección. Además, los pacientes que toman tacrolimus oral pueden experimentar infecciones más frecuentes, graves y resistentes al tratamiento.20 La inoculación de hongos subcutánea provoca una cascada de inflamación granulomatosa que involucra macrófagos y células de Langerhans. Se ha descrito un predominio de IL-4 e IL-10 en lesiones verrucosas, lo que representa una respuesta inmunitaria mediada por células T helper 2. También observaron un predominio de IFN-gamma y TNF-alfa con granulomas bien formados en lesiones atróficas, lo que representa una respuesta inmunitaria mediada por células T helper 1. Si bien la afectación sistémica es poco frecuente, se describió en China, un caso de un agricultor de 42 años inmunocompetente, con afectación ósea y pulmonar, tratado con terapia antifúngica sistémica durante 20 meses con mejoría.17

El manejo de la cromoblastomicosis se basa en la severidad y la extensión de la enfermedad, lo que incluye el tamaño de las lesiones, el número de lesiones, la existencia de complicaciones y la reacción anticipada al tratamiento. Existen escasos estudios clínicos aleatorios para medir el rendimiento del tratamiento. La clasificación de la severidad de la enfermedad se realiza de la siguiente forma: a) Leve: escamas o nódulos con un diámetro de hasta 5 cm, se aborda de forma más adecuada mediante una intervención quirúrgica, usualmente una corteza quirúrgica con márgenes de 5 mm de tejido saludable, para evitar la difusión de hongos a través de los canales linfáticos. Otras técnicas quirúrgicas comprenden terapia con luz, láser de granate de itrio y aluminio dopado con neodimio (Nd:YAG) de pulso largo de 1064 nm, láser fraccionado de dióxido de carbono, terapia de calor (superior a 46 °C para efecto fungicida) y criocirugía, no obstante, se han reportado casos de recurrencia; b) Moderada: una o varias lesiones verrugosas, tumorales o en placa en 1 o 2 zonas corporales cercanas de hasta 15 cm de diámetro; c) Grave: lesiones individuales o varias en zonas amplias que superan las moderadas, estas últimas comparten similitud en manejo empleando el tratamiento con medicamentos antimicóticos. La terbinafina y el itraconazol son los tratamientos principales sugeridos, administrados en terapia oral dual con dosis de 200 a 400 mg/día y 250 a 500 mg/día, respectivamente.13,1820

El imiquimod, un modificador de la respuesta inmunitaria ha demostrado ser prometedor para potenciar la respuesta inmunitaria del huésped contra la CBM y controlar la hiperplasia cicatricial. Además, el imiquimod inhibe la síntesis de colágeno al promover la producción de la citocina Th1 TNF-γ, y también inhibe la respuesta inmunitaria celular Th2 al inhibir la producción de las citocinas Th2 IL-4, IL-5, etc., controlando en última instancia la hiperplasia cicatricial.19 La anfotericina B se recomienda en afecciones clínicas severas que no responden al tratamiento con itraconazol considerándose como alternativa. La terapia dual de 5-fluorocitosina (5-FC) a dosis de 50-150 mg/kg/día debe emplearse en conjunto con itraconazol de 100 a 400 mg/kg/día para mejorar la eficacia y la resolución de la CBM. En los casos refractarios se han reportado tratamientos multimodales que combinan antimicóticos orales, crioterapia y 5-FC tópico. No obstante, el tratamiento que ha demostrado más efectividad consiste en una dosis significativa de itraconazol y terbinafina administrada durante cerca de un año.1519

CONCLUSIÓN

El diagnóstico precoz es un elemento clave para prevenir que la enfermedad se propague a formas más graves que impliquen una mayor extensión de las lesiones. Subrayamos la importancia de incluir el diagnostico de CBM ante lesiones verrucosas en miembros inferiores o lesiones de larga data que se propagan por diferentes zonas de la piel.

Financiamiento

Los autores declaran no haber recibido financiamiento externo para este estudio.

Responsabilidades éticas

En el presente estudio no se aplicaron maniobras experimentales ni se divulgaron datos personales. El paciente autorizó, mediante consentimiento informado, la toma de imágenes y la descripción del caso clínico para la publicación con fines académicos e investigativos.

Declaración de derechos humanos y de los animales

Este artículo no contiene ningún estudio con sujetos humanos o animales realizado por ninguno de los autores.

Consentimiento informado

Se obtuvo el consentimiento informado del paciente para publicar este artículo.

Permisos

Todas las figuras y cuadros son originales.

REFERENCIAS

Shenoy MM, Girisha BS, Krishna S. Chromoblastomycosis: A Case Series and Literature Review. Indian Dermatol Online J 2023; 14 (5): 665-669. doi: 10.4103/idoj.idoj_292_23. [ Links ]

Santos DWCL, de Azevedo C de MP e S, Vicente VA, et al. The global burden of chromoblastomycosis. PLoS Negl Trop Dis 2021; 15 (8): e0009611. doi: 10.1371/journal.pntd.0009611 [ Links ]

Chromoblastomycosis. World Health Organization 2023. https://www.who.int/es/news-room/fact-sheets/detail/chromoblastomycosis [ Links ]

Queiroz-Telles F, de Hoog S, Santos DWCL, et al. Chromoblastomycosis. Clin Microbiol Rev 2017; 30 (1): 233-276. doi: 10.1128/CMR.00032-16 [ Links ]

Suárez-Ospino N, Salas-Hine I, Quiñonez-Rodríguez A, Ochoa-Díaz A, et al. Cromoblastomicosis verrugosa-cicatricial multifocal: una entidad desatendida en Colombia. Rev Chile Infectol 2023; 40 (3): 298-302. doi: 10.4067/s0716-10182023000300298 [ Links ]

García-Gómez D, López-Pérez M, Adjudah-Truffín C. Diagnóstico microbiológico en un paciente con cromomicosis. Medicentro Electrónica 2020; 691-698. http://scielo.sld.cu/scielo.php?script=sci_arttext&pid=S1029-30432020000300691&lng=es. [ Links ]

Barbosa LSP, Souza YRC, Sasaki CS, Santos DWD, Rossato L. Chromoblastomycosis in Brazil: A review of 450 published cases. Rev Soc Bras Med Trop 2024; 57: e00205-2024. doi: 10.1590/0037-8682-0132-2024. [ Links ]

Jahr C, Peruilh L, Jiménez M, Bobadilla F, et al. Cromoblastomicosis. Primer caso alóctono tratado en Chile. Rev Chile Infectol 2022; 39 (3): 349-353. doi: 10.4067/s0716-10182022000200349 [ Links ]

Lau WC, Damji Y, Orlowski GM. An unusually subtle presentation of chromoblastomycosis. JAAD Case Rep 2023; 40: 11-13. doi: 10.1016/j.jdcr.2023.07.029 [ Links ]

Campos-Macias P, Arenas R, Aquino CJ, et al. Chromoblastomycosis caused by Fonsecaea monophora in Mexico. J Med Mycol 2021; 31 (2): 101114. doi: 10.1016/j.mycmed.2021.101114 [ Links ]

Smith DJ, Queiroz-Telles F, Rabenja FR, et al. A global chromoblastomycosis strategy and development of the global chromoblastomycosis working group. PLoS Negl Trop Dis 2024; 18 (10): e0012562. doi: 10.1371/journal.pntd.0012562 [ Links ]

Informe Mundial Sobre Las Enfermedades Tropicales Desatendidas 2024. World Health Organization 2024. doi: 10.2471/B09064 [ Links ]

Kurien G, Sugumar K, Sathe NC, Chandran V. Chromoblastomycosis. In: StatPearls. Treasure Island (FL): StatPearls Publishing 2024; https://www.ncbi.nlm.nih.gov/books/NBK470253/ [ Links ]

Oprea Y, Stringer T, Mattis D, Amin B, et al. Chromoblastomycosis Caused by Fonsecaea monophora Mimicking Lichen Planus. Cureus 2024; 16 (2): e53863. doi:10.7759/cureus.53863 [ Links ]

Cinotti E, Cioppa V, Tognetti L, et al. Super-High Magnification Dermoscopy in 190 Clinically Atypical Pigmented Lesions. Diagnostics (Basel) 2023; 13 (13): 2238. doi: 10.3390/diagnostics13132238 [ Links ]

Cortonesi G, Cosetti D, Suppa M, Habougit C, et al. Non-invasive Imaging Techniques for the Diagnosis of Chromoblastomycosis. Dermatol Pract Concept 2024; 14 (4): e2024236. doi: 10.5826/dpc.1404a236 [ Links ]

Falgout L, Hilton D. Clinical presentation and management of chromoblastomycosis: A case report and review. Med Mycol Case Rep 2023; 41: 8-10. doi: 10.1016/j.mmcr.2023.05.004 [ Links ]

Khodeir J, Ohanian P, Megarbane HAR. Triple therapy approach for treating chromoblastomycosis in a Lebanese patient. Clin Case Rep 2024; 12 (10). doi: 10.1002/ccr3.9392 [ Links ]

Zheng J, Liu S, Xie Z, et al. Successful management of chromoblastomycosis utilizing conventional antifungal agents and imiquimod therapy. Ann Clin Microbiol Antimicrob 2024; 23 (1): 57. doi: 10.1186/s12941-024-00718-y [ Links ]

Martinelli MB, Cockerell CJ, Cohen PR. Treatment-Resistant Chromoblastomycosis Successfully Managed With Surgical Excision. Cureus 2024; 16 (11): e73619. doi: 10.7759/cureus.73619 [ Links ]

Referencias clave

Shenoy MM, Girisha BS, Krishna S. Chromoblastomycosis: A Case Series and Literature Review. Indian Dermatol Online J 2023; 14 (5): 665-669. doi: 10.4103/idoj.idoj_292_23. [ Links ]

Santos DWCL, de Azevedo C de MP e S, Vicente VA, et al. The global burden of chromoblastomycosis. PLoS Negl Trop Dis 2021; 15 (8): e0009611. doi: 10.1371/journal.pntd.0009611 [ Links ]

Chromoblastomycosis. World Health Organization 2023. https://www.who.int/es/news-room/fact-sheets/detail/chromoblastomy-cosis [ Links ]

Queiroz-Telles F, de Hoog S, Santos DWCL, et al. Chromoblastomycosis. Clin Microbiol Rev 2017; 30 (1): 233-276. doi: 10.1128/CMR.00032-16 [ Links ]

Recibido: 10 de Febrero de 2025; Aprobado: 08 de Julio de 2025

*Correspondencia: Angie Juliana Paternina Colorado. julianacolorado87@gmail.com

Declaraciones de conflictos de intereses

Los autores declaran no tener conflictos de interés.

Creative Commons License This is an Open Access article distributed under the terms of the Creative Commons Attribution License, which permits unrestricted use, distribution, and reproduction in any medium, provided the original work is properly cited.