SciELO - Scientific Electronic Library Online

 
vol.71 número4Angioedema hereditario tipo 1, limitaciones de la terapia profiláctica con lanadelumab: a propósito de un casoLa vacunación en México, desde las expediciones del Dr. Francisco Javier de Balmis hasta el COVID-19 (SARS-Cov-2) índice de autoresíndice de materiabúsqueda de artículos
Home Pagelista alfabética de revistas  

Servicios Personalizados

Revista

Articulo

Indicadores

Links relacionados

  • No hay artículos similaresSimilares en SciELO

Compartir


Revista alergia México

versión On-line ISSN 2448-9190

Rev. alerg. Méx. vol.71 no.4 Ciudad de México oct./dic. 2024  Epub 27-Oct-2025

https://doi.org/10.29262/ram.v71i4.1405 

Casos Clínicos

Neutropenia congénita y enfermedad de injerto contra huésped aguda postrasplante en un lactante. Reporte de caso

Congenital neutropenia and acute graft-versus-host disease in an infant. A case report

Cristian Jesús Huchim-Peña1  * 
http://orcid.org/0000-0003-3537-1007

Emiliano Catana-Gallegos2 
http://orcid.org/0000-0001-6914-430X

Nayibe Getsemaní Martín-Burgos2 
http://orcid.org/0009-0007-4683-7235

Jesús Esteban Ambrosio Pacheco-Sierra3 
http://orcid.org/0009-0002-7274-2292

1Servicio de Patogénesis Molecular, Hospital Infantil de México Federico Gómez, Ciudad de México

2Facultad de Medicina, Universidad Autónoma de Yucatán, Mérida

3Facultad de Medicina, Universidad Autónoma de Campeche, Campeche


Resumen

Antecedentes:

La neutropenia congénita es una inmunodeficiencia primaria caracterizada por una disminución en el recuento de neutrófilos. Se clasifica en leve, moderada o grave. Dentro de las opciones de tratamiento se incluye el trasplante de células progenitoras hematopoyéticas; no obstante, la enfermedad de injerto contra huésped supone una complicación importante.

Reporte de caso:

Paciente de 2 años de edad, con antecedentes médicos de neutropenia congénita. Cursó con abscesos en la piel cabelluda y celulitis preseptal, tratados satisfactoriamente. Luego de la evaluación multidisciplinaria, se inició el protocolo para recibir trasplante alogénico de células progenitoras hematopoyéticas de donador no relacionado. Se estableció el diagnóstico de enfermedad injerto contra huésped, que complicó el pronóstico y, finalmente, dio como resultado el fallecimiento de la paciente.

Conclusión:

La enfermedad injerto contra huésped sigue siendo una complicación importante en pacientes que reciben trasplantes alogénicos de células progenitoras hematopoyéticas. La identificación, abordaje y tratamiento tiene relevancia clínica, debido a la elevada morbilidad y mortalidad asociadas.

Palabras clave: Neutropenia congénita; Trasplante de células progenitoras hematopoyéticas; Enfermedad injerto contra huésped

Abstract

Background:

Congenital neutropenia is a primary immunodeficiency characterized by quantitative anomalies in neutrophil counts. It is classified as mild, moderate, or severe. Hematopoietic stem cell transplantation stands as a potential therapeutic intervention; nevertheless, graft-versus-host disease emerges as a main complication.

Case report:

We report the case of a 2-year-old female patient, with a history of congenital neutropenia. She had scalp abscesses and preseptal cellulitis, which were satisfactorily treated. After a multidisciplinary approach, a protocol was initiated to receive an allogenic hematopoietic progenitor cell transplant; graft versus host disease was subsequently diagnosed, ultimately resulting in death of the patient.

Conclusion:

Graft-versus-host disease remains a significant complication in patients who undergo allogeneic hematopoietic stem cell transplants. Its recognition, management, and treatment are clinically relevant aspects given the substantial degree of associated morbidity and mortality.

Keywords: Congenital neutropenia; Hematopoietic stem cell transplantation; Graft-versus-host-disease

ANTECEDENTES

Los neutrófilos corresponden a la línea mieloide y pertenecen a células relacionadas con la inmunidad innata. Los trastornos de los neutrófilos se dividen en cualitativos y cuantitativos.1 La neutropenia congénita es una alteración cuantitativa que pertenece al grupo de las inmunodeficiencias primarias y se clasifica en leve, moderada y grave.2,3 La etiología más frecuente es la mutación en el gen ELANE.4

El tratamiento actual de pacientes con neutropenia congénita consiste en la administración de factor estimulante de colonias de granulocitos (G-CSF) humano recombinante.3 El trasplante de células progenitoras hematopoyéticas (TCPH) es el único tratamiento en pacientes con neutropenia congénita resistente al tratamiento con G-CSF. La principal complicación, con alto grado de morbilidad y mortalidad, es la enfermedad injerto contra huésped (EICH).3,5

REPORTE DE CASO

Paciente de 2 años de edad, nacida de un primer embarazo, mediante parto eutócico (se desconocen la edad gestacional y el Apgar), con egreso del binomio a las 72 horas del evento obstétrico. Recibió alimentación con fórmula láctea desde el nacimiento, nutrición complementaria e integración a la dieta familiar a los 6 meses y 11 meses, respectivamente. Dentro de los antecedentes médicos familiares destacan: padre sano y madre con diagnóstico de neutropenia congénita desde el nacimiento, sin endogamia ni consanguinidad.

A los tres meses de edad fue hospitalizada por la aparición de abscesos en la piel cabelluda y el párpado superior derecho, durante 60 días. Fue enviada a un nosocomio de tercer nivel de atención para su atención multidisciplinaria, debido a la sospecha de neutropenia congénita.

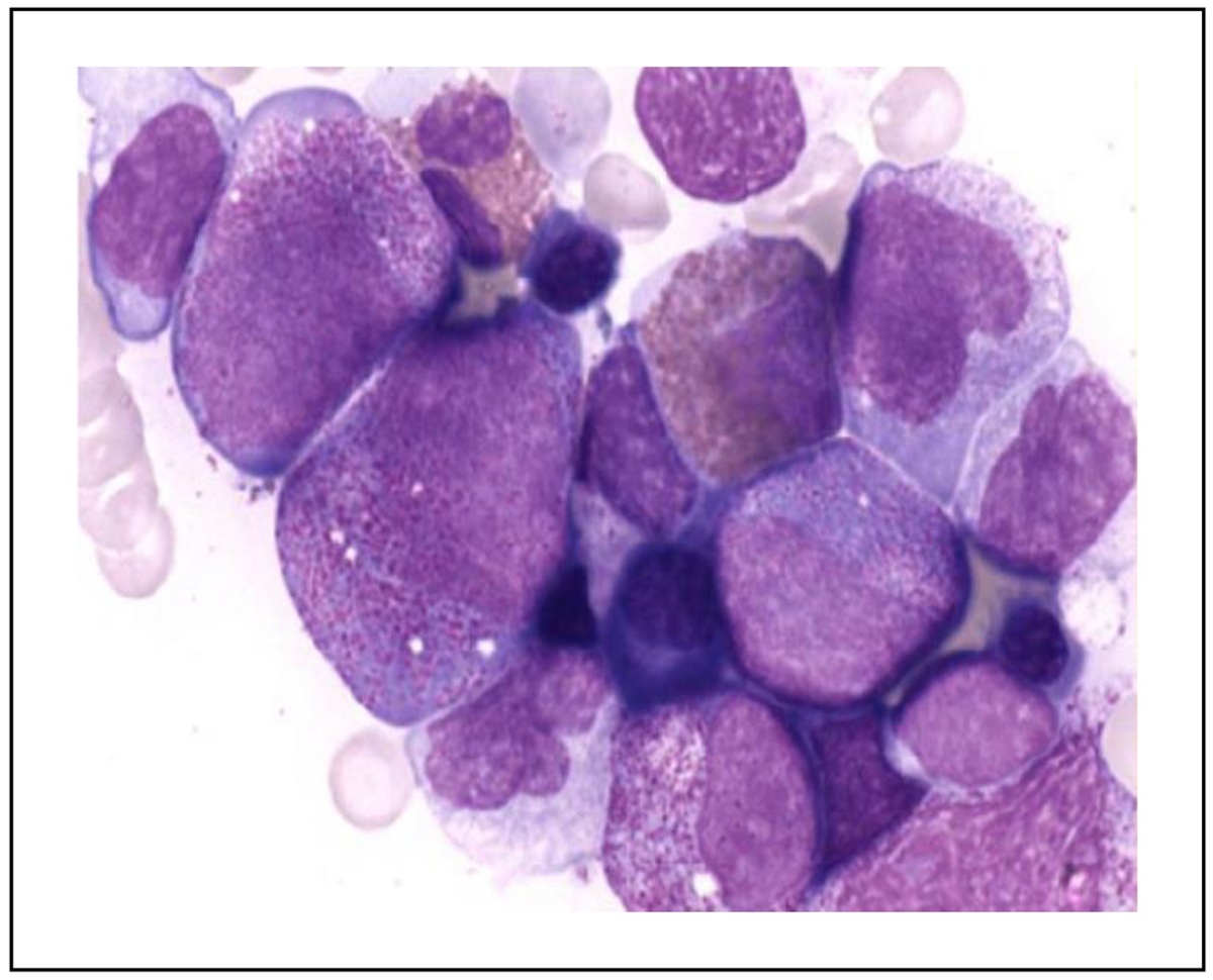
El estudio de aspirado de médula ósea demostró hallazgos compatibles con neutropenia crónica (Figura 1), por lo que se prescribió filgrastim 50 ìg por vía subcutánea, tres veces por semana, y trimetoprima-sulfametoxazol en dosis de 5 mg/kg/día por vía oral. Desde la última hospitalización se mantuvo asintomática y sin procesos infecciosos; además, por secuenciación de exoma, se encontró la variante patogénica c242G>C p.Arg91Pro heterocigota en el gen de elastasa de neutrófilos (ELANE). Las cifras de neutrófilos durante un año y previas al trasplante se describen en la Figura 2.

Figura 1. Serie blanca detenida en etapa de maduración de promielocitos y abundantes eosinófilos. Cortesía de Pathologyoutlines.com 

Figura 2. Tendencia a la baja de neutrófilos. 

Se inició el protocolo de tratamiento con trasplante de células progenitoras hematopoyéticas alogénico de donador no relacionado, 100% compatible, al segundo año de vida. Luego del procedimiento, se instauró micofenolato 600 mg/m2, tacrolimus 0.1 mg/kg/día, fluconazol 6 mg/kg y aciclovir 1500 mg/m2 por vía subcutánea.

Siete días posteriores manifestó taquibradiarritmia y episodios febriles de hasta 38.7° C. En la exploración física se encontraron: dermatosis diseminada con superficie corporal afectada del 36%, caracterizada por máculas eritematosas, mal delimitadas e irregulares; pápulas eritematosas de bordes regulares bien definidos y prurito (Figura 3); cuadro compatible con enfermedad injerto contra huésped estadio 2, grado I, por lo que se inició tratamiento con tocilizumab 12 mg/kg, metilprednisolona 2 mg/kg/día, tacrolimus por vía tópica cada 8 horas, antibióticos betalactámicos y aminoglucósidos. De manera simultánea se sospechó enfermedad injerto contra huésped hepática, debido a la elevación de las concentraciones de alanina aminotransferasa (567 U/L) y aspartato aminotransferasa (398 U/L). Dos días después tuvo convulsiones tónico-clónicas generalizadas, por lo que recibió dos dosis de midazolam 0.3 mg/kg, además de depresión respiratoria luego del segundo rescate, que requirió tratamiento avanzado de la vía aérea, con lo que manifestó una tercera convulsión, requiriendo impregnación con levetiracetam 60 mg/kg.

Figura 3. Dermatosis diseminada, caracterizada por máculas eritematosas, mal delimitadas e irregulares, con pápulas eritematosas de bordes regulares bien definidos (Imagen autorizada para su publicación por parte de la Dra. Natalia del Carmen Negroe Ocampo, Oncóloga pediatra). 

Después de ingresar a la unidad de terapia intensiva pediátrica, se solicitó una tomografía de cráneo que evidenció edema cerebral difuso, sin diferenciación de sustancia gris-blanca y colapso del sistema ventricular. Pese a los esfuerzos médicos y el subsiguiente deterioro del estado clínico de la paciente, resultó en muerte cerebral confirmada de acuerdo con los criterios de la Academia Americana de Neurología de 2021, en el día 15 postrasplante.

DISCUSIÓN

La enfermedad injerto contra huésped es la principal complicación multisistémica en pacientes que reciben trasplante alogénico de células progenitoras hematopoyéticas.5 Después de la lesión del epitelio intestinal, inducida por el tratamiento de acondicionamiento, la liberación de citocinas proinflamatorias (IL-1, IL-6, IL-12,IFNγ y TNF) activa la quimiotaxis de células del receptor, lo que genera patrones moleculares asociados con patógenos (PAMP) y patrones moleculares asociados con daño (DAMP), esto a su vez induce la interacción de células presentadoras de antígenos (APC) y células T-CD4+ y, simultáneamente, las APC del donante potencian la enfermedad mediante linfocitos T-CD8+ y presentación cruzada de antígeno leucocitario humano (HLA) del huésped, desencadenando la apoptosis de los nichos de células madre de tejidos diana susceptibles, por ejemplo: queratinocitos, células madre intestinales y células basales asociadas de Paneth.6

Los factores de riesgo incluyen: edad avanzada del donante o receptor, periodo del tratamiento de acondicionamiento, tipo de trasplante, mayor cantidad de células T en el inóculo y, el más importante, diferencia en los antígenos del sistema HLA entre el donante y el receptor.7 Los factores de riesgo del caso aquí expuesto fueron: tipo de trasplante (clasificado autólogo no relacionado), edad y género.

La enfermedad de injerto contra huésped aguda se manifiesta clínicamente con exantema diseminado y pruriginoso en el tronco, cuello y pies, aproximadamente entre 14 a 21 días posinjerto.8 El segundo órgano más afectado es el tubo digestivo, con síntomas gastrointestinales (anorexia, disfagia, íleo paralítico y diarrea exudativa, con o sin dolor abdominal, e incluso sanguinolenta en caso de úlceras en la mucosa). El hígado se afecta con menor frecuencia (< 20% de los casos), con elevación de bilirrubinas y aumento leve de transaminasas.6

La paciente de este caso manifestó síntomas compatibles con enfermedad injerto contra huésped aguda siete días después del trasplante. Luego de confirmar este diagnóstico (etapa 2, grado I), se sugirió tratamiento con corticosteroides sistémicos y anticuerpo monoclonal humanizado anti-receptor IL-6 (tocilizumab), debido a la resistencia del tratamiento. Además del exantema y los picos febriles tuvo elevación de aminotransferasas. En el contexto de enfermedad injerto contra huésped, el daño hepático suele acompañarse de alteraciones en la piel o el sistema gastrointestinal, que aunque puede sospecharse por la elevación de transaminasas, el signo temprano más común es el aumento de las concentraciones séricas de bilirrubinas y fosfatasa alcalina.8 En nuestro caso no hubo evidencia de aumento de estas enzimas.

La paciente recibió tratamiento profiláctico con micofenolato 500 mg/m2 por vía subcutánea y tacrolimus 0.1 mg/kg/día. Esta combinación ha reportado eficacia en la prevención de la enfermedad injerto contra huésped aguda y crónica. En un estudio retrospectivo, efectuado en pacientes que recibieron trasplante de células progenitoras hematopoyéticas, se observó buena tolerancia, menor incidencia de mucositis y reducción de nutrición parenteral total y analgesia narcótica; sin embargo, el tamaño de la muestra fue insuficiente, lo que significó una limitante.9

El tratamiento en pacientes con enfermedad injerto contra huésped aguda grado I consiste en glucocorticoides y, según la gravedad de la enfermedad, dependerá la vía de administración; en pacientes con grados II-IV se recomienda metilprednisolona mg/kg/día por 14 días. En caso de resistencia al tratamiento con corticosteroides, se ha optado por tocilizumab, con adecuada eficacia y reconstitución de células T reguladoras, y disminución de la gravedad de la enfermedad.10

La afectación del sistema nervioso central en sujetos con enfermedad injerto contra huésped aguda, secundaria a trasplante de células progenitoras hematopoyéticas alogénico, es rara. Debido a los hallazgos neurológicos postrasplante (convulsiones, disminución del estado de consciencia y coma), es importante descartar otras causas comunes de complicaciones (fármacos e infecciones).4

CONCLUSIÓN

La enfermedad injerto contra huésped es una complicación multisistémica grave en pacientes que reciben trasplante de células progenitoras hematopoyéticas, y aunque el diagnóstico es evidente de manera temprana y existe tratamiento profiláctico, se caracteriza por alta morbilidad y mortalidad.

Financiamiento

Este estudio no recibió apoyo financiero.

REFERENCIAS

Justiz-Vaillant AA. Neutropenia - StatPearls - NCBI Bookshelf. National Center for Biotechnology Information. https://www.ncbi.nlm.nih.gov/books/NBK507702/?report=reader. [ Links ]

Seoane-Reula ME, de Arriba-Méndez S. Diagnóstico y manejo de las inmunodeficiencias primarias en niños. Protoc diagn ter pediatr. 2019; 2: 415-35. [ Links ]

Guzmán-Cotaya R, Baeza-Bastarrachea R, Espinosa-Padilla SE. Neutropenia congénita. Alerg Asma Inmunol Pediatr 2021; 30 (1): 24-27. doi: 10.35366/100114 [ Links ]

Skokowa J, Dale DC, Touw IP, Zeidler C, et al. Severe congenital neutropenias. Nat Rev Dis Primers 2017; 3 (1). doi: 10.1038/nrdp.2017.32 [ Links ]

Malard F, Holler E, Sandmaier BM, Huang H, et al. Acute graft-versus-host disease. Nat Rev Dis Primers 2023; 9 (1): 27. doi: 10.1038/s41572-023-00438-1 [ Links ]

Moreno DF, Cid J. Enfermedad del injerto contra el receptor. Medicina Clin 2019; 152 (1): 22-28. doi: 10.1016/j.medcli.2018.07.012 [ Links ]

Ballester-Sánchez R, Navarro-Mira M, Sanz-Caballer J, Botella-Estrada R. Aproximación a la enfermedad injerto contra huésped cutánea. Actas Dermo Sifiliogr 2016; 107 (3): 183-193. doi: 10.1016/j.ad.2015.10.003 [ Links ]

Jaramillo-Esparza CM, Consuelo-Sánchez A, Acosta-Rodríguez-Bueno CP, et al. Enfermedad injerto contra huésped gastrointestinal y hepático en pacientes pediátricos con trasplante de células progenitoras hematopoyéticas en el Hospital Infantil de México Federico Gómez. Rev Gastroenterol Mex. 2018; 83 (4): 385-392. doi: 10.1016/j.rgmx.2017.10.002 [ Links ]

Hashmi H, Bhandari S, Dhanoa J, et al. Clinical Outcomes Using Mycophenolate and Tacrolimus for Graft-versus-Host Disease Prophylaxis in Patients Undergoing Allogeneic Stem Cell Transplant: A Single Institution Experience. Cureus 2020; 12 (2): e6893. doi:10.7759/cureus.6893 [ Links ]

Yucebay F, Matthews C, Puto M, et al. Tocilizumab as first-line therapy for steroid-refractory acute graft-versus-host-disease: analysis of a single-center experience. Leuk Amp Lymphoma 2019; 60 (9): 2223-2229. doi: 10.1080/10428194.2019.1573996 [ Links ]

Recibido: 22 de Febrero de 2024; Aprobado: 11 de Mayo de 2024

*Correspondencia: Cristian Jesús Huchim Peña. cristian.1204@hotmail.com

Conflictos de intereses

Los autores de este artículo declaran no tener conflicto de intereses.

Creative Commons License This is an Open Access article distributed under the terms of the Creative Commons Attribution License, which permits unrestricted use, distribution, and reproduction in any medium, provided the original work is properly cited.