SciELO - Scientific Electronic Library Online

 
vol.39 número2Artritis séptica de la primera articulación metatarsofalángica: reporte de casoOsteomielitis de codo por Candida tropicalis en leucemia linfoblástica aguda. Reporte de un caso índice de autoresíndice de materiabúsqueda de artículos
Home Pagelista alfabética de revistas  

Servicios Personalizados

Revista

Articulo

Indicadores

Links relacionados

  • No hay artículos similaresSimilares en SciELO

Compartir


Acta ortopédica mexicana

versión impresa ISSN 2306-4102

Acta ortop. mex vol.39 no.2 Ciudad de México mar./abr. 2025  Epub 19-Mayo-2025

https://doi.org/10.35366/119393 

Casos clínicos

Cirugía de revisión en artroplastía total de cadera con migración de componente acetabular al espacio subperitoneal. Reporte de caso y revisión de literatura

Total hip arthroplasty revision surgery with migration of acetabular component to the subperitoneal space. Case report and literature review

PV Cornejo-Albán1 

XA Ramos-Flores2 

CP Peñaherrera-Carrillo3 

F Endara-Urresta3 

PS Vaca-Pérez3  * 

1 Especialista en Ortopedia y Traumatología. Especialista en Cirugía de Cadera y Pelvis, Artroscopía y reemplazos articulares. Médico tratante del Hospital Metropolitano. Médico tratante del Instituto Arthros. Quito, Ecuador.

2 Especialista en Ortopedia y Traumatología. Especialista en Artroscopía y reemplazos articulares. Médico tratante del Hospital Metropolitano. Médico tratante del Instituto Arthros. Quito, Ecuador.

3 Residente de Ortopedia y Traumatología. Universidad Internacional del Ecuador. Hospital Metropolitano. Quito, Ecuador.


Resumen:

Introducción:

la cirugía de revisión en artroplastía total de cadera asociado a desgaste y aflojamiento de sus componentes se ha transformado en un procedimiento de rutina. La artroplastía de revisión se encuentra ampliamente expuesta en la literatura. Sin embargo, los casos que se presentan con aflojamiento y migración intrapélvica del componente acetabular son menos frecuentes.

Caso clínico:

femenino de 82 años, sin antecedentes clínicos de importancia, salvo por una artroplastía total de cadera derecha cementada hace un mes. La paciente no tolera la bipedestación ni la sedestación, y no deambula. Miembro inferior derecho: cadera: presencia de herida cicatrizada de aproximadamente 12 cm. Rangos de movilidad no valorables por dolor, limitados. Harris Hip Score (HHS) 16 puntos y la escala visual análoga (EVA) de 8/10, se evidencia en estudios de imagen migración medial intrapélvica de componente acetabular sin lesión de grandes vasos. Se realiza cirugía de revisión con retiro de componente acetabular y femoral. Se descarta infección mediante alfa-defensina. Posteriormente, se coloca aloinjerto óseo en defecto acetabular, luego malla metálica sobre aloinjerto y colocación de cuña de tántalo para finalmente colocar copa acetabular. Por último, se coloca vástago femoral de anclaje diafisaria, cabeza femoral de 28 mm sistema doble movilidad y reducción de componentes protésicos con adecuada estabilidad y recuperación de biomecánica de la cadera.

Conclusiones:

las distintas opciones expuestas para tratamiento y la combinación de técnicas presentan ventajas y desventajas. Las copas y aumentos de metal altamente poroso mostraron resultados satisfactorios para corregir defectos severos como es el caso expuesto, con una mejoría en HHS de 64 puntos y EVA de 8 puntos al año postquirúrgico.

Palabras clave: artroplastía total de cadera; acetábulo; revisión de artroplastía de cadera; Paprosky; protrusión copa acetabular; migración intrapélvica

Abstract:

Introduction:

revision surgery in total hip arthroplasty associated with wear and loosening of its components has become a routine procedure. Revision arthroplasty is widely exposed in the literature. However, cases presenting with loosening and intrapelvic migration of the acetabular component are less frequent.

Clinical case:

female, 82 years old, with no clinical history of importance, except for a total right hip arthroplasty cemented one month ago. The patient does not tolerate standing or sitting, and does not ambulate. MID: hip: presence of a healed wound of approximately 12 cm. Limited ranges of mobility not assessable due to pain. HHS 16 points and VAS 8/10, showing imaging studies showing intrapelvic medial migration of the acetabular component without lesion of the great vessels. Revision surgery was performed with removal of the acetabular and femoral components. Infection was ruled out using alpha-defensin. Subsequently, a bone allograft is placed in the acetabular defect, then metallic mesh over the allograft, and a tantalum wedge is placed to finally place an acetabular cup. Finally, a diaphyseal anchorage femoral stem was placed, a 28 mm femoral head with a double mobility system and reduction of prosthetic components with adequate stability with recovery of hip biomechanics.

Conclusions:

the different options exposed for treatment and the combination of techniques present advantages and disadvantages. Highly porous metal cups and augmentations showed satisfactory results to correct severe defects, as is the case described, with an improvement in HHS of 64 points and VAS of 8 points one year after surgery.

Keywords: total hip replacement; acetabulum; revision hip arthroplasty; Paprosky; acetabular cup protrusion; intrapelvic migration

Introducción

La cirugía de revisión en artroplastía total de cadera asociado a desgaste y aflojamiento de sus componentes se ha transformado en un procedimiento de rutina y se ha ido incrementando en los años recientes debido al aumento de artroplastías primarias de cadera.

Las distintas posibilidades quirúrgicas por medio de distintas técnicas y materiales se encuentran en constante mejora y desarrollo; sin embargo, se mantiene como un proceso demandante y expone al paciente a riesgos elevados, como daño neurovascular o posibles lesiones de órganos pélvicos.1

La artroplastía de revisión se encuentra ampliamente expuesta en la literatura. No obstante, los casos que se presentan con aflojamiento y migración intrapélvica del componente acetabular son menos frecuentes y representan un problema complejo que demanda al cirujano una planificación preoperatoria detallada para la resolución.

El retiro del material protésico y reemplazo con nuevos implantes representa otro reto. El cirujano debe identificar posibles riesgos, preservar órganos aledaños, mantener stock óseo adecuado y buscar alternativas para la restauración de la biomecánica de la pelvis y cadera.1,2,3

El presente artículo describe un caso clínico y revisión bibliográfica de una complicación poco frecuente en artroplastía total de cadera tratado de manera exitosa: migración de componente acetabular al espacio subperitoneal.

Para el presente artículo se realizará investigación secundaria basada en las diferentes bases de datos médicas como PubMed, Cochrane, Science Direct, ISCIII; se utilizarán términos MeSH, para la obtención de fuentes de información.

Se utilizará el método PRISMA para la selección de los distintos artículos de los cuales se obtendrá la información a ser presentada. Los artículos se clasificarán de acuerdo al nivel de evidencia acorde a los criterios Oxford, buscando tener predominancia de revisiones sistemáticas y ensayos clínicos.

Caso clínico

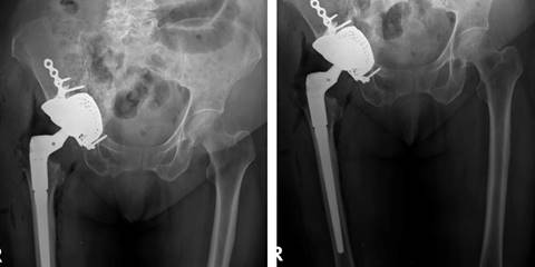
Femenino de 82 años. Sin antecedentes clínicos de importancia, salvo por una artroplastía total de cadera derecha cementada hace un mes. Acude por dolor en cadera derecha e incapacidad a la deambulación. La paciente refiere dolor en cadera derecha que limita realizar fisioterapia y no tolera bipedestación ni sedestación. Examen físico: paciente no deambula. Miembro inferior derecho: cadera: presencia de herida cicatrizada de aproximadamente 12 cm. Rangos de movilidad no valorables por dolor, limitados. Acortamiento clínico de 1 cm neurovascular distal conservado. Harris Hip Score (HHS) de 16 puntos y escala visual análoga (EVA) de 8/10. Se solicitaron estudios radiográficos complementarios (Figura 1).

Figura 1: Radiografía anteroposterior de pelvis, obturatriz y alar de cadera derecha, se evidencia migración medial intrapélvica de componente acetabular. 

Con los hallazgos encontrados se solicitan estudios de imagen adicionales (Figuras 2 y 3).

Figura 2: Tomografía de pelvis, se observa migración medial intrapélvica de componente acetabular y fractura acetabular transversa: A) corte coronal, B) axial y C) sagital. 

Figura 3: Reconstrucción 3D de tomografía contrastada, se evidencia ausencia de lesión de grandes vasos por migración medial intrapélvica de componente acetabular. 

Se diagnostica defecto acetabular óseo Paprosky4 IIIB + protrusión acetabular + fractura transversa de acetábulo + aflojamiento aséptico de vástago femoral en todas las zonas de Gruen a excepción de la zona 4 y 11. Por lo que se propone una cirugía de revisión protésica.

Técnica quirúrgica

Se realiza abordaje quirúrgico sobre cicatriz previa tipo Hardinge,5 posterior a la profundización de planos se encuentra abundante tejido fibroso. Se realiza capsulotomía y se evidencia migración intrapélvica de componente acetabular y fractura de acetábulo de las dos columnas tipo transversa con defecto óseo acetabular central Paprosky IIIB. Se evidencia líquido intraarticular de aspecto inflamatorio y se descarta infección mediante la prueba de alfa-defensina (Synovasure® defensin) de Zimmer Biomet (Indiana, Estados Unidos). Se procede a la luxación controlada y remoción de componente acetabular y femoral. Se coloca aloinjerto cadavérico de cabeza femoral en fondo acetabular, cubriendo defecto central de tamaño aproximado de 4 × 5 centímetros (Figura 4A); después se coloca la malla metálica previamente moldeada de Zimmer Biomet (Indiana, Estados Unidos) en fondo acetabular (Figura 4B).

Figura 4: A) Colocación de aloinjerto óseo en fondo acetabular. B) Colocación de malla metálica en fondo acetabular sobre aloinjerto óseo. 

Posteriormente, se realiza osteosíntesis de fractura acetabular con placa de reconstrucción de 3.5 milímetros 10 orificios más placa de tercio de caña 4 orificios con tornillos corticales respectivos de DePuy Orthopaedics (Indiana, Estados Unidos). Una vez estabilizado el acetábulo, se coloca cuña de tántalo de 50 × 10 milímetros más dos tornillos de fijación (40 y 35 mm) de Zimmer Biomet en defecto superior acetabular (Figura 5).

Figura 5: Colocación de cuña de tántalo superior de 50 X 10 milímetros. 

Se coloca copa acetabular no cementada Cupule Quattro 50 milímetros de Zimmer Biomet y se verifica estabilidad. Subsecuentemente, se realiza fresado de canal femoral y colocación de cemento óseo previo a inserción de vástago femoral de revisión tipo Arcos 13 × 150 milímetros más cono proximal de Zimmer Biomet. Finalmente, se coloca cabeza femoral de 28 milímetros doble movilidad par de fricción metal polietileno de Grupe Lepine (Genay, Francia).

Se realiza reducción de componentes protésicos y verificación de adecuada estabilidad. Síntesis de diéresis y control radiográfico postquirúrgico (Figura 6).

Figura 6: Control radiográfico postquirúrgico inmediato. 

El postquirúrgico se manejó con carga precoz a las 8 horas postquirúrgicas con adecuada tolerancia a la sedestación y bipedestación, analgesia, antibiótico y tromboprofilaxis. Se dio alta médica a las 48 horas con siete días de antibiótico y tromboprofilaxis por 35 días.

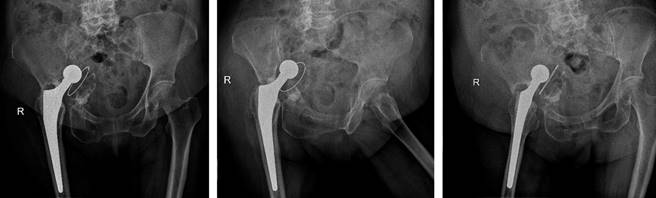
Se realiza seguimiento clínico y radiográfico a los 30, 60 días y al año, evidenciándose un Harris Hip Score final de 80 puntos y EVA de 0/10. No se evidencia migración medial de componente acetabular, además de adecuada osteointegración de los componentes protésicos (Figura 7).

Figura 7: A) Control radiográfico postquirúrgico a los 30 días. B) Control radiográfico postquirúrgico a los 60 días. C) Control radiográfico postquirúrgico al año. 

Discusión

Se han publicado distintos métodos de clasificación para los defectos óseos acetabulares en artroplastía primaria de cadera. Los dos más utilizados son la clasificación de D’Antonio (AAOS) y la clasificación de Paprosky.4,6,7,8,9

La clasificación de la AAOS fue desarrollada por D’Antonio en 1989, en este sistema los defectos se dividen en cinco posibilidades que son progresivas, que a su vez se basan en dos categorías de defectos segmentarios (que se producen por la pérdida completa del soporte del hueso) y defectos cavitarios (pérdida de sustancia ósea). El tipo I se establece con un defecto segmentario menor y que puede ser periférico. El tipo II se define como un defecto cavitario periférico (superior, anterior o posterior). El tipo III es la combinación de defectos segmentario y cavitario con la columna posterior intacta. El tipo IV se establece por la discontinuidad pélvica, en el cual la pelvis superior y la pelvis inferior se encuentran separadas. Tipo V denominado «artrodesis», es un defecto técnicamente complejo para identificar la ubicación del acetábulo verdadero y representa una deficiencia técnica.6,7,8,9,10,11,12,13,14 La limitante de la clasificación subyace que no aborda la manera de manejo de los distintos efectos.

Por estos limitantes, en 1990, se introduce la clasificación de Paprosky, dicho sistema se basa en hallazgos preoperatorios y evaluación intraoperatoria, se establece en la presencia o ausencia del borde acetabular y la capacidad para proporcionar un soporte rígido para el componente acetabular implantado.9,11,12,13,14 La integridad del centro de la cadera y los cuatros soportes acetabulares se evalúan en la radiografía anteroposterior (AP) de la pelvis: la lágrima, cúpula superior, línea de Kohler, isquion. Los defectos tipo I poseen una mínima pérdida ósea focal, la forma hemisférica del acetábulo se mantiene sin osteólisis periprotésica. Los defectos tipo II muestran una distorsión de la forma acetabular; no se encuentran afectadas la columna anterior ni posterior, pero se evidencia un déficit de la cúpula anterior o de la pared medial.9,11,12,13,14 Este defecto a su vez se subdivide en IIA con forma ovalada del acetábulo, lisis superior menor de 2 cm leve migración superior, con el borde superior intacto; IIB similar al anterior pero con migración del componente superolateralmente; IIC el implante puede migrar medialmente por deficiencia de la pared medial.9,11,12,13,14 Tipo III se evidencia importante pérdida de stock óseo con migración del implante de más de 3 cm, destrucción del borde acetabular y estructuras de apoyo. En este tipo de defecto se establece al acetábulo como una esfera de reloj, por lo que los defectos IIIA se extienden desde las 10 hasta las 2 con 30 a 60% de destrucción ósea. IIIB es una pérdida ósea mayor al 60% que involucra ambas paredes y ambas columnas con una severa obliteración de la lágrima y lisis severa del isquion con una migración superomedial. Estos pacientes presentan alta probabilidad de discontinuidad pélvica, por ende, alta probabilidad de fractura de acetábulo.4,14,15,16,17

La artroplastía de revisión se encuentra indicada cuando se presenta un problema en la prótesis que puede ser corregido quirúrgicamente. Un examen físico exhaustivo que incluya rango de movimiento y discrepancias de longitud en las extremidades, así como la musculatura de cadera y capacidad ambulatoria, más exámenes complementarios adecuadamente guiados, permiten clasificar a los pacientes de la mejor manera para una correcta planificación quirúrgica.

De igual forma, el médico debe solicitar exámenes de laboratorio detallados que incluyan recuento de glóbulos blancos, tasa de sedimentación (VSG) y nivel de proteína C reactiva (PCR) para excluir infección de la articulación y, por ende, un aflojamiento de componentes por esta causa.17,18,19,20,21

Las radiografías simples son básicas para orientar el diagnóstico. La radiografía AP y la cross Table de cadera son esenciales para entender la posible migración del implante, la osteólisis isquiática y la obliteración en forma de lágrima. Radiografías de Judet, alar y obturatriz son cruciales para observar cómo se encuentra la columna anterior y la columna posterior, además de realizar un análisis del stock óseo.

Posterior a las radiografías iniciales, es altamente recomendable solicitar una tomografía computarizada, ya que su reconstrucción tridimensional es altamente rentable para la planificación, el análisis de osteólisis pélvica y la discontinuidad pélvica. La resonancia magnética presenta limitaciones frente a la tomografía en esta patología específica.17,18,19,20,21

Cuando el componente acetabular ha migrado medialmente a la línea ilioisquiática es altamente recomendable solicitar una angiografía para descartar posibles complicaciones o patologías.

En el mayor caso de migraciones del componente acetabular suele encontrarse tejido fibroso o remodelaciones óseas que mantiene separación en la cavidad pélvica. Las alternativas de resolución se encuentran entre:

  1. Injertos óseos.

  2. Injertos óseos con malla.

  3. Reforzamiento con aros y cajas antiprotrusión.

  4. Injerto estructural.

  5. Componentes hemisféricos sin cemento.

  6. Componentes extra grandes.

  7. Aumentos modulares.

  8. Acetábulo con caja.

  9. Distracción acetabular.

Injerto óseo por impactación con malla de metal. Está indicado en defectos segmentarios y combinados (Paprosky IIIA y IIIB), esta técnica debería evitarse cuando los defectos segmentarios severos se combinan con importantes deficiencias mediales. Las fallas generalmente se encuentran relacionadas con fracturas y con una posible migración de la malla de acero inoxidable, reabsorción del injerto o posibles micromovimientos.21,22,23,24,25

Un estudio sistemático realizado por Baauw y colaboradores presentaron una tasa de reoperación de 7.4%, una tasa de revisión acetabular de 6.4 y 8.8% de aflojamiento radiográfico. Además, demostró una tasa de revisión del sistema antiprotrusión de 3.5%.3

La principal ventaja de esta técnica es la restauración del stock óseo; en pacientes con defecto de Paprosky IIIB esta técnica presenta una mayor tasa de fallo que los casos IIIA.21,22,23,24,25

Anillos de refuerzo y jaulas antiprotrusión. Esta técnica se recomienda para severas pérdidas óseas y discontinuidad pélvica (Paprosky IIB, IIIA, IIIB; AAOS tipo 3 y 4). Los dispositivos a utilizarse fueron diseñados para la protección de injerto morselizado y que soportaran altas cargas de energía y estrés para evitar la reabsorción temprana o aflojamiento temprano de la copa, busca la creación de un puente que transfiera la energía de carga del hueso huésped al hueso periférico. El implante a utilizarse debe fijarse en el lado distal y borde superior del foramen obturador, mientras que la placa proximal se fija en el hueso ilíaco.21,22,23,24,25

Los anillos y jaulas presentan una alternativa de costo relativamente bajo para solucionar los defectos acetabulares con resultados clínicos positivos, funcionan de manera óptima en pacientes de baja demanda. Los anillos se encuentran contraindicados en defectos de pared medial y en defectos óseos inferiores. Las jaulas siguen siendo de gran utilidad, ya que abarcan el defecto acetabular y a la vez generan un centro de rotación anatómico generando un centro de apoyo estructural amplio.21,22,23,24,25,26,27,28,29

Aloinjerto estructural. Técnica utilizada en defectos Paprosky II y III. Los aloinjertos de cabeza femoral se recomiendan en defectos Paprosky IIA y IIB, mientras que el de fémur distal o tibia proximal se recomiendan para defectos Paprosky IIIA. En los defectos IIIB se recomienda utilizar un aloinjerto de fémur proximal que puede ser cortado en un plano coronal y colocado sobre el defecto.

El estudio de DeWal reportó un aflojamiento de 15% de materiales utilizados, pero no se observaron signos de reabsorción del injerto.29,30,31

La mayor desventaja que se ha presentado por el uso de aloinjerto son las tasas de infecciones y la mala cicatrización. La ventaja de esta técnica se observa en pacientes más jóvenes, quienes son los candidatos ideales para la técnica.

Copas hemisféricas no cementadas. Son altamente recomendadas para defectos Paprosky tipo I y II, se puede rellenar el defecto previo al uso de la copa con injerto óseo esponjoso. La revisión de Della Valle demostró una supervivencia de la técnica de 15 años sin presentar defectos. En casos de defectos IIA, las copas podrían colocarse superiormente y rellenar el defecto con injerto, sin embargo, debe considerarse el cambio del centro de rotación, generando un aumento en la probabilidad de luxación por un cambio en el brazo de palanca. Una de las ventajas es la fijación estable y la respuesta biológica, no obstante, los malos resultados se presentan por los cambios en el brazo de palanca.29,30,31

Copa extra grande. Una opción en caso de defectos Paprosky tipo II y III. Se maneja un diámetro mayor a 66 mm en hombres y mayor a 62 mm en mujeres, una guía es 10 mm mayor al diámetro utilizado en la prótesis previamente. Ésta tiene múltiples ventajas como ser una técnica sencilla, los defectos óseos se rellenan con injerto óseo extenso, existe una mayor área de contacto entre el implante y el hueso receptor, además de que el centro de rotación de la cadera se traduce más lateral e inferior. Entre las desventajas se encuentran la pérdida de stock óseo, no se puede rellenar defectos en dirección superoinferior sin un marcado fresado de la parte anterior o posterior de la columna. Una contraindicación absoluta para la técnica es la pérdida masiva de hueso acetabular del borde superolateral o de la columna posterior. Von Roth en su estudio reportó 83% de probabilidad de éxito a los 20 años y el caso más frecuente de reintervención es el cambio de liner.29,30,31

Copas oblongas. Técnica indicada en defectos óseos segmentarios con una prevalencia de migración superior y diámetros longitudinales, que son mayores que sus diámetros transversales. Útil en defectos Paprosky IIA, IIB y IIIA. Las copas oblongas son la alternativa que se adapta de mejor forma a los grandes defectos óseos oblongos, en los cuales no se adaptan las copas hemisféricas. Con esta técnica se evita realizar un marcado fresado en la columna anterior y posterior. Existen tres tipos de copas oblongas: las bilobadas, el longitudinal y la BOFOR. Volpin, en su estudio, reportó una tasa de fallo de 5.9% con un posible aflojamiento aséptico de 3.9% y una tasa de luxación de 2.4%. La principal ventaja de las copas oblongas es su relativa facilidad de implantación y su sencilla incorporación a presión.31

Aumentos modulares de metal poroso. Representan una opción para la reconstrucción de defectos óseos severos, Paprosky IIIA, IIIB y discontinuidad pélvica. La mayor porosidad permite un aumento proporcional en la interfaz de resistencia en comparación con los implantes convencionales y el alto coeficiente de fricción presenta una mejoría marcada en la estabilidad. Por lo general, copas altamente porosas se utilizan en defectos Paprosky tipo I y II; cuando la pérdida ósea es mayor a 50% se puede combinar la técnica con cajas y/o jaulas. En caso de grandes efectos intracavitarios, los aumentos porosos se fijan al hueso previo a su fijación del acetábulo.31,32,33 En defectos extracavitarios los aumentos se pueden colocar posterior de las copas acetabulares, proporcionando de esta manera una superficie más estable de fijación.

El uso de material metálico, en lugar de injertos óseos, evita ciertos riesgos asociados al uso de aloinjertos. Jenkins, en su estudio, informó un aflojamiento aséptico con esta técnica, se presenta en 3% de los pacientes.

Configuración de aumento de copa + «contrafuerte volador»: en defecto segmentario periférico, en el cuadrante posterosuperior Paprosky tipo IIIA.33,34,35

Configuración de aumento de copa + «cúpula»: en forma elíptica, defectos cavitarios contenidos, cuando la dimensión anteroposterior del acetábulo impidió simplemente fresar hasta un zócalo jumbo Paprosky tipo IIIA.

Copa + «footing»: defectos segmentarios masivos o cavitarios mediales para apoyar la copa Paprosky tipo IIIB.33,34,35

Sistemas de reconstrucción de jaula de copa. Técnica recomendada en defectos óseos severos Paprosky III y discontinuidad pélvica crónica. Es un híbrido de técnica basada con una copa altamente porosa con pressfit en combinación con injerto óseo, además una caja o jaula para distribuir de mejor forma las cargas, se cementa el revestimiento y el centro de rotación de la cadera se devuelve al estado fisiológico previo. Luego que la copa se encuentre adecuadamente integrada, se realiza descarga impidiendo se presente aflojamientos mecánicos. El estudio de Abolghasemian y su equipo reportaron una tasa de éxito de 88.5%.33,34,35,36,37

La técnica de «media jaula» (sin reborde isquiático) fue descrito como soporte de apoyo, donde el tornillo colocado en el isquion o la rama púbica evita el fracaso de la copa.

Triflange acetabular personalizado. Son una opción viable en defectos tipo IIIA y IIIB. De costo elevado, presentan una gran alternativa por su posibilidad de preparación prequirúrgico en tomografía y su abanico de posibilidades de personalización acorde a cada caso. El cirujano tiene la posibilidad de seleccionar la ubicación y dirección de los tonillos acorde a sus necesidades, así como planificar la inclinación y anteversión necesarias. La principal desventaja subyace al momento de no existir un apoyo total, el apoyo deficiente condena al implante a complicaciones mecánicas, por lo que no se recomienda en casos de discontinuidad pélvica.37,38,39

De Martino y colaboradores, en su estudio, demuestran complicaciones de 29% de los casos, debido a las altas demandas técnicas de estos métodos. De hecho la técnica quirúrgica requiere una disección amplia de tejidos blandos con posibles daños neuromusculares.23

Distracción acetabular. Tratamiento alternativo descrito para la discontinuidad pélvica. Se basa en la colocación de distractores extraacetabulares para permitir la distracción lateral y central o la compresión medial en la discontinuidad pélvica. La técnica proporciona una mecánica de marcha estable tanto de manera inicial como al momento de la curación del hueso.39,40,41

Un ajuste estable de la copa con estabilidad anterosuperior y posteroinferior en sus columnas es obligatorio en esta técnica para una reconstrucción exitosa. La copa se fija con tornillos en el isquion y rama púbica superior para evitar micromovimientos. Sporer reportó una tasa de falla de este método de 5%. Su ventaja resulta de una curación reproducible en casos de discontinuidad pélvica crónica con una probabilidad menor de aflojamiento posterior del implante. Su desventaja es la complejidad de realización y la falla en la definición de la distracción requerida.39,40,41

Conclusiones

Los defectos óseos acetabulares y la migración de dichos componentes es uno de los principales retos a los cuales podría enfrentarse el cirujano ortopedista. El sistema de clasificación de Paprosky es el más utilizado para describir los distintos defectos y determinar las distintas alternativas de tratamiento.

Las distintas opciones expuestas para tratamiento y la combinación de técnicas presenta ventajas y desventajas, pero el cirujano debe saber seleccionarlas cuidadosamente y puede convertirse en el determinante entre el éxito o el fracaso al momento de intervenir al paciente.

La planificación preoperatoria, la evaluación y clasificación preoperatoria guían el tratamiento y determinan el éxito o fracaso del mismo.

Entre las técnicas, las copas y aumentos de metal altamente poroso mostraron resultados satisfactorios para corregir defectos severos como es el caso expuesto con una mejoría en HHS de 64 puntos y EVA de 8 puntos al año postquirúrgico.

A pesar de los avances a mediano plazo no existe un consenso en cuanto a la reconstrucción que garantice una mejor supervivencia a largo plazo. El resultado de una prótesis de revisión depende de múltiples factores incluyendo la correcta clasificación del paciente, una planificación preoperatoria exhaustiva, consideración de alternativas quirúrgicas, una correcta planificación de materiales a utilizarse y, finalmente, un buen cuidado postoperatorio y rehabilitación.

Referencias bibliográficas

1. Bou Monsef J, Parekh A, Osmani F, Gonzalez M. Failed total hip arthroplasty. JBJS Rev. 2018; 6(11): e3. Available in: http://dx.doi.org/10.2106/JBJS.RVW.17.00140 [ Links ]

2. Jain S, Grogan RJ, Giannoudis PV. Options for managing severe acetabular bone loss in revision hip arthroplasty. A systematic review. Hip Int. 2014; 24(2): 109-22. Available in: http://dx.doi.org/10.5301/hipint.5000101 [ Links ]

3. Baauw M, van Hooff ML, Spruit M. Current construct options for revision of large acetabular defects: A systematic review. JBJS Rev. 2016; 4(11). Available in: http://dx.doi.org/10.2106/JBJS.RVW.15.00119 [ Links ]

4. Paprosky WG, Perona PG, Lawrence JM. Acetabular defect classification and surgical reconstruction in revision arthroplasty. A 6-year follow-up evaluation. J Arthroplasty. 1994; 9(1): 33-44. [ Links ]

5. Hardinge K. The direct lateral approach to the hip. J Bone Joint Surg Br. 1982; 64-B(1): 17-9. Available in: http://dx.doi.org/10.1302/0301-620x.64b1.7068713 [ Links ]

6. Howie DW, Neale SD, Haynes DR, Holubowycz OT, McGee MA, Solomon LB, et al. Periprosthetic osteolysis after total hip replacement: molecular pathology and clinical management. Inflammopharmacol. 2013; 21(6): 389-96. Available in: http://dx.doi.org/10.1007/s10787-013-0192-6 [ Links ]

7. Patel PD, Potts A, Froimson MI. The dislocating hip arthroplasty. prevention and treatment. J Arthroplasty. 2007; 22: 86-90. [ Links ]

8. Bozic KJ, Kurtz SM, Lau E, Ong K, Vail TP, Berry DJ. The epidemiology of revision total hip arthroplasty in the United States. J Bone Joint Surg Am. 2009; 91(1): 128-33. Available in: http://dx.doi.org/10.2106/JBJS.H.00155 [ Links ]

9. Kurtz S, Ong K, Lau E, Mowat F, Halpern M. Projections of primary and revision hip and knee arthroplasty in the United States from 2005 to 2030. J Bone Joint Surg Am. 2007; 89(4): 780-5. Available in: http://dx.doi.org/10.2106/JBJS.F.00222 [ Links ]

10. Jafari SM, Coyle C, Mortazavi SMJ, Sharkey PF, Parvizi J. Revision hip arthroplasty: infection is the most common cause of failure. Clin Orthop Relat Res. 2010; 468(8): 2046-51. Available in: http://dx.doi.org/10.1007/s11999-010-1251-6 [ Links ]

11. Howie DW, Neale SD, Martin W, Costi K, Kane T, Stamenkov R, et al. Progression of periacetabular osteolytic lesions. J Bone Joint Surg Am. 2012; 94(16): e1171-6. Available in: http://dx.doi.org/10.2106/JBJS.K.00877 [ Links ]

12. Nieminen J, Pakarinen T-K, Laitinen M. Orthopaedic reconstruction of complex pelvic bone defects. Evaluation of various treatment methods. Scand J Surg. 2013; 102(1): 36-41. Available in: http://dx.doi.org/10.1177/145749691310200108 [ Links ]

13. Volpin A, Konan S, Biz C, Tansey RJ, Haddad FS. Reconstruction of failed acetabular component in the presence of severe acetabular bone loss: a systematic review. Musculoskelet Surg. 2019; 103(1): 1-13. Available in: http://dx.doi.org/10.1007/s12306-018-0539-7 [ Links ]

14. Maccauro G, Liuzza F, Scaramuzzo L, Milani A, Muratori F, Rossi B, et al. Percutaneous acetabuloplasty for metastatic acetabular lesions. BMC Musculoskelet Disord. 2008; 9(1): 66. Available in: http://dx.doi.org/10.1186/1471-2474-9-66 [ Links ]

15. Spinelli MS, Ziranu A, Piccioli A, Maccauro G. Surgical treatment of acetabular metastasis. Eur Rev Med Pharmacol Sci. 2016; 20(14): 3005-10. [ Links ]

16. Fryhofer GW, Ramesh S, Sheth NP. Acetabular reconstruction in revision total hip arthroplasty. J Clin Orthop Trauma. 2020; 11(1): 22-8. Available in: http://dx.doi.org/10.1016/j.jcot.2019.11.004 [ Links ]

17. D’Antonio JA, Capello WN, Borden LS, Bargar WL, Bierbaum BF, Boettcher WG, et al. Classification and management of acetabular abnormalities in total hip arthroplasty. Clin Orthop Relat Res. 1989; (243): 126-37. P [ Links ]

18. Saleh KJ, Holtzman J, Gafni A, Saleh L, Jaroszynski G, Wong P, et al. Development, test reliability and validation of a classification for revision hip arthroplasty. J Orthop Res. 2001; 19(1): 50-6. Available in: http://dx.doi.org/10.1016/S0736-0266(00)00021-8 [ Links ]

19. Parvizi J, Tan TL, Goswami K, Higuera C, Della Valle C, Chen AF, et al. The 2018 definition of periprosthetic hip and knee infection: an evidence-based and validated criteria. J Arthroplasty. 2018; 33(5): 1309-14.e2. Available in: http://dx.doi.org/10.1016/j.arth.2018.02.078 [ Links ]

20. Reid C, Grobler G, Dower B. Revision total hip arthroplasty: addressing acetabular bone loss. SA Orthop J. 2012; 11: 34-46. [ Links ]

21. Egawa H, Powers CC, Beykirch SE, Hopper RH Jr, Engh CA Jr, Engh CA. Can the volume of pelvic osteolysis be calculated without using computed tomography? Clin Orthop Relat Res. 2009; 467(1): 181-7. Available in: http://dx.doi.org/10.1007/s11999-008-0522-y [ Links ]

22. Cahir JG, Toms AP, Marshall TJ, Wimhurst J, Nolan J. CT and MRI of hip arthroplasty. Clin Radiol. 2007; 62(12): 1163-71; discussion 1172-3. Available in: http://dx.doi.org/10.1016/j.crad.2007.04.018 [ Links ]

23. Martino D, Strigelli I, Cacciola V. Survivorship and clinical outcomes of custom triflange acetabular components in revision total hip arthroplasty: a systematic review. J Arthroplasty. 2019; 34: 2511-8. [ Links ]

24. Sporer SM. How to do a revision total hip arthroplasty: revision of the acetabulum. Instr Course Lect. 2012; 61: 303-11. [ Links ]

25. Slooff TJ, Schimmel JW, Burna P. Cemented fixation with bone grafts. Orthop Clin North Am. 1993; 24(4): 667-77. Available in: http://dx.doi.org/10.1016/s0030-5898(20)31847-2 [ Links ]

26. Schreurs BW, Bolder SB, Gardeniers JW, Verdonschot N, Slooff TJ, Veth RP. Acetabular revision with impacted morsellised cancellous bone grafting and a cemented cup. A 15- to 20-year follow-up. J Bone Joint Surg Br. 2004; 86(4): 492-7. [ Links ]

27. Gie GA, Linder L, Ling RS, Simon JP, Slooff TJ, Timperley AJ. Impacted cancellous allografts and cement for revision total hip arthroplasty. J Bone Joint Surg Br. 1993; 75(1): 14-21. Available in: http://dx.doi.org/10.1302/0301-620X.75B1.8421012 [ Links ]

28. Boldt JG, Dilawari P, Agarwal S, Drabu KJ. Revision total hip arthroplasty using impaction bone grafting with cemented nonpolished stems and Charnley cups. J Arthroplasty. 2001; 16(8): 943-52. Available in: http://dx.doi.org/10.1054/arth.2001.25559 [ Links ]

29. Comba F, Buttaro M, Pusso R, Piccaluga F. Acetabular reconstruction with impacted bone allografts and cemented acetabular components. A 2- to 13-year follow-up study of 142 aseptic revisions. J Bone Joint Surg Br. 2006; 88: 865-9. [ Links ]

30. Buttaro MA, Comba F, Pusso R, Piccaluga F. Acetabular revision with metal mesh, impaction bone grafting, and a cemented cup. Clin Orthop Relat Res. 2008; 466(10): 2482-90. Available in: http://dx.doi.org/10.1007/s11999-008-0442-x [ Links ]

31. Garcia-Cimbrelo E, Cruz-Pardos A, Garcia-Rey E, Ortega-Chamarro J. The survival and fate of acetabular reconstruction with impaction grafting for large defects. Clin Orthop Relat Res. 2010; 468(12): 3304-13. Available in: http://dx.doi.org/10.1007/s11999-010-1395-4 [ Links ]

32. Bostrom MP, Lehman AP, Buly RL, Lyman S, Nestor BJ. Acetabular revision with the Contour antiprotrusio cage: 2- to 5-year followup: 2- to 5-year followup. Clin Orthop Relat Res. 2006; 453: 188-94. Available in: http://dx.doi.org/10.1097/01.blo.0000246533.37006.b0 [ Links ]

33. Gaiani L, Bertelli R, Palmonari M, Vicenzi G. Total hip arthroplasty revision in elderly people with cement and Burch-Schneider anti-protrusio cage. Chir Organi Mov. 2009; 93(1): 15-9. Available in: http://dx.doi.org/10.1007/s12306-009-0019-1 [ Links ]

34. Hsu C-C, Hsu C-H, Yen S-H, Wang J-W. Use of the Burch-Schneider cage and structural allografts in complex acetabular deficiency: 3- to 10-year follow up. Kaohsiung J Med Sci. 2015; 31(10): 540-7. Available in: http://dx.doi.org/10.1016/j.kjms.2015.08.001 [ Links ]

35. Jones L, Grammatopoulos G, Singer G. The Burch-Schneider cage: 9-year survival in Paprosky type 3 acetabular defects. clinical and radiological follow-up. Hip Int. 2012; 22: 28-34. [ Links ]

36. Kerboull M, Hamadouche M, Kerboull L. The Kerboull acetabular reinforcement device in major acetabular reconstructions. Clin Orthop Relat Res. 2000; 378(378): 155-68. Available in: http://dx.doi.org/10.1097/00003086-200009000-00025 [ Links ]

37. Okano K, Miyata N, Enomoto H, Osaki M, Shindo H. Revision with impacted bone allografts and the Kerboull cross plate for massive bone defect of the acetabulum. J Arthroplasty. 2010; 25(4): 594-9. Available in: http://dx.doi.org/10.1016/j.arth.2009.04.003 [ Links ]

38. Regis D, Sandri A, Bonetti I, Bortolami O, Bartolozzi P. A minimum of 10-year follow-up of the Burch-Schneider cage and bulk allografts for the revision of pelvic discontinuity. J Arthroplasty. 2012; 27(6): 1057-63.e1. Available in: http://dx.doi.org/10.1016/j.arth.2011.11.019 [ Links ]

39. Wegrzyn J, Pibarot V, Jacquel A, Carret J-P, Béjui-Hugues J, Guyen O. Acetabular reconstruction using a Kerboull cross-plate, structural allograft and cemented dual-mobility cup in revision THA at a minimum 5-year follow-up. J Arthroplasty. 2014; 29(2): 432-7. Available in: http://dx.doi.org/10.1016/j.arth.2013.05.030 [ Links ]

40. Regis D, Magnan B, Sandri A, Bartolozzi P. Long-term results of anti-protrusio cage and massive allografts for the management of periprosthetic acetabular bone loss. J Arthroplasty. 2008; 23: 826-32. [ Links ]

41. Gill TJ, Sledge JB, Müller ME. The Burch-Schneider anti-protrusio cage in revision total hip arthroplasty. Indications, principles and long-term results. J Bone Jt Surg Br. 1998; 80: 946-53. [ Links ]

1Financiamiento: no hubo financiación para el artículo.

2Conflicto de intereses: ninguno de los autores posee conflicto de intereses.

Recibido: 15 de Abril de 2024; Aprobado: 23 de Septiembre de 2024

*Autor para correspondencia: Paul Santiago Vaca-Pérez. E-mail: santiago_104@hotmail.es

Creative Commons License Este es un artículo publicado en acceso abierto bajo una licencia Creative Commons