Introducción
El quiste de Rathke es infrecuente, representa menos del 1% de las masas cerebrales primarias; por lo general es asintomático; al crecer provoca cefalea, diplopía y visión borrosa por compresión de estructuras vecinas. Su origen es en la bolsa de Rathke, una invaginación ectodérmica en el estomodeo que, entre la tercera y cuarta semana, crece dorsalmente hacia el infundíbulo, lo que da origen a la adenohipófisis.
Se presenta un caso de quiste de la bolsa de Rathke1 (QBR) con recidiva cinco años después de haber sido resecado, en paciente neurológicamente íntegro, sin alteraciones endocrinológicas.
Caso clínico
Paciente masculino de 66 años, quien cinco años atrás, por estudio de senos paranasales, se realizó tomografía axial computarizada (TAC) de cráneo en la que se encontró lesión quística en área de hipófisis. La exploración neurológica fue normal incluyendo campimetría, de igual modo los resultados de laboratorio endocrinológico fueron normales. Se realizó resonancia magnética (RM) de región hipofisiaria encontrando quiste de la bolsa de Rathke (QBR) vs quiste epidermoide (Figura 1).

Figura 1: Imágenes de resonancia magnética cerebral con medio de contraste; en (A) ponderada en T1 en corte sagital y en (B) corte coronal, se muestra proceso ocupativo intrasillar, con intensidad de líquido cefalorraquídeo de comportamiento hiperintenso, encapsulado con diámetros de 173 × 165 mm, que corresponde a quiste de la bolsa de Rathke.
Se efectuó cirugía por vía transesfenoidal con resección total de la lesión y el reporte histopatológico confirmó QBR (Figura 2). El seguimiento cada seis meses con RM de control reportó silla turca vacía con cambios quirúrgicos; el último control con RM cinco años después de la cirugía mostró crecimiento tumoral (Figura 3). Fue reintervenido vía transesfenoidal con resección total del quiste y de la hendidura de Rathke; histopatológicamente se confirmó diagnóstico por fragmento de adenohipófisis con arquitectura histológica preservada y pared fibrosa de quiste. El control con RM después de seis meses no muestra progresión o crecimiento, el paciente se encuentra asintomático.

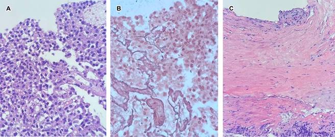
Figura 2: Microfotografías que muestran: (A) con tinción hematoxilina/eosina fragmento de adenohipófisis con arquitectura histológica preservada; en (B) con tinción de retículo de Gordon Sweet y, en (C) cápsula de quiste de pared fibrosa, no se documentó revestimiento epitelial de la superficie capsular.

Figura 3: Imágenes de resonancia magnética cerebral con medio de contraste; en (A) ponderada en T1 en corte coronal y en (B) corte sagital ponderado en T2, se muestra proceso ocupativo intrasillar, con intensidad de líquido cefalorraquídeo de comportamiento hiperintenso, que corresponde a quiste de la bolsa de Rathke que incrementó su tamaño cinco años después de la primera cirugía.
Discusión
Voelker y colaboradores2 en una revisión de 122 casos reportaron localización intra y suprasillar en 90 pacientes; intrasillar en 22; suprasillares en 15 y uno en seno esfenoidal.
La tomografía muestra masa con densidad de líquido que no refuerza con contraste; la resonancia magnética muestra una masa hiperintensa en T1, hiperintensa o isointensa en T2; el quiste no refuerza con medio de contraste. Histológicamente, el contenido del QR es amarillento en 37% y mucinoso en 51% con alto contenido proteico y de colesterol. La cirugía es el tratamiento de elección.
De acuerdo con la revisión sistemática y metaanálisis efectuado por Ao Qian y colegas,3 de 2,539 casos, la recurrencia del quiste es muy frecuente, incrementándose dramáticamente después de los 72 meses (como en este caso después de cinco años de haber sido resecado). Al respecto, los factores asociados a recidiva son presencia de metaplasia escamosa y el grado de extensión de extirpación del quiste. El diagnóstico diferencial incluye lesiones quísticas afectando a la región sillar o hipotalámica como los craneofaringiomas, mucocele, quiste dermoide y meningioma lipomatoso.










nueva página del texto (beta)



