Introducción
La condromatosis sinovial fue descrita por primera vez en 1813 (Leannac), como un proceso metaplásico benigno del tejido sinovial articular, de vainas tendinosas o bursas, con formación de nódulos cartilaginosos,1-3 afecta principalmente a varones (4-2:1) entre la tercera y quinta décadas.3 Más de 50% se localizan en rodilla, ya sea intraarticular o extraarticular, afectando más al compartimento anterior,4,5 otras articulaciones afectadas son: cadera, codo, hombro y tobillo.1 Clínicamente presentan dolor, restricción del rango del movimiento, edema/aumento de volumen, reblandecimiento articular, crepitaciones, bloqueo y masas palpables.1
Puede ser primaria o idiopática y secundaria, por alteración preexistente de tipo degenerativo, inflamatorio o traumático. En 1977, Milgram describió tres fases basadas en cambios proliferativos y sugirió el manejo para cada uno.1,2
Fase 1. Enfermedad intrasinovial activa. Ausencia de cuerpos libres condrales. Tratamiento: sinovectomía.
Fase 2. Enfermedad transicional. Inicia formación de cuerpos condrales. Tratamiento: sinovectomía + extracción cuerpos condrales.
Fase 3. Enfermedad tardía inactiva. Ausencia de alteración intrasinovial. Persisten cuerpos libres. Tratamiento: extracción cuerpos condrales.1,2
Diagnóstico y tratamiento
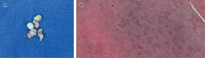
Biopsia: indicada en casos de crecimiento rápido, empeoramiento sintomático o diagnóstico incierto.3 Macroscópicamente son brillantes, blanco-griscáceos de consistencia firme. Microscópicamente presentan condrocitos dentro de matriz hialina.4
En radiografía presentan calcificaciones intraarticulares (70-95%) con patrón en arco y anillos o lesiones con calcificación periférica.1,3
Las características en resonancia magnética (RM) dependen de la fase,3 inicialmente hay engrosamiento del tejido sinovial,3 el patrón más frecuente son lesiones condrales en “granos de arroz”, con morfología lobulada, homogéneos, intensidad de señal intermedia en T1 y alta en T2 y pueden presentar realce periférico;1,5 los fragmentos ya osificados presentan baja señal en T1 y T2.3
El tratamiento de elección es la resección quirúrgica vía abierta o artroscópica.
Caso clínico
Mujer de 55 años de edad, refiere caída de su propia altura sobre rodilla izquierda presentando dolor moderado en la región anterolateral y limitación funcional, como único antecedente: múltiples microtraumatismos previos en rodilla. Se le solicita resonancia magnética simple (Figura 1) identificando imagen característica de condromatosis sinovial, después se realiza artroscopia con resección de fragmentos condrales libres (Figura 2), sin observar cambios en tejido sinovial y se envían a patología, confirmando la alteración (Figura 3).

Figura 1: Resonancia magnética de rodilla izquierda. A) Sagital T1. B) Sagital T2. C) Coronal en DP FS. Imagen nodular intraarticular anterior al cuerno anterior del menisco lateral, de comportamiento isointenso en T1, heterogéneo con señal intermedia-alta en T2 e hiperintenso en DPFS, con ausencia de efecto de masa.
Discusión
La condromatosis sinovial focal (CSF) es una entidad poco descrita en la literatura, siendo la rodilla la articulación más afectada. La RM se considera el estudio de mayor utilidad para caracterizar e identificar la localización precisa y su relación con estructuras adyacentes.1,4
Con el avance de la tecnología, la extracción de fragmentos condrales a través de artroscopia ha incrementado en los últimos años debido a sus diversas ventajas sobre la cirugía abierta, entre ellas, un menor tiempo quirúrgico, evita daño macroscópico del tejido sano proporcionando menor morbilidad y rehabilitación postoperatoria temprana. Se recomienda combinar con sinovectomía, lo que reduce el índice de recurrencias menor a 1%.2
La condromatosis de localización inframeniscal, como el caso presentado, son los más difíciles de detectar vía artroscópica, en especial cuando son pequeños, por lo que se recomienda realizar una exploración cuidadosa para la extracción total de fragmentos.










nueva página del texto (beta)




