Introducción
Los biomodelantes son sustancias que se introducen en el cuerpo humano con fines estéticos, difieren en calidad, lo que produce daños a los tejidos dependiendo del tipo de material utilizado y su localización. La mayoría de los pacientes cuando acuden al hospital ya tienen un compromiso muy avanzado de los tejidos, por lo cual, su tratamiento es más complejo. Generalmente, las aplicaciones son realizadas por personal que no está capacitado, que conlleva un mayor riesgo de complicaciones.1
Caso clínico
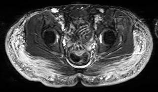
Paciente de 30 años con antecedentes de aplicación de modelantes en las regiones glúteas hace 10 años. Desde hace tres años presenta dolor en ambas piernas, con zonas induradas y cambios de coloración. Se le realizó resonancia magnética de las regiones glúteas y piernas identificando imágenes globulares y lineales irregulares de comportamiento isointenso en el T1, hiperintenso en el T2, hiperintenso en las secuencias de saturación grasa (Fat-Sat) y en STIR (Short Inversion Time Inversion Recovery) con compromiso de los tejidos blandos superficiales y de los planos musculares que afectan a los glúteos mayor y medio (Figuras 1 y 2).

Figura 1: Resonancia magnética regiones glúteas. Axial STIR. Imágenes globulares y lineales con infiltración de los músculos glúteos mayores y medios compatibles con modelantes.

Figura 2: Resonancia magnética regiones glúteas. Coronal STIR. Distribución de los biomodelantes en las regiones glúteas con infiltración de planos musculares
En el estudio de resonancia magnética (RM) de piernas se identificó edema de tejidos blandos superficiales de ambas piernas con depósitos de material modelante en la porción superior del músculo gemelo medial de la pierna derecha y en la pierna izquierda se observa material modelante en toda su longitud sin compromiso de los planos musculares (Figura 3).
Discusión
Una realidad que actualmente enfrentamos con mayor frecuencia es la enfermedad por biomodelantes. El desconocimiento de las repercusiones en la salud y del agente empleado ha llevado al su uso indiscriminado con fines estéticos y personal poco entrenado.2
La resonancia magnética es el método de diagnóstico de elección, permite la localización del material modelante, su distribución, extensión y profundidad a los tejidos adyacentes. La mayoría de estas sustancias están compuestas por agua, con comportamiento hipointenso en T1, hiperintenso en T2 y T2 con supresión grasa (STIR, Fat-Sat, SPAIR) y por su alto peso molecular, son hiperintensos en secuencias T2 con supresión de grasa y agua (silicon-only o FSE T2 IR), el tejido inflamado realza con el contraste (gadolinio). Estas características permite identificarlas, pero no ayuda a determinar el material utilizado.3 Los patrones de distribución son: globulares, lineales o pseudonodulares. Pueden existir adenomegalias. Las aplicaciones más frecuentes se dan en las regiones glúteas con repercusión hacia los músculos glúteo mayor y medio.1
Según la calidad del material modelante y su lugar de aplicación, la aparición de las complicaciones es variable, la clínica fluctúa entre siete a 12 años de la aplicación con sustancias inertes como el silicón, a diferencia de los aceites minerales, el cual se presenta entre tres a cinco años.1 La aparición de infecciones se ha documentado en estudios realizados en México y Cali en 11.7 y 2.7% respectivamente, cuyos gérmenes aislados fueron Mycobacterium fortuitum y E. coli productora de beta-lactamasa (BLEE).4,5
La profundidad de infiltración y extensión de las sustancias modelantes requieren un tratamiento multidisciplinario, su complejidad determina el tipo de abordaje terapéutico a utilizar.4










nueva página del texto (beta)



