SciELO - Scientific Electronic Library Online

 
vol.22 número4La inteligencia artificial (IA) en la medicina y su aprendizajeUso del cuestionario de STOP-BANG para síndrome de apnea obstructiva del sueño como complemento para la valoración preanestésica de la vía aérea en pacientes sometidos a anestesia general índice de autoresíndice de materiabúsqueda de artículos
Home Pagelista alfabética de revistas  

Servicios Personalizados

Revista

Articulo

Indicadores

Links relacionados

  • No hay artículos similaresSimilares en SciELO

Compartir


Acta médica Grupo Ángeles

versión impresa ISSN 1870-7203

Acta méd. Grupo Ángeles vol.22 no.4 México sep./oct. 2024  Epub 31-Ene-2025

https://doi.org/10.35366/117513 

Artículos originales

Signo del vaso hiperdenso por TC simple de tórax evaluada con ventana cerebral como indicador de tromboembolia pulmonar en pacientes con sospecha clínica

Sign of hyperdense vessel on plain chest CT scan assessed with brain window as an indicator of pulmonary thromboembolism in patients with clinical suspicion

Rubén Uriostegui Flores1  * 

José Luis Ríos Reina2 

Carolina González Vergara2 

1 Departamento de Radiología e Imagen. Hospital Angeles Mocel. Facultad de Medicina, Universidad La Salle. Ciudad de México. México.

2 Médico radiólogo. Hospital Angeles Mocel. Facultad de Medicina, Universidad La Salle. Ciudad de México. México.


Resumen:

Introducción:

la tromboembolia pulmonar (TEP) es una enfermedad potencialmente mortal, siendo fundamental un diagnóstico precoz por pruebas de imagen. El signo de vaso hiperdenso por tomografía computarizada (TC) es un hallazgo precoz, de isquemia cerebral, de valor pronóstico y topográfico. Actualmente se desconoce su viabilidad a nivel pulmonar.

Objetivo:

determinar si el signo del vaso hiperdenso por TC simple de tórax con ventana cerebral es un indicador temprano de TEP en pacientes con sospecha clínica.

Material y métodos:

se realizó un estudio observacional, transversal, retrospectivo, analítico, en el Departamento de Radiología e Imagen del Hospital Angeles Mocel, de enero-2018 a octubre-2020. Fueron seleccionados, por muestreo no probabilístico, 15 expedientes digitales de pacientes con diagnóstico de TEP y con TC de tórax simple. Para el análisis, se usaron medidas de tendencia central, pruebas de χ2 y U de Mann-Whitney, un valor de p < 0.05 se consideró estadísticamente significativo.

Resultados:

edad promedio de 60 años. Existió dependencia entre el tipo de TEP con el tipo de arteria afectada (principal) (p = 0.03); y el tipo de trombosis con el signo de vaso hiperdenso positivo (p = 0.001).

Conclusión:

la probabilidad de trombosis pulmonar completa es seis veces mayor cuando se presenta el signo de vaso hiperdenso por TC.

Palabras clave: vaso hiperdenso; indicador TEP; tromboembolia pulmonar; tomografía; TC; tórax

Abstract:

Introduction:

pulmonary embolism (PE) is a potentially fatal disease and is essential for an early diagnosis by imaging tests. The CT hyperdense vessel sign is an early finding of cerebral ischemia with prognostic and topographic value. Its viability at the pulmonary level is currently unknown.

Objective:

to determine whether the hyperdense vessel sign on the chest with cerebral window is an early indicator of PE in patients with clinical suspicion.

Material and methods:

an observational, cross-sectional, retrospective, analytical retrospective study was performed in the Radiology and Imaging of Hospital Angeles Mocel from January 2018 to October 2020. By non-probabilistic sampling, we selected 15 digital records of patients with a PET and CT chest history. Measures of central tendency, χ2, and Mann Whitney U, with p-value < 0.05, were used for the analysis.

Results:

15 files were evaluated, with a mean age of 60. There was dependence between the type of PTE, with the type of affected artery (main) p = 0.03, and the type of thrombosis, with the sign of positive hyperdense vessel (p = 0.001).

Conclusion:

the probability of complete pulmonary thrombosis is six times higher when the CT hyperdense vessel sign is present.

Keywords: hyperdense vessel; PE indicator; pulmonary embolism; tomography; CT; thorax

Introducción

La tromboembolia venosa (TV) abarca a la trombosis venosa profunda (TVP) y al tromboembolismo pulmonar (TEP).1 Es una condición en la cual se produce oclusión del vaso arterial pulmonar por un émbolo, proveniente de las extremidades inferiores en 90% de los casos; dicho émbolo viaja por el torrente sanguíneo, para finalmente alojarse en la circulación arterial pulmonar y causar el tromboembolismo pulmonar.2

El embolismo venoso incrementa su frecuencia conforme aumenta la edad y predomina en mujeres con edad por debajo de 55 años. Entre 20 y 30% de los casos se consideran de origen idiopático.3

Afecta a 71 personas por cada 10,000 habitantes por año en la población general y asciende a 960 por cada 10,000 en pacientes hospitalizados.4

El Centro de Control y Prevención de Enfermedades de Estados Unidos estima que el TEP ocasiona cerca de 60,000 a 100,000 muertes al año; lo que la coloca como la tercera causa de muerte de origen cardiovascular en el mundo, precedido por el evento cerebral vascular e infarto agudo al miocardio.5

El TEP es de difícil diagnóstico, debido a sus síntomas inespecíficos y a la presentación clínica variada, desde pacientes asintomáticos hasta aquellos en choque cardiogénico.6 El TEP es un trastorno potencialmente mortal, por lo que el diagnóstico precoz es fundamental para la instauración de un tratamiento adecuado, con la finalidad de contrarrestar las complicaciones asociadas.7

La prueba de imagen de elección para el diagnóstico de TEP es el angio-TC de tórax.8 Sin embargo, Zhang Y y colaboradores mencionan que la rentabilidad costo-beneficio de la angiografía pulmonar por tomografía computarizada (TC), para el diagnóstico de la TEP, en relación con otras pruebas, no fue concluyente.9

Mínguez-Sabater y asociados destacan la importancia del signo del vaso hiperdenso en la arteria cerebral posterior, considerándolo un hallazgo radiológico por TC precoz, de valor topográfico y pronóstico, asociado a un mayor volumen de infarto isquémico.10

Con base en lo mencionado, el presente artículo tiene como objetivo principal determinar si el signo de vaso hiperdenso a nivel pulmonar por medio de TC simple de tórax con evaluación con ventana cerebral (W:80 L:40), es un indicador temprano de tromboembolia pulmonar en pacientes sospechosos, con el fin de evitar exponer al paciente a estudios invasivos, mayor dosis de radiación, o pacientes con alguna contraindicación al medio de contraste que retrasa su diagnóstico y abordaje médico.

Materiales y métodos

Estudio observacional, transversal, retrospectivo y analítico, realizado en el Servicio de Radiología e Imagen del Hospital Angeles Mocel de enero 2018 a octubre 2020. Se incluyeron archivos digitales de pacientes con diagnóstico de tromboembolia pulmonar confirmado por angiotomografía y que contaran con TC simple de tórax, además de tener su expediente registrado en el Sistema de Comunicación y Archivado de Imágenes (PACS).11 Dentro de los criterios de eliminación se destaca una imagen de tomografía simple no valorable, y casos con información personal incompleta.

Debido a las características del universo en estudio no se realizó un cálculo de tamaño de muestra, ya que se trabajó con el universo completo, es decir, se identificó al total de expedientes de pacientes con los criterios de inclusión antes mencionados registrados en el PACS. El universo estuvo constituido por 15 expedientes. Las principales variables en estudio fueron: edad y sexo del paciente, vaso afectado (arterias principales o segmentarias) y presencia del signo de vaso hiperdenso.

Para identificar el signo de vaso hiperdenso en la tomografía simple de tórax, se empleó la ventana cerebral estándar: la cual tiene una amplitud (W-Width) a 80 unidades Hounsfield (UH) y un nivel (L-Level) de 40 UH.12

Posteriormente a la captura de la información, se procedió a trascribir los datos de los pacientes a una hoja prediseñada de Excel; por último, se exportaron al programa estadístico Epi Info 7, el cual es un software de uso libre que no requiere de licencia para su manejo.

El análisis estadístico descriptivo se realizó con medidas de tendencia central; y para establecer la dependencia entre las variables categóricas y la presencia o no de trombosis pulmonar, se utilizó χ2, se consideró significancia estadística un valor de p < 0.05. Se empleó la prueba U de Mann-Whitney para variables numéricas. Los datos se obtuvieron del sistema de información PACS, el cual es una base de datos digital.

Resultados

Se evaluaron un total de 15 expedientes. La edad promedio de los pacientes fue 60.1 ± 21.12 años (rango 25 a 86 años).

La variable edad se sometió a una prueba de normalidad para determinar la distribución de la misma, la cual resultó ser anormal de acuerdo al test estadístico de U de Mann-Whitney (Figura 1).

Figura 1: Distribución de los casos de acuerdo a la edad. 

Para la distribución de los casos por tipo de trombosis versus signo de vaso hiperdenso, destaca que el signo de vaso hiperdenso estuvo presente en nueve de los pacientes con diagnóstico de trombosis completa. Fue negativo en cinco de casos, los cuales cursaban con trombosis pulmonar parcial. El paciente restante característicamente dio negativo al signo de vaso hiperdenso; sin embargo, presentaba trombosis pulmonar completa (Figura 2).

Figura 2: Distribución de los casos por tipo de trombosis versus signo de vaso hiperdenso. 

La edad por rangos (menor de 50 y mayor de 51 años) obtuvo una χ2 de 0.53, odds ratio (OR) de 2.25, con intervalo de confianza de 95% (IC95%) de 0.25-20.13 y valor de p = 0.46, por lo que se descarta la dependencia con el tipo de trombosis pulmonar. La afección de las arterias segmentarias y principales, no obtuvo valores estadísticamente significativos (p = 0.17) para establecer dependencia con el TEP (χ2 = 0.68). El compromiso de la arteria segmentaria por trombosis total o parcial, no es dependiente, con significancia (p) menor a 0.05. Asimismo, el sexo no obtuvo significancia estadística (p = 0.26), con IC95% 0.32-49.59 (Tabla 1).

Tabla 1: Distribución de las variables categóricas en relación con el tipo de trombosis pulmonar. 

Variable Tipo de trombosis Total χ2 p OR IC95%
Completa Parcial Mín Máx
Edad (años)
< 50 6 2 8 0.53 0.46 2.25 0.25 20.13
> 51 4 3 7
Total 10 5 15
Arterias segmentarias y principales
3 1 4 0.17 0.68 1.71 0.13 22.51
No 7 4 11
Total 10 5 15
Arterias principales
0 2 2 4.61 0.03 4.33 1.60 11.69
No 10 3 13
Total 10 5 15
Arteria segmentaria
7 2 9 1.25 0.26 3.50 0.37 32.97
No 3 3 6
Total 10 5 15
Signo de vaso hiperdenso
9 0 9 11.25 0.001 6.00 1.003 35.908
No 1 5 6
Total 10 5 15
Sexo
Femenino 5 1 6 1.25 0.26 4.00 0.32 49.59
Masculino 5 4 9
Total 10 5 15

IC95% = intervalo de confianza de 95%. Máx = máximo. Mín = mínimo. OR = razón de momios (odds ratio).

Fuente: Departamento de Radiología e Imagen del Hospital Angeles Mocel en la Ciudad de México, México.

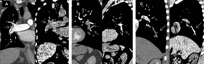
Se determinó asociación entre la trombosis pulmonar y la arteria segmentaria afectada, con resultados estadísticos significativos (p = 0.03), y OR de 4.33, IC95% 1.60-11.69; en consecuencia, el compromiso de la arteria segmentaria se considera un factor de riesgo para TEP. De la misma manera se evidenció la asociación entre la presencia del signo de vaso hiperdenso con el tipo de trombosis pulmonar (parcial o completa), con valor de p = 0.001, altamente significativo, y OR de 6, con IC95% 1.003-35.905), debido a lo cual, la presencia del signo de vaso hiperdenso, evidenciado mediante TC simple de tórax, es un factor de riesgo para desarrollar TEP (Tabla 1 y Figura 3).

Figura 3: A) Caso negativo. B y C) Tromboembolismo pulmonar con signo de vaso hiperdenso en vista coronal. 

Discusión

El diagnóstico de TEP se basa en las características clínicas y la evaluación por estudios de imagen, siendo este último el mejor método diagnóstico. De acuerdo con Rodrigues W y colaboradores, en la última década, diversos estudios han demostrado que la TC tiene una alta sensibilidad y especificidad en el diagnóstico de TEP.13 Conforme a nuestro estudio, el hallazgo evaluado por TC simple de tórax en pacientes con sospecha de TEP, tuvo una asociación con la presencia de un trombo (confirmada por angio-TC).

El signo de vaso hiperdenso por tomografía, de acuerdo con Seguí MP y asociados, determina que generalmente es un signo que se describe a nivel cerebral por TC, como hallazgo precoz y pronóstico del evento cerebral vascular, encontrándose en 30% de los casos. También destaca que la característica hiperdensa del vaso es secundaria a las unidades Hounsfield (UH), donde la sangre circulante tiene cerca de 40 UH, mientras que un trombo intraluminal alcanza las 80 UH.14 Lo que cumple con el criterio de Bradford Hill de analogía; en nuestro estudio se destacó la asociación estadísticamente significativa con el hallazgo imagenológico por TC de signo de vaso hiperdenso a nivel pulmonar, aplicando las mismas unidades Hounsfield, conocida como ventana cerebral estándar (W:80 L:40), con la presencia de tromboembolia pulmonar.

De igual modo, Roman Meza y colegas declararon que, en los últimos años, en múltiples instituciones públicas se ha presentado el hecho de contar con equipamiento especializado, sobre todo en el servicio de radiología, lo que conlleva a ser utilizado de forma desmedida, con solitudes de exámenes injustificados o sin la debida evaluación clínica o presunción adecuada.15 Con este estudio se busca disminuir el uso inadecuado de estudios de imagen, la exposición al paciente a radiación innecesaria, y de recursos a nivel hospitalario, evitando exponer a los pacientes a estudios invasivos y costosos, y lo más importante, retrasando su diagnóstico y tratamiento específicos, aumentado el riesgo de mortalidad por TEP.

Es preciso señalar que este estudio presenta limitaciones, como el tipo de variables estudiadas, además, no se incluyen datos sobre si el paciente falleció o sobrevivió, para poder evaluar el factor pronóstico del signo de vaso hiperdenso.

Conclusión

Nuestros resultados muestran que por medio de la tomografía simple de tórax de pacientes con sospecha de TEP (posteriormente confirmada por angiotomografía), se logró visualizar con ventana cerebral estándar (W:80 L:40), el signo de vaso hiperdenso; además de una asociación entre la presencia de trombosis pulmonar con el compromiso de las arterias segmentarias.

Finalmente, se concluye que la probabilidad de trombosis pulmonar completa es seis veces mayor si se presenta el signo de vaso hiperdenso por TC simple de tórax con ventana cerebral estándar (W:80 L:40).

Cumplimiento de las directrices éticas

Conflicto de intereses: Rubén Uriostegui Flores, José Luis Ríos Reina y Carolina González Vergara declaramos no tener conflicto de intereses.

Este artículo no contiene ningún estudio con sujetos humanos realizado por ninguno de los autores.

Referencias bibliográficas

1. Garro-Urbina V, Robles-Arce V, Rojas-Vázquez S. Presentación, diagnóstico y tratamiento del tromboembolismo venoso. Rev Medica Sinerg. 2020; 5 (2): e350. [ Links ]

2. Piñar-Sancho G, Abarca-Zúñiga V, Moya-Corea S. Diagnóstico y manejo actualizado del tromboembolismo pulmonar agudo. Rev Medica Sinerg. 2021; 6 (1): e633. [ Links ]

3. Flórez-González GA, Acevedo-Guiot AP. La importancia de la presunción clínica en el diagnóstico de tromboembolismo pulmonar de baja probabilidad: presentación de caso. Univ. Med. 2020; 61 (4): 156-161. [ Links ]

4. Paizano-Vanega G, Fernández-Zúñiga E, Villalobos-Bonilla D. Diagnóstico de tromboembolismo pulmonar agudo. Rev Medica Sinerg. 2022; 7 (2): e757. [ Links ]

5. Gómez-Melo LD, González-Pérez CA, León-Bernal D, Maldonado-Velasco AS, Ramírez Rodríguez JE, Ortiz-MI. Tromboembolia Pulmonar. Publicación semestral, Educación y Salud Boletín Científico Instituto de Ciencias de la Salud Universidad Autónoma del Estado de Hidalgo. 2022; 10 (2): 181-187. Disponible en: https://repository.uaeh.edu.mx/revistas/index.php/ICSA/article/view/8393/8974 Links ]

6. Arias-Rodríguez FD, Armijos-Quintero DA, Beltrán-Vinueza PA, Córdova-Macías DV, Guadamud-Loor JX, Osejos-Moreira WD et al. Diagnóstico y tratamiento de tromboembolia pulmonar. Revisión bibliográfica. Rev Mex Angiol. 2022; 50 (3). Disponible en: https://www.scielo.org.mx/pdf/rmang/v50n3/0377-4740-rma-50-3-96.pdfLinks ]

7. Marchiori E, Hochhegger B, Zanetti G. Hyperdensities within the pulmonary arteries. J Bras Pneumol. 2023; 49 (1): e20230048. doi: 10.36416/1806-3756/e20230048. [ Links ]

8. Hepburn-Brown M, Darvall J, Hammerschlag G. Acute pulmonary embolism: a concise review of diagnosis and management: A review of acute pulmonary embolism. Intern Med J. 2019; 49 (1):15-27. [ Links ]

9. Zhang Y, Begum HA, Grewal H, Etxeandia-Ikobaltzeta I, Morgano GP, Khatib R et al. Cost-effectiveness of diagnostic strategies for venous thromboembolism: a systematic review. Blood Adv. 2022; 6 (2): 544-567. [ Links ]

10. Mínguez-Sabater H, Domingo-Monge FJ, Parra-Martínez J. Signo de la arteria cerebral posterior hiperdensa migratoria tras trombólisis intravenosa. Rev Neurol. 2020; 70 (11): 413-416. [ Links ]

11. Motta-Ramírez GA. Diagnóstico de tromboembolia pulmonar mediante angiotomografía computada. Anales de Radiología México. 2017; 16 (3): 227-226. [ Links ]

12. Blanco-Cabellos DJA, Hernández-Aceituno DD, López-Arcas Calleja DJM, Liaño-Esteso DG, Galobardes-Monge DMJ, Batiray-Polat DA. Cómo valorar correctamente un tac craneal: decálogo de recomendaciones para Residentes de Radiología (y no Residentes). seram. 2021; 1 (1). Disponible en: https://piper.espacio-seram.com/index.php/seram/article/view/4438Links ]

13. Rodrigues W, Fortaleza JIM, Barros MG. Diagnóstico por protocolo del Tromboembolismo Pulmonar en tomografía computarizada: Protocol diagnosis of pulmonary thromboembolism in computed tomography. Epicentro Ciencias Salud. 2021; 1 (1): 35-42. Disponible en: http://epicentro.central.edu.py/index.php/epicentro/article/view/4 Links ]

14. Seguí MP, Mayor EN, Clapsos MV. Signo del vaso denso. Rev Argent Radiol. 2018; 82 (4): 190-192. [ Links ]

15. Meza AR, Fernández PA. Utilidad de la angiografía pulmonar por tomografía computarizada en las salas de emergencia de un hospital nacional de EsSalud. Rev Medica Hered. 2019; 30 (1): 27. [ Links ]

Abreviaturas: TEP = tromboembolismo pulmonar. TC = tomografía computarizada. PACS = Sistema de Comunicación y Archivado de Imágenes (Picture Archiving and Communication System). OR = razón de momios (odds ratio). IC95% = intervalo de confianza de 95%. angio-TC = angiografía por tomografía computarizada. UH = unidades Hounsfield.

Aprobado: 10 de Noviembre de 2023

*Autor para correspondencia: Rubén Uriostegui Flores. Correo electrónico: rubnuriostegui@icloud.com

Creative Commons License Este es un artículo publicado en acceso abierto bajo una licencia Creative Commons