Introducción
El dolor abdominal es uno de los principales motivos de consulta en urgencias, de ahí que se deban plantear múltiples diagnósticos diferenciales para llegar a uno definitivo.1 Debido a esto, la clínica es de vital importancia para llegar a un diagnóstico definitivo. La semiología puede ser confusa en pacientes con situs inversus totalis (SIT), una variante anatómica de baja incidencia.1 El propósito de este artículo es reportar un caso de apendicitis aguda complicada en un paciente con situs inversus totalis en el que la presentación clínica del caso conllevó a un diagnóstico transoperatorio de esta variable anatómica.
Caso clínico
Se trata de un paciente masculino de 13 años, que acudió al Servicio de Urgencias por presentar un cuadro de dolor abdominal de tres días y de evolución tipo cólico, el cual fue localizado en la fosa iliaca izquierda, y se irradia a la fosa iliaca derecha. Se evaluó el paciente con una escala EVA 10/10; su padecimiento está acompañado de náusea, vómito y anorexia, aunque fue atenuado con paracetamol.
En la exploración física encontramos al paciente en malas condiciones generales; sus signos vitales tenían marcada taquicardia, abdomen con peristalsis ausente en la palpación, “abdomen en Tabla” y dolor en la palpación superficial y profunda de la fosa iliaca derecha; signo de Rovsing presente y Blumberg presente, además de percusión timpánica generalizada.
Dentro de sus exámenes de laboratorio encontramos a un paciente sin leucocitosis, sin embargo, con neutrofilia marcada (leucocitos 10.0 WBC 79.3), y el examen general de orina se presentó sin alteraciones. Integramos un síndrome de abdomen agudo, con diagnóstico probable de apendicitis aguda complicada, por lo que se decidió realizar una laparotomía exploradora en línea media infraumbilical, y se obtuvo como hallazgo transoperatorio trasposición de vísceras abdominales y apendicitis complicada con absceso pélvico (Figuras 1 y 2).
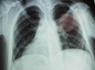
Se realizó la apendicectomía con técnica de Halsted y drenaje de absceso y no hubo incidentes. Durante el postoperatorio inmediato se solicitó una radiografía de tórax (Figura 3), la cual mostró dextrocardia, y el ultrasonido abdominal reportó transposición de las vísceras abdominales, confirmando el diagnóstico de situs inversus totalis. Al tercer día postoperatorio, el paciente presentó mejoría clínica y, al no presentar datos de complicaciones postoperatorias, se decide su egreso.
Discusión
La apendicitis aguda es la primera causa de abdomen agudo quirúrgico en la actualidad, constituyendo 40% de las causas de urgencias no traumáticas en los hospitales.1 La asociación de apendicitis aguda en un paciente con situs inversus es un gran reto diagnóstico y terapéutico.2 Descrito por primera vez en el año 1600,2 el situs inversus totalis es una condición autosómica recesiva que involucra una transposición de los órganos abdominales y torácicos en espejo, y tiene una incidencia de 1:10,000 a 1:20,000.3
Normalmente la rotación embriológica del intestino sucede en un sentido antihorario, sin embargo, en el situs inversus ocurre en la dirección contraria.4 El origen de esta alteración es aún oscuro, aunque en la actualidad no se conoce su etiología específica;5 sin embargo, se propone que ésta es secundaria a una alteración genética de tipo autosómica recesiva en el brazo largo del cromosoma 14 y que afecta la cascada genética responsable de la diferenciación izquierda derecha.1 De igual manera se ha relacionado con una alteración en la función ciliar, ya que estos organelos están implicados en las migraciones celulares embrionarias y en la determinación de la lateralidad, iniciando así la simetría derecha-izquierda embrionaria.1
Por su lado, la apendicitis aguda es una de las causas más comunes de dolor abdominal y es un motivo frecuente de cirugía de urgencia. La coexistencia de estas dos patologías conlleva que el diagnóstico quirúrgico en estos pacientes pueda ser insidioso y secundario a la imagen en espejo de los órganos abdominales.3 La peritonitis por perforación de víscera hueca es extremadamente rara en el situs inversus; sólo se ha reportado un caso de perforación de vesícula biliar, un caso de perforación apendicular y dos casos de perforación de víscera hueca.3
El diagnóstico de situs inversus pasa inadvertido en aproximadamente 45% de los casos, y así se llega a su diagnóstico incidentalmente durante el transoperatorio o como hallazgo imagenológico.5 El ultrasonido abdominal, radiografía y tomografía de abdomen, confirman el diagnóstico.6 Al igual que en nuestro caso clínico, el diagnóstico y los procedimientos quirúrgicos para las patologías abdominales en pacientes con situs inversus totalis son técnicamente más complicadas y conllevan un reto único debido a la transposición izquierda-derecha de las vísceras abdominales.7










nueva página del texto (beta)





