Introduction
Pemphigus vulgaris is a severe immune-mediated bullous disease that affects the skin and mucous membranes. It affects men and women indistinctly from the fourth to the sixth decades of life. Antibodies act against desmosomal plaque protein, causing cell junctions to break down, resulting in vesicles and blisters of bloody liquid content, which can become an ulcer.1-4 The predisposition for this disease seems to be related to genetic conditions, immunological defects, or exogenous factors, such as viruses, drugs, or physical agents.5,6
The diagnosis is made from the anamnesis, the recognition of the lesions, the positive Nikolski’s sign (detachment of the upper layers of the skin and formation of blisters, when the regions near the lesions are slightly rubbed)7 although the precision is in immunological and histopathological examinations.3,4
Treatment includes systemic corticosteroid therapy, antibiotic therapy against secondary infections, and topical therapy for the lesions, to control pain, and may still be associated with immunosuppressive agents.7-9 The early prognosis is favorable.
The aim of this study is to report a clinical case of pemphigus vulgaris, with oral and cutaneous manifestations, addressing the clinical and histopathological characteristics of this disease.
Clinical case report
The patient is a 41-year-old woman who attended the Reference Center for Oral Lesions at the Universidade Estadual de Feira de Santana-Brazil, reporting mouth and skin ulcers for 8 months. In the anamnesis, the patient states that the lesions initially arose in the oropharynx, which led her to consult an otolaryngologist, who diagnosed her with Candida albicans and referred her to a specialist in infectology. She was tested for the Human Immunodeficiency Virus and the serology was negative.
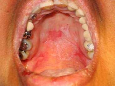
Clinically, head, neck, face, and limb injuries were observed; in the mouth, they were located on the lips, tongue, jugal mucosa, and palate. These lesions were ulcerated, painful, erythematous, bleeding to the touch, and some bullous (Figures 1and2).
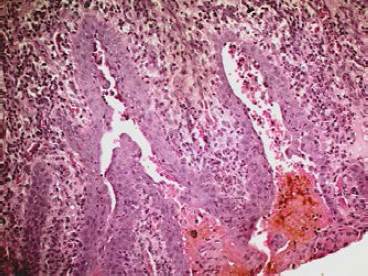
Incisional biopsies of the oral lesions were performed, and the diagnosis was blistered with suprabasal acantholysis, which is compatible with pemphigus vulgaris (Figure 3). Histological sections showed a typical intraepithelial cleft, with rounded acantholytic epithelial cells located within the cavity. A moderate underlying infiltration of inflammatory cells was observed. Tests were made for the research of autoantibodies, with negative results.

Figure 3 Photomicrography of the lesion with suprabasal intraepidermal cleft and basal cell acantholysis (20x).
Dexamethasone rinse was prescribed, and the patient was referred to the Referral Service of the Hospital de las Clínicas-Salvador, Bahia, where she was treated with steroids and antifungals agents. Treatment with Prednisone (20 mg), Dapsone (100 mg), Fluconazole (150 mg), and Albendazole (400 mg) was started. Due to the persistence of lip lesions, Prednisone (60 mg) was administered, and the doses were gradually decreased until discontinued. Subsequently, pulse therapy with methylprednisolone (1 g) was performed for seven months.
The patient presented some collateral effects such as fluid retention, dizziness, amnesia, and fatigue. Currently, the patient uses the immunosuppressive agent Azathioprine (50 mg) and the lesions are still healed, without signs of recurrence of the disease and with complementary examinations according to the normality standards (Figure 4).
Discussion
The initially reported lesions arose in the oropharynx, which is consistent with the literature since it states that in most cases the oral manifestations precede the cutaneous manifestations.2,7,10-12
Clinical suspicions included bullous pemphigoid, recurrent aphthous stomatitis, and lichen planus. According to the literature, the differential diagnosis of pemphigus vulgaris includes bullous and ulcerative lesions, such as those initially suspected.9
Histopathological examination revealed a cleft between the basal layer of the epithelial tissue and the connective component, with inflammatory infiltrate and acantholysis between the epidermal cells -the main histopathological finding of pemphigus vulgaris- agreeing with the histological characteristics already described in the literature.4,10-12
According to the literature, the treatment of pemphigus vulgaris consists of the use of corticosteroids associated with immunosuppressive agents such as Prednisone and Azathioprine, used in this case.1,4 It is necessary to gradually reduce the Prednisone amount to reach a maintenance dose to control the disease, with which several authors agree.4,9,12 The faster the treatment is carried out, the lower the amounts of steroids prescribed.10
Since the first manifestations of pemphigus are generally found in the oral cavity, the relevance of this work is to show the importance that dentists know the clinical characteristics and the complementary examinations necessary to make the early diagnosis of pemphigus vulgaris and participate in the treatment, preservation, and referral to specialized service centers, to treat the disease in a multidisciplinary way, to control it.3,13
Conclusions
Studying and knowing pemphigus vulgaris is very important for dental professionals since its stomatological effects can precede systemic ones, which increases the responsibility of the dental surgeon in early diagnosis, allowing effective treatment actions to be planned. Finally, preservation must be highlighted as a fundamental stage to control therapy and act on possible recidivism.










nueva página del texto (beta)





