INTRODUCCIÓN
El mediastino constituye un espacio virtual con áreas potenciales para el crecimiento de tumores primarios o metastásicos a mediastino. Un pequeño grupo de tumores primarios de mediastino deriva de células mesenquimales. Los sarcomas son neoplasias sólidas malignas que representan 1% de todos los cánceres del cuerpo1. Su clasificación histológica está en relación con el tejido maduro mesenqui-mal al que se parecen, y no deben ser interpretados como derivados originados de un órgano o estructura específica, como: lipomas y liposarcomas de la grasa mediastinal, angiosarcomas adyacentes a grandes vasos, rabdomiosarcoma y leiomiosarcoma con el músculo cardiaco, condrosarcoma con la reja costal y el mesotelioma maligno pleural con la pleura, entre otros2. Los sarcomas que afectan al tórax obedecen principalmente a metástasis pulmonares de sarcomas originados en extremidades, más frecuente de miembros inferiores, sarcomas de retroperitoneo, sarcomas de cabeza y cuello, y en menor medida por sarcomas primarios del tórax3.
Este último grupo de sarcomas debe considerarse como una entidad diferente, y requiere clasificarse en 3 grupos. Aquellos sarcomas primarios del tórax originados de la pared torácica (músculos de la pared costal, arcos costales, etc.), sarcomas intratorácicos, primarios de pulmón, pleura, y sarcomas de origen en el mediastino (Tabla 1).
Los sarcomas primarios del mediastino representan solo 10% de los tumores originados en el mediastino. Estos tumores se clasifican como profundos en las etapas TNM (T: tumor; N: ganglio o nodulo; M: metástasis) de sarcomas4,5. La laxitud y movilidad de los tejidos y las estructuras del mediastino, permiten albergar tumores voluminosos al igual que en el retroperitoneo6,7. Dado que son asintomáticos en etapas tempranas, la sospecha diagnóstica surge por hallazgos radiológicos incidentales característicos, como lesiones de gran tamaño (generalmente > 7 cm) empujantes, desplazantes, que comprimen estructuras vecinas como el esófago, árbol traqueobronquial, vena cava superior, etc., y en menor medida infiltrantes8-10. Posteriormente, lo voluminoso de la lesión tumoral favorece la aparición de síntomas sutiles como disnea, disfagia, disfonia, pesantez torácica, que orientan el diagnostico. La edad promedio de diagnóstico es 40-50 años, y es confirmado por el reporte histopatológico; actualmente el estándar de oro para el diagnóstico es la biopsia con aguja de corte guiada por imagen11.
HISTORIA NATURAL DE LOS SARCOMAS DE MEDIASTINO
El sarcoma primario de mediastino se define como un tumor de células mesenquimales originado en el espacio entre las dos pleuras pulmonares, y representa sólo 10% de los tumores del mediastino. Su distribución en los diferentes compartimientos se encuentra en relación con la edad del paciente, así como de la histología. En el adulto, 28% surgen en el mediastino anterosuperior, 11% en el mediastino medio, 48% en el mediastino posterior y 11% afecta a varios compartimientos12.
Respecto a la histología, el liposarcoma, el más frecuente en el mediastino anterior (38%) representa solo de 0.1 a 0.75% de todos los tumores medias-tíñales, lo que habla de la rareza de esta patología. Otros sarcomas de mediastino son el sarcoma de Ewing (14%), condrosarcoma (14%), leiomiosarcoma (14%), rabdomiosarcoma (9.5%), angiosarcoma (4.8%), histiocitoma fibroso maligno (4.8%) y el tumor maligno de la vaina del nervio periférico, este último es el tumor más frecuente del mediastino posterior (76 %)13. En cuanto a la etiología, 70% son de aparición espontánea, 13% tiene antecedente de radiación al tórax y mediastino, como en el linfoma Hodgkin, y la radiación en manto, radiación al tórax por cáncer de mama, aplicando los conocidos criterios de Beck para sarcomas radioinducidos: historia de radiación con una latencia mayor a 5 años, confirmación de tumor mesenquimatoso maligno en el campo radiado e histología distinta al tumor primario. En 10% hay síndromes hereditarios asociados, como Li-Fraumeni, síndrome de Gardner, retinoblastoma y la neurofibromatosis (enfermedad de Von Recklinhausen)14,15(Figura 1).

Hombre de 56 años, diagnosticado con neuro-fibromatosis diagnosticada en la adolescencia con algunos neurofibromas, ninguno mayor a 6 cm o que haya requerido resección quirúrgica previa. El único síntoma referido por el paciente, era parestesias de 2 años de evolución en la zona correspondiente al dermatoma de T6-T7 de creciente intensidad. a) Lesiones café con leche (flecha); algunos neurofibromas de pequeño tamaño (cabeza de flecha), b) Tomografia axial computarizada (TAC) simple de tórax. Lesión en pared torácica posterior derecha, desplazaste pulmonar (cabeza de flecha), invasor de la pleura parietal originado de la raíz nerviosa correspondiente al foramen transverso derecho de T6 (flecha). La biopsia guiada portomografía reportó un tumor maligno de la vaina del nervio periférico. El paciente fue llevado a toracotomía posterolateral derecha, con resección local amplia con fresado del foramen transverso y micro colgajo muscular sobre en la vértebra T6, para prevención de fistula de líquido cefalorraquídeo.
Figura 1 Hombre de 56 años, con neurofibromatosis y tumor de la vaina de nervio periférico de mediastino posterior.
CARACTERÍSTICAS RADIOLÓGICAS
La radiografía y tomografia computarizada, suelen ser suficientes en el abordaje diagnóstico, tanto para dirigir la biopsia percutánea, como para la estrategia quirúrgica. En la radiografía de tórax (Figura 2a) lo usual es observar un ensanchamiento del mediastino o una sombra de alta densidad. La tomografía computarizada puede distinguir un tumor heterogéneo con densidad grasa, márgenes lisos o lobulados bien definidos, con desplazamiento de estructuras vasculares, nerviosas y bronquiales, sin adenopatías, de teratomas, fibromas, y quistes16,17. La presunción diagnóstica de la histología del sarcoma por tomografia computarizada alcanza 60% en centros especializados por las características típicas de la imagen (Figura 2b).

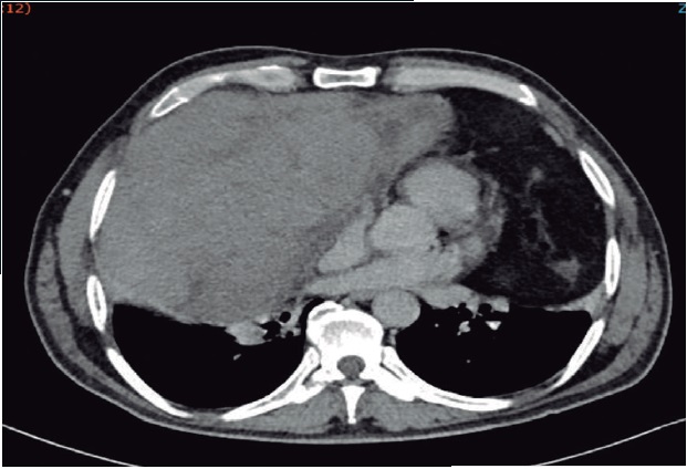
Hombre de 52 años de edad con disnea progresiva en los últimos 2 años. En los últimos meses presentó presión torácica y disfagia para sólidos. a) Radiografía de tórax. Lesión heterogénea con opacidad en los 2 tercios inferiores del tórax bilateral, b) TAC de tórax simple. Ventana mediastinal y pulmonar. En el mediastino anterior y hacia el lado derecho (cabeza de flecha) se identifica tumor sólido con zonas hipodensas en el interior de bordes definidos sin infiltración a otros órganos, el tumor con diámetro mayor de 21 cm con desplazamiento cardiaco a la izquierda. Otra lesión (flecha) heterogénea de 15 cm también en el mediastino anterior, lateralizado a la izquierdo adyacente a la grasa pericárdica, sugerente de liposarcoma.
Figura 2 Características radiológicas del sarcoma de mediastino anterior .
La pared torácica y el involucro de estructuras vasculares o nerviosas son mejor definidas por la resonancia nuclear magnética, como en la evaluación de neoplasias cardiacas y tumores de mediastino posterior; en este último, 75% son de origen neurogénico, principalmente el tumor maligno de la vaina de nervio periférico.
En el caso de un tumor confinado a un hemitórax sugiere que el origen pudiera ser de nervio intercostal posterior. Si el tumor cruza la línea media, el origen puede encontrarse en el tronco simpático, que refleja la encrucijada de las raíces nerviosas y el origen de los nervios intercostales posteriores en el surco paravertebral18. En cuanto a la tomografia por emisión de positrones-tomografía computada (PET-CT), parece tener un valor limitado, pues en poco modifica la conducta terapéutica. Se ha encontrado una relación entre los subtipos histológicos de liposarcoma y el SUVmáx• El liposarcoma bien diferenciado muestra un SUVmáx menor (2.3 ± 1.7) que los subtipos de células mixoides, células redondas y liposarcoma pleomórfico19,20. La biopsia guiada por imagen en manos experimentadas es el estándar de oro para la confirmación histológica, desplazando la biopsia a cielo abierto (Figura 3).

En el paciente comentado en la Figura 2 se realizaron marcadores tumorales para descartar tumor germinal. Fueron negativos: deshidrogenasa láctica, alfafetoproteína, gonadotropiną coriónica humana fracción beta y antigeno carcinoembrionario, a) El paciente fue llevado a biopsia guiada por TAC con aguja de corte, trucut. b) Corte histológico de neoplasia maligna, con patrón de crecimiento sólido. Tinción con hematoxilina y eosina. 100X. Se identifican células fusocelulares con atipia marcada. c) Inmunohistoquímica 100X. Negativo para actina de músculo liso, d) Inmunohistoquímica 400X. Negativa en células neoplásicas para el anticuerpo CD34. También es negativo a los anticuerpos CD 15, CD 30, EMA, S-100, MDM2. Vimentina positivo. Conclusión: sarcoma fusocelular de grado intermedio.
Figura 3 Abordaje diagnóstico de tumor de mediastino, biopsia guiada por tomografia e histopatologia. Tinción con hematoxilina y eosina y técnica de inmunohistoquímica.
MANEJO QUIRÚRGICO
La resección local amplia con márgenes negativos es el tratamiento estándar para los sarcomas de mediastino21.
Un sarcoma intratoràcico resecable es un tumor mesenquimal que surge en el pulmón, pleura o mediastino, no metastásico (estadio I, II o III) (criterios de estadificación 7a edición del American Joint Committee on Cancer [AJCC]). El estado de los márgenes es el principal factor pronóstico independiente para la supervivencia libre de enfermedad (SLE) y sobrevida global (SG). Se define margen positivo a la presencia de células neoplásicas en los bordes de sección de la pieza quirúrgica, y márgenes negativos a la ausencia de células neoplásicas en borde de sección. Este último grupo se divide en margen negativo claro (> 1 cm) y margen negativo cercano (entre 1 y 10 mm)22-23.
Es imprescindible una acuciosa evaluación de las imágenes preoperatoria y el estado funcional del paciente, pues el 40% de los casos son irresecables al momento del diagnóstico, a causa del compromiso de estructuras vitales no reparables.
Para llevar a cabo la resección del tumor, 34% de los pacientes requiere resección y reconstrucción de estructuras mayores. Lograr siempre un campo quirúrgico óptimo resulta difícil y conlleva un margen de maniobra estrecho. 60% de estos tumores son mayores a ll cm al momento del diagnóstico. Conocer minuciosamente la anatomía del mediastino, la relación de los grandes vasos, las estructuras del hilio pulmonar y sus variantes, es crucial para la seguridad del paciente y la resección con principios oncológicos24. Los abordajes más utilizados son la incisión en almeja Clamshell, la esternotomía media, y la toracotomía anterolateral y posterolateral (Figuras 4, 5,6 y 7). En condiciones especiales como el bypass cardiopulmonar, el balón de contrapulsación aórtica debe estar preparado con el fin de lograr una resección RO (ausencia macro microscópica de células neoplásicas en el borde de sección)25. Definimos a la cirugía de salvamento o rescate como la resección quirúrgica de un tumor primario de mediastino persistente o recurrente posterior a manejo multimodal (quimio, cirugía o radioterapia) con intención curativa26(Figura 8).

El paciente comentado en las Figuras 2 y 3 fue manejado con base en un diagnóstico de doble sarcoma primario de mediastino. Fue llevado a toracotomía secuencial, inicialmente con toracotomía posterolateral derecha con resección local amplia de un sarcoma fusocelular de alto grado y posteriormente a toracotomía posterolateral izquierda (a y b) con resección local amplia de un liposarcoma de bajo grado, c, d, e) El liposarcoma mediastinal anterior izquierdo (cabeza de flecha) sin infiltrar el parénquima pulmonar. El lóbulo pulmonar superior izquierdo se libera fácilmente mediante disección roma.
Figura 4 Toracotomía posterolateral Izquierda y resección local amplia de tumor de mediastino anterior.

a) El tumor desplaza, pero no infiltra el pulmón ni las estructuras del mediastino. b) Exéresis de la pieza quirúrgica, se observa un tumor de 20 X 12 cm; la superficie es lisa, bien definida, con reacción desmoplásica adyacente. c y d) La fotografía y el esquema muestran en la línea discontinua el cambio de un espacio virtual del mediastino a un espacio real, generado por el crecimiento lento y desplazante del tumor, que le permitió llegar a las dimensiones comentadas anteriormente.
Figura 5 Características morfológicas intraoperatorias del liposarcoma de bajo grado de mediastino.

b y с) Sarcoma fusocelular de alto grado, d y e) liposarcoma de bajo grado. Continuando la secuencia de análisis del caso de las figuras anteriores. a) En la tomografia, la densidad heterogénea y bordes irregulares de la lesión de la derecha (cabeza de flecha) se relacionan con el aspecto macroscópico característico del sarcoma fusocelular. Además, la flecha en la tomografia señala el aspecto homogéneo hipodenso de un liposarcoma en el lado izquierdo del mediastino, b) Superficie externa del tumor, bordes irregulares, amarilla opaca parcialmente cubierta de tejido adiposo, c) En la superficie de corte se observan áreas de necrosis, hemorrágicas y quísticas. d) Producto de la resección de tumor mediastinal izquierdo de 22 X 14 X 6 cm. La superficie externa del tumor luce congestiva, lisa, con bordes regulares, e) La pieza quirúrgica al corte es amarilla, lisa, brillante, es claro el aspecto lipomatoso del tumor.
Figura 6 Correlación imagenológica y aspecto macroscópico de un doble sarcoma de mediastino sincrónico.

a) Al corte histológico, neoplasia maligna pleomorfa de grado alto. Tinción con hematoxilina y eosina 100X. b) A mayor aumento (400X), se identifican células con pleomorfismo acentuado y atipia citológica. с) En algunas áreas del campo, células gigantes multinucleadas de tipo tumoral, d) Se observan la coexistencia de áreas de músculo liso, células adiposas con atipia y células gigantes multinucleadas. Conclusión: sarcoma fusocelular de alto grado.e) Neoplasia maligna bien diferenciada conformada por tejido adiposo. f) Tejido adiposo separado por bandas de tejido conectivo. Tinción con hematoxilina y eosina 100X. g y h) Adipocitos sin atipia. Tinción con H y E 400X. Conclusión: liposarcoma bien diferenciado de bajo grado.
Figura 7 Histología. Tinción con hematoxilina y eosina. Sarcoma fusocelular de alto grado y liposarcoma de bajo grado sincrónico de mediastino anterior.

Hombre de 37 años con angiosarcoma de mediastino anterior y medio con infiltración del pericardio, respetando la unión cavo-atrial derecha. Posterior a manejo con quimioterapia de inducción con respuesta parcial, fue llevado a resección local amplia por esternotomía. Durante su vigilancia, a los 39 meses, presenta recurréncia en la aurícula derecha. El paciente fue llevado a cirugía de salvamento, mediante, esternotomía media, colocación en bomba de circulación extracorpórea, resección local amplia que requirió, para márgenes negativos, la resección de la aurícula derecha y reconstrucción con injerto de pericardio bovino mediante cirugía "en banco" y autotrasplante cardiaco, a y b) Abordaje por esternotomía media, c) Sistema de bomba de circulación extra-corpórea, с y d) Exposición del campo operatorio en tienda de campaña del saco pericárdico. Equipo de circulación extracorpórea. Cirugía cardiaca de banco con autotrasplante; mientras se realiza la cirugía cardiaca con resección de la aurícula derecha y reconstrucción, el paciente se coloca en bomba (circulación extracorpórea).f y g) Resección de tumor con margen sobre la aurícula derecha, h) Exéresis del tumor, i) Reconstrucción de aurícula derecha con injerto de pericardio bovino.
Figura 8 Angiosarcoma de aurícula derecha recurrente en un hombre de 37 años. "Cirugía en banco". Resección del tumor de la aurícula derecha del corazón en mesa de trabajo.
MANEJO MULTIMODAL
La recurréncia del sarcoma mediastinal posterior al manejo quirúrgico es alrededor del 64% a 36 meses, con SG de 50 meses aun en los casos que se logró resección RO. En pacientes con resección incompleta, la SLE es de 19 meses y SG de 24 meses. En términos generales, los factores conocidos como la edad, sitio del tumor primario y tamaño no afectan la SLE ni la SG, pero el tipo histológico, grado de diferenciación y los márgenes de la resección son factores que sí intervienen directamente4,27,28.
Hasta ahora no se ha encontrado un efecto significativo de la radioterapia postoperatoria en tumores con bajo grado y márgenes R0. En quienes sí hay un beneficio es en los pacientes con resecciones Rl y alto grado de diferenciación (G3), quienes alcanzan SLE y recurréncia local de 28.9 meses cercanos a los resultados en los que se logró la resección R0. Las modalidades de radiación postoperatoria del mediastino, conformacional, tridimensional y de intensidad modulada, disminuyen la radiotoxicidad en las estructuras, incluidos los campos vecinos13,29.
Si bien hemos establecido el estado de los márgenes de resección como el factor pronóstico independiente de recurréncia local y supervivencia global. Existe una relación entre el tipo histológico y el grado de diferenciación tumoral, con la respuesta a ciertos agentes citotóxicos.
Consideramos sarcomas quimiosensibles al sarcoma sinovial, liposarcoma de células mixoides y células redondas y al leiomiosarcoma uterino.
Sarcomas moderadamente quimiosensibles, al liposarcoma pleomórfico, mixofibrosarcoma, sarcoma epitelioide, rabdomiosarcoma pleomórfico y angiosarcoma.
Los sarcomas no quimiosensibles son el sarcoma alveolar, el condrosarcoma extraesquelético y el sarcoma fusocelular (Figuras 7 y 8).
En el primer grupo las tasas de respuesta a quimioterapia preoperatoria son 30 a 55% con ifosfamida (12 a 18 g/m2/ciclo), con o sin doxorubicina. El trabajo de Italiano et al. informó que ni la quimioterapia neoadyuvante, ni adyuvante tuvieron un efecto significativo sobre la SG de los pacientes24,30.
DISCUSIÓN
El Instituto Nacional de Cancerologia (INCan) es centro de referencia para pacientes con sarcomas del tórax, manejados principalmente en el Departamento de Piel y Partes Blandas, donde son clasificados como tumores primarios de la pared torácica y tumores metastásicos a la reja costal, manejados multidisciplinariamente. El Departamento de Oncología Torácica valora los tumores considerados sarcomas intratorácicos, los cuales a su vez son clasificados en sarcomas metastásicos a pulmón y mediastino y los sarcomas primarios de mediastino propiamente dicho.
Nosotros dividimos el mediastino en anterior (la zona delimitada por la superficie interna del esternón y la superficie anterior de los grandes vasos), mediastino medio (compartimento visceral, limitado por el saco pericárdico; posteriormente se extiende hasta el ligamento espinal; incluye sarcomas circundantes al pericardio y corazón, tráquea, bronquios principales) y el mediastino posterior (la región costovertebral o sulco paravertebral).
Al revisar juiciosamente nuestra base de datos, en 20 años y siendo estrictos en las definiciones ya descritas, los sarcomas representan un número muy pequeño (1.2%) de los tumores de mediastino. En 95 pacientes con tumores primarios de mediastino, 19 correspondían a linfoma y 12 tumores del timo. Cincuenta casos eran tumores germinales y solo 14 eran tumores del mesénquima primarios de mediastino. De éstos, 7 eran tumores de mediastino posterior, 6 tumores de la vaina del nervio periférico y un sarcoma pleomórfico. De los 7 casos correspondientes a sarcomas de mediastino medio y anterior, 1 presentaba historia de tumor germinal no seminoma que se desdiferenció a histiocitoma fibroso maligno; 1 caso angiosarcoma de aurícula derecha; 3 liposarcoma, y 2 sarcoma pobremente diferenciado. El control quirúrgico se logró con márgenes R0 en 79% de los casos. En solo 3 casos se dio manejo multimodal, con quimioterapia preoperatoria y 2 casos con radioterapia postoperatoria. Esta es una serie muy pequeña que no permite un análisis estadístico significativo para sacar conclusiones de manejo.
En la experiencia de 50 años del Memorial Sloan-Kettering Cancer Center MSSK con 47 pacientes con diagnòstico de sarcoma primario de mediastino. El tipo histológico más frecuente suele ser el tumor maligno de nervio periférico, leimiosarcoma, liposarcoma, sarcoma sinovial y el histiocitoma fibroso maligno. Los tumores de alto grado tuvieron menor SLE y SG comparados con los tumores de bajo grado. El tipo de resección R0 fue el factor más importante de periodo libre de recurréncia y SG (49% de supervivencia para tumores resecados completamente y 18% a 3 años para paciente resecados incompletos). El liposarcoma bien diferenciado y el angiosarcoma son asociados con una larga supervivencia libre de enfermedad por 60 meses. El liposarcoma mixoide presenta una SLE de 47 meses, el liposarcoma pleomórfico y liposarcoma desdiferenciado 13 у 6 meses respectivamente13,31.
La continua búsqueda del control de esta enfermedad motiva a la atención de pacientes en centros de referencia, con la convergencia de esfuerzos interdepartamentales que permita obtener conclusiones de manejo, que solo se logra a través de largos periodos de recolección de pacientes y estrecha vigilancia, dada la rareza de esta patología. ·










nueva página del texto (beta)




